Cookie Consent byPrivacyPolicies.comQuel diagnostic? - Eugenol

Quel diagnostic?

aterman

18/09/2015 à 16h53

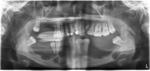
Patient de 20 ans, envoye en urgence a l hosto par son dentiste pour des douleurs aux maxillaires.
Il est passe au service d orl et viens nous voir la semaine prochaine.
Quel est le diagnostic?

2015 08 27 x4gcac - Eugenol

paradoxe

18/09/2015 à 17h10

Je cale au niveau de la cytologie différentielle ..


Nouveau image bitmap fz77zh - Eugenol
Sethef

18/09/2015 à 17h24

Je n'ai jamais vu de pano comme ça, mais est-ce qu'un noma ne donnerait pas une image dans le genre?
(j'imagine qu'en Suède ça ne doit pas être tous les jours non plus...)


lachmar

18/09/2015 à 17h30



ca fout les boules un pano comme ca

direct maxilo ... d'urgence

pour info : s'agit-il d'un toxico ?


Aiguille cyboyt - Eugenol
fatboy

18/09/2015 à 17h36

Plusieurs accidents de chasse? Bain de bouche a l'acide?


Capture d  cran 2015 05 13   10.37 - Eugenol
BA

18/09/2015 à 18h54

Kyste epidermoide ?
Envoyer d'urgence au maxillo, car risque de fracture MDB ++++


aterman

18/09/2015 à 19h25

A vos dicos:

Histiocytose langerhansienne :0) maladie orpheline

Prise en charge multidisciplinaire, j en saurai plus la semaine prochaine


Tumblr nbpd8ntwip1rsb3deo1 1280 hyinig - Eugenol
Enki

18/09/2015 à 20h42

J'allais répondre "syndrôme de Gorlin"....


Merci pour le partage !


aterman

19/10/2015 à 13h46

Un peu plus de nouvelles:

Le patient avait pose un lapin en septembre, il est finalement venu la semaine derniere.

Douleurs continues et tres importantes. Presque impossible de faire un examen en bouche. On a une fracture de la mandibule secteur 3 qui est en train de s infecter.

Aucune hygiene dentaire, ca facilite pas la prise en charge..le patient est nourri par des aliments liquides destines aux astronautes.

Sinon on a une prise en charge multidisciplinaire avec service de cancerologie pour traitement cytostatique et prevision de consolidation de toute la mandibule par un arc.


Le probleme est la plannification de l intervention car le traitement cytostatique va faire chuter la reponse immunitaire du patient et gros risques de complications infectieuses lors de la chirurgie.

a suivre

2015 08 27 tds30t - Eugenol
Dsc 0010 vpxpg6 - Eugenol
Dsc 0015 iveljl - Eugenol
Dsc 0013 l2x9on - Eugenol

aterman

19/10/2015 à 13h46

.


flicflac

23/10/2015 à 05h18

la maladie du sourire, lol