Cookie Consent byPrivacyPolicies.comMes remerciements à Chicot 29 - Eugenol

Mes remerciements à Chicot 29

Picodon

06/01/2016 à 20h47

chipoundine écrivait:
---------------------
> Et là tu fais quoi sur la 25 qui est symptomatique et qui présente un magnifique
> pan d'émail en vestibulaire ?
>

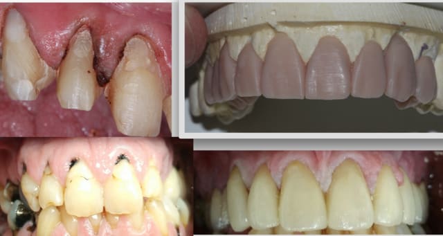
C'est un cas que tu as eu? Comment as-tu traité finalement?


Capture d  cran 2015 03 12 12.28 - Eugenol
chicot29

06/01/2016 à 20h47

chipoundine écrivait:
---------------------


> Par contre les pêches sous les CCM c'est tout les jours.

Moi aussi c'est tous les jours, avec ou sans CCM d'ailleurs. -))))
Mais plus rarement sous mes endos.


levm

06/01/2016 à 22h56

Cingulum écrivait:
------------------
> ça va vous êtes bien là ... ? ....
>
> "Le no post no crown , c est mignon mais accessible qu'à une ultraminorité de
> patients issues des beaux quartiers où l'argent ne compte pas .Pour le reste on
> fait quoi ?" ....
>
> vraiment n'importe quoi ....
>
> A force de ne proposer et ne savoir faire que ce que prennent en charge les
> mutuelles, vous ne ferez plus grand chose.
> Quand la mutuelle prend qu'un implant par an, ou que deux couronnes... vous
> soignez plus vos patients ?
>
> Vous êtes affilié avec le plus stupide réseau de soin, celui de la prise en
> charge !
>
>
> --
> Dr Cingulum
> -----Ancien interné----
> ----Attaché à l'apex----
> http://www.clinic-all.fr/ formation par passion


2 questions (je connais les réponses).
-combien factures tu tes onlays ?
-Crois tu sincerement qu'une personne qui gagne 1500 euros par mois , lui faire un devis avec 1 ,2 ou 3 fois son salaire (voir plus) le reste à charge , c est envisageable ?

Perso , je pose une question qui va peut etre en facher certains mais , je cherche à connaitre les possibilités financières du patient. Ce patient était ok pour avoir du Reste à charge (donc pas d'inlay core et CCM).

Derniere question , ce patient aurait été insolvable et ne veux pas faire les facettes , je mets des compos biomimétiques en attendant que toutes ses dents se cassent ou je fais un des couronnes remboursées avec acceptation du plan de traitement ?

Capture d  cran 2016 01 06   22.10 - Eugenol

Marque a3 orange fyvhyq - Eugenol
Marc Apap

06/01/2016 à 23h23

Allez les amis, on se détend !

https://www.dropbox.com/s/bfaxi9byj1vm3mo/NO%20POST.mp3?dl=0

(montez le son SVP)


Avatar transparent iqadnc - Eugenol
adhoc

06/01/2016 à 23h40

mais un jour j'ai rencontre pascal magne

et ce fut une vraie revelation

depuis dans la vie plus rien je ne gagne

mais d'espoir je suis riche a millions

"tout va bien meme je vais tres mal"
___________________________
ohhhhh , no post et no crown



Quel talent, thks marc pour ce bon moment!


Capture d  cran 2015 03 12 12.28 - Eugenol
chicot29

06/01/2016 à 23h50

Dentidf écrivait:
-----------------

> Encore une fois, merci Chicot29. Si tu peux nous trouver des soluces pour
> l'implantologie et l'orthodontie, je suis preneur!

Pas dans ces domaines j'ai des correspondants pour ca, en plus ca n'est pas la peine de s'emmerder pour payer plus d'urssaf, de caisse de retraite et d'impôts .... Par contre voici une vidéo qui te permettra de faire des économies. Vu que tu es jeune praticien fraichement installé, ca te servira à l'avenir, j'en suis persuadé. -)))))


chipoundine

07/01/2016 à 00h35

Même plus envie de débattre en fait ....

Il semble que notre quotidien est bien différent du mien.

En gros de ce je j'ai compris :
- Vous n'avez jamais de soucis sur vos endos
- Quand vous montrez des cas c'est toujours le truc improbable ou le patient arrive avec la dent à raz la gencive donc en fait c'est la carie qui a taillé la dent... ou alors c'est le mec qui a fait des bains de bouche à l'acide chlorhydrique depuis 10 ans.
- Vous vous moquez des liserets marron sur des onlays à 3 ans , mais vos couronnes sont tellement parfaites que vous n'avez jamais eu le petit liseret radiculaire.

ça me fait penser à ces mecs que l'on croise dans des confs qui n'ont jamais eu d'échecs en implanto.

Après tout pourquoi s'emmerder, puisque sur eugénol , les praticien qui font des IC-CCM , ont 0% d'échecs à 30 ans sur des traitement 100% remboursés ?

Par contre j'ai eu quelques nouvelles grilles de remboursement de mutuelles depuis le début de l'année et désormais il semble que la tendance est à moins rembourser les IC que la CCM avec quasi systématiquement des plafonds...ça commence à sentir le sapin au niveau acceptation de plan de traitement!

Allez bonne nuit demain je dois aller perdre de l'argent sur des pulpes rétractées!!!!


Capture d  cran 2015 03 12 12.28 - Eugenol
chicot29

07/01/2016 à 01h08

chipoundine écrivait:
---------------------
>
> Par contre j'ai eu quelques nouvelles grilles de remboursement de mutuelles
> depuis le début de l'année et désormais il semble que la tendance est à moins
> rembourser les IC que la CCM avec quasi systématiquement des plafonds...ça
> commence à sentir le sapin au niveau acceptation de plan de traitement!

C'est pas nouveau. Harmonie mutuelle a déjà percuté depuis longtemps et quelques uns de mes patients s'en sont aperçu et on changé de mutuelle. -))))
Ceci dit il me semble que dans les accords de branches ce nouveau concept de soin prothétique ( de la prothèse remboursée comme des soins) initié par des petits malins n'est plus d'actualité. -))))


Marque a3 orange fyvhyq - Eugenol
Marc Apap

07/01/2016 à 01h08

Il n'y à rien à débattre, ou alors c'est qu'on est abruti par la religion à laquelle on croit.
Moi, je crois que le maximum de dentistes doivent soigner le maximum de patients le mieux possible et au meilleur prix pour les patients.
Partant de là, il y a des évidences : la restauration partielle indirecte revient plus cher au patient que la couronne. Donc, refuser de faire des couronnes pour éviter de délabrer un peu plus une dent qui l'est déjà beaucoup, c'est aussi con que mettre des inlays cores systématiquement. Et c'est tout aussi malhonnête de placer des onlays quand on peut mettre un composite direct.
A l'heure actuelle, les méthodes de traitement par onlay céramique sont plus exigeantes et difficiles que le scellement d'une couronne CCM. De plus, les prothésistes prennent le même prix pour une couronne ou un onlay emax (à peu de chose près).
Je pense donc qu'il vaut mieux pour un dentiste moyen de placer des couronnes que des onlays car il a plus de chance de réussir les premières que les secondes.
Si l'on se place dans une optique de dentisterie libérale pure, on peut envoyer bouler les patients qui refusent la solution coûteuse. C'est une attitude que je réprouve ( sauf quand il s'agit de mettre en balance l'inlay-onlay et la restauration directe, ce qui n'est pas la situation qui nous intéresse ici : a vouloir trop rendre service aux patients,on bricole des merdes. IL faut donc savoir dire ce qui doit être fait pour l'intérêt des deux parties)
Certains praticiens sont tiraillés entre l'envie de se conformer à quelques beaux parleurs des quartiers/ pays riches qui prétendent détenir la réalité du moment, et les contingences du système socio économique dans lequel nous vivons. Tant pis pour elles, si elles ne savent pas faire la part des choses et choisir ce qu'il y a de plus judicieux pour concilier survie de leur entreprise et service au patient.


Capture d  cran 2015 03 12 12.28 - Eugenol
chicot29

07/01/2016 à 01h14

Marc Apap écrivait:
-------------------
Donc, refuser de faire des
> couronnes pour éviter de délabrer un peu plus une dent qui l'est déjà beaucoup,
> c'est aussi con que mettre des inlays cores systématiquement.

Tout à fait il faut etre con pour faire un inlay core quand celui ci est remboursé à 100 %. Dans ce cas le SC33 s'impose ! -))))
Ceci dit toute cette histoire prouve une fois de plus que quand l'état se mêle de ce qui ne le regarde pas les résultats sont stupéfiants de connerie et pousse à faire des actes qui ne sont pas toujours dans l'intérêt du patient.
Je n'ose imaginer ce qu'il doit se passer dans d'autres spécialités médicales plus vitales que la dentisterie.


Marque a3 orange fyvhyq - Eugenol
Marc Apap

07/01/2016 à 01h37

Du moment qu'on ne tue pas le patient et qu'on peut encore lui faire cracher quelques euros, où est le problème ?


levm

07/01/2016 à 01h49

Quand je vais sur des groupes sur facebook ou lorsque j'assiste à certaines conf pour ecouter parler d'ids ,de mock up, de projet esthétique informatisé ; j'ai toujours cette sensation qu'on veut nous donner volontairement l'impression qu'on fait de la merde et justifier l'inscription à des formations .

Ces formations pour apprendre à etre moins "délabrants" sont à X-milliers d'euros . Ca coute cher le savoir pour louer une salle et présenter 2 ou 3 powerpoints (+ petit déjeuner).

A titre personnel :
Je trouve qu'on est dans le soin , et très peu dans la prévention au final.Je n'ai jamais vu une vidéo montrant comment on traite des lésions débutantes interproximales amélaires.

Le plan de traitement pour un jeune avec une seule carie juxta pulpaire sans mutuelle et un patient polycarieux plus agé merite des approches differentes.

Pour les patients fortunés , qui peuvent se permettrent de payer la mutuelle , cotiser pour la sécu et payer beaucoup de reste à charge , aucun probleme (tout passe ; paro , implanto, restau collées).
Pour les patients qui sont dans la moyenne , on fait quoi quand le patient ne peut rien faire ?
On met des gros composites en attendant la pulpite ? On attend que la dent soit à extraire ?


Little shop of horrors brzqjx - Eugenol
chatondecarte

07/01/2016 à 02h28

La solution la moins délabrante, l inlay (500e par ex) est 2 fois moins chère que la solution mutilante, ic + ccm (1000e par ex).

Le problème c'est la sécu et ses cotations arbitraires et stupides. Et les mutuelles sont trop heureuses de ne pas jouer le jeu des frais réels et de calquer ses remboursements dessus.


--
Mon book de chirurgie :
http://facebook.fr/drbbenichou


levm

07/01/2016 à 02h38

chatondecarte écrivait:
-----------------------
> La solution la moins délabrante, l inlay (500e par ex) est 2 fois moins chère
> que la solution mutilante, ic + ccm (1000e par ex).
>
> Le problème c'est la sécu et ses cotations arbitraires et stupides. Et les
> mutuelles sont trop heureuses de ne pas jouer le jeu des frais réels et de
> calquer ses remboursements dessus.
>
>
> --
> Mon book de chirurgie :
> http://facebook.fr/drbbenichou

Les honoraires ne comptent pas , le reste à charge oui.


Capture d  cran 2015 03 12 12.28 - Eugenol
chicot29

07/01/2016 à 08h03

Marc Apap écrivait:
-------------------
> Du moment qu'on ne tue pas le patient et qu'on peut encore lui faire cracher
> quelques euros, où est le problème ?

D'autant que c'est pas à lui qu'on les fait cracher et d'ailleurs tu vas t'en apercevoir avec la généralisation du tiers payant ..... Et puis si la sécu met plus de remboursements là ou il ne faut pas, ou plutôt pas là ou il faudrait, suivie comme une ombre par les complémentaires santé en remboursant systématiquement mieux les actes délabrants, il ne faut pas s'en étonner de la part d'une vieille dame de 70 ans au crépuscule de sa vie. Les anciens faut pas les contrarier : oui mamie, tu as raison tu es toujours le meilleur système de santé au monde ...-))))


Capture d  cran 2015 03 12 12.28 - Eugenol
chicot29

07/01/2016 à 08h16

levm écrivait:
--------------

> Pour les patients qui sont dans la moyenne , on fait quoi quand le patient ne
> peut rien faire ?
> On met des gros composites en attendant la pulpite ? On attend que la dent soit
> à extraire ?

Tu leur fait un devis et ils vont voir ailleurs si tu y es. Pas de temps à perdre avec des morts de faim. -)))))


Jack 2 wm3tqs - Eugenol
trepo

07/01/2016 à 08h50

Exactement ce que je me disais, il m'est déjà arrivé de faire des devis pour Inlay/Onlay chez des patients "indélicats" pour tenter de les faire consulter chez des confrères ... imparable :)


Avatar transparent iqadnc - Eugenol
adhoc

07/01/2016 à 11h16

J'ai vu deux générations d'anglais (il y en a beaucoup), celle a amalgames, quelques couronnes et compos antérieurs, et celles a composites et inlays compo only.
Laquelle actuellement se fait faire des jolies couronnes, des extractions a tout va avec des necroses et des infiltrations partout?
Votre avis?
Peut etre retenir, comme dit marc (il a tout dit dans son mp3) qu'une religion absolutiste est aussi une psychose dans le dentaire.


La mule ynmlik - Eugenol
la mule

07/01/2016 à 11h50

Marc Apap écrivait:
-------------------
> Il n'y à rien à débattre, ou alors c'est qu'on est abruti par la religion à
> laquelle on croit.
> Moi, je crois que le maximum de dentistes doivent soigner le maximum de patients
> le mieux possible et au meilleur prix pour les patients.
> Partant de là, il y a des évidences : la restauration partielle indirecte
> revient plus cher au patient que la couronne. Donc, refuser de faire des
> couronnes pour éviter de délabrer un peu plus une dent qui l'est déjà beaucoup,
> c'est aussi con que mettre des inlays cores systématiquement. Et c'est tout
> aussi malhonnête de placer des onlays quand on peut mettre un composite direct.
> A l'heure actuelle, les méthodes de traitement par onlay céramique sont plus
> exigeantes et difficiles que le scellement d'une couronne CCM. De plus, les
> prothésistes prennent le même prix pour une couronne ou un onlay emax (à peu de
> chose près).
> Je pense donc qu'il vaut mieux pour un dentiste moyen de placer des couronnes
> que des onlays car il a plus de chance de réussir les premières que les
> secondes.
> Si l'on se place dans une optique de dentisterie libérale pure, on peut envoyer
> bouler les patients qui refusent la solution coûteuse. C'est une attitude que je
> réprouve ( sauf quand il s'agit de mettre en balance l'inlay-onlay et la
> restauration directe, ce qui n'est pas la situation qui nous intéresse ici : a
> vouloir trop rendre service aux patients,on bricole des merdes. IL faut donc
> savoir dire ce qui doit être fait pour l'intérêt des deux parties)
> Certains praticiens sont tiraillés entre l'envie de se conformer à quelques
> beaux parleurs des quartiers/ pays riches qui prétendent détenir la réalité du
> moment, et les contingences du système socio économique dans lequel nous vivons.
> Tant pis pour elles, si elles ne savent pas faire la part des choses et choisir
> ce qu'il y a de plus judicieux pour concilier survie de leur entreprise et
> service au patient.

Ouf ! Comme le bon sens peut apporter un peu d'air frais, parfois!


Capture d  cran 2015 03 12 12.28 - Eugenol
chicot29

07/01/2016 à 12h26

adhoc écrivait:
---------------

> Peut etre retenir, comme dit marc (il a tout dit dans son mp3) qu'une religion
> absolutiste est aussi une psychose dans le dentaire.

Comme toute religion ca aboutit à des résultats désastreux. Le système de protection sociale du pays, non seulement nous prive de choix de ptt, mais en plus aboutit à sa chute. Ce qui est extraordinaire c'est que c'était prévisible le socialisme n'a jamais marché nul part sinon en rêve.


http://www.contrepoints.org/2016/01/06/234732-la-france-seul-pays-dont-la-courbe-du-chomage-ne-sinverse-pas


Capture d  cran 2015 03 12 12.28 - Eugenol
chicot29

07/01/2016 à 12h34

trepo écrivait:
---------------
> Exactement ce que je me disais, il m'est déjà arrivé de faire des devis pour
> Inlay/Onlay chez des patients "indélicats" pour tenter de les faire consulter
> chez des confrères ... imparable :)

La tuile c'est quand le patient indélicat et pénible exceptionnellement a du blé. Là tu n'es pas dans la merde. -))))


Marque a3 orange fyvhyq - Eugenol
Marc Apap

07/01/2016 à 12h39

Un véritable socialisme, ce serait d'encadrer les gens pour les maintenir en bonne santé, pas à rembourser mal les dégâts déjà faits parce que
1/ cela déresponsabilise tout le monde (autant que le libéralisme qui ne vise qu'au profit de chacun mais n'a aucune ambition éthique ou morale pour l'ensemble des individus)
2/ le coût de la médecine sera toujours supérieur à ce que l'état peut payer
3/ on a des aberrations comme celles dont nous parlons ici (remboursements de soins classiques et pas de traitements modernes)
En gros, la démagogie mène à la gabegie


Jack 2 wm3tqs - Eugenol
trepo

07/01/2016 à 12h45

Au jugé, par indélicat, j'entends non seulement "pénible" mais également rat (style "on peut pas faire une acier sur 13 ... ça ne se voit pas ...)
Mais c'est vrai que j'ai tremblé quelques fois de peur de voir le devis accepté, et de ruiner mes journées en voyant le nom dudit patient sur le planning.


Capture d  cran 2015 03 12 12.28 - Eugenol
chicot29

07/01/2016 à 12h59

Marc Apap écrivait:
-------------------
> Un véritable socialisme, ce serait d'encadrer les gens pour les maintenir en
> bonne santé, pas à rembourser mal les dégâts déjà faits parce que

C'est sur" socialisme" et "encadrer" vont bien ensemble. -)))))

Dans le système français ( plus qu' "encadré" lol !) prévention bien remboursée ( BBD) les petits dégâts sont très bien remboursés mais pas les gros.

C'est curieux mais ca n'évite pas les gros dégâts. Tu peux nous expliquer pourquoi ? -))))


Capture d  cran 2015 03 12 12.28 - Eugenol
chicot29

07/01/2016 à 13h08

trepo écrivait:
---------------
> Au jugé, par indélicat, j'entends non seulement "pénible" mais également rat
> (style "on peut pas faire une acier sur 13 ... ça ne se voit pas ...)
> Mais c'est vrai que j'ai tremblé quelques fois de peur de voir le devis accepté,
> et de ruiner mes journées en voyant le nom dudit patient sur le planning.

Ca c'est pas indélicat. Rat peut etre mais pas sur. Au contraire tu n'auras pas d'emmerdes meme si tu foires et que tu sois amené à extraire la dent "vu que ca ne se voit pas".......-))))))
Non quand ca commence comme ca : "Vous pouvez me confirmer mon rendez vous par mail ? "
Là tu t'attends à du très lourd pour la suite. -))))))