Cookie Consent byPrivacyPolicies.comendo du soir bonsoir! - Eugenol

endo du soir bonsoir!

JUAN

22/09/2015 à 19h48

vu la pré op j'avais très peur du résultat mais avec des limes 10 puis 15 avec du glyde et beaucoup de patience, c'est passé! je suis pas mécontent du résultat sur ce truc qui sommeille depuis 40 ans

46 gw26zt - Eugenol
46 post op h8ibgb - Eugenol

tictac

22/09/2015 à 20h50

Chapeau franchement. Sinon t'utilises pas les limes de catheterisme rotatives (pathfile, scoutrice, oneG...), ca te simplifierait la tache


Topi

23/09/2015 à 11h33

Idem, j'utilise des limes toutes fines de m-two. génial, même des fois, je trouve le canal avec...


JUAN

23/09/2015 à 13h10

pour moi le cathétérisme se fait toujours en manuel pour "sentir" la perméabilité et la trajectoire du canal qui une fois obtenue permet de passer le rotatif sinon les risques de casse sont majorés non?
En tout cas j'ai appris comme ça


Avatar eugenol pe0ymx - Eugenol
nicklebenou

23/09/2015 à 13h33

JUAN écrivait:
--------------
> pour moi le cathétérisme se fait toujours en manuel pour "sentir" la
> perméabilité et la trajectoire du canal qui une fois obtenue permet de passer le
> rotatif sinon les risques de casse sont majorés non?
> En tout cas j'ai appris comme ça

avec l'arrivée sur le marché depuis qq temps déjà des pathfile, proglider etc... le cathétérisme par ces limes rotatives est devenue incroyablement performant.
je te conseille d'essayer tu te feras ta propre opinion.
J'avoue que depuis que j'ai essayé j'en ai toujours une séquence pas loin. Cela facilite tellement notamment pour les mv2 ou les canaux difficilement perméable.
Tu devrais vraiment essayer... :-)


Shinoda70

26/09/2015 à 15h16

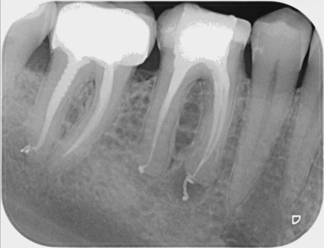
Bonjour , pourriez vous m'expliquer l'excès de produit au niveau de l'apex au niveau des racines obturées , c'est un dépassement ? Merci .


Licorne

27/09/2015 à 13h43

Shinoda70 écrivait:
-------------------
> Bonjour , pourriez vous m'expliquer l'excès de produit au niveau de l'apex au
> niveau des racines obturées , c'est un dépassement ? Merci .

Et shinoda va nous faire croire qu'il n'à jamais fait de dépassement apical .... MDR!


carident

27/09/2015 à 14h48

nicklebenou écrivait:
---------------------
> JUAN écrivait:
> --------------
> > pour moi le cathétérisme se fait toujours en manuel pour "sentir" la
> > perméabilité et la trajectoire du canal qui une fois obtenue permet de passer
> le
> > rotatif sinon les risques de casse sont majorés non?
> > En tout cas j'ai appris comme ça
>
> avec l'arrivée sur le marché depuis qq temps déjà des pathfile, proglider etc...
> le cathétérisme par ces limes rotatives est devenue incroyablement performant.
> je te conseille d'essayer tu te feras ta propre opinion.
> J'avoue que depuis que j'ai essayé j'en ai toujours une séquence pas loin. Cela
> facilite tellement notamment pour les mv2 ou les canaux difficilement perméable.
> Tu devrais vraiment essayer... :-)

Je plussoie!
La preuve en vidéo...


Capture d  cran 2015 03 12 12.28 - Eugenol
chicot29

27/09/2015 à 19h16

JUAN écrivait:
--------------
> pour moi le cathétérisme se fait toujours en manuel pour "sentir" la
> perméabilité et la trajectoire du canal qui une fois obtenue permet de passer le
> rotatif sinon les risques de casse sont majorés non?
> En tout cas j'ai appris comme ça

Tu casses quand tu forces et c'est valable avec les limes manuelles aussi.
Perso quand le S1 force j'envoie le réciproc là ou était arrivé le S1. Le s1 progresse ensuite plus facilement.


Blocperso talon jer3sl - Eugenol
mrquentin

02/10/2015 à 00h55

nicklebenou écrivait:
---------------------
> JUAN écrivait:
> --------------
> > pour moi le cathétérisme se fait toujours en manuel pour "sentir" la
> > perméabilité et la trajectoire du canal qui une fois obtenue permet de passer
> le
> > rotatif sinon les risques de casse sont majorés non?
> > En tout cas j'ai appris comme ça
>
> avec l'arrivée sur le marché depuis qq temps déjà des pathfile, proglider etc...
> le cathétérisme par ces limes rotatives est devenue incroyablement performant.
> je te conseille d'essayer tu te feras ta propre opinion.
> J'avoue que depuis que j'ai essayé j'en ai toujours une séquence pas loin. Cela
> facilite tellement notamment pour les mv2 ou les canaux difficilement perméable.
> Tu devrais vraiment essayer... :-)

Est ce que tu fais ta première exploration canalaire avec une lime rotative?


Avatar eugenol pe0ymx - Eugenol
nicklebenou

02/10/2015 à 01h06

mrquentin écrivait:
-------------------
> nicklebenou écrivait:
> ---------------------
> > JUAN écrivait:
> > --------------
> > > pour moi le cathétérisme se fait toujours en manuel pour "sentir" la
> > > perméabilité et la trajectoire du canal qui une fois obtenue permet de
> passer
> > le
> > > rotatif sinon les risques de casse sont majorés non?
> > > En tout cas j'ai appris comme ça
> >
> > avec l'arrivée sur le marché depuis qq temps déjà des pathfile, proglider
> etc...
> > le cathétérisme par ces limes rotatives est devenue incroyablement performant.
> > je te conseille d'essayer tu te feras ta propre opinion.
> > J'avoue que depuis que j'ai essayé j'en ai toujours une séquence pas loin.
> Cela
> > facilite tellement notamment pour les mv2 ou les canaux difficilement
> perméable.
> > Tu devrais vraiment essayer... :-)
>
> Est ce que tu fais ta première exploration canalaire avec une lime rotative?

Non toujours lime manuelle.je prends ma LT avec au localisateur. Je sais que certain font différemment mais je me sens à l aise comme cela.


Blocperso talon jer3sl - Eugenol
mrquentin

02/10/2015 à 15h10

donc tu fais ton exploration manuellement avec une 10 jusqu'à l'apex, ta Lt, et puis après tu fais tes pathfile diametre 10 et 15 puis endo mécanisée classique c'est ca?
Si oui, quelle est l'avantage par rapport à pas de pathfile? je fais diametre 10 puis 15 en manuel puis R25 sans problème, donc quel est l'avantage de rajouter des pathfile?


Avatar eugenol pe0ymx - Eugenol
nicklebenou

02/10/2015 à 15h50

mrquentin écrivait:
-------------------
> donc tu fais ton exploration manuellement avec une 10 jusqu'à l'apex, ta Lt, et
> puis après tu fais tes pathfile diametre 10 et 15 puis endo mécanisée classique
> c'est ca?
> Si oui, quelle est l'avantage par rapport à pas de pathfile? je fais diametre 10
> puis 15 en manuel puis R25 sans problème, donc quel est l'avantage de rajouter
> des pathfile?

il y a des cas ou tu passes pas ta lime 10 ou 8 jusqu'à l'apex.
Si tu sens une petite accroche à l'entrée du canal tu essayes avec la pathfile la plus fine et dans certaines situations ca travaille de manière incroyable et sécurisante. Après seulement tu passes tes limes manuelles jusqu'à l'apex.
quand tu passes ta lime 10 à l'apex aucun intérêt amha d'utiliser ces limes.
ca sert vraiment sur les cas difficiles


Blocperso talon jer3sl - Eugenol
mrquentin

05/10/2015 à 01h02

en fait tu t'en sers surtout pour la négociation du premier tiers, j'ai bon? c'est un peu pour redresser l'axe quand c'est très calcifié


Avatar eugenol pe0ymx - Eugenol
nicklebenou

05/10/2015 à 02h12

mrquentin écrivait:
-------------------
> en fait tu t'en sers surtout pour la négociation du premier tiers, j'ai bon?
> c'est un peu pour redresser l'axe quand c'est très calcifié

Non pas que.
Tu as qu à essayer aussi sur des canaux avec courbures ou avec quelqies calcifications ou tu as du mal à progresser vers l apex.
Tu bloques à qq MM de l apex en manuel tu prends.les.pathfile et là tu passes à l.aise.
Ce sont des limes de cathétérisme rotatif voilà tout


Capture d  cran 2015 03 12 12.28 - Eugenol
chicot29

08/10/2015 à 15h06

Endo du matin bonjour ! -)))))


Pulpite à se taper la tete contre les murs sur cette 46. J'ai dépucelé mon quick sleeper 6 fraichement déballé, qui n'a rien à voir avec mon quick sleeper 3 apparemment. -))))
Anesthésie trigone rétro molaire silence opératoire total.
Molaire avec racines ultra longues lt 25 mm partout.

Sx sur entran, largo 3 sur double bague verte pour ouvrir les entrées, s1 sur endomaster, r25 sur wd gold j'usqu'à 18 mm LT.
PUIS cathétérisme lime 10 puis 20 et S1 suivi du R25 à 25 mm. ( finition manuelle au r 25 pour terminer le distal, faut pas tenter le diable ! -))))

Mésiaux sur instrumentés (des fois je ne sais pas m'arrêter quand il faut ! )

Contrairement aux apparences, j'ai mis 45 mn. -))))

Capture d e cran 2015 10 08 12.50 - Eugenol
Capture d e cran 2015 10 08 12.53 - Eugenol

Hok 1b hgd3rj - Eugenol
Hokusai

08/10/2015 à 15h21

Impeccable... C'est top chicot...
Tu obtures par technique de compactage vertical à chaud ?
Et aussi comment comptes tu reconstituer la dent?


Capture d  cran 2015 03 12 12.28 - Eugenol
chicot29

08/10/2015 à 15h26

Je chauffe au friendo compacte au macthou en coronaire puis mac spadden 30 ( ca évite la valse du cone)


tarek bahsoun

08/10/2015 à 23h08

C'est pas QS5 par hasard ? Car je suis pas au courant de la 6iem génération, mais je peux me tromper


Capture d  cran 2015 03 12 12.28 - Eugenol
chicot29

09/10/2015 à 00h43

Si .


Bigoody

09/10/2015 à 18h38

C'est beau


Avatar transparent iqadnc - Eugenol
adhoc

09/10/2015 à 19h42

Tres fort, chicot29, dépassement ici totalement interdit!
Tu étais a la limite de l'art vétérinaire :-)


lachmar

09/10/2015 à 19h47



s'il te plait chicot

ne me dis pas que tu as mis 30 minutes


tictac

09/10/2015 à 22h00

tu utilises l'anesthesie sur la zone trigo molaire pour endormir une 6 avec ton qs5? Je comprends pas bien, tu fais pas une intra osseuse classique sur la papille à 45 degré


Capture d  cran 2015 03 12 12.28 - Eugenol
chicot29

09/10/2015 à 22h59

lachmar écrivait:
-----------------
>
>
> s'il te plait chicot
>
> ne me dis pas que tu as mis 30 minutes

Non, 45 mn.


12