Cookie Consent byPrivacyPolicies.comexpansion? ça va etre chaud... - Eugenol

expansion? ça va etre chaud...

S2y2o1v7q53ws4r5wy6ou8czrpom - Eugenol
pxav

09/12/2016 à 19h36

en principe entre 23 et 25 le trou mentonnier est assez loin ....mdr
sinon , c'est comme tout, il suffit de bien prévoir et il est éventuellement possible de passer en parallèle du V, mais c'est toujours le même problème à moins d’être né avec des mains d'argent, il vaut mieux une bonne formation (petit j'ai appri à déplacer le V, même si je ne le fait plus, ça m'a permis de comprendre certaines choses)

--
xbk
"Si tous ceux qui croient avoir raison n'avaient pas tort, la vérité ne serait pas loin" Dac Pierre


Utilisateur banni

09/12/2016 à 20h00

En gros tu scindes au dessus du V sinon tu ne fais pas si je comprends bien.


S2y2o1v7q53ws4r5wy6ou8czrpom - Eugenol
pxav

09/12/2016 à 20h48

chaque cas est particulier, on peut scinder, ou passer à coté en principe en lingual

--
xbk
"Si tous ceux qui croient avoir raison n'avaient pas tort, la vérité ne serait pas loin" Dac Pierre


rem

09/12/2016 à 23h13

Bonsoir ! Pour les formations aux expansions vous conseilleriez quoi ? Qui? Merci )))


S2y2o1v7q53ws4r5wy6ou8czrpom - Eugenol
pxav

10/12/2016 à 18h35

rem écrivait:
-------------
> Bonsoir ! Pour les formations aux expansions vous conseilleriez quoi ? Qui?
> Merci )))

ben tu as les très bons, Khoury par exemple, et sinon D57 et pxav :-)

http://www.anthogyr.fr/services/formations/dr-xavier-beck-dr-thomas-guillaumin-les-clefs-de-lexpansion-osseuse-comprendre-0

formation sur 2 jours avec TP (hyper important de mettre en pratique, sinon c'est bof)

--
xbk
"Si tous ceux qui croient avoir raison n'avaient pas tort, la vérité ne serait pas loin" Dac Pierre


Utilisateur banni

12/12/2016 à 20h30

Cicatrisation à une semaine après mon cas , quasi pas de douleur pour le patient :

https://www.dropbox.com/s/1vc1v2sgawc8tnp/IMG_0616.JPG?dl=0


l adan

13/12/2016 à 10h57

porte t'il un provisoire ?


Utilisateur banni

14/12/2016 à 20h45

Surtout pas


S2y2o1v7q53ws4r5wy6ou8czrpom - Eugenol
pxav

21/03/2017 à 17h20

un petit cas pour ressortir ce post...et parce que c'est quand même chaud


--
xbk
"Si tous ceux qui croient avoir raison n'avaient pas tort, la vérité ne serait pas loin" Dac Pierre

Re mo cross section 15 qfrj3i - Eugenol
Re mo cross section14 rc9grp - Eugenol

S2y2o1v7q53ws4r5wy6ou8czrpom - Eugenol
pxav

21/03/2017 à 17h23

incision crestale lame n°15, tatum, spreader Meissinger implants, PX34120 et OP34100 (summer avec eponges)

--
xbk
"Si tous ceux qui croient avoir raison n'avaient pas tort, la vérité ne serait pas loin" Dac Pierre

Img 4350 rsocfc - Eugenol
Img 4351 celftb - Eugenol
Img 4352 f5bnjd - Eugenol
Img 4353 ryh5or - Eugenol
Img 4354 wpzrdo - Eugenol
Img 4355 wjoss1 - Eugenol
Img 4357 zp2181 - Eugenol
Img 4358 vjnamx - Eugenol
Img 4359 d0v02y - Eugenol

S2y2o1v7q53ws4r5wy6ou8czrpom - Eugenol
pxav

21/03/2017 à 17h41




--
xbk
"Si tous ceux qui croient avoir raison n'avaient pas tort, la vérité ne serait pas loin" Dac Pierre

2585a8890dd74ad8e7168bd32c5a4674 0 iclxql - Eugenol

Generique fraisage r2rxmm - Eugenol
lardonbis

21/03/2017 à 18h10

pfffff expansion/Summer.... chaud

Ce qui me la coupe c'est que tu fais ça avec une incision vraiment minimale ( tu travailles au toucher ? :) ) .
Tes patients ont de la chance.


S2y2o1v7q53ws4r5wy6ou8czrpom - Eugenol
pxav

21/03/2017 à 18h50

lardonbis écrivait:
-------------------
> pfffff expansion/Summer.... chaud
>
> Ce qui me la coupe c'est que tu fais ça avec une incision vraiment minimale ( tu travailles au toucher ? :) ) .
> Tes patients ont de la chance.

oui, tout en sensations, et après avoir bien réfléchis sur le scan; c'est tout le principe de la manipulation osseuse, procédé qui semble voué à la disparition, avec les guides et les système GPSoguidés...en tout cas pour le moment, je prends mon pied à bricoler...
merci pour les compliments
--
xbk
"Si tous ceux qui croient avoir raison n'avaient pas tort, la vérité ne serait pas loin" Dac Pierre


S2y2o1v7q53ws4r5wy6ou8czrpom - Eugenol
pxav

21/03/2017 à 18h57

par contre je fais pas mal de radios, exemple spreaders trop près de la racine donc changement d'axe (d'où l’intérêt de l'expansion)


--
xbk
"Si tous ceux qui croient avoir raison n'avaient pas tort, la vérité ne serait pas loin" Dac Pierre

016 gn9x9q - Eugenol
013 r6cbqu - Eugenol

Utilisateur banni

26/07/2017 à 16h38

regarde moi ça pxav c'est la suite de mon cas
-> crete de 2 mm , expansion pour mettre du 3.7 sur 13 et 15 + summers dans la même séance sur 15
-> et regarde voir 6 mois après on voit que la 15 s'est légèrement enfoncée sur 2 mm :))))) expansion + summers ça faisait peut être beaucoup.
-> je lui ai posé les vis
-> Et je vais devoir exceptionnellement faire dès pilier CFAO pour corriger très légèrement l'axe (Implants légèrement vestibulés)

Photo 1 expansion plus summers
Photo 2-3 : 6 mois après

Songy1 trt2mz - Eugenol
Songy2 usb22t - Eugenol
Img 1366 ejzvou - Eugenol

S2y2o1v7q53ws4r5wy6ou8czrpom - Eugenol
pxav

26/07/2017 à 17h59


c'est propre dommage d'avoir une perte crestale sur 13 avec quel instrument as tu fait l'incision osseuse?

--
xbk
"Si tous ceux qui croient avoir raison n'avaient pas tort, la vérité ne serait pas loin" Dac Pierre


Utilisateur banni

26/07/2017 à 19h43

lame puis ensuite des instruments absolument pas destinés à faire une expansion 😊 ( d'abord une grosse spatule pour élargir de 1 à 2 mm , j'ai alterné lame et grosse spatule plusieurs fois puis petit décolleur puis décolleur plus gros) . Étant donné que les decolleurs sont convexes ça élargit encore plus l'espace et bien entendu des osteotomes pour le summers .

Le patient m'a dit qu'il avait saigné du nez Le lendemain. Puis plus rien. Quasi Aucune douleur à ma grande surprise

Et j'ai Du fraiser pour rechercher ma 15

Img 1368 dqhvb2 - Eugenol

Utilisateur banni

27/07/2017 à 12h07

Regarde j'ai introduit ces divers instruments plus ou moins larges et épais dans la fente histoire de dilater la chose :
- spatule ou plutôt écarteur -> ca c'est vraiment pas mal
- puis decolleurs Et plus gros

Image uyczzd - Eugenol
Image ggxbmc - Eugenol
Image rgztto - Eugenol
Image z3vylb - Eugenol

Dolan donald duck weird wqjham bw43ju - Eugenol
GéPé

27/07/2017 à 16h36

junior® écrivait:
-----------------

>
> Et j'ai Du fraiser pour rechercher ma 15

C'est quoi cet axe...


S2y2o1v7q53ws4r5wy6ou8czrpom - Eugenol
pxav

27/07/2017 à 17h45

GéPé écrivait:
--------------
> junior® écrivait:
> -----------------

> > Et j'ai Du fraiser pour rechercher ma 15
>
> C'est quoi cet axe...

(+1)

je vais prendre des gants pour te répondre junior....je crois que l'on peut utiliser n'importe quel instrument, mais il faut garder à l'esprit que : "l’outil ne fait pas le bon ouvrier"... en effet l'outil, quel qu’il soit, est d'abord et avant tout le prolongement de ma main et donc de l'esprit .
Donc avant de bricoler l'os pour y planter des vis, il est bon de se demander pourquoi faire une expansion...

L'expansion n'a pas pour unique but de planter une racine dans un os étroit.

elle permet d'une par de gagner de la largeur mais aussi et surtout de corriger l'axe de l'os pour que la future prothèse soit bien positionnée.

Toute autre approche ne sera que du tâtonnement et du bricolage.
Quand tu apprendras et comprendras ça tes, axes ne seront plus les mêmes et tu sauras pourquoi tu as une perte osseuse en crestal qui peut ne rien prévoir de bon à moyen terme.
avant d'utiliser un decolleur, ou une spatule de bouche, pour "former" l'os, j'ai eu la chance de voir de bons ouvrier (Tatum, Chanavaz...)utiliser les bons instruments, et de comprendre leur logique de travail.

--
xbk
"Si tous ceux qui croient avoir raison n'avaient pas tort, la vérité ne serait pas loin" Dac Pierre


Utilisateur banni

27/07/2017 à 19h11

on part de ça et encore je prends la coupe où on a le plus d'os
https://www.dropbox.com/s/oq8laiqdql5pua3/IMG_0597.JPG?dl=0

hey on se détend les deux, prenez une petite tisane ça va vous relaxer:)))) un pilier CFAO et on n'y verra que du feu
et je rappelle qu'il n' y a pas même pas 3 ans je ne posais strictement rien. Un ptit summers + expansion je trouve que c'est pas mal quand même, non? Y a une ptite correction d'axe largement rattrapable. C'est pas impossible que ça aurait été mieux fait si ça avait été toi qui l'avais fait.

Après avec un peu plus d'expérience effectivement c'est pas impossible que je fasse encore mieux ce genre de chose. Rappelle toi pxav quand t'as commencé : n'oublies pas toutes les boulettes que t'as faites quand tu débutais :))) rappelle toi des linkow et autres implants que t'as posés et les échecs ^^... rappelles toi de tout ça et de ce que tu faisais au bout de 3 ans d'implanto et le nombre d'implants perdus :)) . Pour l'instant pas d'implant perdu au cabinet pour bibi.


S2y2o1v7q53ws4r5wy6ou8czrpom - Eugenol
pxav

27/07/2017 à 19h31

dans les années 90 Marc Bert au cours de sa présentation sur les échecs, montrait la récupération de 4 implants antérieurs posé quasiment à 60° par rapport à l'axe des dents ...à l'époque pas de cadcam et ça marchait quand même, mais il est préférable de ne pas avoir besoin de pirouettes pour ça...

il y a 3 ans tu ne posais pas, et maintenant tu apprends sur les patients au lieu de bénéficier des erreurs des autres pour éviter de trop en faire toi même.

Contrairement à ce que tu penses, même si j'ai commencé tout seul dans mon coin (en 84 il n'était pas simple de se former) j'ai dés 87, suivi des formations (pendant 7 ans)et depuis je continu en particulier en échangeant avec les confrères qui savent.

Quand je vois D57 évoluer, je suis bien content d'avoir détecté son talent et de profiter de son savoir pour m'éviter de rouiller.

si tu as posé l'implant correspondant à la coupe que tu montre sur https://www.dropbox.com/s/oq8laiqdql5pua3/IMG_0597.JPG?dl=0
et bien ce n'est pas sérieux, car inadapté, et la perte crestale est normal et obligatoire, mais je doute que ce soit pile à cet endroit que tu as posé

--
xbk
"Si tous ceux qui croient avoir raison n'avaient pas tort, la vérité ne serait pas loin" Dac Pierre


Utilisateur banni

27/07/2017 à 20h30

le problème c'est que je fais toujours avec un guide radio quand y a plusieurs Implants à poser, comme ça ça me permet de positionner mes Implants où je veux Et de réutiliser mes piliers modifiables transferts d'empreinte... moins ça me coûte cher mieux je me porte , Mais là il m'a rapporté des coupes d'un autre praticien alors j'ai fait avec . Il voulait pas repayer un scanner ce qui est compréhensible.
Je vous mettrai Le cas final , on y verra que Du feu. D'autant plus qu'il a une gencive kératinisée bien épaisse . Donc très sincèrement je pense que ça ne pose aucun problème. Je peux même faire faire ça par les chinois pour pousser le vice jusqu'au bout histoire d'exciter encore plus la galerie 😊

Après concernant la technique je peux concevoir que je suis encore une Belle brèle 😊, je ferai plus attention à l'axe la prochaine fois


S2y2o1v7q53ws4r5wy6ou8czrpom - Eugenol
pxav

27/07/2017 à 23h20



Redresser l'axe, en expansion, ça ne coule pas de source, mais si tu penses savoir, bon courage
--
xbk
"Si tous ceux qui croient avoir raison n'avaient pas tort, la vérité ne serait pas loin" Dac Pierre


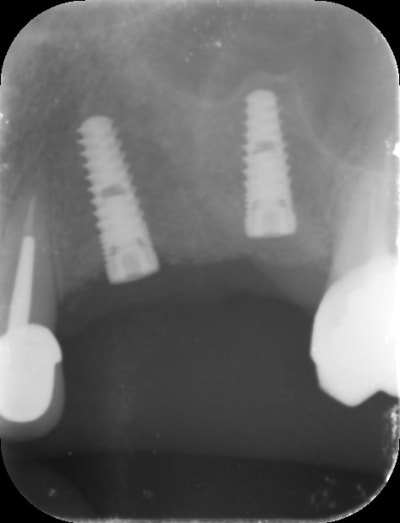
Utilisateur banni

28/07/2017 à 07h04

est ce que sur la pano que je poste ces Implants postérieurs sont dans l'axe ? 😊 Est ce que ça pose problème ? J'ai pas l'impression 😊😊😊. Alors tu vas peut être me dire que c'est différent : on est dans des divergences d'axe dans le sens mesio-distal et non vestibulo lingual. Mais Ils ne sont pas tout à fait dans l'axe des dents on dirait, non ? Alors si on extrapole est ce que la ptite divergence d'axe dans un cas comme Le mien pose problème alors qu'au départ il n'y avait quasi pas d'os , ni en largeur ni En hauteur...

Img 1371 bdvvba - Eugenol

1234...