Cookie Consent byPrivacyPolicies.comPouce en haut : on garde / Pouce en bas : on vire - Eugenol

Pouce en haut : on garde / Pouce en bas : on vire

G-P

19/01/2016 à 00h59

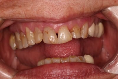
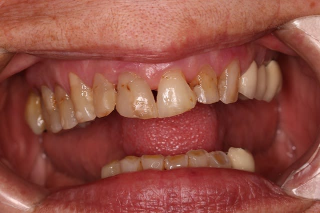
Bon pour le haut ça va être traitement CCAM à base de couronnes.
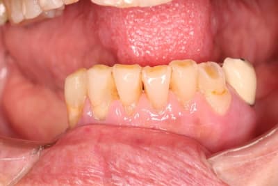
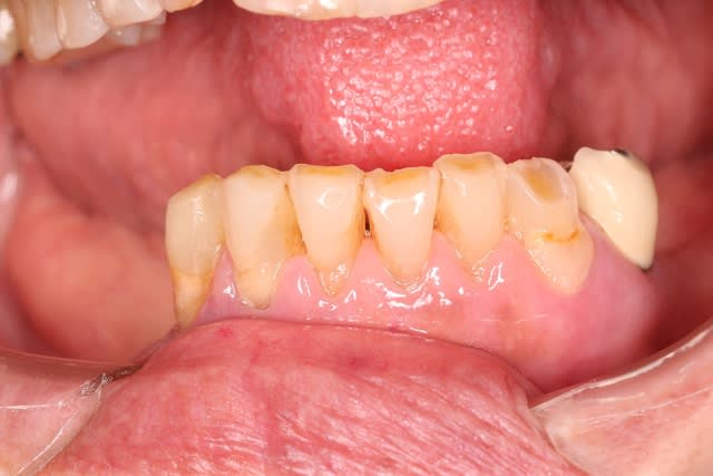
Le bas, on garde ou on vire ? 34 mobile, le reste ça bouge pas.

Bisous

Pano y4eodq - Eugenol
Img1 s0wljt - Eugenol
Img2 rfba88 - Eugenol
Img3 paoaxe - Eugenol

G-P

19/01/2016 à 01h00

J'avais fait une belle présentation mais chrome m'a tout viré, flemme de refaire, il est minuit je vais dormir.


Generique fraisage r2rxmm - Eugenol
lardonbis

19/01/2016 à 09h49

Jusqu'à la photo 3 j’étais pour le traitement CCAM (disque diamanté+foret + empreinte.... nan je déconne pas le disque... humm ...nan).
Au vu de la photo 4 le plan de traitement est purement verbal:
"Votre cas est trop complexe pour moi, allez à la ville ya plein de cador moi je fait que les cas facile." Vu qu'il portera peut-e^tre pas son stéllite ( CCAM toujours) j'aurais trop peur pour mes cerams.

Sinon ya un livre pour apprendre à lire les usures et abrasions? Pas pour apprendre à faire du 3 step non CCAM-compliant; juste pour savoir si on va dans le mur avec des notions d'occluso basiques.


sinon pour le bas je vire pas si le patient en fait pas la demande ou ne signe pas pour au moins des locator.


G-P

19/01/2016 à 09h55

Ce sont des érosions chimiques en palatin, je pense :)


Vw campersurfvan bmnk1q - Eugenol
enlaye

19/01/2016 à 09h57

Oui , aller,,on garde le bas qui nous servira de repère pour faire le haut


Vw campersurfvan bmnk1q - Eugenol
enlaye

19/01/2016 à 09h58

Chimique ? Je dirais non


Generique fraisage r2rxmm - Eugenol
lardonbis

19/01/2016 à 10h03

je commence à comprendre que je pane rien aux abrasions :(


G-P

19/01/2016 à 10h03

enlaye écrivait:
----------------
> Chimique ? Je dirais non

Pourtant tu as bien un bandeau d'émail périphérique résiduel typique d'une érosion, non ?
(je parle du bloc antérieur supérieur, en palatin)


Vw campersurfvan bmnk1q - Eugenol
enlaye

19/01/2016 à 10h53

G-P écrivait:
-------------

"Pourtant tu as bien un bandeau d'émail périphérique résiduel typique d'une érosion, non ?"

oui et alors ? :-))


Index vakr2r - Eugenol
pgc

19/01/2016 à 11h28

G-P écrivait:
-------------
> Bon pour le haut ça va être traitement CCAM à base de couronnes.
> Le bas, on garde ou on vire ? 34 mobile, le reste ça bouge pas.
>
> Bisous

Je garderai tout ce qui ne bouge pas en bas. Virer des dents immobiles et asymptomatiques c'est sévère ! ;) Un bon bloc d'ancrage pour le stellite.
Pour moi l'usure en haut est purement mécanique.


Orezza gazeuse verre litre ocoxey - Eugenol
casa

19/01/2016 à 11h50

ah ben non pas chimique non plus , la mamie , elle grignote avec les quenottes de devant , tel un petit lapin ! parce qu'elle a plus rien derrière ... faut pas lui enlever ses dents ....et refaire en sorte qu'elle se serve des molaires ... j'ai bon là Enlaye ?


Vw campersurfvan bmnk1q - Eugenol
enlaye

19/01/2016 à 12h56

je pense que oui casa de meme que pgc
mais si G-P se pose la question , ç est qu'il doit avoir une raison .
G-P y a un truc fumant là dessous ?


G-P

19/01/2016 à 13h56

enlaye écrivait:
----------------

> G-P y a un truc fumant là dessous ?

Non rien de spécial, je voulais surtout voir qui virait tout en bas, apparemment personne, ça me conforte dans mon idée.
Par contre, sans implants, durée de vie estimée des 33 / 43 avec un crochet qui tire dessus ?

Pour le haut, je reste sur mon idée d'érosion, même si ça change les paramètres de collage, on s'en fout un peu au final.

071115061241attritionabfractionerosionabrasion qxylml - Eugenol

Vw campersurfvan bmnk1q - Eugenol
enlaye

19/01/2016 à 14h14

de toute facon , le stellite ne servira pas de calage , il sera tres tres vite en sous occ . avec un joli crochet qui va flotter , donc autant faire un crochet bien souple .
je pense que c est plus l'occlusion qui finira les canines , sauf si CCAM en bas aussi .


Orezza gazeuse verre litre ocoxey - Eugenol
casa

19/01/2016 à 14h23

Heuuu , t'as des dents usées pile poil en face de dents naturelles, elles mêmes usées et tu nous parles d'érosion chimique avec preuve l'appui ? faut sortir la tête des bouquins et ouvrir un peu les yeux ! Et t'as intérêt d'en tenir compte à mon avis ...Maintenant qu'elle sirote du jus de citron pourquoi pas mais la cause principale est mécanique !


Vw campersurfvan bmnk1q - Eugenol
enlaye

19/01/2016 à 15h56

alors , il peut effectivement y avoir une cause chimique , mais pas celle que l'on croit :-)))
je penserais à des antidépresseurs .
ils augmenteraient l'asialie ,du coup ,les dents s'useraient a grande vitesse par manque de lubrification .ce qui pourrait aussi expliquer l'etat du haut et des gencives ......
t'ain suis content de moi sur ce coup :-))))


Orezza gazeuse verre litre ocoxey - Eugenol
casa

19/01/2016 à 16h01

Ok avec toi Enlaye , c'est surement multi factoriels , bref elle est stressée la madame !


Vw campersurfvan bmnk1q - Eugenol
enlaye

19/01/2016 à 16h13

apres
l'attrition
abfraction
l'erosion
l'abrasion
et l'avoitureafriction
il y a l'absorption de cachton :-)))))


Orezza gazeuse verre litre ocoxey - Eugenol
casa

19/01/2016 à 16h21

t'en as d'autres des comme ça j'en suis à ma 5 ème annulation cet après'm ! une épidémie ! donc si on peut faire passer le temps ...


Vw campersurfvan bmnk1q - Eugenol
enlaye

19/01/2016 à 16h24

annulation ? :-)))


Orezza gazeuse verre litre ocoxey - Eugenol
casa

19/01/2016 à 16h26

oui après atriction , friction , contrition ....


G-P

19/01/2016 à 19h28

remiseenquestion ?


Vw campersurfvan bmnk1q - Eugenol
enlaye

19/01/2016 à 19h31

excelent


Index vakr2r - Eugenol
pgc

19/01/2016 à 19h59

G-P écrivait:
-------------
>
> Par contre, sans implants, durée de vie estimée des 33 / 43 avec un crochet qui
> tire dessus ?


durée de vie illimitée si le stellite est proprement fait et reste fonctionnel.
Le crochet n'est pas sensé tirer dessus!
Il faudra rebaser le stellite s'il se désadapte et en faire un neuf tous les 7/8 ans lorsqu'il est usé.

Je fais beaucoup d'amovible et je n'arrive pas à me persuader que l'amovible détruit les dents supports de crochet. Pour moi c'est une légende urbaine. Les dents bousillées par l'amovible c'est quand l'amovible est faite en dépit du bon sens ou complètement usée et désadaptée.

J'ai vu des dents supports qui se cassaient la figure, c'étaient des dents en bout de rangée chez des patients paro qui auraient suivi le même chemin s'ils n'étaient pas appareillés.
Et des dents supports de crochets présentes après 30 ans de stellite j'en ai vu aussi.


Index vakr2r - Eugenol
pgc

19/01/2016 à 20h04

enlaye écrivait:
----------------
> donc autant faire un crochet
> bien souple .
> ...

arrgh
Des crochets souples? Vade retro satanas.
Pour moi une hérésie complète, tu seras enterré sous un tas de fumier avec un pieu dans le coeur enlaye juste pour avoir écrit dans la même phrase "crochet" et "souple" ;)