Cookie Consent byPrivacyPolicies.comexpansion? ça va etre chaud... - Eugenol

expansion? ça va etre chaud...

S2y2o1v7q53ws4r5wy6ou8czrpom - Eugenol
pxav

01/09/2015 à 19h19

des avis?

--
xbk
"Si tous ceux qui croient avoir raison n'avaient pas tort, la vérité ne serait pas loin" Dac Pierre

Guinm f14 ddc3hl - Eugenol
Gui m f 14 ccnegk - Eugenol
Gui m f 16 kxmkqm - Eugenol
Gui m f 01.12 - Eugenol

G-P

01/09/2015 à 23h23

Moi je mettrais un bloc et deux vis mais faudrait peut-être que je me mettre à l'expansion :)
J'imagine que le cas est déjà fini, et avec succès, je me trompe ?


Sans titre tztxfv - Eugenol
Monet

02/09/2015 à 01h40

Oui, il nous tarde de voir car c'est le cas typique que l'on voit dans nos cabinets.
Par contre, la réhabilitation du secteur 3 semble "curieuse''


S2y2o1v7q53ws4r5wy6ou8czrpom - Eugenol
pxav

02/09/2015 à 15h32

G-P écrivait:
-------------

> J'imagine que le cas est déjà fini, et avec succès, je me trompe ?

non, le bas est fini, mais la chir du haut c'est pour bientôt, photos et vidéo si je peux, et que ça marche ou pas je montre tout, (nous intégrons de plus en plus la gestion des échecs dans nos présentations, ça plait aux inscrits car il y a quasiment toujours une solution)
--
xbk
"Si tous ceux qui croient avoir raison n'avaient pas tort, la vérité ne serait pas loin" Dac Pierre


S2y2o1v7q53ws4r5wy6ou8czrpom - Eugenol
pxav

02/09/2015 à 15h37

Monet écrivait:
---------------
> Oui, il nous tarde de voir car c'est le cas typique que l'on voit dans nos
> cabinets.
> Par contre, la réhabilitation du secteur 3 semble "curieuse''

Effectivement le secteur 3 est curieux radiologiquement mais il y a des raisons ... l'expansion à la mandibule, fut...sportive.
--
xbk
"Si tous ceux qui croient avoir raison n'avaient pas tort, la vérité ne serait pas loin" Dac Pierre

Guim f panoramic mgvrjl - Eugenol
Gui m f34 ere7du - Eugenol
Gui m f35 gchs9x - Eugenol
Guim f 37 w556e6 - Eugenol
Gu m f37 o4nagm - Eugenol
Gum f35 xtd8nd - Eugenol

S2y2o1v7q53ws4r5wy6ou8czrpom - Eugenol
pxav

02/09/2015 à 15h40

G-P écrivait:
-------------
> Moi je mettrais un bloc et deux vis

c'est une bonne solution aussi, D57 en ce moment ferait sans doute un prélèvement ramique, ou ROG...je n'écarte pas ces solutions, mais si l'expansion réussit, nous gagnons du temps, de l'argent... et je prends toujours beaucoup de plaisir dans ce genre de chirurgie.

--
xbk
"Si tous ceux qui croient avoir raison n'avaient pas tort, la vérité ne serait pas loin" Dac Pierre


G-P

02/09/2015 à 17h57

L'expansion mieux que le sexe ? La suite bientot


S2y2o1v7q53ws4r5wy6ou8czrpom - Eugenol
pxav

02/09/2015 à 19h57

G-P écrivait:
-------------
> L'expansion mieux que le sexe ? La suite bientôt
non!je n'ai jamais dis ça...

--
xbk
"Si tous ceux qui croient avoir raison n'avaient pas tort, la vérité ne serait pas loin" Dac Pierre


G-P

02/09/2015 à 20h19

Je te taquine ;)


S2y2o1v7q53ws4r5wy6ou8czrpom - Eugenol
pxav

02/09/2015 à 20h32


oui bien sur, le seul plus de l"expansion c’est que je peux facilement en faire 5 ou 6 de suite, ce qui n'est plus le cas pour le sexe...
--
xbk
"Si tous ceux qui croient avoir raison n'avaient pas tort, la vérité ne serait pas loin" Dac Pierre


aterman

03/09/2015 à 21h38

Je debute, juste une interrogation.

C est quoi une expansion?

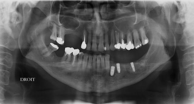
Pour l implant sur 14 il manque de l os en vestibulaire? Mise en place d os synthetique et membrane ou prelevement ramique?

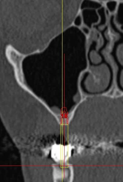
Pour la 16 , une augmentation par abord lateral ou orthograde( desole je me souviens plus du nom de la technique).

Merci pour les infos.


simfed

03/09/2015 à 22h19

j'ai eu un cas similaire à traiter , j'ai voulu faire une expansion au début tout allait bien maisapres avoir fini mon expansion j'ai mis mon implant et pendant l'insertion j'ai senti que l'implant tournait dans le vide , c'était la corticale vestibulaire qui avait craqué en regard de l'implant ,du coup ,j'ai mis une éponge de collagène ,du biooss ,et une membrane et refermé le tout
Ma question: Apres cet échec ,qu'est ce que je fais maintenant ,j'interviens quand ?????


simfed

03/09/2015 à 22h19

j'ai eu un cas similaire à traiter , j'ai voulu faire une expansion au début tout allait bien maisapres avoir fini mon expansion j'ai mis mon implant et pendant l'insertion j'ai senti que l'implant tournait dans le vide , c'était la corticale vestibulaire qui avait craqué en regard de l'implant ,du coup ,j'ai mis une éponge de collagène ,du biooss ,et une membrane et refermé le tout
Ma question: Apres cet échec ,qu'est ce que je fais maintenant ,j'interviens quand ?????


simfed

03/09/2015 à 22h20

j'ai eu un cas similaire à traiter , j'ai voulu faire une expansion au début tout allait bien maisapres avoir fini mon expansion j'ai mis mon implant et pendant l'insertion j'ai senti que l'implant tournait dans le vide , c'était la corticale vestibulaire qui avait craqué en regard de l'implant ,du coup ,j'ai mis une éponge de collagène ,du biooss ,et une membrane et refermé le tout
Ma question: Apres cet échec ,qu'est ce que je fais maintenant ,j'interviens quand ?????


simfed

03/09/2015 à 22h21

j'ai eu un cas similaire à traiter , j'ai voulu faire une expansion au début tout allait bien maisapres avoir fini mon expansion j'ai mis mon implant et pendant l'insertion j'ai senti que l'implant tournait dans le vide , c'était la corticale vestibulaire qui avait craqué en regard de l'implant ,du coup ,j'ai mis une éponge de collagène ,du biooss ,et une membrane et refermé le tout
Ma question: Apres cet échec ,qu'est ce que je fais maintenant ,j'interviens quand ?????


S2y2o1v7q53ws4r5wy6ou8czrpom - Eugenol
pxav

03/09/2015 à 22h35

si je comprends bien, tu as fait 4 fois la même chose...:-))

l'expansion,ce n'est pas sorcier, ce qui l'est par contre c'est gérer les problèmes...
Pour répondre à ta question, il faut un minimum de données, radios, scan, photos etc...

2 cas peuvent se ressembler, sans être du tout les mêmes.
si tu as essayer de gercer un cas identique, tu as déjà une grosse expérience en expansion...ou bien un grosse inexpérience, car ce n'est pas un cas simple.
remarques sans animosité, le forum doit servir a progresser pas a se bouffer le nez.

--
xbk
"Si tous ceux qui croient avoir raison n'avaient pas tort, la vérité ne serait pas loin" Dac Pierre


S2y2o1v7q53ws4r5wy6ou8czrpom - Eugenol
pxav

03/09/2015 à 22h38

aterman écrivait:
-----------------
> Je debute, juste une interrogation.
>
> C est quoi une expansion?
>
> Pour l implant sur 14 il manque de l os en vestibulaire? Mise en place d os
> synthetique et membrane ou prelevement ramique?
>
> Pour la 16 , une augmentation par abord lateral ou orthograde( desole je me
> souviens plus du nom de la technique).
>
> Merci pour les infos.

l'expansion, ou manipulation osseuse, c'est utiliser l'os existant, en doublant ou triplant son volume...
--
xbk
"Si tous ceux qui croient avoir raison n'avaient pas tort, la vérité ne serait pas loin" Dac Pierre


aterman

04/09/2015 à 00h02

Merci..
Ca semble tres interessant. Quel est le recul clinique?
Bonne chance pour l operation


S2y2o1v7q53ws4r5wy6ou8czrpom - Eugenol
pxav

21/09/2015 à 21h22

bon, et bien ça c'est fait.
photos et vidéo si vous êtes sages et que je trouve le temps...

--
xbk
"Si tous ceux qui croient avoir raison n'avaient pas tort, la vérité ne serait pas loin" Dac Pierre

024 nlj7qm - Eugenol
039 xmpjrq - Eugenol
040r uxmpcw - Eugenol
023 ettdnc - Eugenol
031 x0ff2u - Eugenol
036 hbeloa - Eugenol
050 pab6h5 - Eugenol

Image saznoz - Eugenol
Hodina

22/09/2015 à 10h56

Bonjour, merci pour ton post;
Nous attendons avec impatience la vidéo-explication de ta technique.


--
😁😁😁😁😁😁
Le Blog dentaire.
www.arcad-dentaire.fr
((-----Vivre le sourire Hollywoodien-----))


BucaR

10/11/2015 à 18h44

La rx avec bistouri en place sert à vérifier quoi?


S2y2o1v7q53ws4r5wy6ou8czrpom - Eugenol
pxav

10/11/2015 à 23h03

la radio sert à vérifier la position de la lame 15, par rapport à la racine et au sinus, mais je ne suis pas sur que tu comprennes, que le bistouri est dans l'os, c'est l'instrument le plus fin et le moins traumatisant pour fendre l'os (je le préfère au piezzo et même au disque diamanté).

--
xbk
"Si tous ceux qui croient avoir raison n'avaient pas tort, la vérité ne serait pas loin" Dac Pierre


Utilisateur banni

11/11/2015 à 09h48

Utilisation du bistouri

Mise en chage imm diate 188 a56meo - Eugenol
Mise en chage imm diate 189 qqjwjz - Eugenol

S2y2o1v7q53ws4r5wy6ou8czrpom - Eugenol
pxav

11/11/2015 à 10h18

Très bel exemple, mis à part que l'incision primaire est faite au disque, sinon, il est évident que le chirurgien a une bonne expérience de l'expansion (visible à certains détails).

--
xbk
"Si tous ceux qui croient avoir raison n'avaient pas tort, la vérité ne serait pas loin" Dac Pierre


Dominique30

15/11/2015 à 20h12

Bonjour, pour la 16 ,tu peux faire une ostéotomie de SUmmers, tu as plus de 4 mm d'os .
Un implant de 10 mm devrait suffir.
Pour la 12 ou 13 utilise les expanseurs, prévoit un 3,6
Cordialement


12...