Cookie Consent byPrivacyPolicies.comperi implantite expresse - Eugenol

peri implantite expresse

olivier

26/01/2016 à 10h37

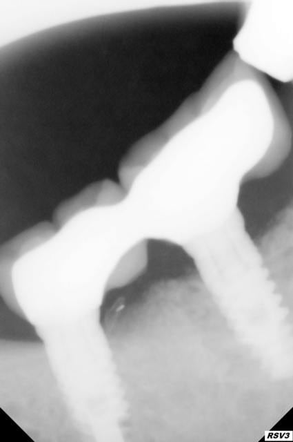
implants posés en mars 2015 patient fumeur 10 cig par jour, hygiene correcte
1 er radio le jour de la pose
2 e radio juillet 2015
3e radio fin décembre 2015
4é radio aujourd'hui soit 1 mois plus tard
5 é ...photo ...mobilité douleur etc ....
des hypothèses ?

Cara1 tvbt8z - Eugenol
Cara2 gofj7s - Eugenol
Caradecembre zt7d6a - Eugenol
Carajanvier hf2i6l - Eugenol
Img 1965 1  vwercs - Eugenol

Utilisateur banni

26/01/2016 à 11h01

la radio 2 et 3 non pas était inversée lors de l'exportation?


olivier

26/01/2016 à 11h04

du ciment ...si profond et pas visible à la radio (dento temp itena )?

Img 1968 1  iz6thg - Eugenol
Img 1967 1  ux1qxc - Eugenol

olivier

26/01/2016 à 11h05

posit écrivait:
---------------
> la radio 2 et 3 non pas était inversée lors de l'exportation?
non


Utilisateur banni

26/01/2016 à 11h20

Zut, la radio 2 est le contrôle de l’armature.
La charge ne te parait pas importante pour le support ?


olivier

26/01/2016 à 11h28

c'est du 4.2*10 mm pour replacer l’équivalent d'une molaire ....je ne pense pas que l’échec soit strictement lié au cantilever ou à une surocc .


Utilisateur banni

26/01/2016 à 11h48

Je pensais à un facteur défavorable.
Ce qui te questionnes se sont les particules sans trace de sang sur la partie corticale de l’implant ?


olivier

26/01/2016 à 13h09

non c'est la rapidité entre les 2 derniers clichés espacés d'1 mois et l'absence de signes entre les 2.... voila


Azerty06

26/01/2016 à 13h52

Bonjour, quel est la marque de ces implants stp ?


olivier

26/01/2016 à 14h05

alphabio ICE


Azerty06

26/01/2016 à 14h22

il me semble avoir lu que quelqu'un sur le forum a quelques problèmes avec cette marque. un état de surface pollué peut être ?.
sinon il faudrait plus de documents, pano, photo ...pour faire quelques hypothèses.


Azerty06

26/01/2016 à 14h26

au vue de la radio et des info qu'on a, cela ne semble pas être une périimplantite infectieuse. plutôt un implant mal osteointegré, ou un problème de surface.


olivier

26/01/2016 à 14h31

non osteo integré : j'ai fait des tests à la percussion, sondage et radios ensuite j'ai vissé les piliers à 30 N sans douleurs ....


Photo 158 mluhia - Eugenol
robin

26/01/2016 à 14h53

ce qui est étonnant, c'est de trouver du ciment dans les spires..


Azerty06

26/01/2016 à 15h06

olivier écrivait:
-----------------
> non osteo integré : j'ai fait des tests à la percussion, sondage et radios
> ensuite j'ai vissé les piliers à 30 N sans douleurs ....

on fait tous pareil, mais c'est un test au dévissage qu'on devrait faire ( on va pas le faire bien sûr !!)
ton implant peut être "bloqué" par sa forme dans l'os mais très peu ostéointégré. lorsqu'on visse, on va dans le "bon sens" et cela ne donne pas trop d'indication quant à son ostéointégration.
une fois que tout ça fonctionne, les problèmes arrivent.


olivier

26/01/2016 à 15h44

robin écrivait:
---------------
> ce qui est étonnant, c'est de trouver du ciment dans les spires..

Eh oui c'est sur ce fait que je voulais attirer l'attention comment expliquer que je retrouve du ciment aussi apicalement alors que sur les différents clichés on voit pas de signes


cy2

26/01/2016 à 18h55

olivier écrivait:
-----------------
> robin écrivait:
> ---------------
> > ce qui est étonnant, c'est de trouver du ciment dans les spires..
>
> Eh oui c'est sur ce fait que je voulais attirer l'attention comment expliquer
> que je retrouve du ciment aussi apicalement alors que sur les différents clichés
> on voit pas de signes

Peut-être que comme le dit azerty06 l'implant semblait être ostéo-intégré mais ne l'était pas. Ca pourrait expliquer du ciment aussi bas.


Implant wq5dd1 - Eugenol
sinuslift

29/01/2016 à 09h59

Azerty06 écrivait:
------------------
> il me semble avoir lu que quelqu'un sur le forum a quelques problèmes avec cette
> marque.

Tout à fait exact......

Marque à éviter.