Cookie Consent byPrivacyPolicies.comMarre des resultats aleatoires sur les grosses reconstitions - Eugenol

Marre des resultats aleatoires sur les grosses reconstitions

jeff13

28/11/2015 à 20h40

Je suis quelqu'un de plutot conservateur, je fais tout garder tant que c'est possible les dents vivantes. Mais voila, je commence à en avoir marre des pulpites reversibles/irreversible, necroses et compagnie sous les gros compo, amalgame, onlay...Attentio, je ne parle pas de sensibilités post op qui temoignerait d'un soucis au niveau du protocole operatoire mais bel et bien des reactions epidermiques et non controlable que constitue le tissu pulpaire

Pourtant je suis précautionneux dans ma méthode de travail, fraise neuve, irrigation abondante, travail sous digue, temporisation quand necessaire...Ca commence a bien faire de devoir se justifier devant les patients, on a l'impression d'avoir mal travailler. "Bah je comprends pas docteur, ca allait bien et maintenant c'est la catastrophe!"

Je vais me mettre une regle, bio direct s'il reste qu'un ou deux mm de dentine, ca va etre vite fait bien fait. J'ai horreur de l'aleatoire


bf

28/11/2015 à 20h58

avec 30 ans de carrière au compteur ,il y a bien longtemps que j'ai laissé tombé coiffage , fond de cavité et cie

avec l'expérience ces dents reviennent tjs en deuxième semaine

incroyable le nb de nécrobiose que l'on trouve sous les compos !!

et toi tu passes pour un mec chez qui on a tjs mal !!

si tu es proche de la pulpe , tu dépulpes , tu fais une belle endo en première intention et tout le monde est content
le patient n'a plus mal , ne revient pas 36 fois
et toi tu ne gères pas des urgences en permanence


3231500709 2 2 94jcbpqu h1bmap - Eugenol
T4xus

28/11/2015 à 21h37

Je suis aussi très conservateur et je n'ai quasiment pas de nécrose.

Déjà, "grosse restauration" => restauration partielle collée obligatoire, pas de composite (étanchéité compromise à court terme et résistance mécanique insuffisante).

Travail sous digue, irrigation importante, désinfection systématique de la cavité à la chlorexidine, IDS pour obturer les tubulis, Biodentine, quand je suis à moins de 1mm de la pulpe et surtout temporisation assez limitée dans le temps (car pas assez étanche). Je pense qu'il ne faut pas hésiter à coller la restauration rapidement, quitte à déposer pour faire l'endo en cas de nécrose.

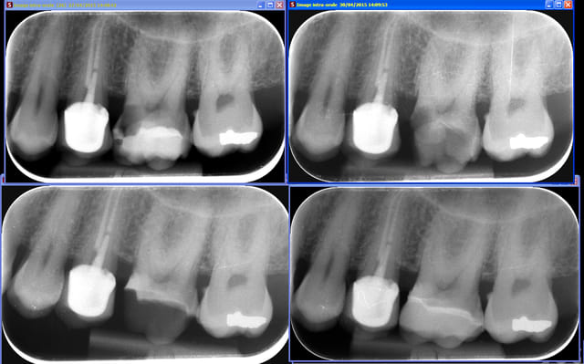
Tiens, un cas juxta-pulpaire fait il y a quelques mois : biodentine, remontée de marge, IDS et onlay Emax. La dent est vivante et asymptomatique...

Biodentineremontedemargeonlay ykgexl - Eugenol

jeff13

28/11/2015 à 22h12

oui joli travail, mais ton cas peut marcher 9 fois sur 10. Mais t'as l'air con sur le dixieme cas. Et ca c'est independant de ta volonté


carident

28/11/2015 à 22h18

Quelques mois... Attendons de voir dans 2 ou 3 ans.

Et au vue de la calcification des canaux, l'endo va être plus sympa et plus aléatoire à faire :-) (après on dira, les endo c'est pas sûre :-p)


G-P

28/11/2015 à 22h26

Communication, Communication et Communication.

"Vous voyez sur votre radio monsieur là on est très près du nerf, alors on va tout tenter pour garder votre dent vivante parce que X/Y/Z, mais si vous avez mal dans 2 semaines/2 mois/2 ans, c'est que le nerf est touché et il faudra dévitaliser. Vous avez bien compris ?"

Oui docteur -> onlay
Non docteur je veux pas avoir mal -> endo/IC/couronne.

Augmente de 50€ ton onlay et prend 10 minutes de plus pour expliquer/argumenter.

J'ai très exceptionnellement des nécroses sous mes onlays. Je fais l'éviction carieuse sous digue, pas de chlorhexidine mais systématiquement un IDS immédiat.
Je fais pas le fou non plus à faire des onlay sur 0.5mm de dentine semi tranlucide.


3231500709 2 2 94jcbpqu h1bmap - Eugenol
T4xus

28/11/2015 à 22h28

jeff13 écrivait:
----------------
> oui joli travail, mais ton cas peut marcher 9 fois sur 10. Mais t'as l'air con
> sur le dixieme cas. Et ca c'est independant de ta volonté

Ben si ça permet déjà d'éviter de dévitaliser 9 dents sur 10 c'est excellent. Tant-pis pour la 10ème, elle sera dévitalisée ce qui ne pose aucun problème si le patient a été prévenu.


chipoundine

28/11/2015 à 22h33

Surtout quand on connais le taux d echec des endos a 10 ans ....


jeff13

28/11/2015 à 22h35

sauf qu'il y a une difference entre une semaine et 10 ans. Les pb sur les grosses reconstitutions, ca peut arriver dans la semaine. Les endos c'est beaucoup plus à long terme

Et quitte à passer pour un con, c'est quoi "ids"?


G-P

28/11/2015 à 23h58

jeff13 écrivait:
----------------
> Et quitte à passer pour un con, c'est quoi "ids"?

Immediate dentin sealing

avec notre ami le dr Magne


Avatar uy05sg - Eugenol
guest100

29/11/2015 à 11h00

C'est pas du tout blanc tout noir, c'est un max de niveaux de gris, et c'est là qu'il y a problème...
C'est joli reprise de marge IDS et Onlay, mais on est dans un système de rémunération de m..., et notre quotidien en est imbibé.
Et le patient n'est pas disposé à régler 250 euros (ou 400?) pour un onlay remboursé 40,97 euros , AMO ET AMC! La "mutuelle" a beau jeu de dire "ha ben non , désolés, c'est des soins alors vous avez que le ticket modérateur"...
Donc oui, soit dépulper ? plus que de raison? soit faire du HN (pardon du NPC) et du mal remboursé ??? Ou prendre le risque, comme il est de bonne pratique, de conserver au max la vitalité, AVEC LES EXIGENCES ESTHETIQUES NON REMUNEREES que le patient attend de nous. Parce qu'avant , eugénate puis amalgame la séance d'après , c'était et moins opérateur-dépendant et moins pulpo-agressif ...
Rigolez pas, il est pas question de revenir en arrière, il faut se poser les bonnes questions...
Où est la "vérité"?
Pour relativiser, Je me souviens d' un article de Stéphane Simon, qui n'est quand même pas le plus nul en endo , nous dire à peu près que le problème des endodontistes en France , c'est les reprises de traitement ( qualité des endos?) , en en Angleterre, où il a pratiqué, c'était l'endo sur canaux sclérosés -et nécrosés (excès de soins juxtapulpaires?) ...
Allez, bon dimanche ;-)


G-P

29/11/2015 à 11h06

guest100 écrivait:
------------------

> Et le patient n'est pas disposé à régler 250 euros (ou 400?) pour un onlay
> remboursé 40,97 euros , AMO ET AMC!

C'est pour ça que je fais payer plus. A force de se faire payer des clopinettes, on perd la motivation de bien faire, et on finit par rentrer dans le moule à faire de la merde.


Capture d  cran 2015 03 12 12.28 - Eugenol
chicot29

29/11/2015 à 12h47

guest100 écrivait:
------------------
> C'est pas du tout blanc tout noir, c'est un max de niveaux de gris, et c'est là
> qu'il y a problème...
> C'est joli reprise de marge IDS et Onlay, mais on est dans un système de
> rémunération de m..., et notre quotidien en est imbibé.
> Et le patient n'est pas disposé à régler 250 euros (ou 400?) pour un onlay
> remboursé 40,97 euros , AMO ET AMC! La "mutuelle" a beau jeu de dire "ha ben non
> , désolés, c'est des soins alors vous avez que le ticket modérateur"...
> Donc oui, soit dépulper ? plus que de raison? soit faire du HN (pardon du NPC)
> et du mal remboursé ??? Ou prendre le risque, comme il est de bonne pratique, de
> conserver au max la vitalité, AVEC LES EXIGENCES ESTHETIQUES NON REMUNEREES que
> le patient attend de nous. Parce qu'avant , eugénate puis amalgame la séance
> d'après , c'était et moins opérateur-dépendant et moins pulpo-agressif ...
> Rigolez pas, il est pas question de revenir en arrière, il faut se poser les
> bonnes questions...
> Où est la "vérité"?
> Pour relativiser, Je me souviens d' un article de Stéphane Simon, qui n'est
> quand même pas le plus nul en endo , nous dire à peu près que le problème des
> endodontistes en France , c'est les reprises de traitement ( qualité des
> endos?) , en en Angleterre, où il a pratiqué, c'était l'endo sur canaux
> sclérosés -et nécrosés (excès de soins juxtapulpaires?) ...
> Allez, bon dimanche ;-)

On est précisément dans le vif du sujet. Avec le TPG ayant pour visée le 0 reste à charge et des financeurs totalement déconnectés des réalités cliniques de la dentisterie moderne il vaut mieux opter pour l'endo ic coiffe et ses emmerdes à long terme ! ca évite de faire des phrases ! Nos chers députés ont voulu ce type de soins pour leurs électeurs faut pas les décevoir !-)))))
Bref la France est devenue un pays du tiers monde en dentisterie. Pouvait on penser qu'il en soit autrement avec un système communiste de protection sociale ?
IDS, onlays non remboursés est possible en écrémant sa clientèle et en ne gardant que ceux qui peuvent payer la question c'est : en avez vous les moyens ?
Le paradoxe c'est qu'au final une endo ic coiffe coute plus cher qu'un onlay ! et nul doute vu ce que l'on voit à longueur de journée que c'est plus rapide à faire !-))))



Marque a3 orange fyvhyq - Eugenol
Marc Apap

29/11/2015 à 14h04

C'est malheureusement à peu près vrai : tout le monde n'est pas aussi rapide que toi pour achever le traitement pulpec+ic+ccm.
De toute manière à la question des résultats aléatoires posée par notre confrère, la réponse est évidente : oui, étant donné le nombre d'interventions qui dépendent de la technique opératoire et l'état pulpaire impossible à déterminer précisément avant l'intervention, le résultat ne peut être qu'aléatoire. Celui d'une endo etc l'est un peu moins, avec des conséquences négatives (quand il y en a ) à plus long terme.
Cela c'est scientifique.
La politique de santé de notre pays et la gestion de notre cabinet imposent des choix thérapeutiques qui ne sont pas forcément les meilleurs objectivement (dans un sens ou dans l'autre), mais la vie n'est faite que de compromis.


paradoxe

29/11/2015 à 14h06

jeff13 écrivait:
----------------
> J'ai horreur de l'aleatoire

Alors vaut mieux faire autre chose.
Bienvenue dans le monde du vivant.
Il n'y a aucune règle, le hasard et l'imprévu sont la base même de l'existence du vivant.
Après 25 ans de job, je découvre encore des symptomes et réactions curieuses et répertoriées nulle part.

Demain, nos technocrates vont faire tuer et brûler tout ce qui ne correspond pas aux normes.
Autrement dit, demain, toute réaction secondaire non prévue par les textes de la CPAM / CCAM seront assimilées à des visions de l'esprit pathologique du patient, et donc à dégager. Lol


3231500709 2 2 94jcbpqu h1bmap - Eugenol
T4xus

29/11/2015 à 15h15

Travailler comme ça prend du temps, mais je facture la biodentine (100€ NR) et la remontée de marge (100€ NR).

Cependant, j'avoue que je devrais multiplier mes prix par 1.5 je voulais atteindre la rentabilité de ceux qui font endo-IC-CCM. Je gagne peu, mais j'ai la satisfaction du travail fait comme il doit être fait.

C'est vrai que le système nous oriente vers une dentisterie du tiers-monde, mais si personne ne se bat pour s'affranchir de ce système, les choses n'évolueront pas. Chacun a son libre arbitre et est donc libre de sa pratique. Je vous rappelle d'ailleurs cette phrase du serment d'Hippocrate : "Je préserverai l’indépendance nécessaire à l’accomplissement de ma mission". J'ai fait le choix d'une pratique conservatrice parce que c'est le mieux pour le patient et ce n'est pas la sécu ni les mutuelles qui m'en empêcheront.

En dépit du système, notre pratique est juste une question de choix.


Spix4ever

29/11/2015 à 15h45

T4xus écrivait:
---------------
> Je suis aussi très conservateur et je n'ai quasiment pas de nécrose.
>
> Déjà, "grosse restauration" => restauration partielle collée obligatoire, pas de
> composite (étanchéité compromise à court terme et résistance mécanique
> insuffisante).
>
> Travail sous digue, irrigation importante, désinfection systématique de la
> cavité à la chlorexidine, IDS pour obturer les tubulis, Biodentine, quand je
> suis à moins de 1mm de la pulpe et surtout temporisation assez limitée dans le
> temps (car pas assez étanche). Je pense qu'il ne faut pas hésiter à coller la
> restauration rapidement, quitte à déposer pour faire l'endo en cas de nécrose.
>
> Tiens, un cas juxta-pulpaire fait il y a quelques mois : biodentine, remontée de
> marge, IDS et onlay Emax. La dent est vivante et asymptomatique...

c'est joli ^^

Mais malheureusement pas accessible à tous les patients :/.
J'aimerais faire tous les jours ça plutôt que des bios à la con mais bon svt le patient prendra endo couronne.

Après faut faire le détartrage aussi :P (mésiale 27 ^^)


3231500709 2 2 94jcbpqu h1bmap - Eugenol
T4xus

29/11/2015 à 15h51

> Après faut faire le détartrage aussi :P (mésiale 27 ^^)

Oui j'avais vu lol


Marque a3 orange fyvhyq - Eugenol
Marc Apap

29/11/2015 à 16h08

La remontée de marche est une technique récente qui n'a pas démontré autre chose qu'une certaine efficacité entre les mains d'experts chargé d'en vanter les mérites.
La remontée de marche me fait bien rire : on utilise un composite dans des conditions douteuses et on se glorifie d'avoir une obturation étanche : pour combien de temps ?


Picodon

29/11/2015 à 16h15

Marc Apap écrivait:
-------------------
> La remontée de marche est une technique récente qui n'a pas démontré autre chose
> qu'une certaine efficacité entre les mains d'experts chargé d'en vanter les
> mérites.
> La remontée de marche me fait bien rire : on utilise un composite dans des
> conditions douteuses et on se glorifie d'avoir une obturation étanche : pour
> combien de temps ?
>

Comment gères-tu ces cas de limites basses? Elongation coronaire plutôt?

N'est-il pas plus sûr de coller un composite pour remonter la marge sous digue, que de coller l'onlay avec une limite trop basse et ainsi prendre le risque d'un mauvais collage à ce niveau?


Marque a3 orange fyvhyq - Eugenol
Marc Apap

29/11/2015 à 16h51

Certes, mais je voulais dire que tout cela est de la dentisterie élitiste à ne pas mettre entre toutes les mains. En termes de santé publique, il faut enseigner des méthodes accessibles au plus grand nombre de praticiens et au plus grand nombre de patients. C'est à dire les plus fiables et les moins coûteuses (rapport qualité / prix).
Après, si l'on veut et peut (si l'on est capable techniquement et que le patient l'accepte financièrement), c'est OK, mais je pense que ce n'est pas réaliste ni souhaitable de le proposer pour tous.
Une chose en tous cas me semble sûre : ne jamais tenter ce genre de technique dans des bouches à la mauvaise hygiène ou lorsque l'hygiène ne peut être contrôlée (personnes sous médicaments psychotropes par exemple).
On ne peut pas restaurer toutes les bouches de la même manière car les patients diffèrent non seulement par leur niveau de revenu, mais aussi par leur niveau de conscience médicale, et leur capacité à entretenir leur bouche de manière optimale.

Sur le plan technique, la remontée de marche est acceptable sur le principe. Mais sur le plan matériel, elle est difficile (pose de digue), elle est aléatoire (qualité de l'adhésion, nécessité d'une polymérisation parfaite donc allongement conséquent de l'insolation à cause de la profondeur de la marche et la distance de l'embout lumineux, comportement à terme du composite lorsque l'on sait que le degré de conversion des composites n'est que de 50 à 70 % dans les meilleurs de cas). Bref, placer une restauration coûteuse sur une base douteuse, me paraît discutable.
Il me semble qu'il vaut mieux faire une limite dent-céramique que multiplier les interfaces avec d'autres matériaux aux propriétés biologiques et mécaniques plus faibles.


Picodon

29/11/2015 à 17h13

Je partage tout à fait ton point de vue et notamment en ce qui concerne le terrain du patient.

Et que penser des composites chémo-polymérisables pour la remontée de marge? On éliminerait déjà le facteur "mauvaise photo-polymérisation"...

Autre question que je me posais : il y a-t-il des données sur le type de système adhésif recommandé pour l'IDS?

Mordançage + Primer-Adhésif? (J'ai du XP-Bond au cabinet) (2 étapes)
Mordançage + Primer et adhésif séparés? (3 étapes)
SAM?


carident

29/11/2015 à 17h30

T4xus écrivait:
---------------
>
> Cependant, j'avoue que je devrais multiplier mes prix par 1.5 je voulais
> atteindre la rentabilité de ceux qui font endo-IC-CCM.

Ceci ne veut rien dire... La rentabilité de l'endo-IC-CCM peut varier facilement d'un facteur 1 à 4! (peut être même beaucoup plus...)

Le même praticien peut être plus ou moins exigent envers lui-même, et décider de bosser deux fois plus vite (mais aussi 2 fois moins bien) et donc d'être deux fois plus rentable...

Il y a 10000 manières différentes de faire une endo, une empreinte, une couronne, un onlay, etc... ; le temps passés et le coût des consommables peuvent être sans commune mesure suivant la rigueur et les moyens déployés.

> Je gagne peu, mais j'ai
> la satisfaction du travail fait comme il doit être fait.

Encore une fois c'est ni plus ni moins qu'une vision de l'esprit... La qualité d'un traitement ne se résume pas à dire biodentine+onlay > endi+IC+CCM.

Biodentine+onlay mal réalisé (oui parce que ce type de traitement son beaucoup plus praticien dépendant), ou faite sur n'importe quel patient à HBD plus que douteuse c'est sans hésitation un traitement bien plus mauvais que l'endo+IC+CCM lorsqu'ils sont réalisés dans les règles de l'Art! (et là au moins la longévité à long terme est connue et plutôt excellente).


Marque a3 orange fyvhyq - Eugenol
Marc Apap

29/11/2015 à 18h33

@Carident : tout à fait d'accord, ainsi que je l'ai suggéré dans mes propos plus haut
@picodon : les composite à prise duale sont des composites fluides donc avec un pourcentage de charge moins élevé que les hybrides photopolymérisables et une rétration de prise (même si elle est mieux dirigée) encore plus grande (4 à 6 % contre 2 à 3% pour les photopolymérisables).
Pour l'IDS avant onlay il faut lire les écrits de Magne.


3231500709 2 2 94jcbpqu h1bmap - Eugenol
T4xus

30/11/2015 à 00h38

Marc Apap écrivait:
-------------------
>La remontée de marche est une technique récente qui n'a >pas démontré autre chose qu'une certaine efficacité entre >les mains d'experts chargé d'en vanter les mérites.

C'est vrai que si personne ne se met aux techniques récentes et laisse cela aux experts, on va beaucoup avancer. Si on avait tenu le même raisonnement pour les composites et les implants...

>La remontée de marche me fait bien rire : on utilise un >composite dans des conditions douteuses et on se glorifie >d'avoir une obturation étanche : pour combien de temps ?

Qui t'a dit que je faisais mes remontée de marge dans des conditions douteuses? Le but justement est de rechercher l'isolation que tu ne pourrais pas avoir lors du collage de ta restauration partielle. Avec l'aide d'une digue, matrice, coins de bois et éventuellement téflon, les conditions de réalisation de mon composite sont excellentes. Et si jamais l'isolation n'était - malgré tout - pas parfaite, on peut aussi faire ça avec du CVI.

Picodon écrivait:
-----------------

> Comment gères-tu ces cas de limites basses? Elongation coronaire plutôt?

[Je sais que tu sais, j'utilise ta question pour rebondir ^^]
La remontée de marge est indiquée - même si tu as un espace biologique suffisant - quand la configuration de la préparation ne te permet pas de poser la digue correctement et donc d'avoir une bonne isolation. Tu fais donc ta remontée de marge et tu te retrouves dans les conditions idéales pour poser ta digue et coller ta restauration.
Je réserve l'élongation coronaire aux cas où l'espace biologique est insuffisant.


> N'est-il pas plus sûr de coller un composite pour remonter la marge sous digue,
> que de coller l'onlay avec une limite trop basse et ainsi prendre le risque d'un
> mauvais collage à ce niveau?

T'as tout dit. La remontée de marge reste un compromis, mais, même si cette solution n'est pas l'idéal, elle est préférable à celle de coller dans la salive.

Marc Apap écrivait:
-------------------

> Sur le plan technique, la remontée de marche est acceptable sur le principe.
> Mais sur le plan matériel, elle est difficile (pose de digue), elle est
> aléatoire (qualité de l'adhésion, nécessité d'une polymérisation parfaite donc
> allongement conséquent de l'insolation à cause de la profondeur de la marche et
> la distance de l'embout lumineux, comportement à terme du composite lorsque l'on
> sait que le degré de conversion des composites n'est que de 50 à 70 % dans les
> meilleurs de cas). Bref, placer une restauration coûteuse sur une base douteuse,
> me paraît discutable.

J'utilise du composite bulk, qui se photopolymérise plus facilement et rarement du CVI (solubilité, résistance mécanique moindre mais tolérance à l'humidité).

>Il me semble qu'il vaut mieux faire une limite
>dent-céramique que multiplier les interfaces avec d'autres >matériaux aux propriétés biologiques et mécaniques plus
>faibles.

Dans l'idéal oui, mais quand tu ne peux pas coller dans des conditions acceptables, tu choisis un compromis. Comme l'a très bien dit Picodon, mieux vaut avoir 2 interfaces et coller au sec que d'avoir une seule interface dent-céramique mais collée dans des conditions merdiques.

carident écrivait:
------------------

>La qualité d'un traitement ne se résume pas à dire >biodentine+onlay > endi+IC+CCM.

En tout cas le pronostic d'une dent est directement lié à sa perte tissulaire et de ce point de vue la solution biodentine/restauration partielle collée est bien supérieure à endo/IC/CCM.