Cookie Consent byPrivacyPolicies.comempreinte secondaire en complete - Eugenol

empreinte secondaire en complete

Utilisateur banni

06/07/2017 à 17h05

ben écoute elle a vu un dentiste ailleurs qui lui a dit " c'est les dents de sagesse ".
Moi au départ je me suis dit " Oui c'est ça cause toujours tu m'intéresses , faut arrêter la fumette ma grande " 😊 mais effectivement elle a 3 molaires de chaque coté au maxillaire dont une qui est pas tout à fait sur l'arcade ... ce qu'on voit c'est la 2eme molaire plus derrière la 3eme molaire


Vw campersurfvan bmnk1q - Eugenol
enlaye

06/07/2017 à 17h30

Olieve écrivait:
----------------
" Toi qui aimes les études, il falloir que tu publies !"

oui dans pointveterinaire.fr ? :-)))))


Utilisateur banni

12/07/2017 à 19h11

empreinte mandibulaire

Img 1303 qalpdj - Eugenol

6szjws718sv1jksw54v4mpj3a6cu - Eugenol
vulpi

12/07/2017 à 21h04

Il est hémiplégique? Il a une paralysie ou qq chose dans ce genre? Tu lui as tout enlevé à ton frappadingue finalement :-)) la phase 1 n'avaient pas porté ses fruits.
Très âgé et hypotonique?


Utilisateur banni

12/07/2017 à 21h18

c'est une patiente de 70 ans qui a des complets depuis 40 ans. Autant dire que c'est très résorbé. 😊 Ça sera PACSI pour elle


Alios

13/07/2017 à 06h00

Il faut qu'elle se dépêche parce qu'au tarif du RA, ce sera alginate et finition directe merde in China...


Utilisateur banni

13/07/2017 à 06h23

Tiens au fait je n'ai même pas regardé : les complets seraient limités à combien niveau prix ?


Hok 1b hgd3rj - Eugenol
Hokusai

13/07/2017 à 06h58

junior® écrivait:
-----------------
> Tiens au fait je n'ai même pas regardé : les complets seraient limités à combien
> niveau prix ?

985e en 2021.


Utilisateur banni

15/07/2017 à 20h48

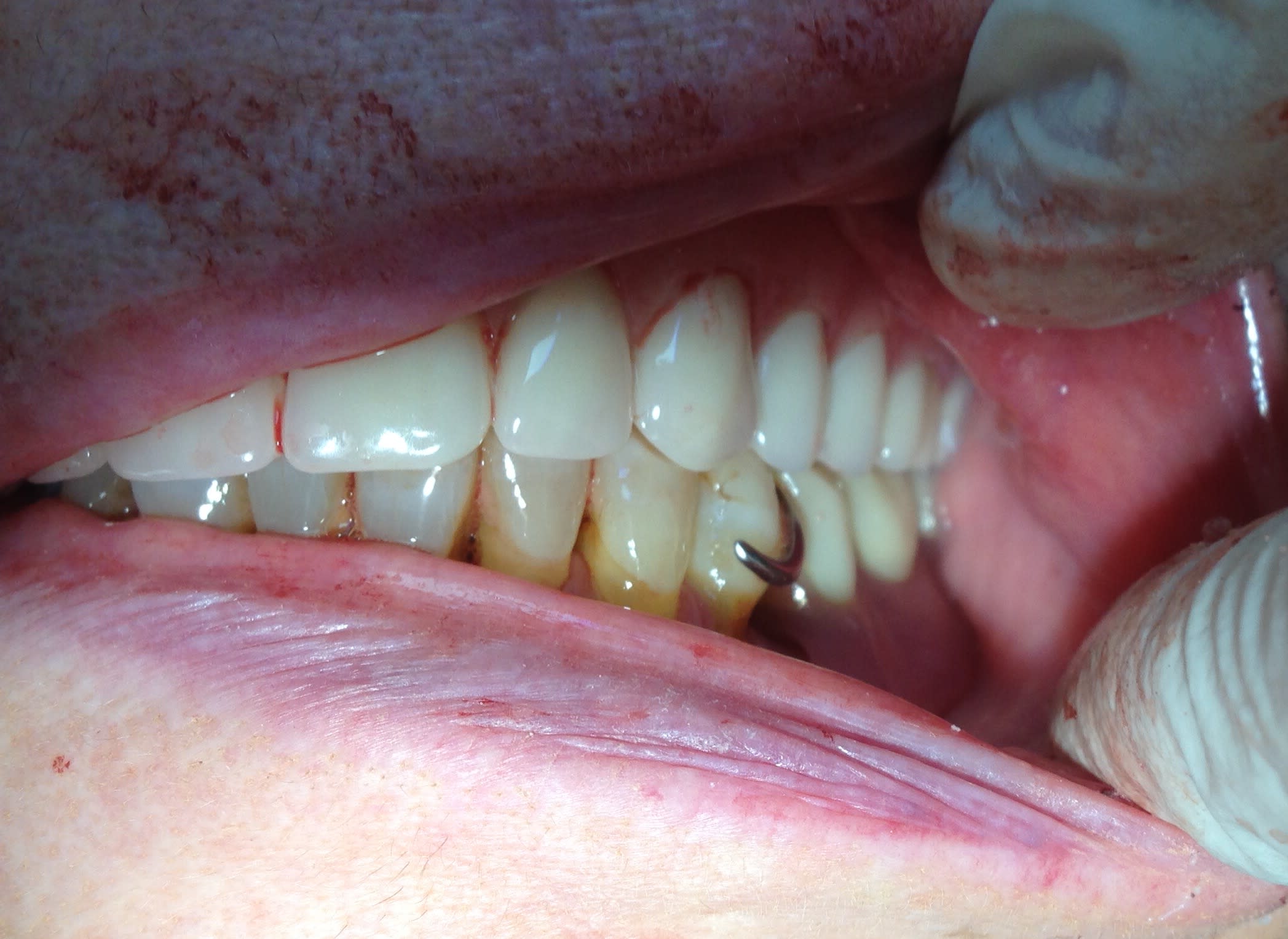
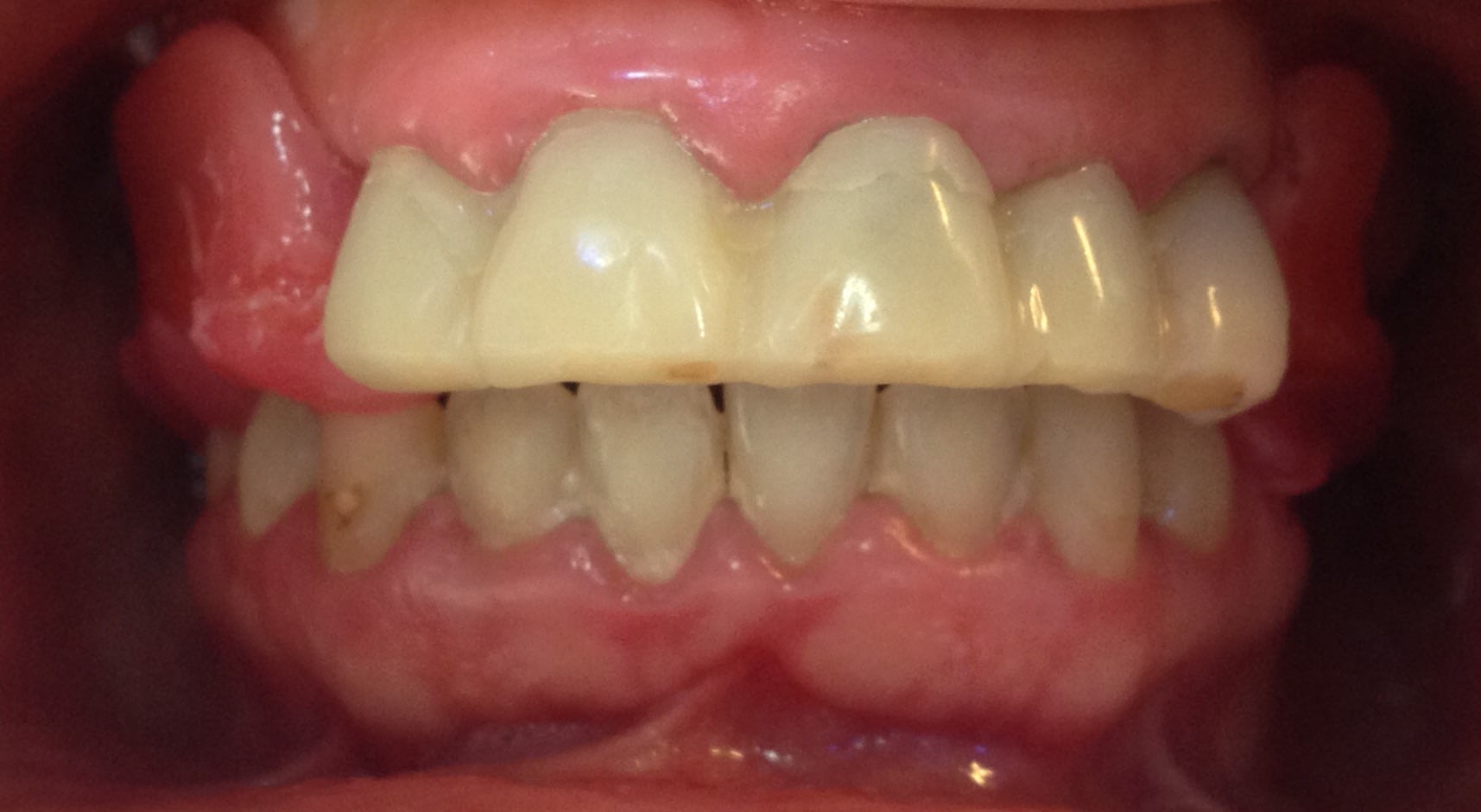
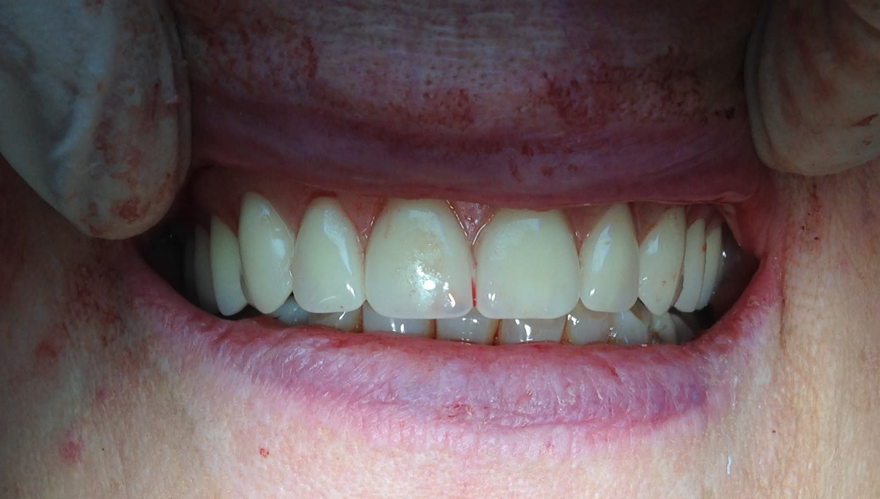
Langue de bovin épisode 2 😊 . Le retour
Enlaye regarde voir : les premières photos avant l'augmentation de DVO et les dernières après une augmentation de 2 mm . Je lui ai rabotée ses incisives provisoires . Ça te semble correct l'augmentation de DVO ? Faudra que je lui rabote en V sa canine . Mais bon je peux pas trop car tout le secteur antérieur est proversé.

Img 1293 pjgzyi - Eugenol
Img 1294 yfvgb6 - Eugenol
Img 1302 r9ltlj - Eugenol
Img 1301 hws07l - Eugenol
Img 1299 canyxp - Eugenol

Vw campersurfvan bmnk1q - Eugenol
enlaye

16/07/2017 à 15h35

Si l augmentation de DVO est bonne ?
C est difficile a dire .
Parce que normalement il aurait fallu la caler derriere pour pouvoir donner le jeux sur les dents de devant .elle ne sert qu a ca laugmentation de DVO .
Or là tu as comblé les faces palatines des incisives , pour augmenter la dvo .

Mais rien n est perdu , on va s en sortir :-):
Tu vois , quand elle ouvre et elle ferme ,les incisives du bas font un petit arc de cercle ,quand tu la regardes de profil .
Et bien , c est le meme arondi que tu vas faire sur les cingulums des prov du haut .
A ce moment , une fois que tu as fait ca ,ssi la bouche est ratatinée ,c est que la dvo etait bonne .


Vw campersurfvan bmnk1q - Eugenol
enlaye

16/07/2017 à 15h42

Sur ton prov , la canine est beaucoup trop epaisse en lingual .lorsque tu vas diminuer tu pourras meme avoir un recentrage mandibulaire .
Donc il te faudra peut etre , dans un deuxieme temps, re creuser les cingulums des incisives du haut .il vaut mieux trop d espace que pas assez .


Vw campersurfvan bmnk1q - Eugenol
enlaye

16/07/2017 à 15h59

Petite remarque importante .
Le fait d augmenter la dvo est une nouvelle mode qui ne se justifie pas tjs .
Elle vient surtout parce que vous faites des inlays cores a tout pris sur les incisives . Comme , par ce biais , vous perdez de l espace cingulaire , vous etes obligés d augmenter la dvo .
Avec des richmonds ( qui devraient etre systematiques sur les incisives du haut ), vous auriez plus de facilite a regler le tout , sans partir dans de grands chantiers .


Utilisateur banni

16/07/2017 à 16h34

non les provisoires paraissent épaisses car j'ai diminué leur hauteur. Faut effectivement que je diminue l'épaisseur. Mais là il n'y a aucun contact entre les incisives du bas Et Du haut. L'augmentation de DVO c'est uniquement avec ma cire en postérieur que je l'ai obtenue. Y a minimum 2 à 3 mm d'overjet ( voir 4mm) avec l'enregistrement en RC


Vw campersurfvan bmnk1q - Eugenol
enlaye

16/07/2017 à 16h45

Ah ok .alors tu peux diminuer un poil si la langue te le permet . Surtout si tu creuses bien en lingual , tu gagneras encore de l espace pour la pointe lingale .


Utilisateur banni

16/07/2017 à 16h50

Au départ jte rappelle que c'était ça les provisoires et j'ai eu droit à "elle va décapsuler les bières " hein ? 😊😊😊 Donc En diminuant leur hauteur elles paraissent très épaisses.

Img 0662 qfl9ii - Eugenol

Avatar uy05sg - Eugenol
guest100

17/07/2017 à 17h40

bill écrivait:
--------------
> S'il y a bien une chose que ce métier t'apprend, c'est l'humilité.
> Ce n'est qu'une question de temps... :-)
C'est pas faux.


6szjws718sv1jksw54v4mpj3a6cu - Eugenol
vulpi

17/07/2017 à 17h55

bill écrivait:
--------------
> S'il y a bien une chose que ce métier t'apprend, c'est l'humilité.
> Ce n'est qu'une question de temps... :-)

5 à 7 ans bien souvent.


Utilisateur banni

17/07/2017 à 19h50

Mais je reconnais tout à fait que je les avais trop longues. Je suis Le premier à reconnaître quand je fais des conneries . De toute façon c'est que des provisoires et elles sont là justement pour qu'on teste les choses .


Vw campersurfvan bmnk1q - Eugenol
enlaye

18/07/2017 à 00h40

si tu chausses du 43 , tu essayes le 41 ,au cas où ? :-)))


6szjws718sv1jksw54v4mpj3a6cu - Eugenol
vulpi

20/07/2017 à 10h30

y aurait pas un truc au niveau des centrales?-)

Oups l'endo de 16 c'est bibi... généreux le vulpi;-)

Dscf2555 2 pvbfvi - Eugenol

Utilisateur banni

20/07/2017 à 11h44

c'est la fameuse dent qu'on dénomme ectopique... ou y a un autre nom pour la denomer je crois . M'en rappelle plus

Prothèse immédiate :
Photos 1-2 extraction
3-4-5 prothèse immédiate

Img 1337 injgfe - Eugenol
Img 1342 rvf40y - Eugenol
Img 1338 qeghzf - Eugenol
Img 1339 yjxrwh - Eugenol
Img 1340 f7fmwz - Eugenol

6szjws718sv1jksw54v4mpj3a6cu - Eugenol
vulpi

20/07/2017 à 12h10

Je vais te dire un secret, plus j'avance et plus je fais exo/transitoire 4 mois au maxillaire, 3 mois à la mandibule et prothèse d'usage.
C'était bien avant la ccam parce que le transitoire était npc et mon taux urssaf n'était pas impacté, bah il a bien augmenté en 2 ans.

Ah oui, j'ai aligné le coût d'un rebasage sur celui d'un transitoire 6/8 dents. Une fois de temps en temps j'ai un patient qui se trouve bien ainsi et ne revient pas, mais c'est marginal.

Si il y a un bug, le transitoire c'est bien. Le mieux étant une prothèse déjà existante que tu modifies, cela permet les aménagements d'occluso, et valider la non patho du rim.


Vw campersurfvan bmnk1q - Eugenol
enlaye

20/07/2017 à 16h37

voilà à quoi ressemble un complet boudin :-)

 mg 1284 tc6kq5 - Eugenol
 mg 1282 vsmevm - Eugenol

Vw campersurfvan bmnk1q - Eugenol
enlaye

20/07/2017 à 16h40

à chaque séance sa couleur :-)

 mg 1275 xagpya - Eugenol

6szjws718sv1jksw54v4mpj3a6cu - Eugenol
vulpi

20/07/2017 à 18h11

Pour la 14 le praticien c'est appliqué, pas d'IC pour prévenir le risque de fracture, pas comme les autres CR, en plus il y a du boulot, p't'être de la mobile :-)

Dscf2557 2 vyxp7x - Eugenol

1...434445...