Cookie Consent byPrivacyPolicies.comFaire Inlay core avant l'endo - Eugenol

Faire Inlay core avant l'endo

Utilisateur banni

28/12/2016 à 18h03

j'ai pas retrouvé le post de celui qui avait posé la question :
Pourquoi ne pas faire IC avant endo ?

-> et ben voilà un exemple :
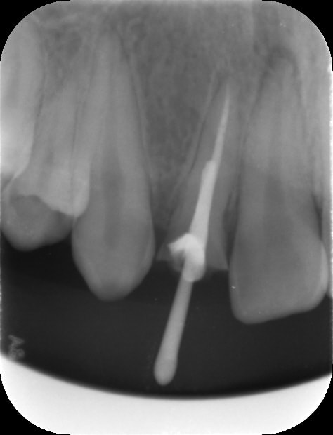
- incisive latérale cassée suite à un gros choc vue en urgence
- 1er RDV : j'ai pas trop de temps en urgence : du coup j'anesthésie , je dépulpe ,je n'obture pas , j'irrigue ET je fais ma préparation pour Inlay core. Je prends ensuite l'empreinte pour l'inlay core
- 2ème RDV : je fais le ttt endo complet puis je désobture la gutta pour poser mon Inlay Core dans la même séance que mon endo et je fais dans la foulée ma couronne provisoire coque polycarbonate de teinte plus claire

V2wetk1d6vhcayhrgajo - Eugenol
Eenum2jhm9ti9wllqgz7 - Eugenol
Lzjlzavk0qfdlh42ouqx - Eugenol

Utilisateur banni

28/12/2016 à 18h11

Ça bug

Img 0641 jwki7k - Eugenol

carident

28/12/2016 à 18h16

Il m'a pas l'air très bien adapté ton inlay-core... pas très bon sur le long terme!


Utilisateur banni

28/12/2016 à 18h41

Tu veux dire à l'apex de l'inlay core ?
Je prendrai une ptite photo de l'inlay core dans sa partie coronaire pour te montrer que c'est adapté 😊😊😊


Tozzi

28/12/2016 à 19h10

Tu dis que tu n'as pas le temps à ton 1er rdv.
Or, tu as le temps de dépulper, prendre l'empreinte de l'ic et de faire le devis et d'expliquer tout ?


Utilisateur banni

28/12/2016 à 19h32

Bin j'aime bien irriguer à mort ... et je n'avais pas le temps de bien irriguer et d'obturer.
Et puis je me suis souvenu que quelqu'un avait posé une question sur ça. Du coup je me suis dit : pourquoi pas voir ce que ça donne .
Et je confirme c'est beaucoup plus intelligent de faire endo puis inlay core plutôt que inlay core puis endo 😊 Encore une belle idée à la con😊


Nouveau image bitmap fz77zh - Eugenol
Sethef

28/12/2016 à 20h32

Moi j aime bien l idée, ça évite l écueil de la temprisation, avec tout de même un risque de perte de perte de précision du tenon...
Dans le même goût, il m est arrivé plus d'une paire de fois de faire l endo le jour de la pose de la couronne, généralement sur des dents préparées vivantes et pour lesquelles le pronostic pulpaire me paraissait après coup foireux. Avantage, l ouverture de chambre est alors réellement minimale.


Utilisateur banni

28/12/2016 à 20h54

par contre regardez voir l'incisive centrale : on dirait qu'elle a dégusté aussi à l'apex
À moins que ça une conséquence du choc ?!
Je vais faire un test au froid sur la centrale ça me paraît louche


Capture d  cran 2015 03 12 12.28 - Eugenol
chicot29

28/12/2016 à 21h48

junior® écrivait:
-----------------
> Bin j'aime bien irriguer à mort ... et je n'avais pas le temps de bien irriguer
> et d'obturer.
> Et puis je me suis souvenu que quelqu'un avait posé une question sur ça. Du coup
> je me suis dit : pourquoi pas voir ce que ça donne .
> Et je confirme c'est beaucoup plus intelligent de faire endo puis inlay core
> plutôt que inlay core puis endo 😊 Encore une belle idée à la con😊

Sauf que c'est mieux d'obturer dans la séance.

--
En cas d'échec des négociations conventionnelles, seriez-vous prêt à suivre la promotion d'un déconventionnement massif de la profession par les syndicats représentatifs ? OUI - NON
Participez, anonymement, sur https://goo.gl/forms/nAO0htnsVmxotjYm1


moritooth

28/12/2016 à 22h24

En tout cas pour une bio c'est pas le top au niveau septicité. A moins que prenne l'empreinte sous digue...


Utilisateur banni

28/12/2016 à 22h45

oui c'est mieux d'obturer dans la séance... mais bon là c'était une urgence. Alors faire une endo en 10-15 min avec risque de ne pas avoir suffisamment désinfecter ça me plaisait guère. Et pour la digue : très sincèrement en leur expliquant bien les patients ne ferment pas la bouche, pas de contamination salivaire. De toute façon je leur gueule dessus si ils commencent à peine à fermer la bouche 😊.

Mais c'est vrai lors du premier RDV j'ai fait mon mordu pour l'inlay core et là forcément il peut avoir contamination vu que le canal est complètement desobturé.
Je pense pas que ça soit la meilleure solution de faire inlay core puis endo. En plus c'est beaucoup plus simple de faire l'inverse endo puis inlay core. Perso je ne retenterai pas ce type d'opérations


carident

28/12/2016 à 23h37

junior® écrivait:
-----------------
> oui c'est mieux d'obturer dans la séance... mais bon là c'était une urgence.
> Alors faire une endo en 10-15 min avec risque de ne pas avoir suffisamment
> désinfecter ça me plaisait guère. Et pour la digue : très sincèrement en leur
> expliquant bien les patients ne ferment pas la bouche, pas de contamination
> salivaire. De toute façon je leur gueule dessus si ils commencent à peine à
> fermer la bouche 😊.
>

Alors tu as estimé que, malgré la compliance de ton patient qui n'ose refermer la bouche de peur de s'en prendre une, tu n'avais pas suffisamment de temps pour bien décontaminer sa dent... Et, à ce moment là tu t'es dit que, faute de pouvoir la décontaminer suffisamment, tu allais y introduire un peu de polyvinylsiloxane agrémenté d'un tenon, d'un peu de salive, et accessoirement beaucoup de bactéries jusqu'à l'apex? C'est bien ça? Arrêtes moi si j'ai mal compris... :-))))


rat

29/12/2016 à 03h48

on fait comme on peut


Utilisateur banni

29/12/2016 à 07h44

carident écrivait:
------------------
> junior® écrivait:
> -----------------
> > oui c'est mieux d'obturer dans la séance... mais bon là c'était une urgence.
> > Alors faire une endo en 10-15 min avec risque de ne pas avoir suffisamment
> > désinfecter ça me plaisait guère. Et pour la digue : très sincèrement en leur
> > expliquant bien les patients ne ferment pas la bouche, pas de contamination
> > salivaire. De toute façon je leur gueule dessus si ils commencent à peine à
> > fermer la bouche 😊.
> >
>
> Alors tu as estimé que, malgré la compliance de ton patient qui n'ose refermer
> la bouche de peur de s'en prendre une, tu n'avais pas suffisamment de temps pour
> bien décontaminer sa dent... Et, à ce moment là tu t'es dit que, faute de
> pouvoir la décontaminer suffisamment, tu allais y introduire un peu de
> polyvinylsiloxane agrémenté d'un tenon, d'un peu de salive, et accessoirement
> beaucoup de bactéries jusqu'à l'apex? C'est bien ça? Arrêtes moi si j'ai mal
> compris... :-))))

Oui t'as mal compris mais je ne t'en veux pas , y en a qui ont besoin de plus de temps pour comprendre les choses😊. J'ai irrigué. Donc quand j'ai fait mon empreinte et ben y avait de l'hypochlorite.
Donc l'hypochlorite puis tenon calibré puis par dessus silicone, si y a de la salive qui se met dans le canal je veux bien me les couper en fines tranches. Et l'empreinte c'est avec tenon à empreinte et non du silicone balancé dans les canaux . Et j'ai préféré avoir un 2eme RDV pour vraiment bien irriguer .
Mais peut être que toi t'aurais fait l'endo en 10 min vu que t'as l'air d'être doué pour comprendre et faire les choses vite 😊. (Sauf que petit rappel pour Carident il faut minimum 20 min de présence d'hypochlorite pour ça soit efficace).


RépondreCiter
6szjws718sv1jksw54v4mpj3a6cu - Eugenol
vulpi

29/12/2016 à 08h39

Il fut une époque où nous les dinosaures étions ignorants.
Nous traitions l'urgence, lors de la première séance, puis faisions l'endo ultérieurement. Comme nous étions cons, nous mettions des pansements provisoires à l'eugenolate de zinc.
Quelles en étaient les conséquences, bah... comme nous ne savions pas qu'il ne fallait pas agir ainsi, bin les conséquences... comment dire... on les cherche toujours.
D'un autre coté nous faisions des obturations à l'amalgame d'argent, des incompétents je vous dis!



Ah! Le professeur Nimbus et ses assistants...


Utilisateur banni

29/12/2016 à 08h59

C'est à dire que quand Carident a une urgence de 10 minutes entre deux patients avec une pulpite ou avec une effraction pulpaire avec une grosse douleur:
- il anesthésie
- il pose systématiquement la digue avec reconstitution preendo
- il dépulpe il irrigue il obture
- et pansement provisoire

Ou alors il :

- anesthésie
- met la digue en urgence après avoir fait sa reconstitution pré endo
- irrigue prépare
- met du CAOH
- pansement provisoire

Qui sait arrive t il même à faire une couronne provisoire dans la même séance !

En tout cas il est très doué pour faire tout ça Entre deux patients 😊😊😊 . Mais ça c'est parce qu'il comprend plus vite les choses certainement 😊 et parce qu'il a certainement un très très bon niveau.


Vw campersurfvan bmnk1q - Eugenol
enlaye

29/12/2016 à 09h31

Irriguer irriguer ,je veux bien ,mais ce n est pas le desert de Gobi , non plus :-)


6szjws718sv1jksw54v4mpj3a6cu - Eugenol
vulpi

29/12/2016 à 09h43

Personne ne laisse de l'hypochlorite dans les racines en inter-séances?


carident

29/12/2016 à 11h27

junior® écrivait:
-----------------
> C'est à dire que quand Carident a une urgence de 10 minutes entre deux patients
> avec une pulpite ou avec une effraction pulpaire avec une grosse douleur:
> - il anesthésie
> - il pose systématiquement la digue avec reconstitution preendo
> - il dépulpe il irrigue il obture
> - et pansement provisoire
>
> Ou alors il :
>
> - anesthésie
> - met la digue en urgence après avoir fait sa reconstitution pré endo
> - irrigue prépare
> - met du CAOH
> - pansement provisoire
>
> Qui sait arrive t il même à faire une couronne provisoire dans la même séance !
>
> En tout cas il est très doué pour faire tout ça Entre deux patients 😊😊😊 . Mais
> ça c'est parce qu'il comprend plus vite les choses certainement 😊 et parce qu'il
> a certainement un très très bon niveau.

Ne sois pas jaloux junior®, toi aussi tu y arriveras un jour, tu y arriveras... :-)

Enfin, j'espère! ;-)

Mais entre temps, ne sois pas véhément stp!

Tu te rends bien compte que je te taquines ;-)
Après tout, c'est bien toi qui a ouvert plusieurs sujets un peu (c'est un euphémisme) provoques, voir par pur esprit de provocation ; genre "Digue et bactéries" dans lequel tu nous expliquais gentiment que "votre cavit ou votre IRM , ils sont mous au départ , autrement dit la salive vient tranquillement se mettre dans la chambre pulpaire...", et "du coup on peut se demander quel est l'intérêt de la digue puisque les bactéries vont s'infiltrer ensuite".

Bref, c'est sûre que maintenant je comprends mieux ton point de vue... :-)))
Pourquoi s'évertuer à empêcher les bactéries de rentrer, là où tu peux leurs préparer un nid douillet, en retirant le parenchyme pulpaire, puis en dénudant les tubuli dentinaire lors de la préparation de ton logement de tenon, avant d'ouvrir les vannes et de les laisser s'installer...
C'est sûre après ça, va falloir irriguer... :-)))
N'oublies pas cependant d'activer ton hypochlorite, avec un instrument US ou une lime FKG XP-endo finisher, si tu veux que ce soit pleinement efficace ;-)

Sinon pour ma part, lorsque j'accepte de prendre ce genre d'urgence (dent cassée devant avec douleur), je m'arrange pour faire la pulpectomie et la couronne provisoire dans la séance ;
Et je trouve le temps de le faire, d'une part parce que je ne prends que 6 à 12 (grand max) patients par jour, et que du coup je peux alléger une ou deux séquences de soins pour caser une vrai urgence, d'autre part parce qu'il y a aussi urgence esthétique dans ce cas là => C'est plus important d'utiliser le temps imparti pour reconstruire la dent que pour faire l'empreinte de l'IC, alors que tu n'es même pas sûre à 100% du devenir de la dent, et que tu n'as pas encore fait de devis au patient... Non?

ps : je ne met jamais de CAOH = c'est du pipi de chat = peut-être ton prochain sujet provoque ;-)


carident

29/12/2016 à 11h34

enlaye écrivait:
----------------
> Irriguer irriguer ,je veux bien ,mais ce n est pas le desert de Gobi , non plus
> :-)

Oui, tu imagines son carnet de rendez-vous... Il doit y avoir plein de séances d'irrigation d'1h30 - 2H :-))


6szjws718sv1jksw54v4mpj3a6cu - Eugenol
vulpi

29/12/2016 à 11h50

Oui Carident a raison, la provoque ça va un temps.


Utilisateur banni

29/12/2016 à 11h59

donc on te téléphone pour avoir une urgence : hey là avant même d'avoir vu ton urgence tu sais que tu vas avoir une pulpec sous digue et une dent provisoire à tenon non complètement étanche laissant passer les bactéries après avoir mis la digue... mmm pourquoi pas après tout... Et tu sais avant même d'avoir vu ton urgence qu'il va te falloir une plage horaire correspondant à ton endo plus couronne provisoire à tenon non étanche ... raaah y en qui sont bons ! Comme on dit : chez certains même la merde sent bon 😊. C'est toujours bon d'entendre ça 😊.


Utilisateur banni

29/12/2016 à 12h10

Mais je sens qu'il va nous dire qu'il fait aussi une reconstitution foulée dans la séance d'urgence...😊😊😊 pour que ça soit parfaitement hermétique.
À moins que tu mettes une provisoire à tenon non étanche après ton endo sous digue

Entre nous endo sous digue , reconstitution foulée, provisoire : ça ne s'appelle plus une séance d'urgence


Colleforte zpzpux - Eugenol
Parodent

29/12/2016 à 12h13

junior® écrivait:
-----------------
> donc on te téléphone pour avoir une urgence : hey là avant même d'avoir vu ton
> urgence tu sais que tu vas avoir une pulpec sous digue et une dent provisoire à
> tenon non complètement étanche laissant passer les bactéries après avoir mis la
> digue... mmm pourquoi pas après tout... Et tu sais avant même d'avoir vu ton
> urgence qu'il va te falloir une plage horaire correspondant à ton endo plus
> couronne provisoire ... raaah y en qui sont bons ! Comme on dit : chez certains
> même la merde sent bon 😊. C'est toujours bon d'entendre ça 😊.

Nan, tu n'y es pas du tout... Arrêtes de caricaturer. C'est pas comme ça que cela fonctionne.

Déjà si ton assistante est bien formée, elle sait faire le tri entre vrai et fausse urgence. Si t'as un très long rdv dans ton planning de la journée, tu cases ton urgence pendant ce rdv, et s'il s'avère que ton urgence est vraiment urgente, et nécessite un certain temps pour être prise en charge correctement (après avoir vu le patient et fait la pano), à ce moment là tu t'arranges pour faire moins d'actes sur le patient précédant et abréger sa séance... Et rien ne t'empêche d’empiéter aussi sur le rendez-vous du patient suivant sur lequel tu feras moins d'actes.

En gérant ton emploi du temps de la sorte, tu peux te retrouver en retard de 30 à 40 min à un moment donné, mais généralement tu rattrapes ce retard avant la fin de la journée... ;-)

Je préfère l'expression : les juniors c'est comme les pets, il n'y a que les siens que l'on supporte :-))))


Capture d  cran 2015 03 12 12.28 - Eugenol
chicot29

29/12/2016 à 13h08

junior® écrivait:
-----------------
> oui c'est mieux d'obturer dans la séance... mais bon là c'était une urgence.
> Alors faire une endo en 10-15 min avec risque de ne pas avoir suffisamment
> désinfecter ça me plaisait guère.

C'est une bio. La pulpe est vivante et tes instruments sont stériles pourquoi passes tu 3 plombes à désinfecter ?


--
En cas d'échec des négociations conventionnelles, seriez-vous prêt à suivre la promotion d'un déconventionnement massif de la profession par les syndicats représentatifs ? OUI - NON
Participez, anonymement, sur https://goo.gl/forms/nAO0htnsVmxotjYm1


12