Cookie Consent byPrivacyPolicies.comEgression importante - Eugenol

Egression importante

2015 01 13 12.05 - Eugenol
thesarde75

06/12/2015 à 11h17

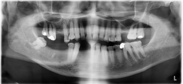
Voici le cas, patient d'une cinquantaine d'année se présentant pour solution prothétique.
Il a déjà un stellite mandibulaire de 10 ans, mais les édentements au maxillaire sup n'ont jamais été compensé.
Resultat: egression +++ de la 27 et 25
En bouche, on dirait sérieusement des dents de cheval, c'est impressionnant.

Il envisage peut être les implants mais trop cher pour lui pour le moment.

Donc pour le moment ce sera stellite max et mand;

Toutefois l'appareil mandibulaire d'il y a 10ans a été réalisé à l'arrache, pas de respect des courbes fonctionnelles.
44/45/46 sont toutes plates et peu de hauteur coronaire.

Idée??? Essayer de redonner une courbe acceptable en faisant coronoplastie sur 15 et 17 en les couronnant.

J'ai un doute sur la 17: étant donné la faible hauteur d'os en D et global, je pense que c'est archi mort.
Mais pour la 15. Qu'en pensez vous? on serait sur un rapport racine couronne 1/2 - 1/2...
Jouable nan? ou je m'obstine trop a vouloir tout conserver?

Nsimba pano qqzrmr - Eugenol
Nsimba rx1 tbisny - Eugenol

6szjws718sv1jksw54v4mpj3a6cu - Eugenol
vulpi

06/12/2015 à 12h04

Plus y en a, meilleur c'est. Le patient est jeune.
Mobilités associées? Atteinte de la furcation? Axe?
Faire un châssis évolutif.
Si tu vires 17, le pronostic de 18 est incertain, au vu de ses racines.


2015 01 13 12.05 - Eugenol
thesarde75

06/12/2015 à 12h19

Aucune mobilité associé.
Elles sont ancrées dans la roche comme pas possible.
Le patient est d'origine africaine donc je pense que l'extraction sera compliquée!!!!! lol
Mais c'est sur... Plus y'en a mieux c'est... Mais de manière générale, il a des récessions partout.
Il a brossé longtemps comme un malade avec une brosse à dent à poil dur...
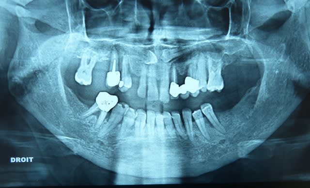
j'ai une retro de la 16 mais elle est pourrie, on voit pas bien...
J'ai pas réussi à avoir mieux que l'image que je vais joindre avec le message.
Tu ne m'as pas dit ce que tu pensais de la 15...

Nsimba rx2 goamik - Eugenol

2015 01 13 12.05 - Eugenol
thesarde75

06/12/2015 à 12h19

En bouche la frucation commence à apparaitre en V...
donc je pense que c'est mort...


6szjws718sv1jksw54v4mpj3a6cu - Eugenol
vulpi

06/12/2015 à 12h24

la 15 endo + cr. Pas de tenon métal dans la racine, au pire du fibré.


6szjws718sv1jksw54v4mpj3a6cu - Eugenol
vulpi

06/12/2015 à 12h30

thesarde75 écrivait:
--------------------
> Aucune mobilité associé.
> Elles sont ancrées dans la roche comme pas possible.
> Le patient est d'origine africaine donc je pense que l'extraction sera
> compliquée!!!!! lol
Un jour je mettrai ma pano, ça saute des générations ce truc.

Pour la 17, si c'est du béton, je fais (mais c'est pas conventionnel), endo, mise à niveau, reconst directe ou indirecte en créant la rétention pour le crochet.


2015 01 13 12.05 - Eugenol
thesarde75

06/12/2015 à 13h02

vulpi écrivait:
---------------
> la 15 endo + cr. Pas de tenon métal dans la racine, au pire du fibré.

+ CR? ça veut dire quoi


2015 01 13 12.05 - Eugenol
thesarde75

06/12/2015 à 13h04

vulpi écrivait:
---------------
> thesarde75 écrivait:
> --------------------
> > Aucune mobilité associé.
> > Elles sont ancrées dans la roche comme pas possible.
> > Le patient est d'origine africaine donc je pense que l'extraction sera
> > compliquée!!!!! lol
> Un jour je mettrai ma pano, ça saute des générations ce truc.
>
> Pour la 17, si c'est du béton, je fais (mais c'est pas conventionnel), endo,
> mise à niveau, reconst directe ou indirecte en créant la rétention pour le
> crochet.
>

Ah oui dans la 17 tu fais pas de couronne.
Tu fais ton endo, ta corono plastie et après tu "mets en forme" avec un compo ou un inlay c'est ça que tu veux dire?


2015 01 13 12.05 - Eugenol
thesarde75

06/12/2015 à 13h04

vulpi écrivait:
---------------
> thesarde75 écrivait:
> --------------------
> > Aucune mobilité associé.
> > Elles sont ancrées dans la roche comme pas possible.
> > Le patient est d'origine africaine donc je pense que l'extraction sera
> > compliquée!!!!! lol
> Un jour je mettrai ma pano, ça saute des générations ce truc.
>
> Pour la 17, si c'est du béton, je fais (mais c'est pas conventionnel), endo,
> mise à niveau, reconst directe ou indirecte en créant la rétention pour le
> crochet.
>

Ah oui dans la 17 tu fais pas de couronne.
Tu fais ton endo, ta corono plastie et après tu "mets en forme" avec un compo ou un inlay c'est ça que tu veux dire?


6szjws718sv1jksw54v4mpj3a6cu - Eugenol
vulpi

06/12/2015 à 13h07

Tiens là, au maxillaire l'indication était un complet, mais la patiente pas prête, et surtout pas envie de se faire retirer 13 et 23, alors j'ai conservé 17 endo+reconst directe, 12,11,21,25,26+ 23 et 13 incluses.
Pap résine, et hop! Là c'est les Xgames de l'adjointe, à ne pas copier!

P1020712  2  zvfhpi - Eugenol

6szjws718sv1jksw54v4mpj3a6cu - Eugenol
vulpi

06/12/2015 à 13h09

thesarde75 écrivait:
--------------------
> vulpi écrivait:
> ---------------
> > thesarde75 écrivait:
> > --------------------

> Tu fais ton endo, ta corono plastie et après tu "mets en forme" avec un compo ou
> un inlay c'est ça que tu veux dire?
Oui, je m'adapte, et si la dent saute le patient t'en veux moins que si CR, en plus tu l'informes du compromis et du risque.

Paris 5 ou 7?


2015 01 13 12.05 - Eugenol
thesarde75

06/12/2015 à 13h36

vulpi écrivait:
---------------
> thesarde75 écrivait:
> --------------------
> > vulpi écrivait:
> > ---------------
> > > thesarde75 écrivait:
> > > --------------------
>
> > Tu fais ton endo, ta corono plastie et après tu "mets en forme" avec un compo
> ou
> > un inlay c'est ça que tu veux dire?
> Oui, je m'adapte, et si la dent saute le patient t'en veux moins que si CR, en
> plus tu l'informes du compromis et du risque.
>
> Paris 5 ou 7?

Nan moi j'ai fais Reims


2015 01 13 12.05 - Eugenol
thesarde75

06/12/2015 à 13h38

thesarde75 écrivait:
--------------------
> vulpi écrivait:
> ---------------
> > la 15 endo + cr. Pas de tenon métal dans la racine, au pire du fibré.
>
> Pourquoi tu mettais pas un inlay core... je comprends pas


juninho56

06/12/2015 à 13h49

Pour la 15, moi non plus pas d inlay core.
La 15 à besoin d'une couronne mais au vu du délabrement, tu peux faire une reconstitution foulée.

Pour le plan de traitement, cela dépend aussi de ce que souhaite le patient. Vu l absence de douleurs et de mobilités, je proposerai une couronne sur 15 et une coronoplastie de 17. Si la coronoplastie a envisagé est trop importante, endo+couronne. Après à voir si implant possible par la suite ou pas du tout. En cas de Stellite Maxillaire, tu fais des couronnes fraisées. Possibilité aussi d un bridge 17-15 même,si implant en 16 beaucoup mieux


Index vakr2r - Eugenol
pgc

06/12/2015 à 14h00

Tu es en train de te prendre la tête pour rien.

17: racines divergentes, aucune mobilité. Asymptomatique. Pulpe rétractée. Perte de substance importante. Fortement égressée. Le patient n'a pas de parodontite, il a perdu 1 mm d'os en 50 ans. Dent indestructible, elle continuera à égresser jusqu'à toucher la muqueuse en bas et restera immobile tant qu'il restera un peu d'os autour des apex.
Tu dis que tu vois la furcation en vestibulaire mais sur la radio la furcation est encore fermée par de l'os.
Il y a un projet prothétique en antagoniste: sur 17 tenant compte de ces éléments on fait endo, IC, CR.

15 idem + énorme carie juxtapulpaire à moins que ce ne soit la lacune d'usure en vestibulaire. En tous cas délabrée, égressée MAIS immobile et asymptomatique, le rapport CR clinique/racine n'est pas si mauvais, tu dis 1/2 à 1/2 il parait plutôt 2/3 à 1/3 et quand tu auras remis la dent dans le plan occlusal ce sera 3/4 à 1/4.
D'où: endo, IC, CR.

26 est manquante depuis des siècles sans perturbation du plan occlusal à gauche ni tout autre problème à gauche: abstention.
Il n'est pas nécessaire de remplacer 26.
On ne va pas lui faire un stellite pour 2 dents en haut.

Ainsi:
17 indication de CR
15 indication de CR
d'où: on fait un bridge haut droite.
Le bridge durera 15 ans minimum.
Stellite en bas avec un plan d'occlusion convenable, l'absence de 26 fait un hiatus bien utile pour passer de solides crochets sur 35/36/37, parce que le stellite sur une édentation unilatérale postérieure, sans point d'ancrage en contro-latéral c'est coton! l'édentation antérieure en bas compte pour rien, il y aura 2 incisives ajustées sans fausse gencive (c'est moche en antérieur quand il ne manque que un ou deux dents). Mais le patient a déjà un stellite depuis 10 ans donc il sait que ce n'est pas le top et il l'accepte.


Prise en charge correcte pour le bridge, l'indication d'un bridge est bien posée, en bas des implants seraient préférables mais le choix du patient se porte sur une alternative honorable en attendant mieux et on respecte son choix (éclairé).
Pas de problème moral pour le dentiste, le patient est content (plus qu'avec un berlingot encombrant en haut pour un bénéfice fonctionnel relatif), on a fait le job, on prend la carte bleue et on dort sur ses deux oreilles.

Elle est pas belle la vie?

--
Ne met pas tes doigts dans la Convention! Tu risques de te faire pincer très fort.


Index vakr2r - Eugenol
pgc

06/12/2015 à 14h08

Si ta religion t'interdit de faire des inlay-core tu reconstitues les 2 dents par composite et tu tailles deux piliers parallèles ce qui te prendra un peu plus de temps mais apaisera tes scrupules moraux et t'éviteras d'être barbouillée de Pulpispad, coiffée d'une couronne de tire-nerfs et portée au bûcher d'Eugénol sous les imprécations des fidèles pour y être brûlée sur des feuilles de soins papier.

--
Ne met pas tes doigts dans la Convention! Tu risques de te faire pincer très fort.


carident

06/12/2015 à 14h15

pgc écrivait:
-------------
> Ainsi:
> 17 indication de CR
> 15 indication de CR
> d'où: on fait un bridge haut droite.
> Le bridge durera 15 ans minimum.

Tout à fait d'accord.
De plus, le bridge aura un rôle de contention pour éviter l'égression de la 15 et de la 17 si le patient ne porte pas son stellite mandibulaire, alors que si la 15 et la 17 sont couronnées (ou pas, ie coronoplastie soustractive) séparément, rien ne les empêchera de s'égresser à nouveau... (à moins d'implanter rapidement les antagonistes)

Pour la 26, il est possible de faire un valplast ackers unitaire en attendant l'implant.

http://www.eugenol.com/attachments/0011/0119/ackers_valplast_1_dent.jpg


Index vakr2r - Eugenol
pgc

06/12/2015 à 14h19

Au vu de la pano, de la radio et de l'exposé clinique il n'y a bien qu'en France qu'on en tartine trois pages pour discuter de l'indication d'un bridge pour ce patient. Dans tout autre pays du tiers-monde le bridge serait déjà fait et le patient aurait retrouvé une arcade (quasi) complète en haut pour qu'on puisse se consacrer tranquillement à réhabiliter le bas avec un bridge antérieur et trois implants à droite.


2015 01 13 12.05 - Eugenol
thesarde75

06/12/2015 à 14h22

carident écrivait:
------------------
> pgc écrivait:
> -------------
> > Ainsi:
> > 17 indication de CR
> > 15 indication de CR
> > d'où: on fait un bridge haut droite.
> > Le bridge durera 15 ans minimum.
>
> Tout à fait d'accord.
> De plus, le bridge aura un rôle de contention pour éviter l'égression de la 15
> et de la 17 si le patient ne porte pas son stellite mandibulaire, alors que si
> la 15 et la 17 sont couronnées (ou pas, ie coronoplastie soustractive)
> séparément, rien ne les empêchera de s'égresser à nouveau... (à moins
> d'implanter rapidement les antagonistes)
>
> Pour la 26, il est possible de faire un valplast ackers unitaire en attendant
> l'implant.
>
> http://www.eugenol.com/attachments/0011/0119/ackers_valplast_1_dent.jpg

Merci les gars.
Et d'ailleurs au sujet des valplast...
Quels sont leur indications,

Je pensais que c'était pour un endettement encastré d'une à 2 dents.
Mais une patiente est venue me voir en me disant que son précédant dentiste lui avait fait un devis pour un valplast 6 DENTS à la mandibulaire avec un secteur encastré et l'autre étendu...


Index vakr2r - Eugenol
pgc

06/12/2015 à 14h24

carident écrivait:
------------------
> ...
> Pour la 26, il est possible de faire un valplast ackers unitaire en attendant
> l'implant.
>


Heurk. Laisse la 26 tranquille malheureux! Pour que ce fil ne devienne pas bêtement polémique je préfère ne pas ouvrir la discussion sur les atroces Valplast (ces infâmes jambes de bois).
Le rapport entre le coût du Valplast sous licence: élevé, et le service rendu: abominable avec en prime le risque de le perdre en éternuant/ de l'ingérer/ de l'inhaler est tellement mauvais qu'il ne vaut même pas la peine d'en parler.


2015 01 13 12.05 - Eugenol
thesarde75

06/12/2015 à 14h26

pgc écrivait:
-------------
> Au vu de la pano, de la radio et de l'exposé clinique il n'y a bien qu'en France
> qu'on en tartine trois pages pour discuter de l'indication d'un bridge pour ce
> patient. Dans tout autre pays du tiers-monde le bridge serait déjà fait et le
> patient aurait retrouvé une arcade (quasi) complète en haut pour qu'on puisse se
> consacrer tranquillement à réhabiliter le bas avec un bridge antérieur et trois
> implants à droite.
>

OUAIS enfin un bridge antérieur... faut pas deconner...
tu vas dévitaliser toutes les dents juste pour faire le bridge?
parc'que moi je fais pas bridge sur dents vivantes...

D'ailleurs j'ai une question comment vous coter le bridge sur dent vivante avec la nouvelle nomenclature...
Le patient n'est tjs pas remboursé par la sécu pour cet acte?
Et autre question quand on fait un bridge 3 éléments sur piliers vivants en les preparant sous forme d'inlay (en déposant des vieux amalgames)
Qu'est c'qu'on cote dans ces cas la...


2015 01 13 12.05 - Eugenol
thesarde75

06/12/2015 à 14h26

pgc écrivait:
-------------
> Au vu de la pano, de la radio et de l'exposé clinique il n'y a bien qu'en France
> qu'on en tartine trois pages pour discuter de l'indication d'un bridge pour ce
> patient. Dans tout autre pays du tiers-monde le bridge serait déjà fait et le
> patient aurait retrouvé une arcade (quasi) complète en haut pour qu'on puisse se
> consacrer tranquillement à réhabiliter le bas avec un bridge antérieur et trois
> implants à droite.
>

OUAIS enfin un bridge antérieur... faut pas deconner...
tu vas dévitaliser toutes les dents juste pour faire le bridge?
parc'que moi je fais pas bridge sur dents vivantes...

D'ailleurs j'ai une question comment vous coter le bridge sur dent vivante avec la nouvelle nomenclature...
Le patient n'est tjs pas remboursé par la sécu pour cet acte?
Et autre question quand on fait un bridge 3 éléments sur piliers vivants en les preparant sous forme d'inlay (en déposant des vieux amalgames)
Qu'est c'qu'on cote dans ces cas la...


Index vakr2r - Eugenol
pgc

06/12/2015 à 14h27

thesarde75 écrivait:
--------------------
>
> Merci les gars.

De rien.

> Et d'ailleurs au sujet des valplast...
> Quels sont leur indications,
>

Il n'y en a aucune.

> Je pensais que c'était pour un endettement encastré d'une à 2 dents.
> Mais une patiente est venue me voir en me disant que son précédant dentiste lui
> avait fait un devis pour un valplast 6 DENTS à la mandibulaire avec un secteur
> encastré et l'autre étendu...

Et oui mon petit il y en a qui n'ont honte de rien.

Valplast pour 6 dents je t'en ficherai moi des Valplast.



2015 01 13 12.05 - Eugenol
thesarde75

06/12/2015 à 14h29

pgc écrivait:
-------------
> thesarde75 écrivait:
> --------------------
> >
> > Merci les gars.
>
> De rien.
>
> > Et d'ailleurs au sujet des valplast...
> > Quels sont leur indications,
> >
>
> Il n'y en a aucune.
>
> > Je pensais que c'était pour un endettement encastré d'une à 2 dents.
> > Mais une patiente est venue me voir en me disant que son précédant dentiste
> lui
> > avait fait un devis pour un valplast 6 DENTS à la mandibulaire avec un secteur
> > encastré et l'autre étendu...
>
> Et oui mon petit il y en a qui n'ont honte de rien.
>
> Valplast pour 6 dents je t'en ficherai moi des Valplast.

Lol tu me fais rire...
J'ai meme vu ça dans une video qui tourne en boucle dans la salle d'attente du cabinet ou je travaille: valplast au maxillaire ou à la mandibule, peu importe l'étendue de l'endentement, encastrement ou pas...
Quel est l'interet?

>
>


carident

06/12/2015 à 14h29

Y a plus de prof de prothèse à Reims depuis que Launois, schittly et Petitjean sont partis? :-)


12