Cookie Consent byPrivacyPolicies.comMes remerciements à Chicot 29 - Eugenol

Mes remerciements à Chicot 29

Capture d  cran 2015 03 12 12.28 - Eugenol
chicot29

06/01/2016 à 13h09

casa écrivait:
--------------
> La consécration chicot ! enfin .....

Ce qui m'étonne c'est que je n'ai pas été consacré plus tot. -))))
M'enfin quand je vois des nouveaux patients je me dis que je ne suis pas le seul à mériter d'etre consacré.


Capture d  cran 2015 03 12 12.28 - Eugenol
chicot29

06/01/2016 à 13h17

chipoundine écrivait:
---------------------
> chicot29 écrivait:
> ------------------
> > chipoundine écrivait:
> > ---------------------
> > >
> > > Au final en étant moins mutilant , on prend moins de risque.
> >
> > Oui oui. Et en menant une prévention efficace on en prend encore moins que de
> > poser des onlays. Qu'est ce que tu attends ? Tu appelles tes patients tous
> les
> > six mois et tu leur passe un savon si tout n'est pas impec et tu menaces de ne
> > plus les soigner. -)))))
>
> Ceux la en général repartent avec un devis de détartrage / surfaçage.
>
> Aujourd'hui La moitié de mon chiffre est réalisé "grâce" a des ré-interventions
> sur des anciennes IC-CCM . C'est bien car dans notre métier on investit sur
> notre propre avenir.

Moi aussi rassures toi je ré interviens tout le temps. Tu fais quoi dans ce cas là : patient CMU qui veut remplacer la 46 et la 36 ? Attention IL veut les remplacer ca ne vient pas de moi je ne lui ai pas fait du rentre dedans. ( 46 a été extraite). Je fais les RTE ou pas sur 37, 47 ?
Tu lui fais un détartrage parce que ca compte plus qu'une consult tu lui fais un devis pour 2 implants pour qu'il aille se faire F..... ailleurs ? Ou alors les CMUS sont filtrés avant au secrétariat avant d'arriver sur le fauteuil du DR spécialiste es no post no crown ?



Capture d e cran 2016 01 06 12.09 - Eugenol

Capture d  cran 2015 03 12 12.28 - Eugenol
chicot29

06/01/2016 à 13h28

c
> Ceux la en général repartent avec un devis de détartrage / surfaçage.

Oui et après tu les suis tous les 6 mois si il font ton détartrage surfacage ? Ou tu en remets une couche à chaque fois de détartrage surfacage ?

> Aujourd'hui La moitié de mon chiffre est réalisé "grâce" a des ré-interventions
> sur des anciennes IC-CCM . C'est bien car dans notre métier on investit sur
> notre propre avenir.

Et tu fais quoi en remplacement des ic coiffes ? -))))


Capture d  cran 2015 03 12 12.28 - Eugenol
chicot29

06/01/2016 à 13h43

chipoundine écrivait:
---------------------
> Je crois que beaucoup ici n'ont pas compris quelle est la philosophie du no post
> no clown…
>
> Une petite mise au point s'impose.
>
> Il ne s'agit pas de dire qu'un inlay est mieux qu'un IC-CCM ou l'inverse.
>
> Le principe est de partir du postulat qu'aucune reconstitution n'est éternelle
> sauf que les souci sous un IC CCM sont bien plus catastrophiques que sous un
> inlay .
>
> Donc en cas de reprise de carie il vaut mieux refaire un inlay tous 7 ans que
> d'extraire une dent couronnée qui en a tenu 15 .
>
> Que vous le vouliez ou non , les soucis des IC-CCM font partie de notre
> quotidien et ça se termine souvent mal.
>
> Au final en étant moins mutilant , on prend moins de risque.

Oui et on est encore moins mutilant en faisant des composites ( pas de mise de dépouille) qui ont fait de très gros progrès ces dernières années.
C'est d'ailleurs particulièrement indiqué pour remplacer les gros amalgames ( et pas les petits apparemment lol!) et en plus c'est remboursé par la sécu.
Bien sur la pose de la digue est un préalable indispensable. -))))



Tu en pense quoi chipoudine des propos de notre confrère ? Que l'on remercie par la pertinence de ses explications d'ailleurs. -))))
Note : je croyais qu'à paris ca bastonnait en tarifs, comme quoi.... A moins bien sur qu'il ne s'agisse d'un acte "d'appel". -)))))



chipoundine

06/01/2016 à 14h02

chicot29 écrivait:
------------------
> c
> > Ceux la en général repartent avec un devis de détartrage / surfaçage.
>
> Oui et après tu les suis tous les 6 mois si il font ton détartrage surfacage ?
> Ou tu en remets une couche à chaque fois de détartrage surfacage ?
>
> > Aujourd'hui La moitié de mon chiffre est réalisé "grâce" a des
> ré-interventions
> > sur des anciennes IC-CCM . C'est bien car dans notre métier on investit sur
> > notre propre avenir.
>
> Et tu fais quoi en remplacement des ic coiffes ? -))))


RTE IC-CCM ou IMPLANT pas trop le choix . Je suis rentable grâce à la gestion de mes anciennes merdes et de celles des autres !!!

Elle est pas belle la vie ?

Blague à part , pour moi c'est un échec voir une catastrophe sanitaire. Donc soit je met au no post no crown , soit je change de métier.

Il est donc très facile de se mettre au no post no crown sachant que 50% de notre CA est assuré par nos (à nous tous) merdes qu'il faut réparer. On reste sur le no post no crown en première intention.


Capture d  cran 2015 03 12 12.28 - Eugenol
chicot29

06/01/2016 à 14h17

chipoundine écrivait:
---------------------

> Blague à part , pour moi c'est un échec voir une catastrophe sanitaire. Donc
> soit je met au no post no crown , soit je change de métier.

Les politiques n'en sont plus à une catastrophe près. -)))
C'est surtout la qualité des endos qui est une catastrophe sanitaire. A 95 % les problèmes viennent de là pas de l'ic coiffe que tu poses dessus. C'est particulièrement vrai sur les molaires sup. A ton avis pourquoi ? -))))
Allez avoues tu fais du no post no crown parce que tu es une buse en endo. -))))
j'aimerais savoir quelques années après, vu qu'on compte une foule d'endo exclusifs dans ce pays foutu, une fois la pulpe complètement rétractée à qui tu adresses pour l'endo ? -))))


Grueavatar nptrc9 - Eugenol
Le Choixpeau magique

06/01/2016 à 14h30

Cingulum écrivait:
------------------
> Quand la mutuelle prend qu'un implant par an, ou que deux couronnes... vous
> soignez plus vos patients ?

Bah chez moi, souvent OUI !
Le patient qui a 8 couronnes à faire et dont la mutuelle a un plafond d'un élément par an ou autres conneries de ce genre, va commencer par "juste celle qui fait mal et on verra les autres après", ce qui veut dire bien souvent "jamais".


Capture d  cran 2015 03 12 12.28 - Eugenol
chicot29

06/01/2016 à 14h32

Mais tu n'as pas répondu à ma question. Tu fais quoi des CMU et de l'écrasante majorité de nos patients qui une fois avoir payé sécu et mutuelle n'ont pas les moyens de payer en plus ta dentisterie de pointe vu qu'elle est peu ou pas remboursée ? A part leur faire un devis hors de la portée de leur portefeuille pour les dégager ? Hein ?


Capture d  cran 2015 03 12 12.28 - Eugenol
chicot29

06/01/2016 à 14h35

Le Choixpeau magique écrivait:
------------------------------
> Cingulum écrivait:
> ------------------
> > Quand la mutuelle prend qu'un implant par an, ou que deux couronnes... vous
> > soignez plus vos patients ?
>
> Bah chez moi, souvent OUI !
> Le patient qui a 8 couronnes à faire et dont la mutuelle a un plafond d'un
> élément par an ou autres conneries de ce genre, va commencer par "juste celle
> qui fait mal et on verra les autres après", ce qui veut dire bien souvent
> "jamais".

Moi une fois les plafonds atteints je les soigne gratuitement. C'est ca etre solidaire. -))))


Images oecc9d ijdijh - Eugenol
Akrobat

06/01/2016 à 14h35

cy2 écrivait:
-------------
> question bête c'est quoi LMNP?

Moi je connais la limite neige/pluie? mais LMNP je veux bien savoir aussi?


Capture d  cran 2015 03 12 12.28 - Eugenol
chicot29

06/01/2016 à 14h45

Akrobat écrivait:
-----------------
> cy2 écrivait:
> -------------
> > question bête c'est quoi LMNP?
>
> Moi je connais la limite neige/pluie? mais LMNP je veux bien savoir aussi?

http://argent.boursier.com/immobilier/interviews/le-lmnp-un-moyen-de-repousser-la-fiscalisation-des-revenus-locatifs-2303.html

En gros tu investis dans un meublé et tous les loyers ne sont pas imposables jusqu'à ce que tu aies amorti le montant du prix de la baraque.
Par exemple j'en ai 2 et la limite avant de payer l'impôt c'est 60 000 euros par an. Que bien sur tu n'es pas près d'atteindre si tu ne t'en occupes pas toi meme. Cette année j'ai été obligé de freiner et de ne pas louer certains week ends ( moins rentable le week end) pour rien étant en tranche marginale d'imposition.
A ta cessation d'activité de dentiste tu deviens LMP. A partir de là les biens ne rentrent plus dans le calcul de l'isf.


Dsc05680 medium aphmfg - Eugenol
BasArtDentaire

06/01/2016 à 15h09

Oui remercions le. Ne l'énervons pas...

Un gars musclé qui s'occupe de son corps dans une cave avec un petit chien blanc, ça évoque quelque chose.



;)


Capture d  cran 2015 03 12 12.28 - Eugenol
chicot29

06/01/2016 à 15h37

oui, d'autant plus qu'il y a un puits dans ma cave......... mais vous ne craignez rien la place est réservée pour les inspectrices URSSAF car je pense qu'il en faudra quelques unes pour me coudre une combinaison intégrale XXL-)))))))


Licorne

06/01/2016 à 18h15

Pour la Porsche la mienne est restée 1 an dans le sac pour 20000km d'utilisation et 1 an au garage😆😆
Je m'excuse de ne pas t'avoir prévenu que Porsche ...... c'est de la MERDE.
Fais confiance à ta citron et garde la.


Utilisateur banni

06/01/2016 à 18h19

BasArtDentaire écrivait:
------------------------
> Oui remercions le. Ne l'énervons pas...
>
> Un gars musclé qui s'occupe de son corps dans une cave avec un petit chien
> blanc, ça évoque quelque chose.
>
>


>
> ;)

Ahhh, l'un de mes films préférés. Chicot tu es un psychopathe démasqué :)))


alex33

06/01/2016 à 18h27

Licorne écrivait:
-----------------
> Pour la Porsche la mienne est restée 1 an dans le sac pour 20000km d'utilisation
> et 1 an au garage😆😆
> Je m'excuse de ne pas t'avoir prévenu que Porsche ...... c'est de la MERDE.
> Fais confiance à ta citron et garde la.

Mince si même Porsche se met à déconner ou va t'on///
Chicot tu aurais du prendre le GTR au lieu de la Panamera:)


chipoundine

06/01/2016 à 18h56

chicot29 écrivait:
------------------
> chipoundine écrivait:
> ---------------------
>
> > Blague à part , pour moi c'est un échec voir une catastrophe sanitaire. Donc
> > soit je met au no post no crown , soit je change de métier.
>
> Les politiques n'en sont plus à une catastrophe près. -)))
> C'est surtout la qualité des endos qui est une catastrophe sanitaire. A 95 % les
> problèmes viennent de là pas de l'ic coiffe que tu poses dessus. C'est
> particulièrement vrai sur les molaires sup. A ton avis pourquoi ? -))))
> Allez avoues tu fais du no post no crown parce que tu es une buse en endo. -))))
> j'aimerais savoir quelques années après, vu qu'on compte une foule d'endo
> exclusifs dans ce pays foutu, une fois la pulpe complètement rétractée à qui tu
> adresses pour l'endo ? -))))

C'est fou cette peur de la pulpe rétractée !!!!!! pourquoi faire un trt endo sur une pulpê rétractée ???? pour mettre un IC ??? Un onlay ne tient pas sur une dent qui a une pulpe rétractée ? Faut arrêter de raisonner à l'envers , . Il faut traiter le problème , pas la dent.

La vraie question c'est pourquoi on fait l'endo ? à cause du symtome ou du clou qu'on veut mettre dans le canal ?

Intervenir sur une pulpe rétractée sous entend :
- Un énorme carie radiculaire donc extraction
- Une Nécrose.

Désolé chicot mais des urgences pour nécroses sur pulpes rétractées je dois en voir une par an .

Par contre les pêches sous les CCM c'est tout les jours.

Je suis sûrement une buse en endo comme 99% de mes confrères.... donc j'arrête les conneries.

Un jour vous comprendrez que ceux qui sont passé au NPNC , sont ceux qui se sont remis en question. C'est pas une mode , ni pour faire les malins, c'est juste une évidence en 2016.





Orezza gazeuse verre litre ocoxey - Eugenol
casa

06/01/2016 à 19h06

Et Bob Marley chanterait : No post no crown

Everything 's gonna be alright
Everything 's gonna be alright
Everything 's gonna be alright now !



Images oecc9d ijdijh - Eugenol
Akrobat

06/01/2016 à 19h17

chipoundine écrivait:
---------------------
>
> Un jour vous comprendrez que ceux qui sont passé au NPNC , sont ceux qui se sont
> remis en question. C'est pas une mode , ni pour faire les malins, c'est juste
> une évidence en 2016.

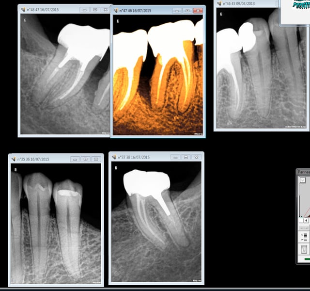
Je comprends pas ce que ça veut dire "ceux qui sont passé au NPNC". Ils font quoi là par exemple? (désolé j'arrive par à l'exporter avec traitement et rotation)

Npnc - Eugenol

chipoundine

06/01/2016 à 19h38

Akrobat écrivait:
-----------------
> chipoundine écrivait:
> ---------------------
> >
> > Un jour vous comprendrez que ceux qui sont passé au NPNC , sont ceux qui se
> sont
> > remis en question. C'est pas une mode , ni pour faire les malins, c'est juste
> > une évidence en 2016.
>
> Je comprends pas ce que ça veut dire "ceux qui sont passé au NPNC". Ils font
> quoi là par exemple? (désolé j'arrive par à l'exporter avec traitement et
> rotation)


Là sans doute un implant.


chipoundine

06/01/2016 à 20h01

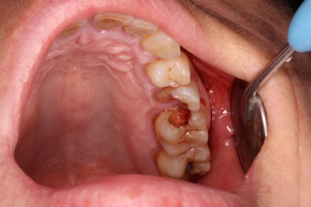
Et là tu fais quoi sur la 25 qui est symptomatique et qui présente un magnifique pan d'émail en vestibulaire ?

Img 0639 wwprio - Eugenol

Utilisateur banni

06/01/2016 à 20h09

BasArtDentaire écrivait:
------------------------
> Oui remercions le. Ne l'énervons pas...
>
> Un gars musclé qui s'occupe de son corps dans une cave avec un petit chien
> blanc, ça évoque quelque chose.
>
>


>
> ;) Oui Merci pour pour cet humour , euh Chicot 29 tu en deviens presque sympathique J'achete !


Utilisateur banni

06/01/2016 à 20h22

Euh petite correction , en fait je n 'achete pas : Mes moyens ne me le permettent plus ....Vive la france !


Capture d  cran 2015 03 12 12.28 - Eugenol
chicot29

06/01/2016 à 20h40

chipoundine écrivait:
---------------------
> Et là tu fais quoi sur la 25 qui est symptomatique et qui présente un magnifique
> pan d'émail en vestibulaire ?

Pas meme de réponse au froid ? Ben un onlay vas y fonces ! -)))))


Utilisateur banni

06/01/2016 à 20h44

Fonce ....zero s