Cookie Consent byPrivacyPolicies.comempreinte secondaire en complete - Eugenol

empreinte secondaire en complete

6szjws718sv1jksw54v4mpj3a6cu - Eugenol
vulpi

20/07/2017 à 19h24

Enfin la patiente avait tout de même mal quand elle mangeait (pression) en secteur 1... ??

Dscf2557 2 ehi6kj - Eugenol

Utilisateur banni

20/07/2017 à 20h16

Suite Du fameux bridge collé
La patiente : " c'était vraiment une plaie ce bridge " (à ailettes)
" vous remercierez votre prothésiste, il a fait Du bon travail "
Moi : " bien entendu Madame , je lui dirai ça ce soir "
Comment dit on merci En chinois ?😊
谢谢 xiéxié les chinois

Img 1344 v2jk0l - Eugenol
Img 1343 gz51bz - Eugenol

6szjws718sv1jksw54v4mpj3a6cu - Eugenol
vulpi

20/07/2017 à 21h44

vulpi écrivait:
---------------
> Enfin la patiente avait tout de même mal quand elle mangeait (pression) en
> secteur 1... ??

Alors j'ai viré 24, 26 pour 27 on attendrait un peu. Et en secteur 1 la 15, rapport aux images osseuses, et puis c'est toujours bien (mieux) d'avoir 2 édentements encastrés, un de chaque coté, mieux pour les crochets et une dent proth de droite et de gauche cela équilibre bien (putain j'avais un prof macroniste! avec 30 ans d'avance)

La patiente à une patho inflammatoire chronique qui se traite à la cortisone... ostéoporose (médicamenteuse?)... biphosphonates à gogo, les implants on oublie. Déjà pour les exos je serre les fesses.

J'en ai souvent des pathologiques, ce matin une patiente à qui j'ai fait un complet. Elle a Parkinson. je dis pas qu'on peut pas l'implanter, il suffit d'avoir le sens du rythme. Elle est très satisfaite de son complet, elle souhaite que je lui en fasse un jumeaux, au cas où... Parkinson... plaff par terre la prothèse.


6szjws718sv1jksw54v4mpj3a6cu - Eugenol
vulpi

21/07/2017 à 09h17

Le truc c'est qu'elle ne pouvait toujours pas manger, douleur à la pression secteur 1.

Dscf2557 2 nih2kp - Eugenol

6szjws718sv1jksw54v4mpj3a6cu - Eugenol
vulpi

21/07/2017 à 11h37

"ça me fait mal à la molaire, je peux pas manger de ce coté"

J'ai pensé à un MV2 sur la 16... allez va pour exo de la 16, sous AB protocole... je l'avais pris entre deux, j'ai pas trop regardé j'avoue... elle dit molaire, c'est molaire.


Generique fraisage r2rxmm - Eugenol
lardonbis

21/07/2017 à 11h44

vulpi écrivait:
---------------
elle
> dit molaire, c'est molaire.


moi j’obéis hein ! :D


6szjws718sv1jksw54v4mpj3a6cu - Eugenol
vulpi

21/07/2017 à 11h51

lardonbis écrivait:
-------------------
> vulpi écrivait:
> ---------------
> elle
> > dit molaire, c'est molaire.
>
>
> moi j’obéis hein ! :D

surtout je n réfléchis pas ;-) trop d'effort.

En plus "entre deux" c'est sur mon temps de nonol, tu vois le dérangement.


Generique fraisage r2rxmm - Eugenol
lardonbis

21/07/2017 à 11h55

vulpi écrivait:
---------------

> En plus "entre deux" c'est sur mon temps de nonol, tu vois le dérangement.

l'horreur.
j'abrège dans ces cas là, d’ailleurs j'ai souvent le Bernard dans la poche en allant en salle d'attente.


6szjws718sv1jksw54v4mpj3a6cu - Eugenol
vulpi

21/07/2017 à 12h15

lardonbis écrivait:
-------------------
> vulpi écrivait:
> ---------------
>
> > En plus "entre deux" c'est sur mon temps de nonol, tu vois le dérangement.
>
> l'horreur.
> j'abrège dans ces cas là, d’ailleurs j'ai souvent le Bernard dans la poche en
> allant en salle d'attente.

J'avais pensé à me faire un bain de bouche au gros rouge, histoire qu'ils reviennent pas, déjà qu'on répond pas au téléphone... faut bien qu'ils comprennent... la bobologie ça me coûte des sous, autant rien foutre.


Generique fraisage r2rxmm - Eugenol
lardonbis

21/07/2017 à 12h49

vulpi écrivait:
---------------
d'attente.
>
> J'avais pensé à me faire un bain de bouche au gros rouge,

avec une belle coulure sur la tunique et une clope écrasée dans le crachoir t'es au top :D
un petit crachat dans les mains avant de commencer bien sur


6szjws718sv1jksw54v4mpj3a6cu - Eugenol
vulpi

21/07/2017 à 12h56

lardonbis écrivait:
-------------------
> vulpi écrivait:
> ---------------
> d'attente.
> >
> > J'avais pensé à me faire un bain de bouche au gros rouge,
>
> avec une belle coulure sur la tunique et une clope écrasée dans le crachoir t'es
> au top :D
> un petit crachat dans les mains avant de commencer bien sur

Ou bien je vais bruyamment aux toilettes et je ne me lave pas les mains, c'est bien aussi. C'est ma spéciale commerciaux :-)))

Une fois j'avais eu une nuit festive très arrosée, et arrive un petit trou dans le planning (j'étais remplaçant pas d'AD), je me mets dans le fauteuil et je m’endors, une bûche.
D'un coup je me réveille en sursaut... ou suis-je... merde! au boulot.. quelle heure? Putain!!! ... alors je vais voir la salle d'attente, il y avait mon patient, je l'ai pris soigné, suturé (m'en souviens) donné un RV et bien il est jamais revenu!... l'ingratitude...


Generique fraisage r2rxmm - Eugenol
lardonbis

21/07/2017 à 13h05

vulpi écrivait:
---------------

> jamais revenu!... l'ingratitude...


ou l'odeur :D

en plus avec oʌɐʞ imprimé sur le front il a du flipper


6szjws718sv1jksw54v4mpj3a6cu - Eugenol
vulpi

21/07/2017 à 13h28

La soirée valait le détour. C'était une bande de copains qui navrés que l'un d'entre eux soit toujours puceau à 17 ans c'étaient cotisés pour lui payer les services d'une professionnelle. Ils m'avait laissé à 1 heure du mat dans un bar à Pigalle en compagnie de deux jolies brunes, quoique l'une fasse un peu vulgaire, le temps de mener à bien la mission turlute.
Arrive au grand complet une équipe de rugbymen gallois, qui avait joué la veille du match France Galles, c'étaient des vétérans.
Forcement avec les deux mignonnes à mes cotés... on est devenu potes, et puis j'avais pas trop le choix, suis cycliste pas rugbyman et encore moins troisième ligne. La suite est indescriptible, et cela vaut mieux, mais le lendemain je n'étais pas frais.


Vw campersurfvan bmnk1q - Eugenol
enlaye

21/07/2017 à 13h28

une fois je me suis endormi sur un mec la turbine en marche .

tu vois quand tu te reveilles le matin et que t'y arrives pas à ouvrir les yeux ,et que tu te dis ,aller encore 2s et apres j'ouvre les yeux ?
ben là pareil , j'ai fermé les yeux ( ça je le fais souvent quand je taille des bridges , ç est rigolo ) , sauf que je me suis endormi .sais pas combien te temps ,en fait .
quand j'ai ouvert les yeux (style tu sais plus si ç est le matin ou le soir ,que tu comprends rien),avec la turbine qui marchait et avec l'eclair de la lumiere sur le spray , j'ai cru qu'il en sortait des flammes . j'ai poussé un grand cri de cauchemard :-).
ben ,celui là je ne l'ai jamais revu non plus :-)))


6szjws718sv1jksw54v4mpj3a6cu - Eugenol
vulpi

21/07/2017 à 13h32

enlaye écrivait:
----------------
> une fois je me suis endormi sur un mec la turbine en marche .
>
> tu vois quand tu te reveilles le matin et que t'y arrives pas à ouvrir les yeux
> ,et que tu te dis ,aller encore 2s et apres j'ouvre les yeux ?
> ben là pareil , j'ai fermé les yeux ( ça je le fais souvent quand je taille des
> bridges , ç est rigolo ) , sauf que je me suis endormi .sais pas combien te
> temps ,en fait .
> quand j'ai ouvert les yeux (style tu sais plus si ç est le matin ou le soir
> ,que tu comprends rien),avec la turbine qui marchait et avec l'eclair de la
> lumiere sur le spray , j'ai cru qu'il en sortait des flammes . j'ai poussé un
> grand cri de cauchemard :-).
> ben ,celui là je ne l'ai jamais revu non plus :-)))
>

Excellent:-))))
Un jour je te raconterai ma thèse;-)


Utilisateur banni

21/07/2017 à 14h04

dis donc à ce que je vois c'est Le petit passage " je me rappelle quand j'étais jeune et vigoureux " ... " qu'est-ce que c'était bien cette soirée putes-rugbymen-cycliste" "ah dis donc j'étais tellement torché de la veille que je me suis endormi la turbine à la main avec un filet de bave qui pendouillait à mes lèvres ". "Qu'est ce que c'était mieux avant " 😊😊😊 Ah ben c'est Du propre ! Bravo la compagnie !


Generique fraisage r2rxmm - Eugenol
lardonbis

21/07/2017 à 14h09

vulpi écrivait:
---------------

> La suite est indescriptible, et cela vaut mieux, mais le lendemain je
> n'étais pas frais.

enlaye écrivait:
----------------
> une fois je me suis endormi sur un mec la turbine en marche



moi je dis plus rien. Trop peur que la police lise ce forum. Si ils retrouvent mon ADN je suis cuit :D


6szjws718sv1jksw54v4mpj3a6cu - Eugenol
vulpi

21/07/2017 à 17h57

Revenons à ma patiente, toujours douleur à la pression. "C'est la molaire Docteur" (j'aime bien quand on m’appelle Docteur, au moins le patient est conscient d'où il est et avec qui, "Monsieur", j'ai un doute... ).
Jour de l'exo, Ab Ok (tjrs vérifier chez les vrais malades), et là, il faut en convenir ma patiente ne parle pas la même langue que moi. Oui parce que la molaire... bin c'est la 14, mobilité axiale, sondage positif en dv pour recherche de fracture.

Exo et zolie fêlure de l'apex à la couronne prothétique, c'était bien la peine de ne pas avoir mis d'IC ou de tenon afin de prévenir ce risque :-)))

Je me demande même si un bête screw-post n'aurait pas évité le problème?-(

Je l'ai autopsié, il n'y avait que du composite, de la gutta et du ciment dans la racine.

Dscf2561 tefzzi - Eugenol
Dscf2563 cqfwsp - Eugenol
Dscf2560 2 grguib - Eugenol

6szjws718sv1jksw54v4mpj3a6cu - Eugenol
vulpi

22/07/2017 à 10h04

Tandis que là, c'est indiscutable il y a un inlay-core une CR et une fracture radiculaire... tout est normal. La CR avait plus de 10 ans.

Enfin oui et non, parce que c'est une 27, il n'y a pas de 28, 26, et pas de 38, 37, 36 depuis plus de 10 ans et jamais eu de PAP, la patiente a pris la fuite avant que son ancien CD ne les lui fasse. Il a juste eu le temps de faire les CR et la patiente a pensé que cela faisait beaucoup de ravage pour des PAP qu'elle ne souhaitait pas... c'est comme cela que je l'ai récupéré.

Dscf2564 hv53cu - Eugenol

Utilisateur banni

24/07/2017 à 21h12

regardez moi ça cette 6 sur Implant réalisée par les chinois que je viens de poser : c'est pas beau ça quand même ? Vraiment Du bon travail. Et juste à coté regardez les CCM réalisées par sans doute des prothésistes français. Y a pas photo : une très nette supériorité en qualité pour les prothésistes chinois.

Quoique ces couillons ne m'ont pas fait de pont d'email, et la cuspide MP devait être plus grosse que la D... j'ai même pas remarqué ça hier 😊 . En même temps,Entre nous c'est pas ça qui va changer grand chose à l'efficacité masticatoire. Ils ont du filer cette 6 au mec qui s'occupe des 6 mandibulaires au lieu de Le donner au mec qui s'occupe des 6 maxillaires .

Img 1354 n6dnms - Eugenol

6szjws718sv1jksw54v4mpj3a6cu - Eugenol
vulpi

25/07/2017 à 13h41

vulpi écrivait:
---------------
> Tandis que là, c'est indiscutable il y a un inlay-core une CR et une fracture
> radiculaire... tout est normal. La CR avait plus de 10 ans.
>
> Enfin oui et non, parce que c'est une 27, il n'y a pas de 28, 26, et pas de 38,
> 37, 36 depuis plus de 10 ans et jamais eu de PAP, la patiente a pris la fuite
> avant que son ancien CD ne les lui fasse. Il a juste eu le temps de faire les
> CR et la patiente a pensé que cela faisait beaucoup de ravage pour des PAP
> qu'elle ne souhaitait pas... c'est comme cela que je l'ai récupéré.

La patiente m'a demandé ce que je comptait faire pour sa dent?
"Bin rien... à part l'extraire, rien, de toute façon elle ne vous servait à rien."
"Mais elle me manque pour manger..."

Et voilà pourquoi elle s'est fracturée, elle est non fonctionnelle pour un CD, mais utilisable pour la patiente. Elle m'a appris un truc, je ne regarderai plus les "non fonctionnelles" du même œil.


Utilisateur banni

27/07/2017 à 09h04

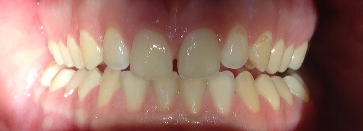
Enlaye ??? C'est le fameux que je t'avais déjà montré . J'ai repris des photos avec mon phone.... Qui c'est qui disait qu'il ne pouvait pas fermer comme ça ? Rappelle moi voir son nom 😊. On fait moins le malin tout d'un coup ! Alors on sait plus quoi dire ? 😊
Ce que je comprends pas c'est pourquoi En 25 ans ses PM n'ont pas cherché le contact avec celles du bas . Il y a juste des contacts au niveau des 7 et des incisives

Img 1361 eamyh3 - Eugenol
Img 1365 hqjwg0 - Eugenol
Img 1363 f6c1w3 - Eugenol

6szjws718sv1jksw54v4mpj3a6cu - Eugenol
vulpi

27/07/2017 à 09h57

Tu devrais prendre des empreintes et faire mumuse avec pour être certain.
Il a eu de l'ortho (inachevée)?


Utilisateur banni

27/07/2017 à 10h40

non jamais d'ortho !
Bin écoute là c'est certain il a toujours fermé comme ça. "Ça a toujours été comme ça , et je mange que sur mes dernières dents " m'a t il dit

-> il ne s'est pas plaint de quoique ce soit, je lui ai parlé du redressage de chicot qui pourrait améliorer la situation. Ça n'a pas l'air de lui parler. Donc je ne vais pas perdre mon temps à lui faire des empreintes 😊


Vw campersurfvan bmnk1q - Eugenol
enlaye

27/07/2017 à 11h32

sur les 3 photos ,il y a 3 fermetures différentes .
donc celà confirme ce que je disais .


1...444546...