Cookie Consent byPrivacyPolicies.comAchat CEREC Bluecam + MCXL OCCASION - Eugenol

Achat CEREC Bluecam + MCXL OCCASION

DentaMania

26/04/2016 à 21h06

Bonjour,

Je rachète mon premier cabinet début 2017 et je projette d'acheter un CEREC d'occasion afin de marquer une rupture avec la dentisterie pratiquée précédemment dans le cabinet.
J'ai trouvé pas mal d'offres en Allemagne pour une BlueCam + Unineuse MCXL dans les 20.000€ (je ne souhaite pas investir dans les nouvelles versions dès le départ).

Je vous sollicite pour savoir quoi contrôler lors de cet achat...


Generique fraisage r2rxmm - Eugenol
lardonbis

26/04/2016 à 21h17

J'invoque chicot29 !


Capture d  cran 2015 03 12 12.28 - Eugenol
chicot29

26/04/2016 à 21h30

Chouette, une dentisterie de rupture dans un système collectiviste. -)
J'avoue avoir essayé mais le système il est plus fort que toi. -)
Bosses ton endo et tes tailles empreinte ic coiffe dans la séance ca va mieux se passer. -)


DentaMania

26/04/2016 à 22h47

Je suis en zone très sous doté, il y a moyen d'imposer sa dentisterie!! Sinon c'est chez Jean Mich d'à côté qui fera du lentulo pété + IC + Couronne dans la séance (ou presque) le tout remboursé en fonction de la moutouelle :)


Capture d  cran 2015 03 12 12.28 - Eugenol
chicot29

26/04/2016 à 23h15

Vas y imposes. -)
Tu sais que tu n'es pas obligé d'utiliser des lentulos pour faire une endo. Si tu veux jean mich peut t'expliquer comment faire-)
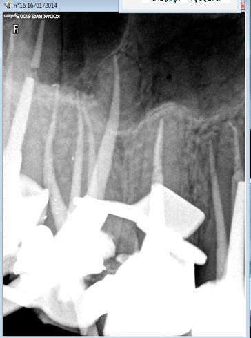
Tiens un onlay cerec qui s'est transformé en endo à la jean mich. Parce que ca mon pote tu vas en avoir. -)

Capture d e cran 2016 04 26 21.19 - Eugenol

Capture d  cran 2015 03 12 12.28 - Eugenol
chicot29

26/04/2016 à 23h27

Du coup jean mich a évité de passer par la case cerec pour traiter la 16. -)

Capture d e cran 2016 04 26 21.25 - Eugenol

Vw campersurfvan bmnk1q - Eugenol
enlaye

26/04/2016 à 23h28

DentaMania écrivait:
--------------------
" Je suis en zone très sous doté, il y a moyen d'imposer sa dentisterie!! "

on attendait que toi , pour la rupture :-))


DentaMania

27/04/2016 à 01h36

J'ai l'impression qu'on se fout de ma gueule là...
OK je débute dans le métier, mais j'ai envie de me mettre à l'empreinte optique direct, pour pas louper le train en marche.


Vw campersurfvan bmnk1q - Eugenol
enlaye

27/04/2016 à 02h01

meme dans les grandes lignes ,il n'y a pas que des 1eres classes :-))


Capture d  cran 2015 03 12 12.28 - Eugenol
chicot29

27/04/2016 à 02h56

DentaMania écrivait:
--------------------
> J'ai l'impression qu'on se fout de ma gueule là...
> OK je débute dans le métier, mais j'ai envie de me mettre à l'empreinte optique
> direct, pour pas louper le train en marche.

Non, on te prévient pour t'éviter des désillusions. L'empreinte optique n'est pas du tout adaptée à notre nomenclature à la con. Tous les voyants sont au rouge en ce qui concerne l'avenir de notre profession et ca n'est pas le moment de se lancer dans des achats couteux qui au final n'apportent que de la qualité et de la précision en plus. Qualité qui sera à peine perceptible par nos patients et ne sera jamais prise en compte par la sécu et les mutuelles du fait que leur principal objectif est de faire baisser nos honoraires.
Le train va avancer mais pas dans un pays qui a fait le choix d'un système collectiviste de santé. Je peux me tromper mais 30 ans de dentisterie dans ces conditions et aucune évolution à l'horizon me font penser que cette évolution de la dentisterie ne touchera que les 5 % de la population francaise qui aura encore les moyens de se la payer en dehors des remboursements sécu et mutuelle.
Maintenant si tu veux faire joujou au cabinet c'est ce qu'il te faut mais ca va entamer sérieusement ta trésorerie. -)


Vw campersurfvan bmnk1q - Eugenol
enlaye

27/04/2016 à 09h47

et encore ce que te dit chicot est généraliste .
dans une zone sous dotée ,où l'argent ne coule pas a flot , tu risques de favoriser l'exclusion en ne proposant que des ttt d'exception .
pourras tu supporter de trier tous ces gens qui t' attendent comme un soignant providentiel et qui espèrent s'en sortir ?
ç est la première question à se poser .


Capture d  cran 2015 03 12 12.28 - Eugenol
chicot29

27/04/2016 à 10h20

Oui, mais à Chateau Chinon ils sont demandeurs de traitements d'exception non remboursés avec un reste à charge bien conséquent en ce moment. -)))


Hiboux72

27/04/2016 à 11h42

Salut dentamania; je suis un peu dans la même situation que toi, zone sous dotée et zrr, et pourtant dernières technologies. Nous faisons de l'usinage et je peux d'assurer que ça se sait à 70 km à la ronde. Les gens viennent de loin, font souvent plus de 4O minutes de route pour venir, ils apprécient énormement de ne venir qu'une seule fois pour l'endo et la pause de la couronne, mais globalement pour l'ensemble du traitement quand c'est possible. Beaucoup d'agriculteur qui prennent la journée et on en fait le maximum. Le bouche à oreille marche bien car dans les petits bleds tout se sait " oui moi ! le dentiste ! il m'a tout fait en deux séances c'était plié"
Pour les agriculteurs qui bossent comme des dingues le temps c'est de l'argent !
Et comme tout se sait, tu as intérêt a étre très bon parce que dés que tu foires un truc ça se sait aussi ! tu recolles pas un inlay/onlay 2 fois sinon le mec qui se tape 1h30 de bagnole va t'en vouloir !

MAIS le problème c'est qu'un achat comme ça faut que ca tourne sinon ça vaut pas le coup. Si vous etes plusieurs c'est intéressant mais si tu es tout seul je ne suis pas sure que tu arrives à le faire tourner tous les jours ! De plus, la modélisation, le maquillage et l'usinage c'est chronophage ++ il te faut absolument déléguer et pour cela il te faut ou un prothésiste salarié ou une secrétaire/prothésiste !
Penses également qu'il va te falloir acheter un stock de bloc avec différentes teintes... et un stock de fraises et de la poudre et le liquide pour lubrifier et ... et ...

Bref pour résumer :
- Tu es tout seul tu prends uniquement une cam, tu auras l'effet wahou pour le patient mais pas les emmerdes de l'usinage ! et crois moi y en a beaucoup, changement du filtre, changement des fraises, réseau qui plante en plein usinage, le bruit ... etc !
- vous etes plusieurs et vous avez quelqu'un pour déléguer les taches qui ne se font pas au fauteuil : tu peux prendre l'ensemble.


Capture d  cran 2015 03 12 12.28 - Eugenol
chicot29

27/04/2016 à 12h34

Hiboux72 écrivait:
------------------

> - Tu es tout seul tu prends uniquement une cam, tu auras l'effet wahou pour le
> patient mais pas les emmerdes de l'usinage !

Je crois que le patient préfère " l'effet wahou" de baisse de reste à charge grace à l'inlay core. -)))


Images jm2g2g - Eugenol
dr_0le

27/04/2016 à 14h14

sérieusement chicot.. quelle est ta conso annuelle de gutta??? t'as un semi remorque qui te livre en début d'année?? tu gère comment les cartons dans la salle de stock??

--
You can't always get what you want..


Generique fraisage r2rxmm - Eugenol
lardonbis

27/04/2016 à 14h19

en exclusivité une photo du jardin de chicot29

Hevea eo0jpd - Eugenol

Capture d  cran 2015 03 12 12.28 - Eugenol
chicot29

27/04/2016 à 15h06

Aux colleurs fous. Vous collez parce que vous aimez ca ou parce que c'est l'endo qui vous repousse ? -)
Je dis ca parce qu'autrefois j'étais dans cette situation. le drame après 10 mn de curetage de dentine ramollie que de faire une effraction pulpaire. -)


Generique fraisage r2rxmm - Eugenol
lardonbis

27/04/2016 à 15h26

pareil j'ai longtemps souffert de conservationite.
Heureusement une nomenclature adaptée à su me remettre dans le droit chemin.
Mes patient en sont très heureux.

D’ailleurs je viens de découvrir des fraises pour bague rouge avec des grains étonnamment gros.


Vw campersurfvan bmnk1q - Eugenol
enlaye

27/04/2016 à 15h35

lardonbis écrivait:
-------------------
" en exclusivité une photo du jardin de chicot29 "

whaa ç t 'enc.... il est trop fort !
hahaha ça va que ç est toi :-)))


G-P

27/04/2016 à 18h09

Un jour peut être chicot refera des onlay... quand il se sera déconventionné avec nous.


Utilisateur banni

27/04/2016 à 19h29

DentaMania écrivait:
--------------------
> J'ai trouvé pas mal d'offres en Allemagne pour une BlueCam + Unineuse MCXL dans
> les 20.000€ (je ne souhaite pas investir dans les nouvelles versions dès le
> départ).

Raaaf ça chambre ! :-)

Ça part d'un bon sentiment l'histoire de ton cerec. Mais faut en poser des onlays pour rentabiliser le truc !
si tu veux faire des onlays tu peux les faire faire par ton prothésiste qui lui aura investi dans ce type de machine. Le résultat sera le même pour le patient. Et surtout tu économises 20 000 balles que tu peux investir autre part (par exemple l'aménagement d'une salle de chir, la déco de ton cab, une pano ...). Tu peux faire de la dentisterie esthétique sans pour autant investir dans une machine comme ça.


Generique fraisage r2rxmm - Eugenol
lardonbis

27/04/2016 à 20h17

c'est bien le malheur... les investissements les plus utiles ne se voient pas.
Tu augmentes facilement la qualité perçu par le patient avec 2000€ d’écrans qui flashent autour du fauteuil. Ta formation de micro-dentisterie en suède à 30000 € ou ton system B c'est moins glamour :)


Capture d  cran 2015 03 12 12.28 - Eugenol
chicot29

27/04/2016 à 21h02

lardonbis écrivait:
-------------------
Ta formation de micro-dentisterie en suède à 30000
> € ou ton system B c'est moins glamour :)

Ca c'est sur retour sur investissement garanti ! Vous avez fait quoi là ? Je vois rien. Indu ! -)))
Système B inutile aussi pour éviter une pèche que vous n'aurez jamais ? Invisible aussi ! -)


holeinone

28/04/2016 à 01h59

Je fais du Cerec depuis plus de 21 ans.
Je pensais comme toi que cela allait donner une image high-tech à mon cabinet.
Et ben, avec le recul, je dirais aujourd'hui que c'est pas comme cela que ça marche dans notre métier !
"En général", les gens ne viennent pas chez nous parce qu'on est plus high tech que nos concurrents.

C'est pas parce que je faisais des couronnes en une séance par CFAO que les gens allaient trouver ça incroyablement extraordinairement génial et allaient revenir pour faire toute leur bouche ainsi !
Ca m'a ramené quelques clients mais c'est tres relatif !

Les patients viennent chez toi pour des raisons complexes et variées.
Il suffit de regarder ce que certains dentistes font comme médiocre qualité, et pourtant, les patients te parleront en terme élogieux de celui qui leur a fait cela...
Dis toi bien que ta qualité ne sera quasiment jamais reconnu ! C'est triste mais c'est ainsi.

Donc si tu veux te lancer dans du Cerec, ne croie pas que cela va booster ton cabinet.
Regarde plutôt tous les inconvénients de cette technique : chronophage, panne onéreuse, resultat esthétique discutable, rentabilité peu évidente, etc...

C'est sûr qu'à 20000 euros, la rentabilité semble plus intéressante. Mais.... Chronophage, etc...
Mais vu l'arrivée des nouvelles technologies, je te conseille d'investir dans une bonne caméra 3D qui te permettra de faire beaucoup plus de choses que le Cerec qui est un système totalement prioritaire et donc fermé.
Plus tard, tu pourras ensuite acheter une usineuse type dwx4 de chez Roland qui te permettra pour 20000 euros de faire de l'usinage de temps en temps pour le fun.

En conclusion, si c'est une image high tech que tu veux acheter en prenant un Cerec, tu te goures !

Le tuc qui me créer la meilleure acceptation de devis, c'est une simple caméra endo buccale : le patient comprend vite le souci qu'il a et accepte le travail (si ton tarif lui semble normal....)
C'est pas le Cerec qui te fera augmenter ton acceptation de devis !
Une pano y arrive mieux que le Cerec.
Par contre, avec les nouvelles caméras, on va pouvoir montrer en 3D la bouche complète et je pense que ce sera encore mieux que la simple caméra endo buccale pour augmenter l'acceptation de devis.


Capture d  cran 2015 03 12 12.28 - Eugenol
chicot29

28/04/2016 à 02h36

Excellent résumé. J'aurais pas dit mieux.


12...