Tous les forums
Gné ?
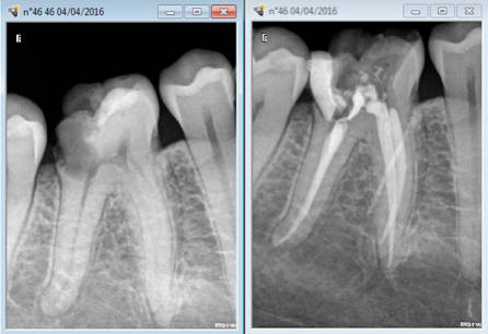
05/04/2016 à 18h04
Il ne faut pas forcer pour extraire simplement insérer l'élévateur au bon endroit (enfin bon je l'ai bien dé calottée la couronne ( mouvement de l'avant bras proche de celui qu'on fait quand on essaye de faire une gamelle au baby foot) avant de séparer les racines mais des fois tout vient en meme temps lol !) . C'est au moment de soulever la racine distale que j'avais mobilisée qu'elle s'est fait la malle. -)
05/04/2016 à 21h51
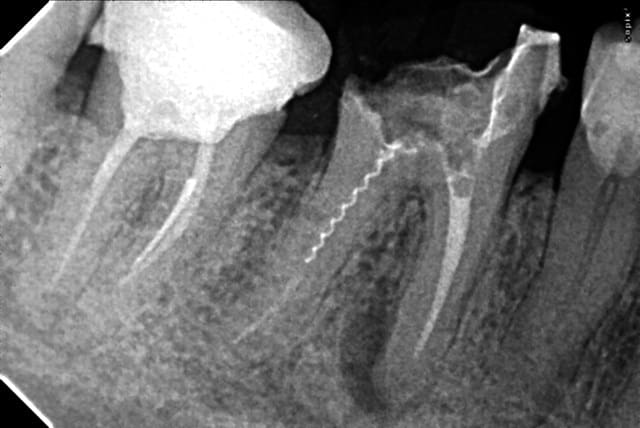
cette racine me parait très bien ou elle est.
Pourquoi la chercher? (rapport avantages inconvénients)
Je la laisserais bien à sa place (sauf si la pulpe était nécrosée bien sûr)et j'attendrais....
ça risque de faire un bel implant naturel et....c'est tout
14/04/2016 à 16h28
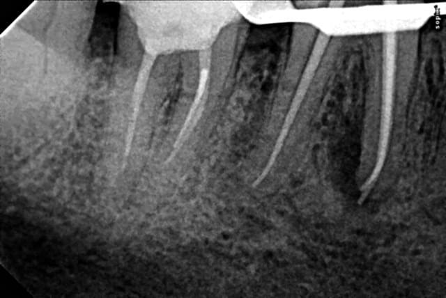
Je reviens sur ce cas à l'image curieuse. patient venu en urgence et je m'étais démerdé pour faire le TT en un RDV quitte à modifier quelque peu mon planning de la journée ( léger retard).
Ben le patient n'est pas venu pour la suitte ( consult pour faire le tour de la bouche)
Rendez vous dans un an en urgence pour l'extraction. Que j'adresserais au stomato. -)
15/04/2016 à 14h29
Et là, un gros canal latéral ou un coup de pro-taper retraitement mal placé ??