Cookie Consent byPrivacyPolicies.comempreinte secondaire en complete - Eugenol

empreinte secondaire en complete

Blue eye thumb medium dx1i0w - Eugenol
bill

22/12/2017 à 10h22

junior® écrivait:
-------
> C’est pas écrit dans vos livres la gold technic ? Hein ? On fait moins les
> marioles les vieilles branches ! :))

Choisis un gold prothésiste, ça coûte peut-être un peu plus cher mais c'est plus simple. :-))

--
https://endobox.fr/mode-demploi/


Utilisateur banni

22/12/2017 à 11h40

Tout le secteur antérieur de mon cas « langue de bovin » c’est du one shot par exemple . Pas d’ essayage de ceci ou de cela . C’est de la gold chinoiserie sur mesure :)


Generique fraisage r2rxmm - Eugenol
lardonbis

22/12/2017 à 11h42

junior® écrivait:
-------
> Tout le secteur antérieur de mon cas « langue de bovin » c’est du one shot par
> exemple

respect... couillu.


Utilisateur banni

22/12/2017 à 11h48

Empreinte IC + couronnes dans la même séance je précise ...
Si j’avais fait faire ça par le prothésiste du coin. J’en mets ma main à couper : j’aurais été obligé de faire refaire.
En postérieur par contre j’ai fait des retouches, donc j’ai demandé qu’ils me refassent quelques petits trucs qui ne me plaisaient pas . Ça n’a pas été du one shot


Vw campersurfvan bmnk1q - Eugenol
enlaye

22/12/2017 à 13h10

My Junior is rich .


6szjws718sv1jksw54v4mpj3a6cu - Eugenol
vulpi

22/12/2017 à 13h29

Mouais... Occluso-inconscient.


Generique fraisage r2rxmm - Eugenol
lardonbis

22/12/2017 à 13h31

pfff ces vieux.
Il est occluso-prescient !


6szjws718sv1jksw54v4mpj3a6cu - Eugenol
vulpi

22/12/2017 à 14h12

Ah c'est ça!!! Il avait pas des soucis de "chiping" dans un autre post?


Vw campersurfvan bmnk1q - Eugenol
enlaye

22/12/2017 à 14h28

Ou alors de " cheep"ing , on sait plus à force :-)


Utilisateur banni

22/12/2017 à 14h58

vulpi écrivait:
-----
> Ah c'est ça!!! Il avait pas des soucis de "chiping" dans un autre post?

Non c’est vous qui allez en avoir avec vos Zircone + cosmétique en postérieur :)
J’en connais qui vont moins faire les marioles avec leur céramique :))


mr smith

22/12/2017 à 15h16

Moi junior je l’adore ! du tir au pigeon avec de la vaisselle Ming sur de l’anterieur , tout en se posant la question de l’ajustage de ses bridges longues portées . T’es trop chou ;0)))


Utilisateur banni

22/12/2017 à 15h39

De la chinoiserie mais avec une feuille de prothèse où c’est marqué « fabrication française », que je peux donner au patient.... c’est pas beau ? :)


Vw campersurfvan bmnk1q - Eugenol
enlaye

22/12/2017 à 15h57

.


Vw campersurfvan bmnk1q - Eugenol
enlaye

22/12/2017 à 16h02

enlaye écrivait:
------
alors c est une prothese eurasienne .c est possible :-))


mr smith

22/12/2017 à 16h14

Tiens junior , c’est juste pour toi et les bridges collés , extraction et pose le jour même en 1994 , avec une pap en réserve au cas où , et proposition de démontage à 6 mois de cicat pour réajuster la céramique au niveau gingivale .

Ben y tiens toujours ;0)

Tarifs en francs , cadeau car gentille copine ;0))

045d7693 47db 4225 b627 3c7e13b39831 hjc7wm - Eugenol

Utilisateur banni

22/12/2017 à 16h53

Tu devrais passer sous Logos : beaucoup moins d’enmerdements


Utilisateur banni

15/01/2018 à 12h01

empreinte primaire alginate

Da3f605a 3964 46da 84ac c75192ce07d8 y6iwms - Eugenol

6szjws718sv1jksw54v4mpj3a6cu - Eugenol
vulpi

15/01/2018 à 18h04

Mal cadré, l’intéressant n'y est pas.

Tu as une déchirure en postérieur, si la zone te semble importante ou si c'est mal soutenu en postr tu peux faire un ajout d'alginate de l'autre coté pour renforcer et/ou soutenir la zone.


Utilisateur banni

15/01/2018 à 20h14

C’est bien pour ça que je vais faire une secondaire :) remettre de l’alginate light tu veux dire ?


6szjws718sv1jksw54v4mpj3a6cu - Eugenol
vulpi

15/01/2018 à 21h52

Non en dessous de l'empreinte pour qu'elle ne se déforme pas sous le poids du plâtre.


Utilisateur banni

16/01/2018 à 07h15

Ah mais c’est pas totalement con cette histoire effectivement. J’y avais jamais pensé. Et pourtant ça paraît logique.

Imagine t’as fait une empreinte secondaire polysulfure ou polyether qui déborde un peu. Tu fous donc du polysulfure ou polyether par dessous pour maintenir la chose ? Normalement ça devrait être maintenu par le PEI mais bon ça arrive qu’on ait un peu de materiau en suspension (de par notre faute ou celle du patient qui a envie de vomir)


Utilisateur banni

20/01/2018 à 17h10

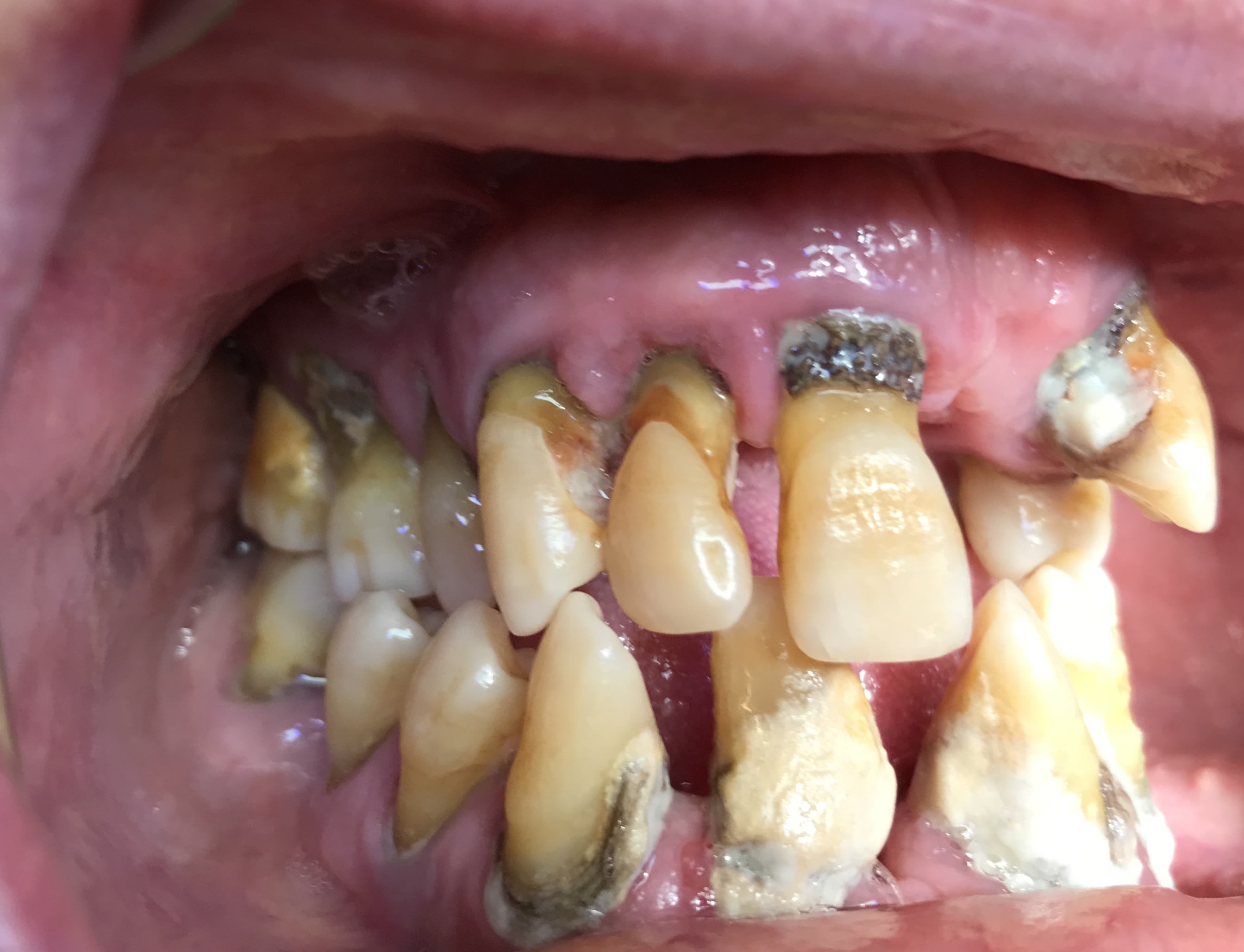
Celle-ci c’est un cas pour le Vulpi.
Le patient m’a ramené une pano, et j’ai des petites photos

72c50a7b 4d27 455b ab9d 2225b1bb074a xvz5lu - Eugenol
8c9b1acd 8506 4dc5 8b36 ca2bd6b2289c sfzyo8 - Eugenol
D66dcd62 401b 47eb 9e51 4855a77aa6f1 wdsgps - Eugenol
91608705 28ae 4c16 9381 df6a3d6646a5 wk1gbb - Eugenol

mr smith

20/01/2018 à 17h44

junior® écrivait:
-------

> Le patient m’a ramené une pano,

était ce bien nécessaire ;o)))))


Generique fraisage r2rxmm - Eugenol
lardonbis

20/01/2018 à 18h16

sympa.

Index nx2w7y - Eugenol

Capture d écran 2018 05 16 à 21.30 - Eugenol
Daryl

20/01/2018 à 18h52

C'est papy Brosse 'Art qu'a mangé trop de savane au chocolat ???? ;)))


1...555657...