Cookie Consent byPrivacyPolicies.comInterview sur les centres low cost - Eugenol

Interview sur les centres low cost

Capture d  cran 2015 03 12 12.28 - Eugenol
chicot29

13/03/2016 à 22h35

jeromeami écrivait:
-------------------
> Non ce n'est pas déontologique d'imposer à des patients d'aller ailleurs son
> extraction quand le CD peut faire les soins lui même au motif qu'ils ne
> rapportent pas, qu'il va passer 30 minutes sur une dent alors que ça va rien lui
> rapporter.
>
> Sous prétexte de gérer l'entreprise, on refuse de faire des soins conservateurs,
> on s'embête pas avec ça, ça rapporte rque dalle. On ne s'occupe pas des gosses
> non plus ni des vieux. On est donc ni plus ni moins que dans le système Dtxia.
>

Si on s'en occupe mais on ne fait pas de prothèses low cost. Car les 2 sont incompatibles en effet le banquier ne suit pas. -)
Si tu me trouves un banquier aussi compréhensif que ceux qui pretent encore à l'état francais alors OK. -)


Capture d  cran 2015 03 12 12.28 - Eugenol
chicot29

13/03/2016 à 22h44

jeromeami écrivait:
-------------------
> L'extraction fait quoi qu'on en dise partie des soins de base dûs à tous, tout
> comme le traitement d'une carie ou le détartrage. Si l'extraction est difficile,
> OK. Mais sinon, elle n'a pas à être réalisé chez le stomato quand elle est à la
> portée du CD.

Le logement étant aussi opposable, le locataire n'est pas tenu de payer son loyer au tarif du marché. Donc si son loyer est jugé trop élevé il ne paie plus.

Franchement tu crois qu'un tel raisonnement tient la route ? A terme tu ne trouves plus à te loger sinon en achetant ton logement. Curieux non ?

Inadéquation entre tarifs opposables et cout économique soit on ne fait plus d'actes à un tarif opposable soit on se rattrape ailleurs. En volume d'actes à honoraires libres ou en tarifs.

Choix entre un exercice low cost ou pas.


P2eqdh3csim6s7nb09ktdq3e7ev8 - Eugenol
barbabapat

14/03/2016 à 00h00

jeromeami écrivait:
-------------------
> Je ne suis pas d'accord avec toi. L'extraction dentaire fait partie des soins
> conservateurs

Les extractions ne sont pas les soins les plus conservateurs.

Tu as plein de professions où tu as des droits de retrait qui sont parfaitement reconnus. Lorsqu'une extraction de dents de sagesse est payée plus de 1300 euros à l'hôpital, elle ne peut être réalisée alors en toute sécurité par un dentiste pour 33 euros. Alors en quoi reprocher aux dentistes de faire jouer leur droit de retrait.


Capture d  cran 2015 03 12 12.28 - Eugenol
chicot29

14/03/2016 à 09h03

C'est pas 33 euros quand elles sont incluses...... Les 4 c'est 209 euros.
Sous ag à l'hosto ou en clinique ca coute une blinde mais c'est "gratuit " pour le patient.

AG + une journée d'hospitalisation .....

Capture d e cran 2016 03 14 07.58 - Eugenol

1415630902145 1 bburli - Eugenol
Jeromami2

14/03/2016 à 09h10

Moi je reste par contre. Vous me faites marrer avec vos 33 euros l'arrachage !! Chez dtxia, ils m'ont arraché les 8 chicots en 20min c'était plié ! Eux au moins ils sont bien organisés !!
Et 33€ c'est le prix de mes clopes sur 2 jours, vous abusez avec vos tarifs !!


Dsc05680 medium aphmfg - Eugenol
BasArtDentaire

14/03/2016 à 09h23

Jeromami2 écrivait:
-------------------
> Moi je reste par contre.

Les blagues les plus courtes sont les meilleurs. Et là ça dure, ça dure...


eusebius

14/03/2016 à 12h58

Jeromami2 écrivait:
-------------------
> Moi je reste par contre. Vous me faites marrer avec vos 33 euros l'arrachage !!
> Chez dtxia, ils m'ont arraché les 8 chicots en 20min c'était plié ! Eux au moins
> ils sont bien organisés !!
> Et 33€ c'est le prix de mes clopes sur 2 jours, vous abusez avec vos tarifs !!



et ben dis donc, tu parais bien jeune sur ta photo de profil pour avoir 8 chicots à enlever en 20 minutes..

jamais eu le temps d'aller consulter avant?

effet tabac??


VivaEuropa?

14/03/2016 à 17h06

Est-ce qu'un modo pourrait tirer la chasse?

Merci d'avance!


1415630902145 1 bburli - Eugenol
Jeromami2

14/03/2016 à 18h13

VivaEuropa? écrivait:
---------------------
> Est-ce qu'un modo pourrait tirer la chasse?

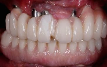
Z'etes pas sympa... surement parce que vous êtes jaloux d'avoir perdu un client comme moi au profit de dtxia !!! Je vous poste une photo et une radio des prothèses... seulement 14000 euros ça m'a couté !! En 3 rdv d'une heure en plus !! Je suis ravi !!

Mon beau sourire qp8vjd - Eugenol
Ma radios rcigef - Eugenol

Vw campersurfvan bmnk1q - Eugenol
enlaye

14/03/2016 à 18h33

Jeromami2 écrivait:
-------------------
" !! Je suis ravi !! "


ben nous aussi .ç est super .:-)


burnax

14/03/2016 à 19h09

Il est sérieux ??????


Capture d  cran 2015 03 12 12.28 - Eugenol
chicot29

14/03/2016 à 19h46

Ca les vaut ! -)))))

J'espère que tu as acheté un cayenne turbo au lieu d'un cayenne S avec les économies générées. Tu vas avoir besoin de te défouler un de ces 4. -))))


Vw campersurfvan bmnk1q - Eugenol
enlaye

14/03/2016 à 20h00

burnax écrivait:
----------------
" Il est sérieux ?????? "

bien sur que non , pour prendre une si belle photo ,il faut un flash annulaire des ecarteurs etc ....
or dentexia ou autre ne peut delivrer une si belle photo qui est un cas d'ecole sans copyright .
ou alors il a volé la photo dans un congrés à un suédois ....
je sors prendre l'air :-)))


carident

14/03/2016 à 20h33

Ok, ça c'était avant le traitement. Mais elle est où la photo après?


Jack 2 wm3tqs - Eugenol
Trepo

14/03/2016 à 20h48

On lance un jeu pour savoir quel est notre cher confrère qui est derrière notre super patient aux oreilles décollées, qui louche et qui s'est "fait refaire la devanture chez dtxia" ?

Hmmm bjorn ? Peut être pas assez joueur.


Hariboo uxvd6e - Eugenol
Harry Bo

14/03/2016 à 21h48

moi je dirai bien enlaye ou...chico29 qui cache bien son jeu....mais il a pas encore mis des photos d'endo...


Vw campersurfvan bmnk1q - Eugenol
enlaye

14/03/2016 à 22h58

Harry Bo écrivait:
------------------
" moi je dirai bien enlaye ou...chico29 qui cache bien son jeu.... "

hahaha , non non ,
je passe assez de temps comme ça sur nonol,
et si en plus je rajoute une tete de gogol ,
je ne m'en sortirais plus .
mais ç est gentil d'avoir pensé à moi :-)))))))


Jack 2 wm3tqs - Eugenol
Trepo

14/03/2016 à 23h56

En tous cas, la tête de fake est au top !


VivaEuropa?

15/03/2016 à 04h39

Un amateur de sites d'horreurs :

http://forum.dentalxp.com/case/details/esthetic-disaster-implant-failure/1881


Vw campersurfvan bmnk1q - Eugenol
enlaye

15/03/2016 à 08h11

et qui ç est le patron ?, des RG ?
ç est encore Viva :-)))
il bosse , il bosse !!


pointG

16/03/2016 à 18h59

Pour Jeromami2 :je suis un peu inquiet de ton traitement
global sur implants;déjà des signes de résorption sur les2 implants distaux mandibulaires et un os peu vascularisé
mandibulaire et si tu fumes pour 33 euros sur 2 jours ;j'ai de sérieuses craintes pour l'avenir du traitement;tu
as déjà une fracture de la 11
tu as fait un coup "financier" mais si il y a des problèmes :dtexia
ne sera pas là pour les problèmes
c'est la différence avec les libéraux peut-être plus cher
mais ils sont toujours là et disponible pour reprendre
gratuitement quand ils sont à l'origine du traitement
bonne chance


Vw campersurfvan bmnk1q - Eugenol
enlaye

16/03/2016 à 19h19

point G , ça va ?


Darmon - Eugenol
latin

17/03/2016 à 01h48

PointG démontre qu'il n'a pas son pareil pour mettre le doigt sur les points sensibles.


ameli

17/03/2016 à 14h25

carident écrivait:
------------------
> - payer les charges sociales (énormes dans ce pays communiste)

http://www.challenges.fr/economie/20140617.CHA5090/impots-taxes-et-cotisations-sociales-qui-en-paient-le-plus-en-europe.html

A noter que le Danemark est davantage communiste que la France. En fait, on est tous communistes, et les Allemands plus que nous car ils payent plus d'impôts...
Je te suggère de faire attention aux mots. On passe vite de l'imagerie populaire à l'image populiste puis à la croyance politico-religieuse et à l'imaginaire.


RépondreCiter
Hok 1b hgd3rj - Eugenol
Hokusai

17/03/2016 à 14h42

ameli écrivait:
---------------

> A noter que le Danemark est davantage communiste que la France.

Si il faut s'aligner sur les taux de prélèvement du Danemark pour obtenir la même qualité de vie... je signe de suite et des deux mains.


1...678