Cookie Consent byPrivacyPolicies.comempreinte secondaire en complete - Eugenol

empreinte secondaire en complete

Vw campersurfvan bmnk1q - Eugenol
enlaye

30/06/2017 à 12h36

BasArtDentaire écrivait:
------------------------
" le sous entendu graveleux de la semaine est attribué à junior®! "

ouais , il monte ,le petit Junior


Utilisateur banni

30/06/2017 à 21h57

Bebert. écrivait:
-----------------
> Les bridges collés ne sont pas une TALC, il y a certaines indications (assez
> restrictives) à respecter et dans ce cas, la durée de vie est loin d'être
> ridicule: remplacement d'une incisive ou deux avec des conditions d'occlusion
> favorables.
> Ici, on remplace une canine en s'appuyant sur des PM porteuses d'amalgames ...

bin je trouve bizarre que dans ma courte carrière j'ai déjà vu plusieurs bridges à ailettes qui ne tenaient pas .... à croire que ça ne tient pas si bien que ça.


mr smith

30/06/2017 à 23h23

junior® écrivait:
-----------------
j'ai déjà vu plusieurs bridges à ailettes qui ne tenaient pas .... à croire que ça ne tient pas si bien que ça.

trop chou minou ;o))))


Blue eye thumb medium dx1i0w - Eugenol
bill

01/07/2017 à 00h37

junior® écrivait:
-----------------

>
> bin je trouve bizarre que dans ma courte carrière j'ai déjà vu plusieurs bridges
> à ailettes qui ne tenaient pas .... à croire que ça ne tient pas si bien que ça.


Bin oui, mais tous ceux qui tiennent et que tu n'as pas vus... ;-)
C'est un peu obsolète aujourd'hui, ça avait des indications bien précises, j'en ai eu fait qui ont tenu 10 à 15 ans.
Mais bon, à l'époque tu devais encore avoir tes dents de lait... :-))


Utilisateur banni

01/07/2017 à 06h37

Oui donc pourquoi t'en fais plus Vulpi ? Ben parce que tu sais que c'est merdique


mr smith

01/07/2017 à 09h32

junior® écrivait:
-----------------
> Oui donc pourquoi t'en fais plus Vulpi ? Ben parce que tu sais que c'est
> merdique

Tu es quand même très abrupt dans tes réponses (abruti quoi);o)))

Tu vois les techniques que tu utilises aujourd’hui seront dans 10 à 15 des techniques obsolètes , à la con pour toi .

Pour reprendre le cas des bridges collés , saches qu'il y 20/30 ans , les implants ne trainaient au coin des rues . L'idée était d’être le moins délabrant possible , notamment chez des patients jeunes , comme les cas d'agénésies des latérales ou la perte trauma d'une centrale . Alors oui , les bridges à ailettes avaient une durée de vie faible , la pérennité s'obtenait dans la création de box , rainures et puits , savant dosage de rétention mécanique et de collage .

Dans les cas de perte d'une 6 , j'ai fait pas mal de bridges collés avec des inlays classe 2 sur 5 et 7 , ils sont toujours en bouche .

Pour ma part , je vois beaucoup de ceramo-céramiques fracturées sur les postérieures , c'est pas forcement une technique à la con , mais comme disait Degrange , toutes ces techniques sont très opérateurs dépendantes .


Utilisateur banni

01/07/2017 à 14h07

Et bien c'est quand même bizarre les très rares fois où j'ai vu des bridges à ailettes c'était pour voir que ça se décollait.
C'est à dire que ceux qui s'amusent à poser ce genre de bridges, ne voient pas les patients mécontents sur lesquels ils ont posé ces bridges. Les merdes vont chez les autres qui récupèrent les cas . Pas fous les patients ! Et bien entendu les patients sur lesquels Le bridge collé tient reste dans la patientele du praticien qui a collé Le bridge. Mais où vont tous les autres patients qui ont leur bridge à ailettes qui se décollent ? Et bien chez un autre praticien 😊.

En même temps y a pas besoin de faire maths sup pour comprendre que poser des prothèses sur une pente linguale ça augmente les chances que ça ne tienne pas.


Image xxzjps - Eugenol

mr smith

01/07/2017 à 19h47

junior® écrivait:
-----------------
> Et bien c'est quand même bizarre les très rares fois où j'ai vu des bridges à
> ailettes c'était pour voir que ça se décollait.
> C'est à dire que ceux qui s'amusent à poser ce genre de bridges, ne voient pas
> les patients mécontents sur lesquels ils ont posé ces bridges. Les merdes vont
> chez les autres qui récupèrent les cas . Pas fous les patients ! Et bien entendu
> les patients sur lesquels Le bridge collé tient reste dans la patientele du
> praticien qui a collé Le bridge. Mais où vont tous les autres patients qui ont
> leur bridge à ailettes qui se décollent ? Et bien chez un autre praticien 😊.
>
> En même temps y a pas besoin de faire maths sup pour comprendre que poser des
> prothèses sur une pente linguale ça augmente les chances que ça ne tienne pas.
>

Cela me ferai plaisir d'en discuter avec toi ! un mercredi soir peut être !


PtnbZ

01/07/2017 à 20h02

Tu ne comprends pas que tout ce qu'on fait n'est pas éternel Junior?
Le bridge à ailette à un pronostic qui permet de temporiser.


Utilisateur banni

01/07/2017 à 20h16

mr smith écrivait:
------------------
> Cela me ferai plaisir d'en discuter avec toi ! un mercredi soir peut être !

Autant poser un Implant ou un bridge classique directement....
Pour moi y a qu'un intérêt pour le bridge à ailettes : lorsqu'on pose un Implant Et qu'on attend son osteointegration


mr smith

02/07/2017 à 00h43

junior® écrivait:
-----------------
> Pour moi y a qu'un intérêt pour le bridge à ailettes : lorsqu'on pose un Implant
> Et qu'on attend son osteointegration

je t'adore , allo ! allo quoi .......tu es un gaz hilarant .
Cela fait du bien , merki ;o))))))))))))))))))))))))))))


Utilisateur banni

02/07/2017 à 09h45

Le principal c'est de te faire rire .
Ce qui est moins marrant c'est d'avoir des urgences avec des bridges à ailettes qui se décollent ou alors d'avoir de magnifiques nécroses avec de jolis tenons dentinaires qui viennent titiller la pulpe ou avec de très jolies préparations linguales qui sont infiltrées . C'est vrai que c'est très marrant de voir ça. Je trouve aussi marrant de voir des incisives qui ont une teinte très différente de celles qui ne sont pas support de bridge à ailettes. C'est très très rigolo et c'est surtout très esthétique.
Remarque ça doit être tes confrères pas loin de chez toi qui doivent bien se marrer En récupérant tes cas de bridges à ailettes 😊
Y a 1 an , j'ai récupéré un cas d'un professeur d'une autre grande ville (patient qui avait déménagé) -> bridge sur onlay qui comme par hasard se décollait + magnifique reprise de carie dessous. Ah mince alors 😊. C'est vrai qu'on se marre bien Mr Smith.



Vw campersurfvan bmnk1q - Eugenol
enlaye

02/07/2017 à 10h08

Quand je te dis qu il monte ce minot :-)
Il est taquin ,il fait des dessins ,il me fait penser a quelqu un :-))

Bon apres , l ironie doit juste permettre d ammener une solution originale avec humour , sinon ,c est agressif vis a vis de ceux qui donnent de leur personne pour rendre service a leurs patients .hein ,Junior .


Utilisateur banni

02/07/2017 à 10h24

Mr Smith va peut être nous expliquer que les forces occlusales En M du à l'Inlay " pilier" de bridge n'a aucune conséquence en ce qui concerne l'occlusion 😊😊😊. Ah merde c'est bizarre y a une perte osseuse sur les racines M. Comme c'est bizarre! C'est vrai c'est très rigolo . On se marre bien avec Mr Smith.

Image kb4imd - Eugenol

Vw campersurfvan bmnk1q - Eugenol
enlaye

02/07/2017 à 10h47

Heu , ce n est pas un bon argument ,je pense :
Si le systeme est sans mvt (tant que le bridge ne bouge pas ),
Le moment de couple est invariable que tu appuis sur devant ou derriere ou sur la totalité.
Prends par exemple un mat de voilier ,quelque soit l endroit ou tu choppes la bome ,l appuis sera retransmis a l emplanture du mat .


Utilisateur banni

02/07/2017 à 10h54

le bridge ne bouge pas mais la dent pilier de bridge bouge ... donc forcément si on appuie plus d'un coté, la dent ne va pas se mesio versée puisqu'il y a l'inter. Mais les forces vont se concentrer plus En M et donc plus sur les racines M.
En gros les forces En direction M sont bloquées par le bridge mais pas les forces axiales.
-> c'est comme un pont dont les poteaux ou piliers du pont bougent . Le pont est rigide mais Pas les poteaux qui Le tiennent. Et si on met plus de voitures d'un coté, je ne suis pas certain que Le pilier qui bouge et qui est dans la zone où on a plus de voitures ne supporte pas plus de charge. D'autant plus qu'on appuie que sur une partie du pilier ...


Vw campersurfvan bmnk1q - Eugenol
enlaye

02/07/2017 à 11h01

junior® écrivait:
-----------------
> le bridge ne bouge pas mais la dent pilier de bridge bouge ...

Non non . Enfin, pas dans le sens mesio distal , en tout cas .
Par contre cela peut faire un moment de torsion qui a tendance a sur charger les pressions laterales .ca oui .
Mais que tu sois sur appuis inlay ou couronne , c est du kif


Utilisateur banni

02/07/2017 à 11h10

mouai regarde les PPA avec taquets et crochets sur une dent. Ça appuie plus sur la partie où on a Le taquet. La dent déguste . Et là c'est encore pire le pont bouge.
Je ne suis vraiment pas certain que pour un bridge qui repose que sur une portion de la dent, ça n'est aucune conséquence.

Rien à voir mais Tiens Regarde moi ça si c'est pas de la protection canine 😊😊😊

Img 1192 vhb02b - Eugenol

Vw campersurfvan bmnk1q - Eugenol
enlaye

02/07/2017 à 11h24

Avec une ppa , c est vrai ,comme il y a mouvement ,il n y a pas un systeme fermé .c est d ailleurs la raison pour laquelle je ne mets AUCUN taquet .
Ce qui ne concerne pas ton argumentation du depart.


Vw campersurfvan bmnk1q - Eugenol
enlaye

02/07/2017 à 11h44

le cas de la canine , ç est autre chose .
ç est un surguidage lateral des pm associée . a une sur occ sur une crete marginale ( à mon avis mesiale ).
la mand manque de jeu lateral et il y a prematurité .

du coup il y a sur appuis compensatoire sur la canine . ceci afin de propulser un poil et ainsi eviter la prematurité .
ceci entraine des poches dues au bourrage alimentaire , mobilité et ç est parti pour un pb paro associé .
en principe la poche est verticale puis se transforme rapidement en récession horizontale .
le mvt appliqué sur la partie mesiale et tres basse de la partie cingulaire ,fait alors sortir la canine .
donc sans voir le reste , je dirais :
supraclusion + decalage lateral du a un versant int des cuspides vest des pm .
l'evolution à 70% :
fracture radiculaire pm et perte d' os en mesial des incisives ( haut ou bas suivant le cas ...)


Utilisateur banni

02/07/2017 à 11h49

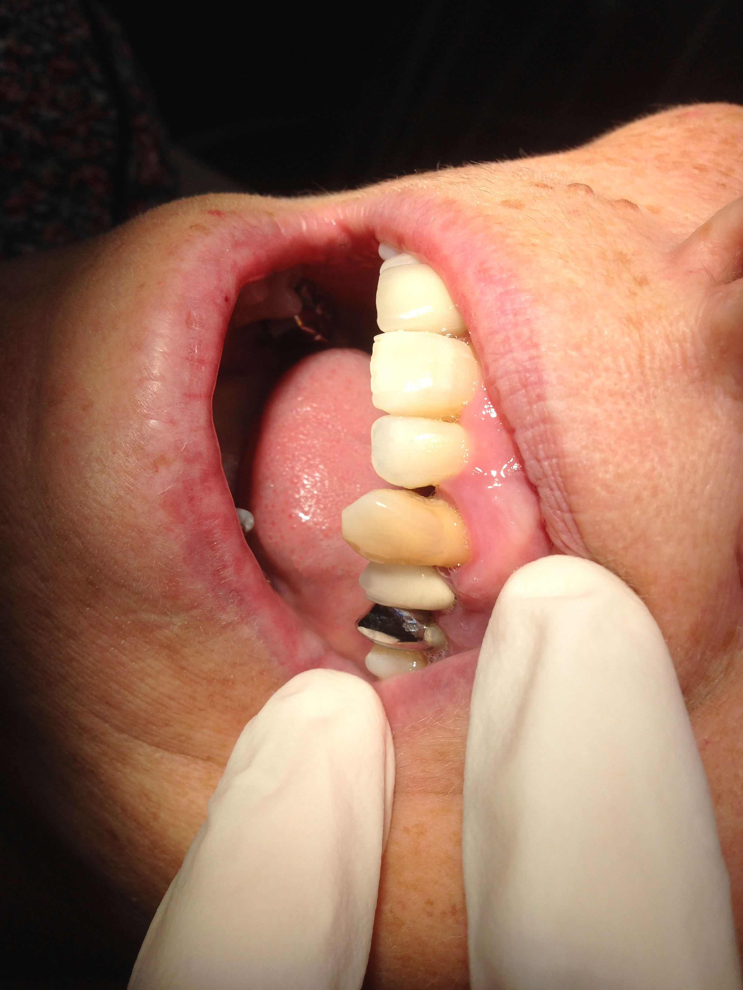
allez le dernier argument ultime pour vous glisser un petit CQFD qui fait mal par où il passe 😊. Laquelle des deux préparations va avoir Le plus de surface occupée par la colle ? Et laquelle a moins de chance de subir un descellement ?

Image zzvxx6 - Eugenol

Vw campersurfvan bmnk1q - Eugenol
enlaye

02/07/2017 à 11h55

tu fais chier ,Junior ,on te répond ,et tu parts dans tous les sens .
le vent se lève , y a mieux a faire .ciao .


Utilisateur banni

02/07/2017 à 12h03

on se détend un peu. On a plus d'argument hein ? Le Mr Smith et Wesson on l'entend plus tout d'un coup? On fait moins les marioles les deux ? 😊
Pour la canine , j'ai vu qu'une fois la patiente pour un détartrage , j'ai juste pris une photo et j'ai raboté sa canine. Et prochain RDV surfaçage. J'ai pas analysé l'occlusion encore. J'ai pas cherché à comprendre j'ai raboté la dent histoire que ça n'empire pas. Mais Oui sans doute supraclusion


Blue eye thumb medium dx1i0w - Eugenol
bill

02/07/2017 à 15h01

S'il y a bien une chose que ce métier t'apprend, c'est l'humilité.
Ce n'est qu'une question de temps... :-)


Utilisateur banni

02/07/2017 à 16h23

je pensais pas que ça allait en échauffer plus d'un cette histoire. 😊
Allez celle-ci elle est pour moi, c'est gratuit et c'est pour le plaisir d'offrir, juste histoire d'achever Mr Smith et Wesson , et Enlaye ^^
Survie du bridge à ailettes :
-> 75% en antérieur et 44% en postérieur à 7,5 ans
-> 87,7 % à plus de 5 ans
-> ça tient rudement bien dis donc . Très bon taux de d'survie. 1 chance sur 10 pour que ça se barre dans les 5 ans.
Qui veut jouer à la roulette russe ? Mais apparemment y a Mr Smith et Wesson qui a que des succès avec ses bridges à ailettes 😊. Tout roule pour lui....

Et ben là les vieilles branches, je crois que la messe est dite. Je crois que l'ami Rochette peut rentrer au vestiaire et plier les gaules 😊. Un petit CQFD rondement mené ^^. Emballer c'est peser, y a plus rien à voir.


1...414243...