Cookie Consent byPrivacyPolicies.comBurn out, vous avez dit Burn Out ? - Eugenol

Burn out, vous avez dit Burn Out ?

Picodon

22/04/2016 à 15h53

On peut rajouter :
- le stress des patients, particulièrement communicatif
- le fait de s'entendre dire plusieurs fois par jour : "J'aime pas les dentistes!"
- travailler dans une toute petite zone
- toujours se demander si on a choisi la bonne solution et se torturer l'esprit même une fois les décisions prises


super la dentisterie

23/04/2016 à 12h10

oui, je suis tout à fait d'accord. Quand on a un tempérament anxieux et qu'on se pose trop de questions , les nuits sont parfois courtes. moi, je fais de l'hypnose, du yoga , du running et de la marche. Je reste très stressée mais sans cela je serais à terre depuis longtemps. Fut un temps ou j'allais au travail le matin en pleurant car je m'angoissais à l'idée de me dire que je n'allais pas être à la hauteur. Tout se passait bien mais le lendemain ca recommençait. j'ai cru mourir vraiment. J 'envie vraiment les gens qui arrivent à garder de l'humour face à certaines situations.moi, je n'y arrive pas


bartolomite

23/04/2016 à 17h08

super la dentisterie écrivait:
------------------------------
> BONJOUR, EN CE QUI ME CONCERNE J'ADORE MON EQUIPE DE TRAVAIL MES ASSOCIES ET
> MON ASSISTANTE et pourtant je me sens toujours à la limite de tout plaquer. Cela
> fait 20 ans que je travaille et je pense être consciencieuse dans mon
> travail. Je fais des formations réulièrement. Je crois que je suis de plus en
> plus stressée car les patients me mettent beaucoup la pression : "j'espère que
> vous ferez aussi bien que la dernière fois" "je viens de la part de;;;on m'a dit
> que vous étiez très bien....." et du coup j'ai peur de décevoir. La chirurgie
> m'angoisse particulièrement car on n'est jamais sure qu'elle va se dérouler sans
> problème. J'ai décidé de déléguer cette partie de mon travail de plus en plus
> surtout quand on voit ce qu'on nous paye pour une extr avec alvéo et
> sutures....Franchement, si je pouvais changer de métier, je n'hésiterais
> pas.......

Vous avez le profil et le discours type du confrère que fait un burn out....
Changer de métier pourquoi pas, c'est envisageable mais pour faire quoi ? C'est une réflexion intéressante si elle est sérieuse et qu'elle débouche sur un vrai projet.
Le plus souvent le problème est bien moins grave qu'on le pense et c'est surtout une déformation de la perception de la situation qui explique nos angoisses.
Vous auriez bénéfice à participer à un groupe d'analyse de la pratique et à confronter votre situation avec d'autres confrères.
Pourquoi ne faites vois pas la démarche là est la question...


bartolomite

23/04/2016 à 17h15

Picodon écrivait:
-----------------
> On peut rajouter :
> - le stress des patients, particulièrement communicatif
> - le fait de s'entendre dire plusieurs fois par jour : "J'aime pas les
> dentistes!"
> - travailler dans une toute petite zone
> - toujours se demander si on a choisi la bonne solution et se torturer l'esprit
> même une fois les décisions prises

Je suis toujours amusé de lire ce genre de commentaires...
Tous les soignants sont confrontés à ces contraintes. Nous ne sommes pas les seuls ;-)
Qui aime la police, les huissiers, les percepteurs d'impôts ?
Pourquoi avoir choisi ce métier au départ est la VRAIE bonne question à se poser.
99 % de mes patients me confient qu'ils n'aiment pas les dentistes MAIS 99 % également qu'ils ne changeraient pour rien au monde de praticien au point qu'ils préfèrent attendre 1 mois que de venir quand je me fait remplacer !
IL ne faut donc pas confondre la peur Du dentiste qui nous est confiée avec le sentiment que nous porte individuellement les patients souvent très attachés à notre personne.
En AG les patients ne réagissent pas beaucoup mais le stress n'en est pas moindre...
Dans notre exercice les patients réagissent à la douleur, bougent, s'expriment. Mais le plus souvent ils sont bien patients et immobiles aussi ;-)
Notre perception du stress du patient est souvent très projective et liée à la culpabilité de faire mal.

Encore une fois c'est le manque de recul qui nous fait penser de travers. Nous avons besoin d'un regard extérieur et de partager avec d'autre confrères nos difficultés qui sont quotidiennes et réelles


bartolomite

23/04/2016 à 17h30

chicot29 écrivait:
------------------
> C'est bien ca le problème. On est exploités par la sécu quand on fait des soins
> opposables à un tarif de merde et de l'autre on passe pour des voleurs sur la
> prothèse.
>
> Ca franchement c'est la source principale de burn out. Surtout si on est
> consciencieux.
>
> Je pense que la meilleure attitude à adopter dans un tel système c'est de se
> branler de ce qu'on fait comme de l'an 40.

Exploités par la SS ?????
Je ne suis pas d'accord.
Est ce parce que j'ai travaillé dans d'autres corps de métier, en recherche et fait pas mal de boulot avant que je l'affirme sans doute.
Notre métier est bien rémunéré pour le nombre d'heures effectuées, sans gardes et sans trop de risque.
Nous restons des privilégiés dans le corps médical. Pour combien de temps encore c'est la question.

La question des soins opposable est sans fin et sans intérêt si on réfléchit au fait que les soins ne représentent que 20 % de nos revenus. Pourquoi s'irriter pour une si petite part de notre bénéfice ?
La vraie question c'est comment gérer les 80 % qui nous font vivre et qui imposent de notre part une réelle compétence en matière de vente et pourquoi ne pas le dire commerciale ?
La prothèse coûte cher c'est un fait et c'est ce qui nous permet de justifier en partie de notre "oeuvre sociale", les soins.
La question de l'argent pose problème à pas mal d'entre nous. Je ne suis pas à l'aise avec l'argent pour ma part mais j'ai appris à voir les choses de façon pratique et pragmatique.
Je ne me sens pas plus exploité que d'autres dans la mesure où TOUS les indépendants subissent une pression croissante depuis des années.
Par contre j'ai amélioré ma communication et la gestion de mon cabinet. Mes assistantes m'aident à me concentrer sur mon coeur de métier et me libèrent des tâches administratives notamment.

Le burn out n'a pas à voir avec les bénéfices du cabinet. Certains confrères gagnent beaucoup et se plaignent en permanence.
La question de la Précarité est centrale : ma situation est elle fragile ? Vais je perdre mes acquis ? Suis menacé ?

Par contre oui l'investissement personnel joue beaucoup. Les confrères très consciencieux, sérieux, investis, au sens moral élevé sont plus fragile. C'est un alsacien qui vous le dit ;-)

Encore une fois c'est une perception erronée de la situation qui fait souvent voir les choses comme négatives, mauvaises et menaçantes.
Notre profession sélectionne des personnalités assez exposées naturellement au burn out comme les prof ou les policiers.

J'ai souvent les mêmes échanges avec des policiers, des pompiers, des instituteurs,n des anesthésistes, des généralistes qu'avec des confrères dentistes ;-)


atrax

23/04/2016 à 17h50

bartolomite écrivait:
---------------------

> Nous restons des privilégiés dans le corps médical. Pour combien de temps encore
> c'est la question.
>
> La question des soins opposable est sans fin et sans intérêt si on réfléchit au
> fait que les soins ne représentent que 20 % de nos revenus. Pourquoi s'irriter
> pour une si petite part de notre bénéfice ?


Tout simplement par ce que ces 20% de bénéfice, me prennent 80% de mon temps. Honnêtement, je suis pas aussi doué que chicot, quand je fais un retraitement molaire, il me faut 1h45 et deux séances. Le fait de ne même pas gagner le smic horaire là dessus m'exaspère au plus haut point.
Et les discours du genre "on reste toujours des privilégiés" m’énervent encore plus.
Pas étonnant que la situation n'ait pas évolué si on attend le pire du pire pour se relever les manches.


super la dentisterie

23/04/2016 à 18h21

groupe de discussion? je ne connais pas mais je ne suis pas contre . ou faut il se renseigner?


Spix4ever

23/04/2016 à 21h48


> bartolomite écrivait:
> ---------------------
>
> > Nous restons des privilégiés dans le corps médical. Pour combien de temps
> encore
> > c'est la question.
> >
> > La question des soins opposable est sans fin et sans intérêt si on réfléchit au fait que les soins ne représentent que 20 % de nos revenus. Pourquoi s'irriter pour une si petite part de notre bénéfice ?


Parce que avec ce système pervers on finit par faire des actes non pas par indication thérapeutique mais pour rattraper des déficits engendrer par des soins.



Utilisateur banni

24/04/2016 à 22h24

coucou , je ne vais peut etre pas répondre a votre question , mais je vais vous exprimer ma vision des choses .J ai ete formee il ya presque 30 ans par des gens formidables , humainement formidable , pour 1 serment d'hypotrouducul , dont tout le monde s'en tape actuellement ...rentabilite , pognon , profitage (a l 'image de la bravitude ) du systeme ...bref on nous tire vers le bas , et vraiment ca j 'ai pas envie ..je souhaiterai donc 1 sursaut de tous mes confreres , mais en vrai , de gens qui me ressemblent et qui en ont assez ..Alors les abrutis qui veulent de l 'humour , je suis joignable et je peux vraiment vous descendre en vous regardant dans les yeux ...Ah oui au fait , je suis 1 consoeur


Capture d  cran 2015 03 12 12.28 - Eugenol
chicot29

25/04/2016 à 10h28

Spix4ever écrivait:
-------------------
>

> Parce que avec ce système pervers on finit par faire des actes non pas par
> indication thérapeutique mais pour rattraper des déficits engendrer par des
> soins.
>

Faut pas déconner.
Disons que dans certains cas le système fait pencher l'orientation thérapeutique vers la solution la plus délabrante.
Tu ne vas quand meme pas faire une endo sur une cavité petite ou moyenne non ?


Capture d  cran 2015 03 12 12.28 - Eugenol
chicot29

25/04/2016 à 10h40

bartolomite écrivait:
---------------------
>
> La question des soins opposable est sans fin et sans intérêt si on réfléchit au
> fait que les soins ne représentent que 20 % de nos revenus. Pourquoi s'irriter
> pour une si petite part de notre bénéfice ?

Franchement tu crois vraiment qu'en ne faisant que des soins conservateurs tu ferais 20 % de ton BNC ?
Voyons voir : endo molaire 1h : 81,74 euros. Ca m'étonnerais que ton cout horaire avec tes 2 assistantes soit inférieur à ca. -)
Le gamin qui arrive avec une grosse classe 1 sur une molaire combien de temps de traitement ?
En groupant les actes tu vas tout juste arriver à l'équilibre, équilibre qui va etre rompu quand tu vas faire des actes isolés.
Si tu ne fais que des soins conservateurs tu vas etre en déficit.


Capture d  cran 2015 03 12 12.28 - Eugenol
chicot29

25/04/2016 à 10h43

bartolomite écrivait:
---------------------

> Vous avez le profil et le discours type du confrère que fait un burn out....

Changes de profil. Travailles en n'en ayant plus rien à foutre de ce que tu fais. Ce système n'est pas fait pour toit il est fait pour des médiocres.


bartolomite

25/04/2016 à 10h49

super la dentisterie écrivait:
------------------------------
> groupe de discussion? je ne connais pas mais je ne suis pas contre . ou faut il
> se renseigner?

Bonjour

Bonne question
Les groupes d'analyse de la pratique réunissent des personnes pour parler d'un sujet qui "fait mal ou qui fait question" autours d'un ou de deux animateurs.
Ils se sont développés dans les années 50 avec un essort très important dans les années 70.
A partir des années 90 le phénomène diminue avec un développement croissant des TCC (thérapies comportementales et cognitives)
J'ai connu la technique dans les années 90 quand j'étais chercheur en milieu psy. Je travaillais sur la dépression et le sommeil.
Quand j'ai lâché la recherche pour faire médecine puis dentaire je me suis éloigné de la psy mais j'ai rapidement compris que notre métier associait 50 % de chirurgie et 50 % de psy !
D'où ma thèse sur un groupe de parole pour des étudiants en 5 ième année à l'époque.

Quand j'ai reçu la charge de l'enseignement de psychologie médicale à Lyon voilà 5 ans j'ai transformé le contenu du cours , trop psy et pas assez pratique pour des dentistes.
L'idée des groupes est revenu et notamment l'intérêt des jeux de rôle pour comprendre certaines situations que nous connaissons tous : conflit avec le patient qui trouve les soins trop cher, refus de coopération, tension avec l'équipe, surmenage, burn out, sensation de travailler pour la SS, démotivation, etc.
J'anime actuellement des groupes de parole et de jeux de rôle en parallèle de mon activité.
Vous pouvez me joindre en MP pour plus d'infos.


Capture d  cran 2015 03 12 12.28 - Eugenol
chicot29

25/04/2016 à 10h57

Question : un patient qui nait d'office avec un numéro de sécurité sociale est il responsable ou victime de ce système ?
C'est important car de cette réponse dépend la qualité des soins prodigués. -))))


Capture d  cran 2015 03 12 12.28 - Eugenol
chicot29

25/04/2016 à 11h09

bartolomite écrivait:
---------------------

> La question des soins opposable est sans fin et sans intérêt si on réfléchit au
> fait que les soins ne représentent que 20 % de nos revenus. Pourquoi s'irriter
> pour une si petite part de notre bénéfice ?
> La vraie question c'est comment gérer les 80 % qui nous font vivre et qui
> imposent de notre part une réelle compétence en matière de vente et pourquoi ne
> pas le dire commerciale ?

Oui donc ne pas se préoccuper de comment éviter les dégâts en bouche mais comment faire pour faire passer la pilule pour réparer ces dégâts en bouche.
On est là pour réparer des dégâts et c'est mieux quand il y en a un maximum. -)
C'est incroyable à quel degré cette séparation administrative entre soins opposables et à honoraire libres a perverti les esprits.


Capture d  cran 2015 03 12 12.28 - Eugenol
chicot29

25/04/2016 à 11h21

bartolomite écrivait:
---------------------

> La vraie question c'est comment gérer les 80 % qui nous font vivre et qui
> imposent de notre part une réelle compétence en matière de vente et pourquoi ne
> pas le dire commerciale ?

J'ai une idée. Trouver un soin opposable directement associé à 2 actes ED globalement bien remboursés par la sécu et les mutuelles.

1. Ca permet de ne pas trop stresser sur le temps imparti à réaliser le soin opposable.
2. le reste à charge maitrisé permet de ne pas etre trop compétent en matière de vente.


Reste plus qu'à trouver l'acte opposable et les 2 actes ED qui permettent cette configuration pour gérer en meme temps les 20% et les 80%.

Si une telle configuration est possible je pense qu'elle serait un bon remède face au burn out . -)

bartolomite une idée ? -)))


Capture d  cran 2015 03 12 12.28 - Eugenol
chicot29

25/04/2016 à 11h30

Ayé j'ai trouvé.


Extraction associé à un Stellite. -)
Merde ca marchait en NGAP mais plus en CCAM. Reste plus qu'un acte ED. -)
C'est pas ca. -)


Capture d  cran 2015 03 12 12.28 - Eugenol
chicot29

25/04/2016 à 11h31

Extraction associée à un implant ?

Non, reste à charge trop important sollicitant un effort trop important dans la" force de vente." -)
En plus 2 actes NPC et un ED seulement.


bartolomite

25/04/2016 à 12h17

chicot29 écrivait:
------------------
> bartolomite écrivait:
> ---------------------
>
> > Vous avez le profil et le discours type du confrère que fait un burn out....
>
> Changes de profil. Travailles en n'en ayant plus rien à foutre de ce que tu
> fais. Ce système n'est pas fait pour toit il est fait pour des médiocres.

Bonjour Chicot29

Prendre un tel pseudo c'st faire déjà preuve d'un humour grinçant ;-)

Le système je ne peux pas y faire grand chose.
Par contre je peux changer mon environnement de travail et surtout changer ma perception de mon travail dans un contexte sans aucun doute plus difficile que dans le passé (mais quelle profession a vu ses conditions s'améliorer depuis 30 ans ???)

Les médiocres.... la majorité des confrères ?
J'enseigne à des étudiants et je les trouve motivés, critiques et surtout bien plus réalistes que nous l'étions. Ils s'engagent moins facilement et sont plus prudents. Ont ils tort ?
Le niveau global a bien augmenté et ils sont mieux formés au niveau théorique mais ils manquent de pratique, la chose que nous maîtrisons le mieux.
Je ne trouve pas mes confrères médiocres mais découragés et inquiets comme beaucoup de français.
Dans mes groupes j'entends pas mal de plaintes mais en grattant un peu elles sont souvent plus en lien avec un soucis personnel qu'avec le cabinet (les enfants, un divorces, la peur de la mort, un sentiment injustifié de précarité)

Mon activité au cabinet, avec ses difficultés quotidiennes et ses frustrations alternant avec les succès me confrontent aux même questionnements que la plupart des confrères.
Je parle donc de ce que je connais car c'est aussi mon quotidien ;-)


Capture d  cran 2015 03 12 12.28 - Eugenol
chicot29

25/04/2016 à 12h31

bartolomite écrivait:
---------------------
> chicot29 écrivait:
> ------------------
> > bartolomite écrivait:
> > ---------------------
> >
> > > Vous avez le profil et le discours type du confrère que fait un burn out....
> >
> > Changes de profil. Travailles en n'en ayant plus rien à foutre de ce que tu
> > fais. Ce système n'est pas fait pour toit il est fait pour des médiocres.
>
> Bonjour Chicot29
>
> Prendre un tel pseudo c'st faire déjà preuve d'un humour grinçant ;-)
>
> Le système je ne peux pas y faire grand chose.
> Par contre je peux changer mon environnement de travail et surtout changer ma
> perception de mon travail dans un contexte sans aucun doute plus difficile que
> dans le passé (mais quelle profession a vu ses conditions s'améliorer depuis 30
> ans ???)

ben la dentisterie en matière de matos. -)

> Les médiocres.... la majorité des confrères ?

Je ne vise personne je constate que des soins opposables à un tarif de merde favorise la médiocrité. On peut etre bon et finir par faire des soins médiocres. -)

> Le niveau global a bien augmenté et ils sont mieux formés au niveau théorique
> mais ils manquent de pratique, la chose que nous maîtrisons le mieux.

Non, on peut faire pire qu'il y a 30 ans ? Tu sais les pavés de cours théoriques s'envolent ! -)))






Capture d  cran 2015 03 12 12.28 - Eugenol
chicot29

25/04/2016 à 12h31

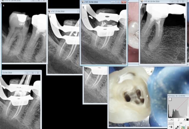
Tiens cas pratique. A ton avis c'est moi qui ait fait l'endo sur 46 ? -)

Ce genre de traitement c'est tous les jours que tu en vois. Coup de bol pas de peche.

Bien sur celui qui a fait ca réussit sa pratique en endo à la fac tu lui mets 20/20 ? -)))


Alors oui ce système encourage la médiocrité. Pour éviter le burn out il faut en avoir rien à secouer.

Capture d e cran 2016 04 25 10.25 - Eugenol

P2eqdh3csim6s7nb09ktdq3e7ev8 - Eugenol
barbabapat

25/04/2016 à 13h04

bartolomite écrivait:
---------------------

>
> Le système je ne peux pas y faire grand chose.
> Par contre je peux changer mon environnement de travail et surtout changer ma
> perception de mon travail dans un contexte sans aucun doute plus difficile que
> dans le passé (mais quelle profession a vu ses conditions s'améliorer depuis 30
> ans ???)
>

On serait dans le cadre de troubles musculo squelettiques, la question de l’amélioration des postes de travail et des conditions de travail aux frais des employeurs ne se poserait pas.

Pour changer leurs perceptions de leurs environnement de travail, combien de confrères et consœurs sombrent dans l'alcoolisme et les médicaments.

Oui le systeme est en cause. Vouloir faire du social sur un systeme qui détruit des personnes, c'est comme poser un cautère sur une jambe de bois pendant que l'infection progresse sur la seconde jambe. Au moins lorsque les deux jambes auront été enlevée, le bondex suffira.


bartolomite

25/04/2016 à 14h24

J'ai de la peine à suivre

> On serait dans le cadre de troubles musculo squelettiques, la question de
> l’amélioration des postes de travail et des conditions de travail aux frais des
> employeurs ne se poserait pas.
>
Les TMS touchent en effet pas mal de confrères
C'est un vrai problème
Souvent les postures sont mauvaises et la durée des temps de travail en position fixe trop longue.
J'ai changé de siege voila 15 ans, refais du sport, modifier l'organisation de mon planning, pris des pauses régulières, pris une seconde assistante etc


> Pour changer leurs perceptions de leurs environnement de travail, combien de
> confrères et consœurs sombrent dans l'alcoolisme et les médicaments.

J'essaie de comprendre car la phrase est un peu contradictoire.
Changer de perception fait sombrer dans l'alcool ?
J'ai 10 ans de recul sur le sevrage médicamenteux en milieu psy, notamment des benzodiazépines, et autres anxiolytiques. J'étais chercheur alors .
Le vrai problème réside dans la capacité de la personne à supporter les contraintes ou à s'y soustraire.
On peut encaisser longtemps et craquer d'un coup.
On peut fuir les problèmes.
Tout est possible en fait.
Chaque cas est différent et toute généralisation abusive et caricaturale.
L'addiction correspond à un type de personnalité particulière.
Tous les confrères ne boivent pas et ne sont pas sous Prozac !
Mais combien de confrères en difficulté font une démarche de demande d'aide ?
C'est souvent le plus difficile que de demander de l'aide quand on va mal ....

Mon expérience en humanitaire m'a fait rencontrer nombre de confrères dans toutes les spécialités qui noyaient leur dépression dans un surinvestissement dans des actions "altruistes et humanitaires" au point que j'en suis arrivé à me demander qui soignait l'autre au fond.
Cela rejoint votre proposition suivante.

>
> Oui le systeme est en cause. Vouloir faire du social sur un systeme qui détruit
> des personnes, c'est comme poser un cautère sur une jambe de bois pendant que
> l'infection progresse sur la seconde jambe. Au moins lorsque les deux jambes
> auront été enlevée, le bondex suffira.

Je continue à faire du social "raisonné" tous les jours au cabinet parce que c'est mon choix initial de soignant et que j'ai bien identifié cette part de ma personnalité ;-)
J'ai plaisir à soigner mon prochain (j'aurais pu être curé peut être), à me rendre utile selon MES critères, à soulager la douleur.
Cela fait il de moi un saint ? Surement pas !

Est ce que je dois pour autant sacrifier ma santé à et idéal ? non plus !

Tous les soignants ont une fonction sociale
Tous les soignants connaissent la fonction apostolique
Mais tous les soignants ne le vivent pas mal ;-)

Ce post est visiblement lu par pas mal de monde mais seuls une dizaine s'expriment.
Je suis curieux de l'avis des silencieux car je commence à connaitre celui des autres ;-)



Capture d  cran 2015 03 12 12.28 - Eugenol
chicot29

25/04/2016 à 14h53

bartolomite écrivait:
---------------------


> J'ai plaisir à soigner mon prochain (j'aurais pu être curé peut être), à me
> rendre utile selon MES critères, à soulager la douleur.
> Cela fait il de moi un saint ? Surement pas !
>

Moi aussi j'adore soulager la douleur. Parce que ca veut dire endo et ....?-)))
Mais aussi on peut soigner sans soulager de douleur et ca c'est nettement moins intéressant. -)

Moralité attendre la douleur pour soigner.-))))
Cette lueur de gratitude dans le regard du patient qui n'a plus mal, c'est ca qui me fait avancer. -)))

Quel système de merde ! -)


P2eqdh3csim6s7nb09ktdq3e7ev8 - Eugenol
barbabapat

25/04/2016 à 15h15

Les Tms ne touchent pas que les dentistes. Une entreprise où un poste de travail pose un problème sera obligé de faire modifier le poste de travail en question. Elle ne pourra s' en tirer en faisant des réunions de groupe sur les risques de pathologies.

Au vus de la durée de travail sous alcoolisme, avant que le conseil de l'ordre ne soit informé ou ne traite l'affaire, les statistiques posent pas mal de problèmes. Dès la fac, on avait déjà des étudiants sous traitement médicamenteux déjà en souffrance.