Cookie Consent byPrivacyPolicies.comempreinte secondaire en complete - Eugenol

empreinte secondaire en complete

6szjws718sv1jksw54v4mpj3a6cu - Eugenol
vulpi

21/06/2017 à 19h02

zizine78 écrivait:
------------------
> vulpi écrivait:
> ---------------
> > zizine78 écrivait:
> > ------------------
> > > vulpi écrivait:
> > > ---------------
> > > > zizine78 écrivait:
> > > > ------------------
> > > >
> > > > > Tu conviendras que le dieu de l'occluso, c'est enlaye.
> > > >
> > > > Demi-dieu.t
> > >
> > > J'hallucine ou tu es jaloux d'enlaye, vulpi?
> > > Remarque, je peux te comprendre, avec de telles tablettes de chocolat!...
> >
> > Oui, il est bien foutu le lascar! Et fils de Zeus.
>
> Hercule?

Avance!

http://cartelfr.louvre.fr/cartelfr/visite?srv=car_not_frame&idNotice=4210


Utilisateur banni

21/06/2017 à 20h12

moi c'est pas le carrelage que j'ai remarqué sur la photo , c'est l'enregistrement de la luette au niveau de l'empreinte 😊😊😊


6szjws718sv1jksw54v4mpj3a6cu - Eugenol
vulpi

21/06/2017 à 20h58

zéro nausée, la patiente n'a pas mouftée.


Utilisateur banni

22/06/2017 à 09h14

au fait vous ne faites jamais de PACSI maxillaire vous ?
Au maxillaire vous faites :
-> soit prothèse totale
-> soit un bridge classique sur Implant ou soit un pilotis


6szjws718sv1jksw54v4mpj3a6cu - Eugenol
vulpi

22/06/2017 à 20h29

junior® écrivait:
-----------------
> au fait vous ne faites jamais de PACSI maxillaire vous ?
> Au maxillaire vous faites :
> -> soit prothèse totale
> -> soit un bridge classique sur Implant ou soit un pilotis

Jamais, pac ou 8 implants... donc pac ;-))

Contention à l’arrache de 32, 100€ NPC, le temps pour le patient de se décider entre un bridge conventionnel NPC et un bridge sur implants NPC, choix cornélien.

Dscf2537 jf9upa - Eugenol
Dscf2535 rlqbbr - Eugenol

Generique fraisage r2rxmm - Eugenol
lardonbis

23/06/2017 à 08h53

vulpi écrivait:
---------------

> Contention à l’arrache de 32, 100€ NPC, le temps pour le patient de se décider
> entre un bridge conventionnel NPC et un bridge sur implants NPC, choix
> cornélien.

maintenant que je le fait avec deux gouttes de superbond ils ne reviennent plus avant la destruction complète de l'os alvéolaire.
Dans mon coin contention 32 = exo 31/32/33 2 ans plus tard :)


Jack 2 wm3tqs - Eugenol
Treponem

23/06/2017 à 09h11

lardonbis écrivait:
-------------------

> Dans mon coin contention 32 = exo 31/32/33 2 ans plus tard :)

Ici c'est pareil, sauf que le délais est plutôt de 6 mois ...


Vw campersurfvan bmnk1q - Eugenol
enlaye

27/06/2017 à 12h30

j'ai à peine dit que j'en faisait un tous les 10 ans ,et toc ,en voilà un autre à faire .
à mon avis ,ça va etre compliqué :-)

 mg 1253 axtcs5 - Eugenol

Vw campersurfvan bmnk1q - Eugenol
enlaye

27/06/2017 à 12h35

ahh ,non ,là ç est mieux , pas si dur que ça :-))))
mais pourquoi moi ??

 mg 1256 cne0xk - Eugenol

Generique fraisage r2rxmm - Eugenol
lardonbis

27/06/2017 à 12h45

pas mal..
ça fait quoi quand elle ricane ?

Diabolo le magnifique diabo mt6skd - Eugenol

Vw campersurfvan bmnk1q - Eugenol
enlaye

27/06/2017 à 12h49

casa écrivait:
--------------
" oh ben si t'en fais qu'un tous les 10 ans , tu peux le faire payer 2500 , ça passera ."

ç est surtout que si je le faisais à moins , elles me prendraient pour un guignol,et je n'en ferais plus un :-)!
ç est con ce RA !

 mg 1270 seizmq - Eugenol
 mg 1268 l5c6wg - Eugenol

Hok 1b hgd3rj - Eugenol
Hokusai

27/06/2017 à 12h58

Oh putain la taille du caillou !!


lachmar

27/06/2017 à 13h06



on compte sur toi pour tout photographier )))


Utilisateur banni

28/06/2017 à 19h12

Café chocolat ou fraise framboise ?

Img 1179 ldm0tf - Eugenol
Img 1075 tdaad2 - Eugenol

mr smith

28/06/2017 à 19h55

junior® écrivait:
-----------------
> Café chocolat ou fraise framboise ?

je n'ai rien à t'apprendre , mais quand on met autant de bonne volonté sur ses empreintes , tu as bien plus easy pour le bas , l'empreinte mccracken .


6szjws718sv1jksw54v4mpj3a6cu - Eugenol
vulpi

28/06/2017 à 21h08

soit c'est très plat soit c'est un peu juste en distal (autour) des tubérosités, et par conséquence en distal.
Tu devrais couper les languettes de permlastic entre les incisives afin d'éviter une fracture des dents (du plâtre) à la désinsertion.
Tu as un défaut en lingal de ce qui ressemble à une racine mésiale de 36 (késako?)
Tu vois j'aime bien aller loin.

Dscf1301 gp2utj - Eugenol

Vw campersurfvan bmnk1q - Eugenol
enlaye

28/06/2017 à 23h45

joli Vulpi .tu as fais un joint periph à la pate de kerr ?


Utilisateur banni

29/06/2017 à 07h20

mr smith écrivait:
------------------
> junior® écrivait:
> -----------------
> > Café chocolat ou fraise framboise ?
>
> je n'ai rien à t'apprendre , mais quand on met autant de bonne volonté sur ses
> empreintes , tu as bien plus easy pour le bas , l'empreinte mccracken .

Je sais mais c'était plus pour amuser la galerie qu'autre chose


lachmar

29/06/2017 à 09h36

junior® écrivait:
-----------------
> Café chocolat ou fraise framboise ?


joli

mais pour éviter l'inconvenient des imprécisions/deformation au niveau des incisives j'aurais vaseline (oui je sais) les dents résiduelles avant l'empreinte finale


lachmar

29/06/2017 à 09h38

vulpi écrivait:
---------------
> soit c'est très plat soit c'est un peu juste en distal (autour) des tubérosités,
> et par conséquence en distal.
> Tu devrais couper les languettes de permlastic entre les incisives afin d'éviter
> une fracture des dents (du plâtre) à la désinsertion.
> Tu as un défaut en lingal de ce qui ressemble à une racine mésiale de 36
> (késako?)
> Tu vois j'aime bien aller loin.


joli

a mon avis la perfection de l'enregistrement des freins est due aux rzflexe nauséeux qui a du etre permanent pendant l'empreinte )


Utilisateur banni

30/06/2017 à 05h53

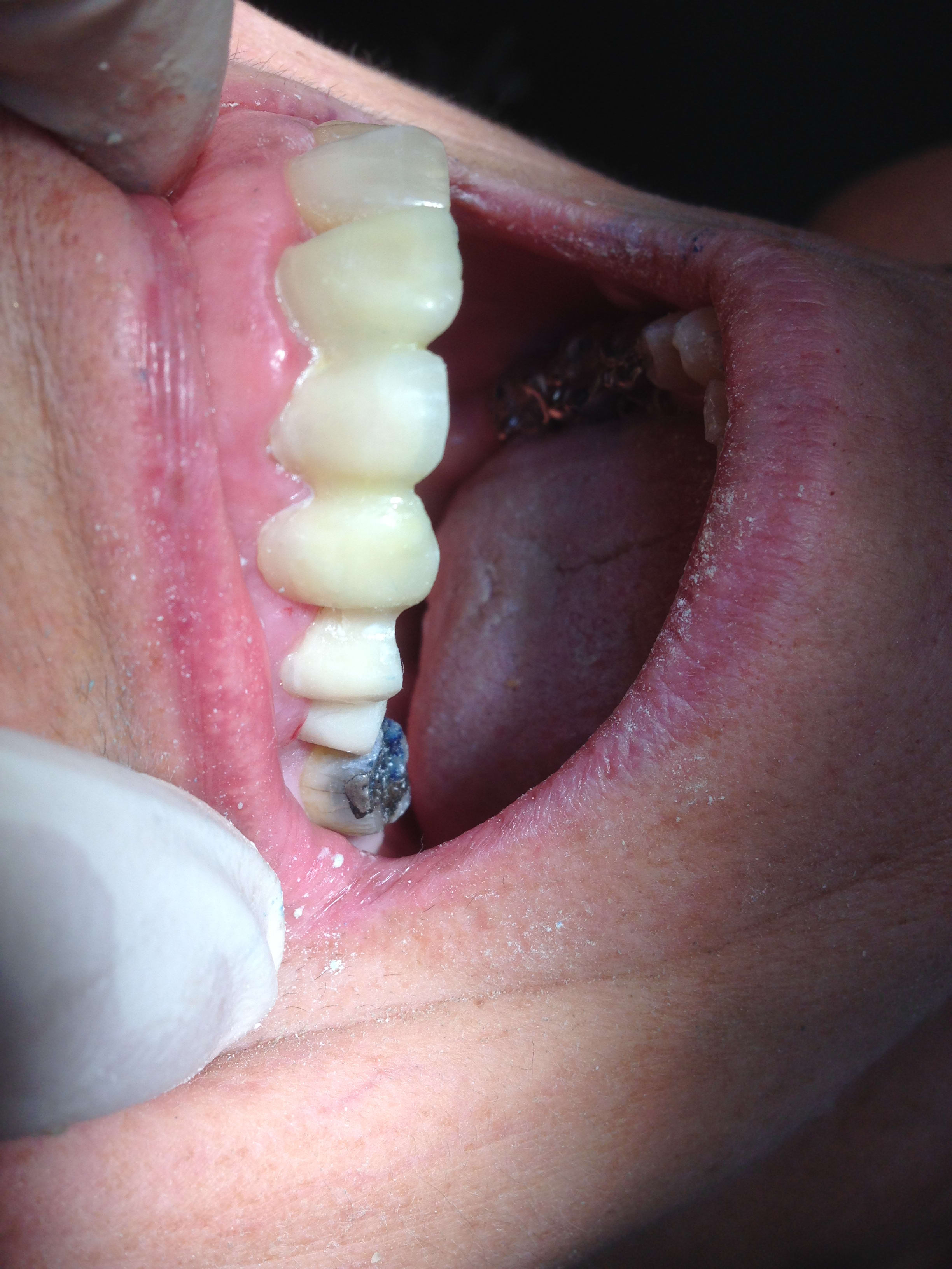
Tenez, patiente qui vient en urgence :
- " docteur j'ai l'impression que mon bridge se désolidarise, avec ma langue je sens comme un trou, mais pourtant il ne bouge pas , c'est la deuxième fois qu'on me refait le bridge "
- je regarde , oh un bridge à ailettes, et je me dis : encore une belle technique à la con (super bond ou pas). Je vais prendre une photo, comme ça je vais pouvoir chauffer les vieilles branches d'Eugenol et dire que les bridges à ailettes c'est de la merde, super bond ou pas.
- Et là comme un abruti de première classe je lui dis " Pas de souci madame, votre bridge n'a pas l'air de tenir beaucoup,je vais vous Le desceller puis vous Le recoller, mais faudra vous refaire ensuite un bridge qui tient mieux "
-> Donc pour faire plaisir à madame j'introduis mon outil dans la fente , pour faire levier et faire sauter le bridge. Et je force quand même pour le faire sauter. C'était un bridge à ailettes avec des petits tenons dentinaires.
-> j'essaie de Le repositionner : merde il ne se remet pas , je l'ai sans doute tordu ? Bref c'est plus adapté.
"- Madame il va falloir vous faire un bridge provisoire et ensuite définitif, ça sera environ tant "
"- Pas de souci faites ce qu'il y a faire "
-> y avait aussi la solution de l'implant, mais j'en ai profité pendant que j'introduisais mon outil dans la fente, pour placer mes doigts sur la muqueuse en regard de la canine : bref l'os a sans doute beaucoup fondu même si j'ai pas de scanner pour confirmer.
"- Briziiiiiiiiiitte ! Le prochain Rdv est dans combien de temps ?"
"- votre prochain Rdv s'est décommandé "
"- Hallelujah merci Briziiiiiiiitte, sortez moi la résine Briiiiiiziiiiitte !" (C'est pas le nom de mon assistante, mais pour la prochaine j'en prendrai une qui s'appelle Brizitte comme la femme macronesque, comme ça je pourrais me prendre pour un king comme Macron à Versailles....
-> je taille les dents rapidos, j'en profite pour sucer les moignons pour que ça brille et faire une petite photo pour Enlaye , Et je fais mon bridge provisoire en express .
-> d'ailleurs elle n'a pas une bonne occlusion la dame... ça m'étonne pas que ses bridges à ailettes n'aient pas tenu

Conclusion : tout ça pour dire que Le bridge à ailettes c'est une TALC (technique à la con)

Photos 1-2 bridge à ailettes
Photo 3 moignon sucé
Photo 4 bridge provisoire

Img 1191 hk0wxe - Eugenol
Img 1185 xtdlnl - Eugenol
Img 1190 f3v96w - Eugenol
Img 1186 wsqwdc - Eugenol

Bebert.

30/06/2017 à 09h47

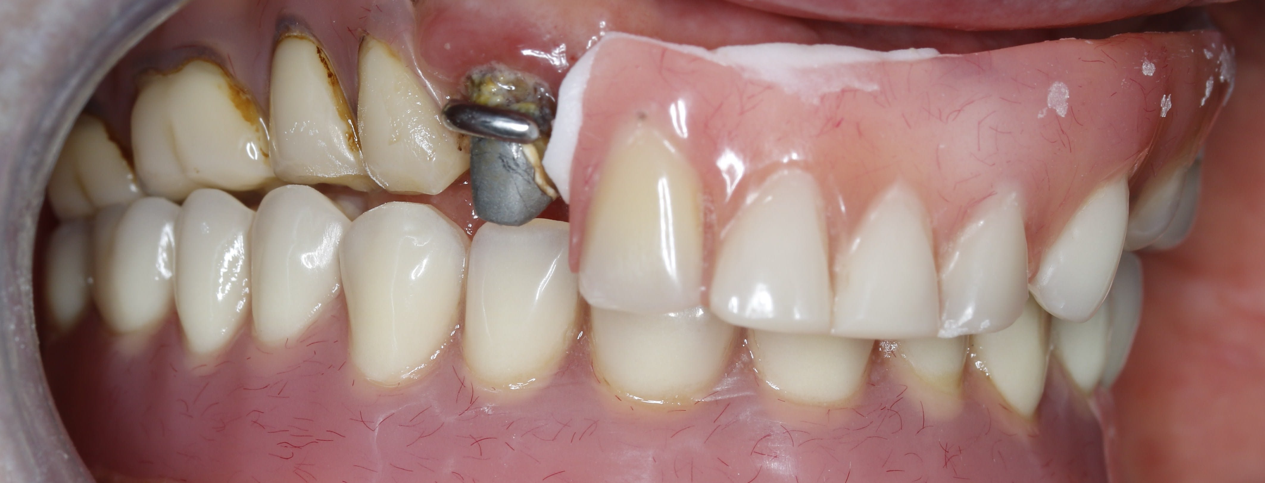
Les bridges collés ne sont pas une TALC, il y a certaines indications (assez restrictives) à respecter et dans ce cas, la durée de vie est loin d'être ridicule: remplacement d'une incisive ou deux avec des conditions d'occlusion favorables.
Ici, on remplace une canine en s'appuyant sur des PM porteuses d'amalgames ...


Dsc05680 medium aphmfg - Eugenol
BasArtDentaire

30/06/2017 à 09h50

junior® écrivait:
-----------------
> j'en ai profité pendant que
> j'introduisais mon outil dans la fente, pour placer mes doigts

le sous entendu graveleux de la semaine est attribué à junior®!


6szjws718sv1jksw54v4mpj3a6cu - Eugenol
vulpi

30/06/2017 à 10h11

enlaye écrivait:
----------------
> joli Vulpi .tu as fais un joint periph à la pate de kerr ?

Permadyne orange


6szjws718sv1jksw54v4mpj3a6cu - Eugenol
vulpi

30/06/2017 à 10h18

lachmar écrivait:
-----------------
> vulpi écrivait:
> ---------------
> > soit c'est très plat soit c'est un peu juste en distal (autour) des
> tubérosités,
> > et par conséquence en distal.
> > Tu devrais couper les languettes de permlastic entre les incisives afin
> d'éviter
> > une fracture des dents (du plâtre) à la désinsertion.
> > Tu as un défaut en lingal de ce qui ressemble à une racine mésiale de 36
> > (késako?)
> > Tu vois j'aime bien aller loin.
>
>
> joli
>
> a mon avis la perfection de l'enregistrement des freins est due aux rzflexe
> nauséeux qui a du etre permanent pendant l'empreinte )

Non, tu le fais en douceur, interdiction de respirer par la bouche, interdiction de déglutir, aspi pour pallier. Tu regardes la patiente droit dans les yeux et tu parles pour maintenir le contact les consignes et un peu l'emprise psychologique... ce n'était pas sa première empreinte, alors cela c'est bien passé, quand tu as des réflexes nauséeux, une fois sur deux l'empreinte est faussée, il vaut mieux utiliser l'alginate dans ce cas, tu perds en précision mais va plus vite ce qui compense.


1...404142...