Cookie Consent byPrivacyPolicies.comempreinte secondaire en complete - Eugenol

empreinte secondaire en complete

mr smith

02/07/2017 à 23h37

junior® écrivait:
-----------------
>
> Et ben là les vieilles branches, je crois que la messe est dite. Je crois que
> l'ami Rochette peut rentrer au vestiaire et plier les gaules 😊. Un petit CQFD rondement mené ^^. Emballer c'est peser, y a plus rien à voir.

Désolé , je me suis fait une journée en mer , si je t'avais su au bord de la crise de nerf , je serai resté CQFD .

D'un autre coté les CALC , je m'en branle ;o))


Utilisateur banni

03/07/2017 à 06h00

Ah je vois que c'est moins "hilarant" tout d'un coup ^^, allez ne te vexe pas .
C'est pas toi qui voulais m'expliquer " un mercredi soir " que les bridges à ailettes sont tellement bien 😊😊😊? Explique moi voir je suis tout Ouïe.

Les chiffres sont là :
1 bridge à ailettes sur 10 se casse la tronche dans les 5 ans
1/5 dans les 7 ans ...
-> J'ai hâte que tu nous expliques à quel point tes bridges à ailettes tiennent bien.



Vw campersurfvan bmnk1q - Eugenol
enlaye

03/07/2017 à 13h05

mais on t'a dit qu'on s'en branlait ici de tes bridges a ailettes .on serait meme presque d'accord avec toi ( en tout cas ç est mon cas )

ton fil est sympa , sur la prothese totale , ne le polues pas avec des polémiques à la con , il peut servir ....


Utilisateur banni

03/07/2017 à 19h12

hey Ben on est de mauvaise humeur dis donc. Qu'est ce qu'il y a ? Y a la bouillabaisse qui passe mal ?😊 Faut pas trop les chatouiller les vieilles canailles avant les vacances.

Tiens Vulpi, est ce que t'as déjà essayé de mettre au réfrigérateur le polyether pour voir si on prend de meilleures empreintes ?^^

Sinon Patient En OIM :

Img 1202 sqsbkn - Eugenol

Vw campersurfvan bmnk1q - Eugenol
enlaye

03/07/2017 à 19h29

junior® écrivait:
-----------------
" Sinon Patient En OIM "

ça m'etonnerait .


Utilisateur banni

03/07/2017 à 19h42

je l'ai fait plusieurs fois fermer pour être sûr. Sans toucher à sa mâchoire, Et sans interposions de matériau. Bizarre non ?


Vw campersurfvan bmnk1q - Eugenol
enlaye

03/07/2017 à 19h53

ç est lui qui a fermé tout seul ? fais lui avaler sa salive tout seul qu'on rigole :-)


Utilisateur banni

03/07/2017 à 20h13

je lui ai demandé de claquer les dents, je lui ai demandé de fermer Ensuite une fois , deux fois , trois fois et il ferme comme ça à chaque fois . En claquant les dents il ferme de la même manière.


Vw campersurfvan bmnk1q - Eugenol
enlaye

03/07/2017 à 22h41

Tu es prof de flamenco ?


mr smith

03/07/2017 à 23h01

OIM , c’est le prix d'une paire de gants ;o)

Tu dégages d'un centimetre tes 2 index du latex . "mordez mes doigts , merci , et resté bien serré ! L'OIM , c'est quand tu dois changer tes gants , les index à poil ;o))


Vw campersurfvan bmnk1q - Eugenol
enlaye

03/07/2017 à 23h27

Quand ils claquent de traviol , il n y a pas 36 solutions , mais 3 :
Soit ils ont 2 oim possibles cad qu ils n ont pas de bon calage , en fait .
Soit ils evitent une gêne
Soit ils ont une luxation discale .


Utilisateur banni

03/07/2017 à 23h34

ah Bin voilà ça y est ils ont retrouvé la forme les deux .... ça y est la pilule de la faiblesse des taux de survie des bridges à ailettes est passé à ce que je vois 😊.
Comme quoi un petit cas d'occluso et op c'est reparti comme en 40 . Je reprendrai des photos de ce patient dans un mois (ou avant) ... je sais plus quand je vais Le revoir. Et vous verrez qu'il ferme exactement comme sur la photo. Je préfère prévenir ça va être encore une petite pilule qui va difficilement passer car il ferme exactement comme ça.


mr smith

03/07/2017 à 23h49

junior® écrivait:
-----------------
> ah Bin voilà ça y est ils ont retrouvé la forme les deux .... ça y est la pilule
> de la faiblesse des taux de survie des bridges à ailettes est passé à ce que je
> vois 😊.
> Comme quoi un petit cas d'occluso et op c'est reparti comme en 40 . Je
> reprendrai des photos de ce patient dans un mois (ou avant) ... je sais plus
> quand je vais Le revoir. Et vous verrez qu'il ferme exactement comme sur la
> photo. Je préfère prévenir ça va être encore une petite pilule qui va
> difficilement passer car il ferme exactement comme ça.


CALC , c'est confrère à la con ! t'avais pas saisit ;o)))))
Moi je pratique des TALC , traitement à la con . Je partagerai même pas une bouteille de Champomy avec toi , je te la laisse .


Utilisateur banni

04/07/2017 à 00h14

t'es mauvais perdant 😊. Allez fais toi une tisane , t'en fais pas ça va passer ^^.


6szjws718sv1jksw54v4mpj3a6cu - Eugenol
vulpi

04/07/2017 à 12h09

Il était classe III avant?
Pulsion latérale?


Utilisateur banni

04/07/2017 à 15h22

Je sais pas j'ai pris la photo avant de lui faire une endo. Quand je reverrai je prendrai des photos ....
Et dis moi t'as déjà essayé de mettre ton polyether dans un frigidaire avant de prendre une empreinte ? Et de voir ce que ça donne ?😊


Utilisateur banni

05/07/2017 à 16h28

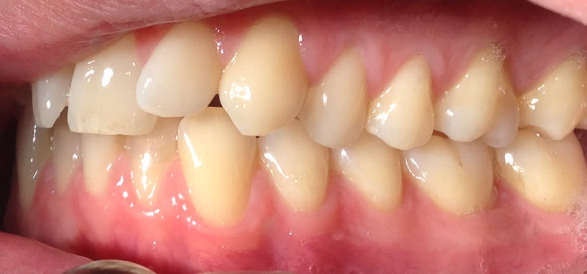
La fille du cas "langue de bovin" a 10 ans et regardez moi ça y a déjà les dents de sagesse !

Tiens tiens depuis qu'il y a Le Tour de France , j'en connais un qui est devenu silencieux

Img 1230 j5qhqq - Eugenol

Utilisateur banni

06/07/2017 à 10h19

Y a Enlaye qui nous fait une petite crise 😊
On va lui remettre un ptit cas d'occluso , ça va le requinquer pour la journée

Img 1234 gxte0l - Eugenol
Img 1235 ynminp - Eugenol
Img 1232 q408kh - Eugenol

Vw campersurfvan bmnk1q - Eugenol
enlaye

06/07/2017 à 10h27

enlaye écrivait:
----------------
Quand ils claquent de traviol , il n y a pas 36 solutions , mais 3 :
Soit ils ont 2 oim possibles cad qu ils n ont pas de bon calage , en fait .
Soit ils evitent une gêne
Soit ils ont une luxation discale .

ç est ton barbu d'en haut ?
si oui je ne m'etais pas trompé .
et si non ,ç en est l'illustration .


Utilisateur banni

06/07/2017 à 11h53

non ça c'est encore un autre cas


Olieve

06/07/2017 à 12h08

junior® écrivait:
-----------------
> La fille du cas "langue de bovin" a 10 ans et regardez moi ça y a déjà les dents
> de sagesse !
>

Tu mets la charue avant les boeufs
Ca serait pas plutôt les 7 ?


6szjws718sv1jksw54v4mpj3a6cu - Eugenol
vulpi

06/07/2017 à 13h31

junior® écrivait:
-----------------

> Tiens tiens depuis qu'il y a Le Tour de France , j'en connais un qui est devenu
> silencieux

http://sport.francetvinfo.fr/tour-de-france/direct

En fait je suis très occupé, je prépare une choré pour le 15/07... c'est loin d'être gagné!




Félicitations Enlaye.


Utilisateur banni

06/07/2017 à 13h44

Olieve écrivait:
----------------
> junior® écrivait:
> -----------------
> > La fille du cas "langue de bovin" a 10 ans et regardez moi ça y a déjà les
> dents
> > de sagesse !
> >
>
> Tu mets la charue avant les boeufs
> Ca serait pas plutôt les 7 ?

Non :) , regarde dans la zone où y a de l'ombre à droite de la photo y a les 8. J'ai bien regardé y a Les 8 qui poussent et elle a que 10 ans


Vw campersurfvan bmnk1q - Eugenol
enlaye

06/07/2017 à 14h04

Tu es passé du doigt au miroir rapidement , je trouve .:-)


Olieve

06/07/2017 à 16h09

junior® écrivait:
-----------------

> Non :) , regarde dans la zone où y a de l'ombre à droite de la photo y a les 8.
> J'ai bien regardé y a Les 8 qui poussent et elle a que 10 ans

Ben.. je regarde et je vois une 7 dans l'ombre.

Toi qui aimes les études, il falloir que tu publies !


1...424344...