Cookie Consent byPrivacyPolicies.comavis sur bridge + attachement ou pas? - Eugenol

avis sur bridge + attachement ou pas?

Npyu

23/09/2015 à 23h33

Bonsoir à tous,
J'ai besoin d'aide sur un cas clinique :
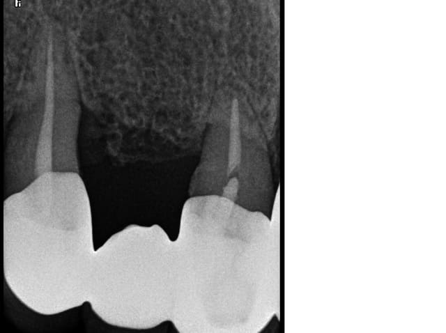
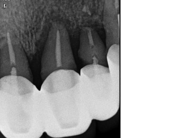
Patient de 67 ans, diabétique, porteur d'un bridge maxillaire et dune PAT mandibulaire, vient pour une réabilitation occlusale.
Les dents ne sont pas mobiles et le bridge est assez ancien et disgracieux.
Je lui ai proposé plusieurs plans de traitements, le premier :
1 - dépose bridge
2 - extraction 21 22 car alvéolyse importante
3 - bridge provisoire en attente d'une cicatrisation
4 - Puis brdige définitif avec comme pilier 13 - 11 - 23 et inter 12 - 21 - 22, accompagné d'un attachement extra coronaire en D de 13-23 de type cylindre ou boule
5- Stellite sur les attacheement
ou sinon jsute un stellite sans attachement mais plutot crochet mais cela serai plutot voyant

Le deuxième plan de traitement serait :
1- extraction 11 21 22 et garder 13 23 en vu de faire des boutons pressions
ou sinon
1 - extraction pour une PAT provisoire puis une PAT définitive lorsque la cica sera terminée

Le patient serait plus tendé pour de la fixe que le l'amovible...
Pensez vous que le premier plan de traitement pourrait tenir ou serait plutot casse gueule?

Merci

Panoramique dahmadi syqsnx - Eugenol
Ra 11 21 22 pn6abq - Eugenol
Ra 13 11 ji5dei - Eugenol
Ra 21 22 23 l7mv66 - Eugenol

S2y2o1v7q53ws4r5wy6ou8czrpom - Eugenol
pxav

23/09/2015 à 23h59

je suis plutôt conservateur, mais diabète plus dents restante très limite...extractions et 2 PAT le résultat sera plus satisfaisant.

--
xbk
"Si tous ceux qui croient avoir raison n'avaient pas tort, la vérité ne serait pas loin" Dac Pierre


6szjws718sv1jksw54v4mpj3a6cu - Eugenol
vulpi

24/09/2015 à 00h37

Pas mieux, les attachements tu vas au casse-pipe, et les boutons pressions n'apporterons rien, au maxillaire une PAC tient très bien toute seule.


Gabzou

24/09/2015 à 12h40

surtout s'il a déjà une PAT à la mandibule et qu'il la met! Il ne devrait y avoir aucun problème au maxillaire.
Si j'ai retenu une chose de mes cours d'amovible, c'est " A la mandibule tu conserves au maximum, au maxillaire tu avulses si tu as un doute"


endoz

24/09/2015 à 13h42

+1


Npyu

27/09/2015 à 02h15

Ok merci pour vos réponses.