Cookie Consent byPrivacyPolicies.comRetraitement r endo - Eugenol

Retraitement r endo

2015 01 13 12.05 - Eugenol
thesarde75

02/12/2015 à 18h46

Bonjour,

Je suis une quiche en retraitement.

Est c'que quelqu'un peut me donner des conseils pour pas passer 2H a retraiter une molaire.

Est ce que je peux me fier au R Endo pour me faciliter la vie?

Donnez moi vos conseils, SVP.

Merci d'avance.

(p.s je cherche à acheter une turbine d'occasion pas trop cher, avec lumière intégrée... Si quelqu'un a...)


Zorba le grec 1373406512 108 lfk5ey - Eugenol
zorbalegrec

02/12/2015 à 18h49

Adresses tes retraitement à stephane simon
quand aux turbines j'en ai plusieurs (connectique WH)


2015 01 13 12.05 - Eugenol
thesarde75

03/12/2015 à 08h20

heu... comment te dire....
l'idée c'est justement pas d'adresser à l'endo....
C'est de faire moi même.
Evidemment je sais adresser quand je vois que c'est trop compliqué pour moi.
Là... c'est faire moi même parc'que je vais pas à chaque fois adresser au spé pour une molaire et qui va facturer 400e minimum...


3231500709 2 2 94jcbpqu h1bmap - Eugenol
T4xus

03/12/2015 à 09h34

thesarde75 écrivait:
--------------------

> Là... c'est faire moi même parc'que je vais pas à chaque fois adresser au spé
> pour une molaire et qui va facturer 400e minimum...

En quoi c'est ton problème?
C'est insupportable cette profession qui gueule depuis 30 ans sur les honoraires sous-évalués mais qui, au fond ne veut rien changer.


Capture d  cran 2015 03 12 12.28 - Eugenol
chicot29

03/12/2015 à 09h58

thesarde75 écrivait:
--------------------
> heu... comment te dire....
> l'idée c'est justement pas d'adresser à l'endo....
> C'est de faire moi même.
> Evidemment je sais adresser quand je vois que c'est trop compliqué pour moi.
> Là... c'est faire moi même parc'que je vais pas à chaque fois adresser au spé
> pour une molaire et qui va facturer 400e minimum...

C'est ca qu'il te faut. Opposable ( patient bien "solvabilisé") et moins cher qu'un RTE patient débarrassé de ses soucis de facon définitive.

Capture d e cran 2015 12 03 08.56 - Eugenol

Hollande portrait nu x0motm - Eugenol
DocteurCuir

03/12/2015 à 10h40

"La mort résout tous les problèmes, plus d'hommes, plus de problèmes" Staline


Sinon moi j'irrigue à l'essence d'orange ainsi qu'au rockle's, et j'y vais au wave


Vw campersurfvan bmnk1q - Eugenol
enlaye

03/12/2015 à 12h13

HBGD0033
ça peut t'aider à te decontracter :-)))
tu le fais à 399 , comme ça tu fais un prix :-)))))


Capture d  cran 2015 05 13   10.37 - Eugenol
BA

03/12/2015 à 13h00

Je suis comme toi mais je me soigne: cours et TP d'endo à Lyon sur 2 fois 2 jours
Formation et santé Dr Bal, j'ai fait la première partie l' an dernier sur les Bio, super!
et j'attends avec hate le second module cette année, retraitement, et chirurgie
On en reparle dans 8 jours...


2015 01 13 12.05 - Eugenol
thesarde75

03/12/2015 à 14h31

Bon en fait, personne n'apporte de conseils utiles...
Tout le monde raconte des conneries et ça fait pas avancer le smilblik.

Merci les gars pour votre professionnalisme ;)


2015 01 13 12.05 - Eugenol
thesarde75

03/12/2015 à 14h31

T4xus écrivait:
---------------
> thesarde75 écrivait:
> --------------------
>
> > Là... c'est faire moi même parc'que je vais pas à chaque fois adresser au spé
> > pour une molaire et qui va facturer 400e minimum...
>
> En quoi c'est ton problème?
> C'est insupportable cette profession qui gueule depuis 30 ans sur les honoraires
> sous-évalués mais qui, au fond ne veut rien changer.
>


En quoi je gueule? détends toi du slip ou du string hein! ;)


Vw campersurfvan bmnk1q - Eugenol
enlaye

03/12/2015 à 14h41

ç est vrai ça , il n'a jamais gueulé , il demande !


eusebius

03/12/2015 à 16h45

chicot29 écrivait:
------------------
>
> C'est ca qu'il te faut. Opposable ( patient bien "solvabilisé") et moins cher
> qu'un RTE patient débarrassé de ses soucis de facon définitive.


mdr :-)))


sinon, si l'endo spé demande 400 pour le temps passé, tu factures comment le tien?


pointG

03/12/2015 à 17h01

Le conseil :faire le TP Serge BAL de Lyon pour les bio
et RTE=**** comme dit précédemment
autrement la base d'une endo(bio ou RTE)=digue+hypochlorite

RTE difficulté supérieure donc souvent reconstitution
pré-endodontique et possibilité de faire sous devis

RTE Sous acétate d'éthyle ou essence d'orange ou rien

j'utilise le Rendo de chez microméga ;il y a d'autres systèmes

cela ne garantie pas des faux canaux toujours plus
fréquents en cas de RTE
ENDO= beaucoup d'huile de coude 2Xplus pour les RTE...


Capture d  cran 2015 03 12 12.28 - Eugenol
chicot29

03/12/2015 à 17h07

Cas pratique au S1, R25. Couronne déscellée à la base. Temps identique à une endo classique.

Digue inutile en antérieur.

Capture d e cran 2015 12 03 16.06 - Eugenol

eusebius

03/12/2015 à 17h31

t'as pas plus simple??


Capture d  cran 2015 03 12 12.28 - Eugenol
chicot29

03/12/2015 à 17h46

Si extraction.


Gutt-A

03/12/2015 à 17h57

eusebius écrivait:
------------------
> t'as pas plus simple??



prochainement sur les photos de chicot29, un amalgame occlusal sur une 6 !!!!


pointG

03/12/2015 à 19h02

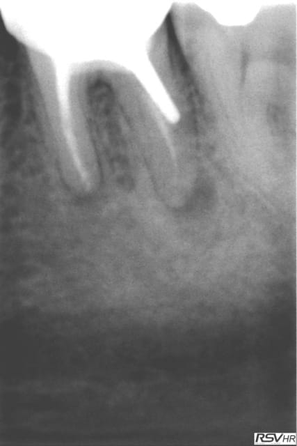
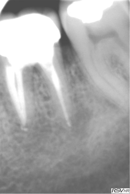
UN exemple de RTE
dépose inlay+couronne en 2009

retraitement sous digue indispensable(même sur dents antérieures la digue ce n'est pas pour faire jolie,c'est pour permettre à l'hypochlorite de rester à demeure tout le long du retraitement;il faut que çà "baigne" pour avoir une chance de
guérison apicale)
ici traitement sous hypo+digue +r-endo;il y a un dépassement léger au périapex
en 2015 guérison apparente du périapex(1h30 de retraitement!)
la dépose de l'inlay avec des ultrasons;désobturation acétate éythyle r-endo gutta compactage mac spadden
5eme photos en2009 et 2010;la dernière en 2015

M1 ugvce8 - Eugenol
M2 yrncne - Eugenol
M3 xa2l6o - Eugenol
M4 auqq0d - Eugenol
M6 ppgeu6 - Eugenol
M72015 gqvske - Eugenol

Vw campersurfvan bmnk1q - Eugenol
enlaye

03/12/2015 à 19h18

chicot29 écrivait:
------------------
" Si extraction. "

moi aussi , mouhahahah....puis remis :-))))

4 tzdgkh - Eugenol

sagito

03/12/2015 à 19h37

petites questions svp
ou trouve t'on de l'acetate d'ethyle ?
Le DPC7 en est il?
le glyde est il de l'EDTA?
si oui quelle est la différence avec le liquide?
l'utilisez vous alternativement avec l'hypochlorite ou seulement a la fin
merci


Vw campersurfvan bmnk1q - Eugenol
enlaye

03/12/2015 à 19h48

thesarde75 écrivait:
--------------------
" Bon en fait, personne n'apporte de conseils utiles...
Tout le monde raconte des conneries et ça fait pas avancer le smilblik."

t'as raison arretons les conneries.
je me lance :
j'utilise le giromatique en commençant par le jaune puis le gates n°3 et certainement pas la rotation continue .
là tu as tout debouché en quelques minutes .
l'avantage du giro ç est que tu peux forcer sans risque de casser , apres tu fais comme une endo normale .
bien entendu tout celà n'engage que moi ...


2015 01 13 12.05 - Eugenol
thesarde75

03/12/2015 à 21h51

enlaye écrivait:
----------------
> ç est vrai ça , il n'a jamais gueulé , il demande !
>


ELLE!
pas IL
je suis une femme! lol


2015 01 13 12.05 - Eugenol
thesarde75

03/12/2015 à 21h54

enlaye écrivait:
----------------
> thesarde75 écrivait:
> --------------------
> " Bon en fait, personne n'apporte de conseils utiles...
> Tout le monde raconte des conneries et ça fait pas avancer le smilblik."
>
> t'as raison arretons les conneries.
> je me lance :
> j'utilise le giromatique en commençant par le jaune puis le gates n°3 et
> certainement pas la rotation continue .
> là tu as tout debouché en quelques minutes .
> l'avantage du giro ç est que tu peux forcer sans risque de casser , apres tu
> fais comme une endo normale .
> bien entendu tout celà n'engage que moi ...
>


Le giro?? tu parles de cet espèce de contre angle réducteur là... qu'on avait quand on était à la fac pour faire les endos???
Oui je commence toujours par gates puis après avec desocclusol je finis à la lime mais je sais pas c'que ça vaut les séquences de retraitement mécanisé... Genre le R end quoi?
est c'que ça promet? de désobstruer sans passer de lime???


Vw campersurfvan bmnk1q - Eugenol
enlaye

03/12/2015 à 22h10

non fifille :-) , le giro , ç est un contre angle qui fait marche-avant marche-arriere .( ce n'est pas la reduction de la vitesse qui le caractérise)
les lames etaient en acier ,mais tu peux y monter toutes lames de rotation continue .


pointG

03/12/2015 à 22h30

on peut quand-même penser que le giromatic est dépassé...
de tout façon le mouvement 1/4 rotatif n’empêche pas
la casse (aucun système)
pour le système r-endo pour RTE :je te donne quelques
indications après avoir posé la digue avec une bonne cavité d'accès et radios pré-op:il existe un instrument à main RM
qui permet de piquer la gutta(sous acétate d'éthyle,essence d'orange ou rien);ensuite passage du R1 rouge on commence le 1/3 coronaire avec alternance hypo acétate;passage du R2 noir
pour aller à la moitié de la racine;R3 gris pour aller à la LT
tout cela avec l'aide d'instruments à mains avant,pendant
les récapitulations sous hypo
si pâte à base de bakélite mission pratiquement impossible
ou alors sous microscope et inserts à ultrasons...

mais je te conseille des formations continues en complément
il y a des formations proposées par des endos (tu as l'exemple du Docteur Bal mais il y en a d'autres)tu peux
assister à des conférences ou stages de la SFE


12