Cookie Consent byPrivacyPolicies.comCamera intrabuccale 1/4 Sony CCD MD960u - Eugenol

Camera intrabuccale 1/4 Sony CCD MD960u

Capture d  cran 2015 03 12 12.28 - Eugenol
chicot29

26/12/2016 à 08h00

Hokusai écrivait:
-----------------
> chicot29 écrivait:
> ------------------
>
> > Prends les 2. c'est noel ! après tu fais des endos express un canal de plus
> tu
> > n'en a rien à secouer. -))
> > C'est moche un amalgame hein ? -)))
>
> En effet, ca mérite pas une belle photo.
> Ca t'aide pour communiquer la teinte des dents au protho la cam ?
> Tu fais la sauvegarde de ton logiciel carestream ? Tu dois être à 80Go non ? :)

Un peu plus. 118 gO.
4 Sauvegardes hebdomadaires sur wd ext2 ultra my cloud ( 2 fois 4 gO en mirroir) et 1 sauvegarde sur un autre support les autres jours.

--
En cas d'échec des négociations conventionnelles, seriez-vous prêt à suivre la promotion d'un déconventionnement massif de la profession par les syndicats représentatifs ? OUI - NON
Participez, anonymement, sur https://goo.gl/forms/nAO0htnsVmxotjYm1

Capture d écran 2016 12 26 07.53 - Eugenol
Capture d écran 2016 12 26 07.54 - Eugenol

Utilisateur banni

27/12/2016 à 20h27

fistule 69 écrivait:
--------------------
> Un petit coucou de ma MD740 !
> Junior pour 50 boules c'est vraiment noël !
>
> Joyeux noël à tous !

Je trouve que pour 50 balles c'est pas mal quand même !


Colleforte zpzpux - Eugenol
Parodent

27/12/2016 à 22h36

junior® écrivait:
-----------------
> fistule 69 écrivait:
> --------------------
> > Un petit coucou de ma MD740 !
> > Junior pour 50 boules c'est vraiment noël !
> >
> > Joyeux noël à tous !
>
> Je trouve que pour 50 balles c'est pas mal quand même !

Ahhhh... Je te reconnais bien là junior® ;-)


Colleforte zpzpux - Eugenol
Parodent

04/01/2017 à 14h47

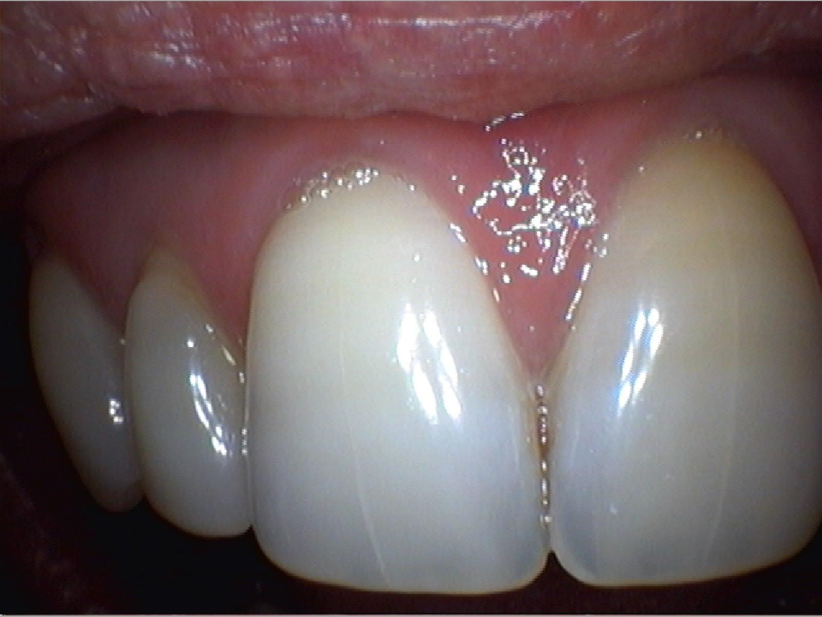
J'ai reçu la Camera intrabuccale 1/4 Sony CCD MD960u ce matin. Pas encore eu trop le temps de me pencher sur les réglage, mais voici ce que ça donne une fois installée et branchée...

Je trouve cela pas mal du tout pour une camera à 200€! :-)
Beaucoup mieux que la MD740, non?

Photo 1 wyadl9 - Eugenol
Photo 2 gdlgjr - Eugenol
Photo 3 uvg52p - Eugenol
Hd 1 dxojp5 - Eugenol
Hd 2 hn1j45 - Eugenol

Colleforte zpzpux - Eugenol
Parodent

11/01/2017 à 20h15

Quelques photos prises ce matin au cours d'une longue séance de soins. Je posterais un test complet de la caméra bientôt pour ceux que ça intéresse...

Photo 1 virtfa - Eugenol
Photo 2 pakic3 - Eugenol
Photo 6 kgimh7 - Eugenol
Photo 4 auyf82 - Eugenol
Photo 8 eumyiv - Eugenol
Photo 3 qmzh3l - Eugenol

4a338550 6a5b 47ea b2a7 d3cb675c5076 oni5gh - Eugenol
fistule 69

11/01/2017 à 22h16

Je trouve que tes images "brouillent" , j'avais le même type d'image, je t'assure que la md740 fonctionne mieux.
😷📸😎


Colleforte zpzpux - Eugenol
Parodent

11/01/2017 à 22h29

fistule 69 écrivait:
--------------------
> Je trouve que tes images "brouillent" , j'avais le même type d'image, je
> t'assure que la md740 fonctionne mieux.
> 😷📸😎

A priori la résolution native de la caméra est de 640*480, donc pas du tout HD... Les soit disant 2 mega pixels sont obtenus par upscaling purement logiciel.

C'est une petite supercherie que beaucoup de caméra intra-orale chinoise utilise.

En cherchant, j'ai trouvé deux autres modèles qui offriraient une meilleur image :
- MD-830UF (particularité = bouton permettant de zoomer)
- CF-682

mais c'est aussi des caméra VGA (640*480) seulement (Output: Video, USB, VGA).

 572 nh5uuw - Eugenol

4a338550 6a5b 47ea b2a7 d3cb675c5076 oni5gh - Eugenol
fistule 69

22/01/2017 à 21h53

Spécial Gérard !
À la fin de la page 1
😷😜


Photo pluton1b h9n4ea - Eugenol
pluton

22/01/2017 à 22h28

franchement...une caméra c'est fait pour filmer...or la qualité d'image que vous voulez comparer...c'est les photos prises avec...

bein désolé de vous dire çà mais les images, même si elles sont pas trop mal pour celles de chicot, sont dégueulasses par rapport à ce que vous pouvez avoir avec un apn muni d'un objo macro et un flash annulaire et un petit jeu de miroirs...

pour les amoureux des très gros plans et l'endo, le même boitier monté sur ( via un adaptateur) le microscope op vous donnera des images d'une qualité et d'une netteté incomparable

vous savez, je fais aussi de la vidéo avec un équipement dédié et intégré à mon scialytique...et je peux vous assurer que même cet équipement full HD est incapable de rivaliser avec mon apn pour la photo...
faudrait amha au grand minimum du 4K pour avoir quelque chose d'à peu près correct...et encore faudrait pas avoir à zoomer ou projeter sur un très grand écran...


4a338550 6a5b 47ea b2a7 d3cb675c5076 oni5gh - Eugenol
fistule 69

22/01/2017 à 22h36

On est bien d'accord Pluton, c'est de la merde, mais immédiate en acquisition et très pratique pour caser une CCM !
C'est un peu comme comparer une Rx argentique et une RVG.
J'ai remonter le post pour un copain nonolien qui voulait savoir comment on gère le double mélange à l'Impregum. Simplement pour montrer le berceau gingival sans saignement.
Je te sens tendu le dimanche soir mon Pluton, non?

Bonne soirée à tous et bon courage pour demain !
😷😤😉😜


Colleforte zpzpux - Eugenol
Parodent

22/01/2017 à 23h44

pluton écrivait:
----------------
> franchement...une caméra c'est fait pour filmer...or la qualité d'image que vous
> voulez comparer...c'est les photos prises avec...
>
> bein désolé de vous dire çà mais les images, même si elles sont pas trop mal
> pour celles de chicot, sont dégueulasses par rapport à ce que vous pouvez avoir
> avec un apn muni d'un objo macro et un flash annulaire et un petit jeu de
> miroirs...
>
> pour les amoureux des très gros plans et l'endo, le même boitier monté sur ( via
> un adaptateur) le microscope op vous donnera des images d'une qualité et d'une
> netteté incomparable
>
> vous savez, je fais aussi de la vidéo avec un équipement dédié et intégré à mon
> scialytique...et je peux vous assurer que même cet équipement full HD est
> incapable de rivaliser avec mon apn pour la photo...
> faudrait amha au grand minimum du 4K pour avoir quelque chose d'à peu près
> correct...et encore faudrait pas avoir à zoomer ou projeter sur un très grand
> écran...

On est bien d'accord avec toi Pluton.

Il n'a jamais été ici question de comparer une photo intrabuccale prise avec une camera intraorale et un réflex avec un objectif macro etc. De même qu'il serait inconcevable de comparer un compact et un réflex...

Ces appareils ne jouent pas dans la même catégorie.

Cela dit chacun de ces appareils (photo et/ou video) peut avoir une utilité, selon la qualité de photo que l'on recherche ou au contraire la rapidité et la facilité d'utilisation que l'on recherche.

L'idée était de comparer des caméra intra buccale low cost à celles beaucoup plus onéreuses qui existent sur le marché... Leur prix exorbitant est-il justifié ou pas?!


12