Cookie Consent byPrivacyPolicies.comSur-traitement? - Eugenol

Sur-traitement?

Capture d  cran 2015 03 12 12.28 - Eugenol
chicot29

24/01/2016 à 20h44

En pratique : si tu n'as pas trop de boulot tu les reprends. Sinon tu attends le signe d'appel. -)


iyaudat

24/01/2016 à 21h23

chicot29 écrivait:
------------------
> En pratique : si tu n'as pas trop de boulot tu les reprends. Sinon tu attends le
> signe d'appel. -)

C'est donc comme ca qu'on fidélise la clientèle? Cool merci du conseil! :-))


uɹöɾq

24/01/2016 à 21h53

G-P écrivait:
-------------
> Tu te prends beaucoup trop la tête.
>
> Les patients arrivent avec des pathologies : il est essentiel de leur dire sans
> détour ce que tu as vu, quels sont les risques si rien n'est fait, et quel
> traitement tu proposes

Mais c'est génial comme concept de travail! :-)))
Et moi qui pensais qu'il fallait cacher leurs pathologies aux patients pour ne pas avoir à les traiter. Ce que tu proposes est ré-vo-lu-tio-nnaire, merci GP. :-)))


uɹöɾq

24/01/2016 à 22h01

iyaudat écrivait:
-----------------
> chicot29 écrivait:
> ------------------
> > En pratique : si tu n'as pas trop de boulot tu les reprends. Sinon tu attends
> le
> > signe d'appel. -)
>
> C'est donc comme ca qu'on fidélise la clientèle? Cool merci du conseil! :-))


Oui, quand t'es nul, c'est le seul moyen de t'en sortir.
Mais n'espère pas gagner ta vie comme cela.

Sinon tu fais ce qui est nécessaire (si le patient a une bonne mutuelle et/ou veut bien payer).


Ylfwcw979cz1jnx9gfqeaxndiuzk - Eugenol
Algi

24/01/2016 à 22h15

Ou bien tu les fais à fonds et temps perdu mais c'est sur t'es pas a 500€ de l'heure et du coup Björn se foutra de ta gueule.

Bisous.

--
L’extrémisme est le culte sans la culture ;
le fondamentalisme est la croyance sans la connaissance ;
l’intégrisme est la religiosité sans la spiritualité.

On a toujours le choix mais entre quoi et quoi?
Vas-y boulégue et l'avenir te le dira!


uɹöɾq

24/01/2016 à 22h20

Algi écrivait:
--------------
> Ou bien tu les fais à fonds et temps perdu

Oui tu peux bosser bénévolement, mais bon fais plutôt garde forestier ou moniteur de ski, ce sera meilleur pour la santé (enfin pas sûr pour moniteur de ski, forte prévalence de cirrhoses :-))))) )


Ylfwcw979cz1jnx9gfqeaxndiuzk - Eugenol
Algi

24/01/2016 à 22h36

Je sais je suis un con mais si on était plus nombreux a penser comme moi je pense qu'on aurait meilleure presse et moins de difficultés à obtenir une revalorisation des soins.

J'ai toujours pas compris comment on peut concilier 90 000€ de bénef moyen avec le respect du code de déontologie les soins opposables les recommandations has et les moyens actuels de nos patients....

Sans doute parceque je suis con, suis je bête.

--
L’extrémisme est le culte sans la culture ;
le fondamentalisme est la croyance sans la connaissance ;
l’intégrisme est la religiosité sans la spiritualité.

On a toujours le choix mais entre quoi et quoi?
Vas-y boulégue et l'avenir te le dira!


uɹöɾq

24/01/2016 à 22h54

Algi écrivait:
--------------

>
> J'ai toujours pas compris comment on peut concilier 90 000€ de bénef moyen avec...

Moi j'ai toujours pas compris pourquoi ceux qui font des BNC horaires faibles ramènent toutes les discussions à ce BNC, et soupçonnent ceux qui en font de plus gros d'être moins honnêtes et/ou de faire des soins de moindre qualité.

De mon expérience personnelle, les petits BNC ne travaillent en moyenne pas mieux que les gros mais ceux qui travaillent correctement font toujours de gros BNC (ou au moins de gros CA).

Comme l'a écrit un célèbre philosophe volant: "il ne suffit pas d'être pauvre pour être honnête".


G-P

24/01/2016 à 23h09

uɹöɾq écrivait:
---------------
> G-P écrivait:
> -------------
> > Tu te prends beaucoup trop la tête.
> >
> > Les patients arrivent avec des pathologies : il est essentiel de leur dire
> sans
> > détour ce que tu as vu, quels sont les risques si rien n'est fait, et quel
> > traitement tu proposes
>
> Mais c'est génial comme concept de travail! :-)))
> Et moi qui pensais qu'il fallait cacher leurs pathologies aux patients pour ne
> pas avoir à les traiter. Ce que tu proposes est ré-vo-lu-tio-nnaire, merci GP.
> :-)))

hihi :)) cette phrase ne t'étais pas destinée, puisque tu es le cador de la dentisterie d'eugénol, mais à un confrère dans le doute. Je sais bien que tu sais déjà tout ça, à ton âge avancé, on n'a plus besoin de ce genre d'infos ;o))))


Ylfwcw979cz1jnx9gfqeaxndiuzk - Eugenol
Algi

24/01/2016 à 23h18

Björn t'es mauvais joueur car les reproches sur le bnc c'est toi qui a commencé... Les 500€ horaires c'est toi qui les as mis sur le tapis.

Tu bosses bien, tu gagnes bien ta vie et sans doute fais tu le top du top a tous les patients qui viennent chez toi et donc tu peux te permettre de donner des leçons de déontologie.

Et la phrase "je fais de qui est nécessaire à ceux qui ont une bonne mutuelle ou les moyens de payer" j'ai du mal la comprendre parceque je suis un con.

Allez zou, je retourne a mon match.


--
L’extrémisme est le culte sans la culture ;
le fondamentalisme est la croyance sans la connaissance ;
l’intégrisme est la religiosité sans la spiritualité.

On a toujours le choix mais entre quoi et quoi?
Vas-y boulégue et l'avenir te le dira!


Capture d  cran 2015 03 12 12.28 - Eugenol
chicot29

24/01/2016 à 23h23

uɹöɾq écrivait:
---------------
> iyaudat écrivait:
> -----------------
> > chicot29 écrivait:
> > ------------------
> > > En pratique : si tu n'as pas trop de boulot tu les reprends. Sinon tu
> attends
> > le
> > > signe d'appel. -)
> >
> > C'est donc comme ca qu'on fidélise la clientèle? Cool merci du conseil! :-))
>
>
> Oui, quand t'es nul, c'est le seul moyen de t'en sortir.
> Mais n'espère pas gagner ta vie comme cela.
>
> Sinon tu fais ce qui est nécessaire (si le patient a une bonne mutuelle et/ou
> veut bien payer).

Oui bon enfin entre une bio-pulpec et un RTE je préfère la biopulpec. -)
Si tu sautes sur tous les traitements endo foireux t'as pas fini. -)))
La moindre des choses c'est de prévenir les patients en général ils ne sont pas chauds bouillants pour intervenir si pas de signes d'appels. -)


uɹöɾq

24/01/2016 à 23h30

chicot29 écrivait:
------------------
>> Oui bon enfin entre une bio-pulpec et un RTE je préfère la biopulpec. -)
> Si tu sautes sur tous les traitements endo foireux t'as pas fini. -)))
> La moindre des choses c'est de prévenir les patients en général ils ne sont pas
> chauds bouillants pour intervenir si pas de signes d'appels. -)


Quand je dis tu fais ce qui est nécessaire, ça signifie tu envoies à l'endo exclusif. ;-)


uɹöɾq

24/01/2016 à 23h38

Algi écrivait:
--------------
> Björn t'es mauvais joueur car les reproches sur le bnc c'est toi qui a
> commencé... Les 500€ horaires c'est toi qui les as mis sur le tapis.

J'ai juste essayé de te faire comprendre quelque chose, que tu n'as manifestement pas comprise.

>

> Et la phrase "je fais de qui est nécessaire à ceux qui ont une bonne mutuelle ou
> les moyens de payer" j'ai du mal la comprendre parceque je suis un con.
>


Oui, ça doit être ça. Je vois pas ce qui te gêne...
J'ai oublié "ou tu bosses gratos"?
Apparemment c'est pas ton cas, puisque sur le cas clinique du boulanger, tu le virais pour 1000€ de CA en moins...

Comment tu fais pour faire ce qui est nécessaire à un patient s'il n'a pas une bonne mutuelle, ou ne peut pas payer?
Explique, je suis avide de connaissances.


Ylfwcw979cz1jnx9gfqeaxndiuzk - Eugenol
Algi

24/01/2016 à 23h43

C'est quand même malheureux que nous en soyons arrives la, non?

Votre dent a un problème et ça va pas être facile a reprendre mais vu que ça vous fait pas mal et que c'est en plus pas pris en charge et toussa toussa ben on va attendre que ça vous fasse très mal ou que ça vous rende très malade pour faire quelque chose....

Ensuite que certains se disent que ce système de merde nous est imposé et que du coup ils vont s'arranger avec je peux comprendre mais faudrait pas qu'ils la ramènent trop.

Être pragmatique ne permet pas de donner des leçons de morale.

A ce compte la donnons raisons aux centres low cost, aux réseaux et aux soins fictifs mais n'allons pas demander quoi que ce soit!

--
L’extrémisme est le culte sans la culture ;
le fondamentalisme est la croyance sans la connaissance ;
l’intégrisme est la religiosité s ans la spiritualité.

On a toujours le choix mais entre quoi et quoi?
Vas-y boulégue et l'avenir te le dira!


Capture d  cran 2015 03 12 12.28 - Eugenol
chicot29

24/01/2016 à 23h45

uɹöɾq écrivait:
---------------
> chicot29 écrivait:
> ------------------
> >> Oui bon enfin entre une bio-pulpec et un RTE je préfère la biopulpec. -)
> > Si tu sautes sur tous les traitements endo foireux t'as pas fini. -)))
> > La moindre des choses c'est de prévenir les patients en général ils ne sont
> pas
> > chauds bouillants pour intervenir si pas de signes d'appels. -)
>
>
> Quand je dis tu fais ce qui est nécessaire, ça signifie tu envoies à l'endo
> exclusif. ;-)

Encore faut il qu'il ait des endos exclusifs. C'est curieux ca ne se bouscule pas au portillon. -)
Le plus proche de chez moi doit etre en Angleterre. -)


Capture d  cran 2015 03 12 12.28 - Eugenol
chicot29

24/01/2016 à 23h49

Algi écrivait:
--------------
> C'est quand même malheureux que nous en soyons arrives la, non?
>

Avec un système de santé collectiviste c'était prévisible. Et encore on n'a encore rien vu, attends un peu qu'ils rendent la prothèse opposable tu va etre surpris des tarifs. Heureux d'etre plus près de la fin que du début-)


uɹöɾq

25/01/2016 à 00h05

Algi écrivait:
--------------
> Être pragmatique ne permet pas de donner des leçons de morale.
>

Ne pas l'être le permet plus?
J'ai pas vu où je te donnais une leçon de morale.

Au fait:'Comment tu fais pour faire ce qui est nécessaire à un patient s'il n'a pas une bonne mutuelle, ou ne peut pas payer?
Explique, je suis avide de connaissances.'


uɹöɾq

25/01/2016 à 00h14

chicot29 écrivait:
------------------

>
> Encore faut il qu'il ait des endos exclusifs. C'est curieux ca ne se bouscule
> pas au portillon. -)
> Le plus proche de chez moi doit etre en Angleterre. -)


Le mien a 2 mois d'attente seulement, mais c'est parce qu'il n'est pas cher (la molaire à 400€ en plus de la BR).

Ce qui me fait rire, ce sont les dentistes qui n'ont jamais adressé un de leurs patients chez un endo (ils neleur proposent même pas, ils sont honnêtes, c'est trop cher de toutes façons...) et qui y vont eux-mêmes ou y adressent leurs familles!!!
Enfin, le plus drôle, ce sont les CD qui me disent "il se fait plaisir hein!", alors qu'ils posent des IC/CCM à 850€ sur des endo inexistantes!!! :-)))


6szjws718sv1jksw54v4mpj3a6cu - Eugenol
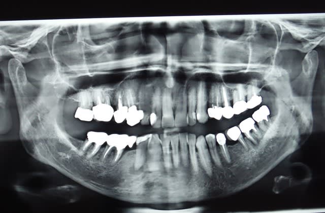
vulpi

25/01/2016 à 00h20

Sur-traitement?
En tout cas c'est bibi qui va si coller.

Dscf1270  2  rjhtsk - Eugenol

6szjws718sv1jksw54v4mpj3a6cu - Eugenol
vulpi

25/01/2016 à 00h28

Et celui là, fractures de 11 et 21.
4 monobloques à tenons solidarisées!!! Avec 22 et 12 non étanches, carie sous l'infrastructure, vu les axes pas étonnant, résultat 12 et 22 à exo, fracture pour 12. La 21 est bien sympa aussi et financièrement les implants... pas simple.
Ah le travaille n'a pas 4 ans et le dentiste est parti à la retraite, donc encore pour bibi.

Dscf1272  2  hvk8cw - Eugenol

iyaudat

25/01/2016 à 00h28

vulpi écrivait:
---------------
> Sur-traitement?
> En tout cas c'est bibi qui va si coller.

Punaise, mais la tu expliques comment a ton patient qu'il a 11 dents sur 10 infectées en restant confraternel?


6szjws718sv1jksw54v4mpj3a6cu - Eugenol
vulpi

25/01/2016 à 00h33

iyaudat écrivait:
-----------------
> vulpi écrivait:
> ---------------
> > Sur-traitement?
> > En tout cas c'est bibi qui va si coller.
>
> Punaise, mais la tu expliques comment a ton patient qu'il a 11 dents sur 10
> infectées en restant confraternel?

Ah comment dire, la patiente très condescendante m'a expliqué qu'avant elle allait à V... (grande ville du département), suivie par le Dr Tartempion, histoire que je comprenne bien que si elle travaillait encore elle ne serait pas devant le semi-rural que je suis, mais dans un cabinet de standing, chez une pointure...


uɹöɾq

25/01/2016 à 00h36

vulpi écrivait:
---------------
> Et celui là, fractures de 11 et 21.
> 4 monobloques à tenons solidarisées!!! Avec 22 et 12 non étanches, carie sous
> l'infrastructure, vu les axes pas étonnant, résultat 12 et 22 à exo, fracture
> pour 12. La 21 est bien sympa aussi et financièrement les implants... pas
> simple.
> Ah le travaille n'a pas 4 ans et le dentiste est parti à la retraite, donc
> encore pour bibi.


Tu lui fais déjà le devis pour le ttt paro, ça t'évitera de te fatiguer à parler dans le vide si déjà ça, ça ne passe pas. :-)))
Normalement, il ne devrait pas adhérer à ton plan de ttt, car il est venu chez toi par défaut (son merveilleux dentiste est en retraite), drapeau rouge ("il a essayé de m'arnaquer le nouveau, en me vendant un détartrage 600€")/


Ylfwcw979cz1jnx9gfqeaxndiuzk - Eugenol
Algi

25/01/2016 à 02h05

Bjorn tu me soules des fois...

"'Comment tu fais pour faire ce qui est nécessaire à un patient s'il n'a pas une bonne mutuelle, ou ne peut pas payer?
Explique, je suis avide de connaissances.'

Soit il peut vraiment rien payer et en général c'est qu'en fait il ne "veut" rien payer et du coup ben ça va pas coller.

Soit il peut pas vraiment mais j'ai le sentiment qu'il veut bien, et malheureusement, ça arrive trop souvent et donc va falloir trouver des stratégies, je fais un effort sur le devis, on étale les paiements en petits bouts, on essaie de temporiser....

Dans tous les cas j'essaie de stopper les dégats, je commence par lui apprendre à se brosser dents et gencives, je vire toutes les merdes iatrogénes, je fais ou refais les soins. Bref j'essaie d'assainir sa bouche au maximum.

Seule exception: endos, avec ou sans coiffes, prothèses pourraves mais asymptomatiques. Là on surveille mais il est prevenu qu'un jour ou l'autre faudra les faire.

Curieusement peu me plantent et on arrive ainsi en étalant sur 2,3 5 ans à remettre correctement en état.

Si endos effroyables ben j'adresse, contrairement à ce que tu crois car non seulement j'y perdrais du fric mais surtout je les pense hors de ma compétence.

Un exemple: je le suis depuis 4 ans.

Point de départ:

Restent dans les 10 dents en haut, toutes endos/coiffes voire inlay core. Seules les incisives sont vivantes mais avec compos degueus.

En bas: reste de 45 à 35 mal en point.

usures, perte de dv, etat paro de merde....

On a commencé par motivation et contrôler qu'il faisait ce qu'il fallait.

Suite à ça detartrages plus paro laser afin de nettoyer gencives.

Mon Lokki a 12 ans et est largement amorti; une seance même au tarif secu c'est 1 det+2 gingivectomies, soit 92€ et ça prend 30 minutes. Je sais je suis loin des 500E de l'heure...

Comme on arrive à bien gérer les saignements on peut faire dans la foulée des composites directs.

En 3 à 4 seances le menage est fait.

Il me verse 50, 100 ou 200 voire 300 quand c'est sa prime de noel certains mois, on fait une cagnotte... il garde ses sous quand les vacances approchent pour pouvoir aller à la mer et on reprend tranquillou chaque année en septembtre octobre.

En bas on a fait une ppa resine et des coiffes composite de labo pour remonter ses antérieures, je sais c'est pas ce qu'on voit à Gstaad ou à Davos, mais ça fait le job pour quelques temps si on entretient correctement.
Coiffes resine de labo facturées 200€ et cotées comme "reconstitution 2 angles", je sais pas si on a le droit de prendre un dépassement là dessus et je m'en fous, fallait bien faire quelque chose.
Les premolaires mandibulaires, necessitant une face ocllusale plus robuste du fait d'antagonistes en CCM pourraves au départ ont été coiffées en zircone prettau de chez zirkon zahn. Je te dis pas comment ça a vidé le petit cochon!


En haut on a stabilisé le coté droit post avec un bridge provisoire labo armé de fibre de verre, les anterieures sont coiffées vivantes avec encore des coiffes composite et on est actuellement sur le coté post gauche.

Je sais il est pas complétement fauché mais avec sa mutuelle à 200% et ses 1300€ par mois on peut pas dire non plus qu'il roule sur l'or.

Sinon effectivement si il avait vraiment pas un rond à mettre dans ses dents ben j'aurai pas pu faire grand chose d'autre que faire des soins (compo) sur les dents conservables, virer les foutues et lui proposer 2 ppa resine mais je l'aurai pas laissé choir.

Je sais je suis un con mais je crois que lui le crois pas et c'est ce qui m'importe.
--
L’extrémisme est le culte sans la culture ;
le fondamentalisme est la croyance sans la connaissance ;
l’intégrisme est la religiosité sans la spiritualité.

On a toujours le choix mais entre quoi et quoi?
Vas-y boulégue et l'avenir te le dira!


Orezza gazeuse verre litre ocoxey - Eugenol
casa

25/01/2016 à 10h09

Là , je crois que pour Bjorn , tu lui parles chinois , il a rien compris . T'as pas donne ton chiffre horaire donc tu ne peux pas être "comptabilisé" dans les normes d'un cabinet dentaire actuel respectant la CCAM , les HAS , le conseil de l'odre , l'accès handicapé , la radioprotection et tout le toutim ! Tu parles humain , PPA résine, bon pas amalgame ( faut pas pousser non plus !) . Bjorn , peux tu répondre à une question , tu exerces où ? C'est pas pour t'embêter mais juste pour nous permettre de mieux situer les choses .