Cookie Consent byPrivacyPolicies.comcotations rétro coronaires - Eugenol
Capture d  cran 2015 03 12 12.28 - Eugenol
chicot29

17/02/2016 à 19h35

bagheerra écrivait:
-------------------
> >
> > Et dans ton cas mauvais exemple c'est des rétro alvéolaires qu'il faut faire.
>
> Dans mon cas j'ai une pano de moins de 5 ans donc les BW suffisent en contrôle
> annuel.


Et non pas avec des endos. Si ca se trouve il a des pèches maous aux apex -)
Pano non justifié aussi ? fais gaffe. -))))
Moi j'ai un faible pour les status rétro alvéolaires en cas d'antécédents de soins intensifs. -)

Capture d e cran 2016 02 17 18.46 - Eugenol

Image saznoz - Eugenol
Hodina

17/02/2016 à 19h51

chicot29 écrivait:
------------------
> bagheerra écrivait:
> -------------------
> > >
> > > Et dans ton cas mauvais exemple c'est des rétro alvéolaires qu'il faut
> faire.
> >
> > Dans mon cas j'ai une pano de moins de 5 ans donc les BW suffisent en contrôle
> > annuel.
>
>
> Et non pas avec des endos. Si ca se trouve il a des pèches maous aux apex -)
> Pano non justifié aussi ? fais gaffe. -))))
> Moi j'ai un faible pour les status rétro alvéolaires en cas d'antécédents de
> soins intensifs. -)

Euh chicot, dans ton dernier post, c'était quoi les soins intensifs???
Il n'y a aucune endo.....
--
😁😁😁😁😁😁
Le Blog dentaire.
www.arcad-dentaire.fr
Dernier article: SANTE ET LOW-COST
((-----Vivre le sourire Hollywoodien-----))


Capture d  cran 2015 03 12 12.28 - Eugenol
chicot29

17/02/2016 à 21h24

Hodina écrivait:
----------------

> > Et non pas avec des endos. Si ca se trouve il a des pèches maous aux apex -)
> > Pano non justifié aussi ? fais gaffe. -))))
> > Moi j'ai un faible pour les status rétro alvéolaires en cas d'antécédents de
> > soins intensifs. -)
>
> Euh chicot, dans ton dernier post, c'était quoi les soins intensifs???
> Il n'y a aucune endo.....
> --
> 😁😁😁😁😁😁

Montres moi le papelard ou est définie la notion de soins intensifs. -)

Bon là il y a les quatre 6 en moins, et quasiment toutes les autres dents on un soin plus ou moins profond + une tendance à l'abrasion. Bien que cette notion de soins intensifs ne soit pas définie je trouve que c'est pas mal. -)

Capture d e cran 2016 02 17 20.28 - Eugenol
Capture d e cran 2016 02 17 20.29 - Eugenol
Capture d e cran 2016 02 17 20.34 - Eugenol
Capture d e cran 2016 02 17 20.39 - Eugenol

Image saznoz - Eugenol
Hodina

17/02/2016 à 21h35

chicot29 écrivait:
------------------
> Hodina écrivait:
> ----------------
>
> > > Et non pas avec des endos. Si ca se trouve il a des pèches maous aux apex -)
> > > Pano non justifié aussi ? fais gaffe. -))))
> > > Moi j'ai un faible pour les status rétro alvéolaires en cas d'antécédents de
> > > soins intensifs. -)
> >
> > Euh chicot, dans ton dernier post, c'était quoi les soins intensifs???
> > Il n'y a aucune endo.....
> > --
> > 😁😁😁😁😁😁
>
> Montres moi le papelard ou est définie la notion de soins intensifs. -)
>
> Bon là il y a les quatre 6 en moins, et quasiment toutes les autres dents on un
> soin plus ou moins profond. Bien que cette notion ne soit pas définie je trouve
> que c'est pas mal. -)

Bof bof bof!!!!
Je me fais l'avocat du diable hein!
Enfin diable, c'est une expression!!!!
Mais intensif, c'est pousse un peu loin dans ce cas

--
😁😁😁😁😁😁
Le Blog dentaire.
www.arcad-dentaire.fr
Dernier article: SANTE ET LOW-COST
((-----Vivre le sourire Hollywoodien-----))


Capture d  cran 2015 03 12 12.28 - Eugenol
chicot29

17/02/2016 à 21h41

Hodina écrivait:
----------------

> Bof bof bof!!!!
> Je me fais l'avocat du diable hein!
> Enfin diable, c'est une expression!!!!
> Mais intensif, c'est pousse un peu loin dans ce cas

A oui et les composites profonds ca vaut pas le coup d'aller vérifier les apex ?
Mais un antécédent de tt ortho c'est intensif aussi. Tu verrais la gueule de certaines racines qui ont rétréci au lavage ! -)

Pourquoi tu trouves que les endos sécu sont des traitements intensifs alors que la plupart ne sont pas à l'apex ? -)))
Mais ne t'inquiètes pas je ne vais pas faire un status sur un édenté complet bien qu'il ait subi des traitements intensifs. -)


Image saznoz - Eugenol
Hodina

17/02/2016 à 21h53

Maintenant comme tu le dis cette notion de soins intensif n'est pas définie de manière exhaustive;
2 solutions: soit on considère cette notion vague comme un avantage pour tout mettre dedans, soit c'est fait exprès pour nous mettre dedans!!!!!

--
😁😁😁😁😁😁
Le Blog dentaire.
www.arcad-dentaire.fr
Dernier article: SANTE ET LOW-COST
((-----Vivre le sourire Hollywoodien-----))


Capture d  cran 2015 03 12 12.28 - Eugenol
chicot29

17/02/2016 à 22h01

Hodina écrivait:
----------------
> Maintenant comme tu le dis cette notion de soins intensif n'est pas définie de
> manière exhaustive;
> 2 solutions: soit on considère cette notion vague comme un avantage pour tout
> mettre dedans, soit c'est fait exprès pour nous mettre dedans!!!!!
>
> --
Non sur les status qu'on m'a demandé de justifier cette notion m'a sauvé la mise ( antécédent de tt ortho) sur 10 cas sur 15. -)
Pour les autres il y avait moins de soins que dans ce cas et pareil.
Ca ne veut pas dire qu'il faille jouer avec le feu non plus. Je fais gaffe maintenant.
Pareil notion de signes d'appels non définie.


Image saznoz - Eugenol
Hodina

17/02/2016 à 22h01

chicot29 écrivait:
------------------
> Hodina écrivait:
> ----------------
>
> > Bof bof bof!!!!
> > Je me fais l'avocat du diable hein!
> > Enfin diable, c'est une expression!!!!
> > Mais intensif, c'est pousse un peu loin dans ce cas
>
> A oui et les composites profonds ca vaut pas le coup d'aller vérifier les apex ?
> Mais un antécédent de tt ortho c'est intensif aussi. Tu verrais la gueule de
> certaines racines qui ont rétréci au lavage ! -)
>
> Pourquoi tu trouves que les endos sécu sont des traitements intensifs alors que
> la plupart ne sont pas à l'apex ? -)))
> Mais ne t'inquiètes pas je ne vais pas faire un status sur un édenté complet
> bien qu'il ait subi des traitements intensifs. -)

Ok, mais si tu ne trouve rien, tu côtes ou non?
Moi, je me pose souvent la question.....
--
😁😁😁😁😁😁
Le Blog dentaire.
www.arcad-dentaire.fr
Dernier article: SANTE ET LOW-COST
((-----Vivre le sourire Hollywoodien-----))


Capture d  cran 2015 03 12 12.28 - Eugenol
chicot29

17/02/2016 à 22h02

Hodina écrivait:
----------------
> chicot29 écrivait:
nsifs. -)
>
> Ok, mais si tu ne trouve rien, tu côtes ou non?
> Moi, je me pose souvent la question.....
> --

ben oui je cote. Si il y a des antécédents de soins intensifs. Ca vaut mieux que de ne rien faire et de ne rien trouver parce qu'on a rien fait alors qu'il y a des merdes qui trainent , non ? -)

Si il n'y en a pas c'est rétro coronaires. -)


Image saznoz - Eugenol
Hodina

17/02/2016 à 22h33

N'oublies pas qu'il y a dans le document HAS des périodes minimum à respecter pour les rétro coronaires en fonction de l'âge et du risque carieux; ce qui,fait si mes souvenirs sont bons entre 6 à 8 possibilités un genre tous les 6, 12,18,24' mois)----à vérifier sur le doc HAS ( ou sur mon blog: plus simple😀😀😀😀

--
😁😁😁😁😁😁
Le Blog dentaire.
www.arcad-dentaire.fr
Dernier article: ODONTOLOGIE ET LOW-COST
((-----Vivre le sourire Hollywoodien-----))


Prehome gif anime lfnqnl - Eugenol
fredledragon

17/02/2016 à 23h16

La HAS aime les rétro coronaires, pas de soucis si patient à haut risque carieux.
Par contre si on a un capteur filaire et que l'on fait des RC avec sur des secteurs unique (donc haut à droite par exemple) et bien on est un salaud et on doit tout rembourser car une RC doit montrer les antagonistes pour être valable!
Comme c'est impossible avec mon capteur filaire taille moyenne, je dois rembourser des milliers de RC pourtant faites et respectant les délais de la HAS, et souvent ayant permis de trouver des caries proximales.(mais ça ils s'en balancent ils sont juste là pour te coincer!)


Capture d  cran 2015 03 12 12.28 - Eugenol
chicot29

18/02/2016 à 00h15

Voyons voir 4 rétro coronaires 31,92 soit 8,92 euros de plus qu'une consult. Consult qui peut etre effectuée sans radios et donc forcément pas dans l'intérêt du patient. ......
On apprécie la stupidité de l'occupant intérieur. L'état dans toute sa splendeur.


Capture d  cran 2015 03 12 12.28 - Eugenol
chicot29

18/02/2016 à 00h21

Hodina écrivait:
----------------
> N'oublies pas qu'il y a dans le document HAS des périodes minimum à respecter
> pour les rétro coronaires en fonction de l'âge et du risque carieux; ce qui,fait
> si mes souvenirs sont bons entre 6 à 8 possibilités un genre tous les 6,
> 12,18,24' mois)----à vérifier sur le doc HAS ( ou sur mon blog: plus simple😀😀😀😀
>
Je leur dit de revenir tous les 2 ans. -)


Capture d  cran 2015 03 12 12.28 - Eugenol
chicot29

18/02/2016 à 00h26

fredledragon écrivait:
----------------------
> La HAS aime les rétro coronaires, pas de soucis si patient à haut risque
> carieux.
> Par contre si on a un capteur filaire et que l'on fait des RC avec sur des
> secteurs unique (donc haut à droite par exemple) et bien on est un salaud et on
> doit tout rembourser car une RC doit montrer les antagonistes pour être valable!
> Comme c'est impossible avec mon capteur filaire taille moyenne, je dois
> rembourser des milliers de RC pourtant faites et respectant les délais de la
> HAS, et souvent ayant permis de trouver des caries proximales.(mais ça ils s'en
> balancent ils sont juste là pour te coincer!)

Il faut que tu investisses dans un système à plaques ( 6000 _7000euros) pour gagner 8,92 euros de plus qu'une consult. -)
2 solutions tu les fais avec ton capteur et tu ne les cotes pas ou tu n'en fais plus ( aucun risque de te faire contrôler à ce sujet) .


Hok 1b hgd3rj - Eugenol
Hokusai

18/02/2016 à 09h41

chicot29 écrivait:
------------------

> Il faut que tu investisses dans un système à plaques ( 6000 _7000euros) pour
> gagner 8,92 euros de plus qu'une consult. -)
> 2 solutions tu les fais avec ton capteur et tu ne les cotes pas ou tu n'en fais
> plus ( aucun risque de te faire contrôler à ce sujet) .

Même sans les rétro-coronaires l ERLM c'est super !!!

Tu travailles sur 2 fauteuils, t'as deux capteurs CCD a fil, t'en as pour plus de charge que le Vistascan.
Un cabinet avec trois fauteuils et le vistascan devient le système radio le moins cher et de loin!
Bien sur si vos CCD fonctionnent bien gardez les, mais en cas de renouvellement de matériel pensez ERLM.

L'avantage du CCD (et franchement je pense que c'est le seul) c'est la rapidité des radio per-op en endo.

Ne plus faire de retrocoronaire serait une perte de chance pour le patient.


Hok 1b hgd3rj - Eugenol
Hokusai

18/02/2016 à 09h43

fredledragon écrivait:
----------------------
> je dois
> rembourser des milliers de RC pourtant faites et respectant les délais de la
> HAS

Combien en indus ?


Capture d  cran 2015 03 12 12.28 - Eugenol
chicot29

18/02/2016 à 09h47

Hokusai écrivait:
-----------------
> chicot29 écrivait:
> ------------------
>
> > Il faut que tu investisses dans un système à plaques ( 6000 _7000euros) pour
> > gagner 8,92 euros de plus qu'une consult. -)
> > 2 solutions tu les fais avec ton capteur et tu ne les cotes pas ou tu n'en
> fais
> > plus ( aucun risque de te faire contrôler à ce sujet) .
>
> Même sans les rétro-coronaires l ERLM c'est super !!!
>
> Tu travailles sur 2 fauteuils, t'as deux capteurs CCD a fil, t'en as pour plus
> de charge que le Vistascan.
> Un cabinet avec trois fauteuils et le vistascan devient le système radio le
> moins cher et de loin!
> Bien sur si vos CCD fonctionnent bien gardez les, mais en cas de renouvellement
> de matériel pensez ERLM.

> L'avantage du CCD (et franchement je pense que c'est le seul) c'est la rapidité
> des radio per-op en endo.

Et en post op autre qu'endo.-)
La rapidité tout court.

> Ne plus faire de retrocoronaire serait une perte de chance pour le patient.

T'en as rien à foutre tu ne risques pas d'indu.
Attends un peu de te faire controler sur tes radios et on en reparle.
Il te manque ne serait ce qu'un mm2 par rapport aux recommandations HAS .......


Prehome gif anime lfnqnl - Eugenol
fredledragon

18/02/2016 à 09h56

pas compté mais 550 dossiers dans l'analyse, beaucoup de RC qui vont souvent par 4. Sans parler de toutes les radios RC ou il manque un petit bout.
Dans la vraie vie tu fais une radio (acte complémantaire) pour rechercher un indice qui va te permettre de prendre ta décision.
Lors d'un contrôle, on regarde tes radios comme si il s'agissait d'un concours photographique, il manque un morceau de la face distale c'est un indu, même si tu as une carie monstrueuse en mésiale et que ça te suffit pour prendre ta décision.
Du grand n'importe quoi et énormément de mauvaise fois pour justifier tout ça.


Prehome gif anime lfnqnl - Eugenol
fredledragon

18/02/2016 à 09h59

Absolument d'accord pour ERLM, c'est juste parce que je n'en ai pas éprouvé le besoin, avec pano et capteur filaire on se débrouille déjà pas mal.
J'ai deux cab, et deux capteurs filaires puisque j'ai une collab, donc pas une question d'argent, juste un choix de manip en moins.


Capture d  cran 2015 03 12 12.28 - Eugenol
chicot29

18/02/2016 à 10h10

fredledragon écrivait:
----------------------

> Lors d'un contrôle, on regarde tes radios comme si il s'agissait d'un concours
> photographique, il manque un morceau de la face distale c'est un indu, même si
> tu as une carie monstrueuse en mésiale et que ça te suffit pour prendre ta
> décision.
> Du grand n'importe quoi et énormément de mauvaise fois pour justifier tout ça.

T'es con aussi. pourquoi n'attends tu pas le signe d'appel ? Tu fais une radio, tu ne la cotes pas c'est pour ton information personnelle. Comme ca quand le patient appelle pour cause de problème tu sais d'ou ca vient et tu peux préparer ton matos d'endo. -)


Capture d  cran 2015 03 12 12.28 - Eugenol
chicot29

18/02/2016 à 10h19

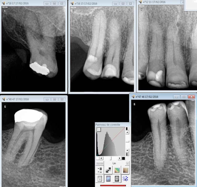
On cote quoi là ? -)

25 36 ? -)

Exemple type de radio rétro coronaire avec capteur, les 34, 44 sont difficiles à avoir.
Les rebords rétro alvéolaires aussi on a du mal a bien centrer le plan occlusal.

Capture d e cran 2016 02 18 09.18 - Eugenol

Prehome gif anime lfnqnl - Eugenol
fredledragon

18/02/2016 à 10h32

Désolé je ne vois pas la face distale de la 37.
La radio est centrée sur du vide, elle doit être centrée sur une dent.
Le patient a la bouche mal fermée, rien ne dit que je vois les antagonistes
Pourquoi avez vous fait cette radio?

#parlecommelecdc


Capture d  cran 2015 03 12 12.28 - Eugenol
chicot29

18/02/2016 à 11h18

fredledragon écrivait:
----------------------
> Désolé je ne vois pas la face distale de la 37.

"Par secteur de 1 à 3 dents contigües on entend : secteur de 1 ou 2 ou 3 dents comprenant la dent sur laquelle est centré le cliché radiographique et chacune de ses dents adjacentes. "

C'est la définition d'un secteur, il n'est écrit nulle part que toutes les dents du secteur doivent etre sur le cliché.

> La radio est
centrée sur du vide, elle doit être centrée sur une dent.

rétro coronaire on a du mal à savoir sur laquelle des dents antagonistes, elle est centrée.

> Le patient a la bouche mal fermée, rien ne dit que je vois les antagonistes

Vous pouvez préciser ? Vous pensez que ce sont les dents du secteur 4 et non pas du secteur 3 ?

> Pourquoi avez vous fait cette radio?

Recommandations HAS.


> #parlecommelecdc


Prehome gif anime lfnqnl - Eugenol
fredledragon

18/02/2016 à 12h42

chicot29 écrivait:


>
> > Pourquoi avez vous fait cette radio?
>
> Recommandations HAS.


ça c'est une réponse de CDC, toi tu n'as pas le droit de répondre comme ça, car ça ne veut rien dire, la HAS recommande plein d'examen radiologique avant la pose d'implant, et alors, c'est pas pour ça que tu peux coter!
Non j'ai besoin de cygnes d'Apêle (c'est un oiseau rare)


Capture d  cran 2015 03 12 12.28 - Eugenol
chicot29

22/02/2016 à 12h26

radios non cotables si on pinaille. (rebord alvéolaire non visible en totalité)

Je ne les cote pas. par contre si il y avait eu quelque chose je n'aurais rien vu non plus ( car je ne les ai pas faites ) .-)
Rien à secouer de ne pas faire des soins conservateurs à des tarifs de merde. -)

Capture d e cran 2016 02 22 11.19 - Eugenol