Cookie Consent byPrivacyPolicies.comavis endo - Eugenol

avis endo

EpineDeSpix2

04/04/2016 à 12h00

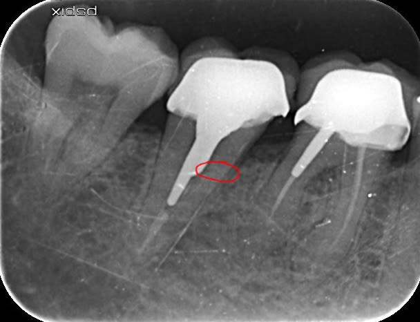
Bonjour j'ai posé cette couronne et fait le traitement endo de 47 il y a 2 mois
depuis le patient a mal a la percussion...

Anatomie atypique, j'avais 2 canaux se rejoignant à l'apex.

Je ne comprends pas d'ou peut provenir cette douleur...

Si vous avec une idée, je suis preneur...

merci!

Eugenol1 jjvbrw - Eugenol
Eugenol2 rjjjuc - Eugenol
Eugenol3 b4wppd - Eugenol
Eugenol4 mickuy - Eugenol

dentalvirus

04/04/2016 à 12h05

Arthrite? léger débordement ccm en m de 47? contrôle point de contact avec 46


8tercecn7hisbbqbde2nil4nyxrw - Eugenol
Hanibalecter

04/04/2016 à 14h27

Fracture racine ?

1 keyucw - Eugenol

Vw campersurfvan bmnk1q - Eugenol
enlaye

04/04/2016 à 15h23

EpineDeSpix2 écrivait:
----------------------
" depuis le patient a mal a la percussion... "

percussion en vestibulaire , surtout ?


EpineDeSpix2

04/04/2016 à 16h40

oui, surtout en vestibulaire...
les points de contact sont bons, pas de surocclusion.

du coup je ne sais pas quoi faire, tout déposer???

merci!


sagito

04/04/2016 à 16h50

3eme canal ??????


Vw campersurfvan bmnk1q - Eugenol
enlaye

04/04/2016 à 16h57

EpineDeSpix2 écrivait:
----------------------
" oui, surtout en vestibulaire...
les points de contact sont bons, pas de surocclusion."

que tu crois , supprimes tous les points en vest .


EpineDeSpix2

04/04/2016 à 17h53

mm si c'est l'occlusion, je me fait moine.. ou je t'offre une bouteille de champagne ! je te dirais!


Vw campersurfvan bmnk1q - Eugenol
enlaye

04/04/2016 à 18h15

j' en ai plein la sté :-)))


EpineDeSpix2

04/04/2016 à 18h51

on fera la fete alors (une fois que j'aurai résolu mon problème!)


Vw campersurfvan bmnk1q - Eugenol
enlaye

04/04/2016 à 18h53

elle est en fer '( metal) ta couronne ?


EpineDeSpix2

04/04/2016 à 18h53

sagito écrivait:
----------------
> 3eme canal ??????

j'ai rien vu, rien a signaler lors de l'endo a part l'anatomie atypique de la dent (2 canaux se rejoignant à l'apex)

est ce qu'un cone beam pourrait m'aider à y comprendre quelquechose?


EpineDeSpix2

04/04/2016 à 18h53

enlaye écrivait:
----------------
> elle est en fer '( metal) ta couronne ?

c'est une CCM, classique!


sagito

04/04/2016 à 19h29

EpineDeSpix2 écrivait:
----------------------
> sagito écrivait:
> ----------------
> > 3eme canal ??????
>
> j'ai rien vu, rien a signaler lors de l'endo a part l'anatomie atypique de la
> dent (2 canaux se rejoignant à l'apex)
>
> est ce qu'un cone beam pourrait m'aider à y comprendre quelquechose?

oui a voir le 3eme canal


Vw campersurfvan bmnk1q - Eugenol
enlaye

04/04/2016 à 19h45

EpineDeSpix2 écrivait:
----------------------
" Bonjour j'ai posé cette couronne et fait le traitement endo de 47 il y a 2 mois depuis le patient a mal a la percussion..."

tu as fais l'endo , il y a 2 mois et tu viens de mettre la couronne et il a mal depuis la couronne ?
ou
il y a 2 mois que tu as fais l'endo et aussi mis la couronne et il a mal depuis 2 mois ?


EpineDeSpix2

04/04/2016 à 20h08

ENdo fait le 12/11/15
Pose inlay core + prov le 17/12/15
pose de la ccm le 04/02/16

il a mal depuis la pose de la ccm. Fichtre!


Vw campersurfvan bmnk1q - Eugenol
enlaye

04/04/2016 à 21h03

Au départ ,ta 7 était décalée en lingual ou en vest ?


EpineDeSpix2

04/04/2016 à 21h37

enlaye écrivait:
----------------
> Au départ ,ta 7 était décalée en lingual ou en vest ?

mm bonne question, je crois qu'elle etait alignée avec les autres, occlusion normale.. enfin, il me semble..
mais c'est vrai qu'il ne se plaint quasiment que de douleurs a la percussion vestibulaire de 47, quasi rien coté lingual.


Hiboux72

04/04/2016 à 23h39

Quelques questions :

- Pulpe vitale ou nécrosée ?
- Quelles techniques d'obturations as tu utilisé ?
- Il s'est passé 1 mois entre l'obturation et le scellement de l'IC, qu'est ce que tu as mis entre temps ?
- Digue ?




EpineDeSpix2

04/04/2016 à 23h54

Hiboux72 écrivait:
------------------
> Quelques questions :
>
> - Pulpe vitale ou nécrosée ?
> - Quelles techniques d'obturations as tu utilisé ?
> - Il s'est passé 1 mois entre l'obturation et le scellement de l'IC, qu'est ce
> que tu as mis entre temps ?
> - Digue ?
>
>
>

Pulpe vitale
Protaper + localisateur d'apex, Obturation mono cone avec sealite, et IRM par dessus avant de faire l'empreinte pour l'inlay core, c'est ce que je fait tout le temps...
Pas de digue, je sais c'est pas bien, mais déjà avec un rouleau salivaire je me bat avec le patient, alors la digue, bon courage... mais c'est vrai que je vais m'y remettre.


Vw campersurfvan bmnk1q - Eugenol
enlaye

05/04/2016 à 00h12

aller t'inquiètes pas , avec un peu de chance , ça peut être occlusal ton histoire .en tout cas ça ne mange pas de pain que d'essayer ce que je te dis .
ça fait même plus style interférence que prématurité . çad lors des mv de latéralité et dû à un sur guidage vestibulaire .si ç est ça la sensibilité est souvent + importante le matin .
donc gros papier bleu que tu fais mordre aussi en latéralité.
tu supprimes tous les contacts vest ,+ les crêtes proximales ,et surtout la distale .et tu repolis ,bien sur .


EpineDeSpix2

05/04/2016 à 12h07

merci pour ton avis en tout cas!

je vais retoucher en latéralité, si ça persiste, je ferais faire un cone beam pour m'assurer qu'il n'y ait pas de canal non obturé... arfff!