Cookie Consent byPrivacyPolicies.comSur-traitement? - Eugenol

Sur-traitement?

iyaudat

23/01/2016 à 16h00

Bon je sais j’arrête pas de poster ces derniers temps, mais je travaille en cab (collab) depuis 3 mois seulement et je me pose pas mal de questions.

En fait un truc qui me turlupine pas mal, c'est que souvent les patients ne sont pas vraiment conscients, et j'ai du mal a faire passer le message, peut-être un manque d'assurance.

Je vais donner quelques exemples.

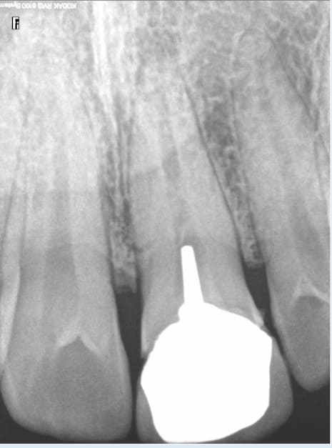
1/ Une connaissance, 26 ans, état paro déplorable, serveur.
Je sais que rien qu'au premier détartrage, il y a de forte chance la 31 tombe toute seule. Alors ça m’embête, je peux pas laisser le problème se développer en restant bien avec moi même, mais je sais pas, au fond ça m'emmerde qu'il perde une frontale. Bon après il existe des solutions je sais, mais ça me gonfle de le faire passer par la.

2/ Un patient CMU, super correct, il m'a même offert une bouteille de champagne pour la nouvelle année.
Pulpite sur 47, je soigne, 46 et 45 déjà dévitalisées.
Je pensais couronner 47 46 45, et je vois a la radio une belle pèche sur la 46 (D et M).
Aucune douleur pour le patient, mais je lui explique que je ne peux couronner cette 46, lui explique qu'il faut faire un RTE, et lui explique les risques et les "non-garanties".
C'était hier, je suis passeé jusqu'à l'apex sur D et MV, mais impossible d'avancer sur ML.
Patient qui a pas les moyens pour un endo exclusif.
On verra si ça s'arrange, mais si c'est pas le cas je ne vois que 2 options:
-couronner quand même, ça me parait con, vu que c'est une bombe à retardement. Et qu’après il sera surement trop tard pour le bridge CMU, ils vont pas repayé 2 fois la même dent.
-extraction, et bridge 47 -46- 45, mais ça me parait moi même paradoxal, qu'il faille extraire une dent pour la sauver.

3/ Avant une couronne je fais un RTE sur une dent asymptomatique, mais avec une obturation à la moitié du canal (par peur d'avoir une infection un de ces jour...). Pour le coup j'ai pas pu aller plus loin non plus, mais la aussi c'est paradoxal. Je respecte les bouquins, mais une dent qui va bien depuis des années, pourquoi y toucher au risque de péter un instrument/faire une fausse route, et au final créer un problème.

En fait j'ai souvent l'impression de devoir annoncer et régler (tout en prenant parfois des risques) des problèmes sur des patient qui n'en sont pas conscients, du genre il vient pour un compo sur la 12, je lui dis qu'il faut extraire la 36 alors qu'il a pas mal... Si je ne savais pas ce que je savais, je dirais que ce dentiste est fou allié!


Diagnostic?
Moi je dirais trop d'empathie :-))


dentiste68

23/01/2016 à 17h03

Les alliés n'étaient pas fous mais parfois on liait les fous.


Spix4ever

23/01/2016 à 17h06

Bah suffit de leur expliquer.

Après ils sont grands majeurs et vaccinés. A eux de choisir.


Je fais un compo je vois une dent suspecte, je fais ma rétro je vois une pêche.
J'informe le patient du problème (sans dramatiser non plus y a pas le feu au lac), je lui explique les traitements possibles (Devis à l'appui) et après il choisit ce qu'il veut faire.
S'il veut pas qu'on y touche on y touche pas. Il est informé du risque.

On appelle ça un consentement éclairé normalement :D


G-P

23/01/2016 à 18h53

Tu te prends beaucoup trop la tête.

Les patients arrivent avec des pathologies : il est essentiel de leur dire sans détour ce que tu as vu, quels sont les risques si rien n'est fait, et quel traitement tu proposes.
Le reste, c'est le patient qui décide, si il ne veut rien faire, tu t'en laves les main et tu passes au suivant.

Tu crois qu'un cardiologue s'embête quand un patient avec un gros risque d'infarctus veut pas arrêter la clope et se faire poser un stent ?

1/ motivation hygiène, devis paro, exo ou pourquoi pas contention pour la 31 ? Tant pis pour lui si il se brosse pas les dents et que sa 31 est à extraire ..
2/ oui, exo de la 6, et bridge.. tu veux faire quoi d'autre ?
3/ pas de RTE si pas de signes cliniques/radio, que le traitement était sous une reconstitution étanche, aspect visuel correct après dépose de l'obturation/couronne précédente, et traitement endo à l'apex. Dans tous les autres cas, RTE, c'est médico-légal.
Si tu fais une fausse route, aléa thérapeutique, devis pour implant ou autre.

Dans tous les cas, toujours expliquer au patient que les taux de réussite sont faibles, et que leurs dents vont probablement devoir être extraites, mais que tu vas quand même essayer.
Tu réussis : t'es un génie, tu foires : c'est pas grave.


iyaudat

24/01/2016 à 02h16

Spix4ever écrivait:
-------------------
> Bah suffit de leur expliquer.
>
> Après ils sont grands majeurs et vaccinés. A eux de choisir.
>
>
> Je fais un compo je vois une dent suspecte, je fais ma rétro je vois une pêche.
> J'informe le patient du problème (sans dramatiser non plus y a pas le feu au
> lac), je lui explique les traitements possibles (Devis à l'appui) et après il
> choisit ce qu'il veut faire.
> S'il veut pas qu'on y touche on y touche pas. Il est informé du risque.
>
> On appelle ça un consentement éclairé normalement :D

Je suis complètement d'accord avec toi, mais en pratique ça donne quoi?
Si tu vois une pêche sur ma dent pendant un contrôle, tu me l'annonces comment "sans dramatiser", car mine de rien une dent est en réel péril et aura vite fait d’être extraite si rien n'est fait, et même souvent si on y fait d’ailleurs...?


G-P écrivait:
-------------
> Tu te prends beaucoup trop la tête.
>
> Les patients arrivent avec des pathologies : il est essentiel de leur dire sans
> détour ce que tu as vu, quels sont les risques si rien n'est fait, et quel
> traitement tu proposes.
> Le reste, c'est le patient qui décide, si il ne veut rien faire, tu t'en laves
> les main et tu passes au suivant.
>
> Tu crois qu'un cardiologue s'embête quand un patient avec un gros risque
> d'infarctus veut pas arrêter la clope et se faire poser un stent ?
>
> 1/ motivation hygiène, devis paro, exo ou pourquoi pas contention pour la 31 ?
> Tant pis pour lui si il se brosse pas les dents et que sa 31 est à extraire ..
> 2/ oui, exo de la 6, et bridge.. tu veux faire quoi d'autre ?
> 3/ pas de RTE si pas de signes cliniques/radio, que le traitement était sous une
> reconstitution étanche, aspect visuel correct après dépose de
> l'obturation/couronne précédente, et traitement endo à l'apex. Dans tous les
> autres cas, RTE, c'est médico-légal.
> Si tu fais une fausse route, aléa thérapeutique, devis pour implant ou autre.
>
> Dans tous les cas, toujours expliquer au patient que les taux de réussite sont
> faibles, et que leurs dents vont probablement devoir être extraites, mais que tu
> vas quand même essayer.
> Tu réussis : t'es un génie, tu foires : c'est pas grave.

Réponse logique et détaillée, j'en attendais pas moins de ta part, merci pour le coup de pouce moral!

S'en laver les mains, c'est bien la seule solution, parfois j'ai l'impression de me faire plus de soucis pour les dents du patient que lui-même.

Je vais mettre ce genre de solutions en place, ça devrait régler pas mal de problèmes.


uɹöɾq

24/01/2016 à 09h58

Spix4ever écrivait:
-------------------
>
>
> Je fais un compo je vois une dent suspecte, je fais ma rétro je vois une pêche.


Généralement, on fait pas le bilan radio avant de traiter un patient?


Orezza gazeuse verre litre ocoxey - Eugenol
casa

24/01/2016 à 10h53

Attention iyauda , Bjorn va te travailler au corps .... Tu débutes et tes interrogations sont légitimes et tu les auras toujours , parce que c'est la nature humaine : c'est pas tout blanc ou tout noir ... et ça dépend de l'age du capitaine ! Oui , une dent avec une pêche asymptomatique te pose et te posera toujours un problème et ta réaction dépendra de celui qui est autour de la dent !!! et surtout de la confiance qu'il te fait ! Après tout , ce sont leurs dents et ils en font bien ce qu'ils veulent , tu es là pour les aider à maintenir leur bouche en bon état , faut un peu voir ça comme ça . Pour t'aider , tu peux te baser sur le motif de la première consultation ... et encore : urgence , contrôle , petites douleurs .... leur niveau de stress sur le fauteuil ...bref la connaissance de la nature humaine et ça c'est pas forcément écrit dans les bouquins et je ne suis pas sûre que bjorn soit le mieux placé pour t'aider la dessus .


RépondreCiter
Capture d  cran 2015 03 12 12.28 - Eugenol
chicot29

24/01/2016 à 11h07

uɹöɾq écrivait:
---------------
> Spix4ever écrivait:
> -------------------
> >
> >
> > Je fais un compo je vois une dent suspecte, je fais ma rétro je vois une
> pêche.
>
>
> Généralement, on fait pas le bilan radio avant de traiter un patient?

Non, ca irradie et c'est dangereux. A ne réserver qu'en cas de douleurs, en plus ca fait faire des économies à la sécu. -)


Spix4ever

24/01/2016 à 11h23

uɹöɾq écrivait:
---------------
> Spix4ever écrivait:
> -------------------
> >
> >
> > Je fais un compo je vois une dent suspecte, je fais ma rétro je vois une
> pêche.
>
>
> Généralement, on fait pas le bilan radio avant de traiter un patient?


Si mais pas forcément un status complet. Je fais une radio d'une zone quand je veux vérifier qqchose pas au pifomètre.

Ca n'est jamais arrivé à personne de voir une bouche impeccable et là tu vois une incicive mandibulaire un peu grise tu fais test vita + rx et là négatif + péche et le mec t'explique qu'il y a 10 ans il a pris un vol?

Et perso je suis pas très panos. Ce n'est utile que pour les chirurgies.


Capture d  cran 2015 03 12 12.28 - Eugenol
chicot29

24/01/2016 à 11h54

Spix4ever écrivait:
-------------------

>
> Si mais pas forcément un status complet. Je fais une radio d'une zone quand je
> veux vérifier qqchose pas au pifomètre.

Alors c'est bilan rétro-coronaire systématique quelque soit le patient. Status complet si antécédents de soins intensifs et/ou présence de signes d'appels. Sinon effectivement c'est du pifomètre.


> Ca n'est jamais arrivé à personne de voir une bouche impeccable et là tu vois
> une incicive mandibulaire un peu grise tu fais test vita + rx et là négatif +
> péche et le mec t'explique qu'il y a 10 ans il a pris un vol?

Si ca arrive, tout comme des caries proximales petites et moyennes visibles aux radios et invisibles à l'examen clinique. Il a fait un vol plané il y a 10 ans ? : Signe d'appel bilan complet. En effet les dents nécrosées ne changent pas forcément de couleur. -)

> Et perso je suis pas très panos. Ce n'est utile que pour les chirurgies.

C'est surtout pas indiqué par la HAS pour la détection de caries. Tu as besoin d'un pano toi, pour extraire une dent ?

La notion de signes d'appels et d'antécédents de soins intensifs ne sont pas définies par la HAS, en cas de controle sécu ce sont des arguments à mettre en avant.


Capture d  cran 2015 03 12 12.28 - Eugenol
chicot29

24/01/2016 à 12h07

exemple :

justification : antécédent de soins intensifs, traitement orthodontique.

Capture d e cran 2016 01 24 11.05 - Eugenol

Capture d  cran 2015 03 12 12.28 - Eugenol
chicot29

24/01/2016 à 12h18

exemple :

justification : signe d'appel antécédent de choc antérieur.

Doublement pas de bol le garçon pété une incisive qui a été traitée de façon comment dire ? étonnante !

Il est prévenu, il préfère attendre tranquillement sa pèche. A un de ces 4 ! -)))

Je suis sur que tu ne la fais meme pas la radio de l'incisive, me trompe je ? -)

A ma décharge le status n'est pas tout à fait complet il manque quelques apex. -)

Capture d e cran 2016 01 24 11.12 - Eugenol
Capture d e cran 2016 01 24 11.12 - Eugenol

Orezza gazeuse verre litre ocoxey - Eugenol
casa

24/01/2016 à 12h34

Après Bjorn , t'as chicot : le mitrailleur , endo IC CRN parce que c'est la faute de la sécu ,qui même le dimanche a ses dossiers radio sous le bras ... Tu peux suivre son exemple aussi : tu vas bien gagner ta vie , avoir des baraques à louer , rouler en guimbarde mais avoir un petit jouet au garage , mais être ... comment dire: aigri ? se taper des contrôles sécu , des stress d'argent , une certaine désillusion pour son job et de ses concitoyens ... Une carrière , c'est long .. très long ... Chicot quand t'as commencé , tu bossais pas dans ce même état d'esprit ? rassure moi .

PS: Je m'excuse d'avance auprès de la Saxo , je ne voulais pas la blesser !


Capture d  cran 2015 03 12 12.28 - Eugenol
chicot29

24/01/2016 à 12h44

casa écrivait:
-.. Chicot quand t'as commencé , tu bossais pas dans ce
> même état d'esprit ? rassure moi .

Non, ca m'a pris quand je bossais en mutuelle. Tu ne vois plus les patients de la meme façon après. Genre tu t'intéresses à leur complémentaire santé, ce qui fait que tu es moins droit dans tes bottes question plans de tt. -))))
Un seul controle sécu, sur les radios justement. Mais ca rend parano, c'est pour ca que fais des photos à chaque acte désormais détartrages compris. -)


Capture d  cran 2015 03 12 12.28 - Eugenol
chicot29

24/01/2016 à 12h50

casa écrivait:
--------------
> Après Bjorn , t'as chicot : le mitrailleur , endo IC CRN parce que c'est la
> faute de la sécu ,qui même le dimanche a ses dossiers radio sous le bras ...

C'est plus simple il y a team viewer. Et je ne mitraille que ce qui mérite c'est simple ca m'est servi sur un plateau soit par des actes iatrogènes ( RTE) soit par négligence. -))))


uɹöɾq

24/01/2016 à 13h28

casa écrivait:
--------------
> Tu
> peux suivre son exemple aussi : tu vas bien gagner ta vie , avoir des baraques à
> louer , rouler en guimbarde mais avoir un petit jouet au garage , mais être ...
> comment dire: aigri ? se taper des contrôles sécu , des stress d'argent , une
> certaine désillusion pour son job et de ses concitoyens ...

C'est bizarre cette façon de toujours tout ramener au pognon et à la vie personnelle des praticiens alors qu'on parle de dentisterie, d'indications d'actes et de patients.
Tu veux qu'on en parle?

Vous avez le choix: suivre les recommandations de casa en matière de radios (d'ailleurs c'est quoi ses recommandations?) ou celles de la HAS...
A chacun de voir. :-)


Orezza gazeuse verre litre ocoxey - Eugenol
casa

24/01/2016 à 13h52

Ben oui Bjorn , parce que peut-être que la vie personnelle comme tu dis est , pour moi, plus importante que la vie professionnelle . Les 2 sont elles intimement liées ? surement pour certains , beaucoup moins pour d'autres . Chicot "avoue" avoir commencé dans une mutuelle , ce qui , à l'époque, n'était pas si courant ..les mutuelles se lançaient ... ça dénote , déjà , un certain état d'esprit , que je me garderais bien de juger .. Chacun fait comme il l'entend . Je dirais qu'il en a gardé des séquelles ..pour être sympa . Maintenant , pour donner des conseils à un jeune qui débute je ne sais pas si il est bien placé ..mais moi non plus d'ailleurs . Je ne suis vraiment pas un exemple à suivre ! Pour en revenir au sujet des radios et de la HAS , ben tu vois , et tu t'en doutes , je m'en contrebalance des recommandations de la HAS .. j'aime pas les radios , c'est à mon avis trompeur ... t'as remarque que pour le reste du corps c'est un métier .. et le radiologue ne fait jamais le diagnostique .. y'a une raison .... Donc oui la radio peut aider mais pas que ! Allez bon dimanche les gars .


RépondreCiter
alex33

24/01/2016 à 15h15

Personnellement chicot a toujours eu de bons conseils pour mon debut d'ativité, notamment pour les soins endos qui sont la base de notre activité n'en déplaisent à certains. Dire l'inverse à un jeune praticien en pronant la dentisterie minimaliste à outrance, la biodentine, les compos stratifiés ect... c'est l'amener droit dans le mur et pour la coup la vie personnelle en prendra un coup.. Quant aux recommandations HAS en cas de contrôle je prefere m'y fier personnellement. Je vais d'ailleurs investir dans une pano 2D d'occasion et je vais respecter scrupuleusement les indications. Je ne vois pas de meilleur moyen d'être serein face à un contrôle.


Spix4ever

24/01/2016 à 15h44

chicot29 écrivait:
------------------

>
> C'est surtout pas indiqué par la HAS pour la détection de caries. Tu as besoin
> d'un pano toi, pour extraire une dent ?


La plupart du temps non. Mais pour les sagesses notamment je préfere :D


Spix4ever

24/01/2016 à 15h48

chicot29 écrivait:
------------------

>
> Je suis sur que tu ne la fais meme pas la radio de l'incisive, me trompe je ? -)
>
>

Je ne la fais que si je pense y trouver quelque chose.
Là en l'occurence la couronne à l'air assez moche (adaptation pourrave) donc je l'aurais petre faites.


Capture d  cran 2015 03 12 12.28 - Eugenol
chicot29

24/01/2016 à 16h01

casa écrivait:
--------------
> Ben oui Bjorn , parce que peut-être que la vie personnelle comme tu dis est ,
> pour moi, plus importante que la vie professionnelle . Les 2 sont elles
> intimement liées ? surement pour certains , beaucoup moins pour d'autres .
> Chicot "avoue" avoir commencé dans une mutuelle , ce qui , à l'époque, n'était
> pas si courant ..les mutuelles se lançaient ... ça dénote , déjà , un certain
> état d'esprit , que je me garderais bien de juger ..

Cest simple, la directrice était une amie de mes parents et non les mutuelles ne se lançaient pas, fin des années 80 les fauteuils sur lesquels je bossais avaient déjà 20 ans. -)))
Ceci dit c'est beaucoup plus formateur qu'une collaboration à 2 balles, on entre direct dans le vif du sujet. D'ailleurs les praticiens n'y restaient pas longtemps, j'y suis resté 2 ans. .
Ensuite j'ai fait une création (4 ans) une association en reprise 2 ans ( une merde) et un rachat en solo ( 18 ans pour l'instant).
Conclusion, ne pas hésiter à bouger jusqu'à se sentir à l'aise c'est ca mon "certain état d'esprit". -)


Capture d  cran 2015 03 12 12.28 - Eugenol
chicot29

24/01/2016 à 16h16

casa écrivait:
--------------

> .. j'aime pas les radios , c'est à mon avis trompeur ... t'as remarque que pour
> le reste du corps c'est un métier .. et le radiologue ne fait jamais le
> diagnostique .. y'a une raison .... Donc oui la radio peut aider mais pas que !
> Allez bon dimanche les gars .

Oui il y a aussi le pifomètre et les signes d'appels qui aident. -)
L'inconvénient des radios c'est qu'on ne voit pas tout. C'est un cone beam qu'il faudrait faire. ........en plus. -)
Mais bon après on en finirait plus de voir des merdes. -)
Tiens à propos de merde, ca me fait penser qu'il faut que j'aille faire une coloscopie, a mon age c'est indiqué et ca évite les emmerdes. -)


G-P

24/01/2016 à 19h06

Tu rigoles, mais dès que je fais des cone beam, on voit des pêches sur facile 50% des endos, beaucoup plus que sur une pano.


Capture d  cran 2015 03 12 12.28 - Eugenol
chicot29

24/01/2016 à 19h47


C'est bien ce que je disais un cone beam ca devrait se faire en première intention. ( si antécédents de soins intensifs)
C'est bien de les voir mais tu fais quoi après ? rien qu'avec celles qu'on voit avec les rétro alvéolaires on ne sait pas ou donner de la tete.....-)


iyaudat

24/01/2016 à 20h29

G-P écrivait:
-------------
> Tu rigoles, mais dès que je fais des cone beam, on voit des pêches sur facile
> 50% des endos, beaucoup plus que sur une pano.

Et dans ce cas la tu fais quoi?

Vu que pratiquement tous les patients on des dents dévitalisées, on peut considérer que tous ont des pêches, tu reprends systématiquement les endos dans ce cas?

C'est vrai que c'est théoriquement la solution, mais en pratique?