Cookie Consent byPrivacyPolicies.comConseils Appareil Photo - Eugenol

Conseils Appareil Photo

levm

19/07/2015 à 16h01

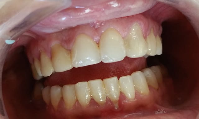
Je cherche a acheter un appareil photo le plus compact possible pour faire de belles photos dentaires .
Je possede un reflex numérique canon avec objectif 100mm et flash annulaire , mais l'encombrement fait que je me sers plus de mon teléphone (galaxy note 4 ) pour prendre des photos .
Je cherche un compact capable de faire des plus jolies photos que le note 4 (qui s en sort pas mal au final).
Voila un exemple de ce que je peux obtenir de mieux avec mon note.

2015 06 30 14.09 - Eugenol

lai

19/07/2015 à 18h07

c'est dommage que vous vouliez abandonner votre Canon + flash annulaire. cette configuration est certainement dédiée à la macrophotographie.

A mon humble avis vous ne pouvez pas faire mieux avec un compact


200106 10150128247663588 709988587 6466236 5598391 n d7mksb - Eugenol
hallboy

19/07/2015 à 18h53

prend un olympus . c'est aps plus gros qu'un bridge et la qualité d'image d'un reflex


levm

19/07/2015 à 21h28

Lequel ?


200106 10150128247663588 709988587 6466236 5598391 n d7mksb - Eugenol
hallboy

19/07/2015 à 23h00

ou

http://www.01net.com/fiche-produit/essentiel-16374/olympus-om-d-e-m10/


Smile beach jgh0a1 - Eugenol
Céramik

20/07/2015 à 01h01

Un Olympus a 800 euro sans flash ni objectif macro ?
Vaut mieux utiliser le kit canon !

La photo avec le Note 4 est a peine passable car il y a déformation (les portables sont équipé de grand angle) et la lumière est mal gérée...



Un produit compact dédié au dentiste :

http://www.shofu.com/en/products/cameras/camera/eyespecial-c-ii/


Céramik


paradoxe

20/07/2015 à 11h02

levm écrivait:
--------------
> que je me sers plus de mon teléphone pour prendre des photos
LOL
je croyais être le seul à laisser le reflex au placard (accu souvent déchargé et encombrant) au profit du téléphone.
Cela me sert surtout de repère, la qualité n'est pas prioritaire.


paradoxe

20/07/2015 à 11h06

Céramik écrivait:
-----------------
> Un produit compact dédié au dentiste :
>
> http://www.shofu.com/en/products/cameras/camera/eyespecial-c-ii/

Quand même plus de 3300 euros avec la TVA & transport, mais sans compter les taxes d'importation.
A ce prix, on a un numérique plein format et un caillou pro.


Smile beach jgh0a1 - Eugenol
Céramik

20/07/2015 à 17h12

paradoxe écrivait:
------------------
> Céramik écrivait:
> -----------------
> > Un produit compact dédié au dentiste :
> >
> > http://www.shofu.com/en/products/cameras/camera/eyespecial-c-ii/
>
> Quand même plus de 3300 euros avec la TVA & transport, mais sans compter les
> taxes d'importation.
> A ce prix, on a un numérique plein format et un caillou pro.

Ben oui, je sais que c'est $$$ :-)
Je trouvais bizarre de passer au portable quand on a un APN Canon équipé !

Les accu de mon vieux Canon (6 ans) font au moins 2-300 photos et au pire une recharge de 5-10 minutes te donne pas mal de photos pour un cas. Sinon, une 2e batterie sur e.bay, ça coute qq euro :-)

Pour les portables
:

http://www.smileline-by-styleitaliano.com/smileline-by-styleitaliano/shop#96


Sinon, photomed, regarde les kits avec compact Canon, tu peux y ajouter le ring flash canon.

Il ya 10 ans, j'avais un Canon serie G avec ring flash Canon Mr-14X, pas mal. Après 1-2 ans, j'ai passer au reflex, ben j'ai tjrs le même Mr-14X (près de 50.000 photo) et jamais je retournerais au compact.


--
Céramik


Smile beach jgh0a1 - Eugenol
Céramik

20/07/2015 à 17h14

http://www.photomed.net/g16.htm


--
Céramik


levm

20/07/2015 à 20h42

Ceramik ,
je ne souhaite pas faire des présentations de cas mais juste montrer à des patients avant / aprés .
Le probleme du reflex , c est vraiment trop encombrant .
Ca m'arrive de le prendre pour des cas sympas mais au quotidien , j ai du mal .


HDent

21/07/2015 à 02h45

pas mal le G16


Smile beach jgh0a1 - Eugenol
Céramik

22/07/2015 à 05h24

levm écrivait:
--------------
> Ceramik ,
> je ne souhaite pas faire des présentations de cas mais juste montrer à des
> patients avant / aprés .
> Le probleme du reflex , c est vraiment trop encombrant .
> Ca m'arrive de le prendre pour des cas sympas mais au quotidien , j ai du mal .


Les avant après avec le Reflex Canon, je fais ça au quotidien, les patients aiment bien.

Je fais peu de présentations, je fais ça parce que j'aime le faire.

Si c'est juste pour une dent, une caméra intra-oral et hop.

Le iphone et le truc de Style Italiano ça peut le faire aussi


--
Céramik


eusebius

22/07/2015 à 12h41

quelqu'un a déjà utilisé ce truc?


http://ztylus.com/collections/attachments/products/ztylus-led-ring-light-attachment

le même principe sur ton note4 et tu améliores grandement ton éclairage


Images jm2g2g - Eugenol
dr_0le

22/07/2015 à 13h48

Céramik écrivait:
-----------------
> levm écrivait:
> --------------
> > Ceramik ,
> > je ne souhaite pas faire des présentations de cas mais juste montrer à des
> > patients avant / aprés .
> > Le probleme du reflex , c est vraiment trop encombrant .
> > Ca m'arrive de le prendre pour des cas sympas mais au quotidien , j ai du mal
> .
>
>
> Les avant après avec le Reflex Canon, je fais ça au quotidien, les patients
> aiment bien.
>
> Je fais peu de présentations, je fais ça parce que j'aime le faire.
>
> Si c'est juste pour une dent, une caméra intra-oral et hop.
>
> Le iphone et le truc de Style Italiano ça peut le faire aussi
>
>
> --
> Céramik


--
You can't always get what you want..

testé le truc style italiano qq semaines... très bof.. les photos qu'on voit sur le site sont retoucvhées +++

mon prothésiste me l'avait prêté.. je lui ai rendu.. je cherche aussi un apn assez compact pour de la macro..
en wifi pour le transfert, et avec flash annulaire adaptable =)


Smile beach jgh0a1 - Eugenol
Céramik

22/07/2015 à 18h16

dr_0le écrivait:

> assez compact pour de la macro..
> en wifi pour le transfert, et avec flash annulaire adaptable =)

Tu as regardé le kit Canon G16 ?


Regarde :

https://www.dinecorp.com/products-page/cameras-for-orthodontists/dine-digital-solution-camera-kit/




--
Céramik


Little shop of horrors brzqjx - Eugenol
chatondecarte

23/07/2015 à 00h40

Je ne pense pas qu il soit possible de faire de très belles photos sans un minimum de matos. Les patient ne sont pas choqués pas le reflex monstrueux façon les experts miami, ils sont même plutôt positivement impressionnés

--
http://facebook.fr/drbbenichou


Bonta mvdcrm - Eugenol
matt_clrvt

02/08/2015 à 02h41

Hassan, un APN macro potable pour moins de 800€, c'est possible ?
En entrée de gamme reflex, l'objectif sigma + boîtier canon eos 100D + flash annulaire atteignent 1200€.
Du coup je me demande si quelq'un a déjà testé le Dine Digital Solution posté par Ceramik ?

--
- ping -t 127.0.0.brain
- ... sending packets ...
- délai d'attente de la demande dépassé
- délai d'attente de la demande dépassé


Smile beach jgh0a1 - Eugenol
Céramik

02/08/2015 à 06h20


J'ai eu un Canon G3 + ring flash Mr14-X en 2003

Compacte : oui
Facile : oui et non
Défaut : profondeur de champ limité à f8.0
focus en macro pas tjrs fiable, et lent VS reflex

en 2004, j'ai prix un boitier Canon + lentille Sigma 105 macro

et 12 ans plus tard, j'ai tjrs le même Mr14-X et la lentille Sigma, j'ai changé de reflex en cour de route, le 1er a lâché après 4 ans, l'actuel montre des signes de fatigue...mais avec 50 000 photo sur mon ordi (des centaines effacées en cours de route) je me dit que ça fait pas cher la photo, alors 1200 euro pour passer en mode Reflex, c'est pas cher en 2015 (c'est au moins 2X moins cher qu'en 2003 et 20X mieux !)

Juste pour l'effet "pro", ça vaut le coup/coût

--
Céramik


Bonta mvdcrm - Eugenol
matt_clrvt

07/08/2015 à 12h02

Des avis sur cette configuration ?

Boîtier nikon D3200
http://www.conrad.de/ce/de/product/965239/Digitale-Spiegelreflexkamera-Nikon-D3200-Body-242-Mio-Pixel-Schwarz-Full-HD-Video-Optischer-Sucher-Live-View-Blitz?ref=list

Objectif SIGMA standard
http://www.fnac.com/Sigma-DG-EX-105-mm-f-2-8-OS-HSM-Macro-Monture-Nikon/a3716621/w-4

flash annulaire walliser
http://www.conrad.de/ce/de/product/1054116/Walimex-Ringblitz?ref=list

En France je n'ai trouvé que ça en boîtier http://www.fnac.com/Reflex-Canon-EOS-100D-Boitier-Nu/a5811425/w-4 Je ne sais pas si c'est mieux.

--
- ping -t 127.0.0.brain
- ... sending packets ...
- délai d'attente de la demande dépassé
- délai d'attente de la demande dépassé


aimpi

08/08/2015 à 14h26

pas mal d'info là:

http://www.lesnumeriques.com/appareil-photo-numerique/nikon-d3200-p13170/test.html

http://www.lesnumeriques.com/appareil-photo-numerique/canon-eos-100d-p15921/test.html


Bonta mvdcrm - Eugenol
matt_clrvt

08/08/2015 à 18h48

Oui, je pense que je vais opter pour un nikon D3300 ou 3200. Au final on trouve des prix s'approchant en France.
Maintenant il me reste à trouver un flash annulaire qui ne coûte pas plus cher qu'un boitier...

--
- ping -t 127.0.0.brain
- ... sending packets ...
- délai d'attente de la demande dépassé
- délai d'attente de la demande dépassé


John gp55mb - Eugenol
Faivre-rampant

27/03/2016 à 00h17

J'aurais besoin de conseil.
Pour la communication avec le patient est ce qu'il est préférable d'avoir une camera intra orale ou un appareil photo?

sachant que je débute et que je suis collaborateur salarié (pas de frais pro) qu'est ce que vous pouvez me conseiller ?


Photo pluton1b h9n4ea - Eugenol
pluton

27/03/2016 à 00h50

pour la com avec les patients?
Ebay est ton ami et tu y trouveras pour une misère une petite caméra intrabuccale qui sera parfaite pour çà...;-)


John gp55mb - Eugenol
Faivre-rampant

27/03/2016 à 14h02

Est ce que tu peux me conseiller une camera intra orale sur EBay dans ce cas ?
(il y a trop de choix et trop de vendeur possible).


12