Cookie Consent byPrivacyPolicies.comLa meilleure obturation c'est la pulpe.... Ah bon ?😊 - Eugenol

La meilleure obturation c'est la pulpe.... Ah bon ?😊

Bebert.

18/02/2017 à 16h51

Par contre la dépouille ... c'est de la taille à la mexicaine ;))
T'as intérêt à bien coller et le patient à faire une croix sur les sandwiches.


Utilisateur banni

18/02/2017 à 16h58

regarde c'est du gros moignon , Ca tiendra sans problème ... même en scellant si je veux
De de toute façon c'est une ancienne suceuse avec proalveolie . Même En propulsion elle ne les touche pas ses incisives
J'avais même pas besoin d'une empreinte antagoniste pour les faire puisqu'il y a pas de contact incisif

Image sbrkfg - Eugenol

Bebert.

18/02/2017 à 17h03

Bon, pour cette fois, on dit rien ;)))


Vw campersurfvan bmnk1q - Eugenol
enlaye

19/02/2017 à 00h17

Bebert. écrivait:
-----------------
" Par contre la dépouille ... c'est de la taille à la mexicaine ;))
T'as intérêt à bien coller et le patient à faire une croix sur les sandwiches."

non ,ça encore la conicité n'est pas excessive ,il n'y a pas de problème de ce coté là . par contre les limites en épaulement arrondis ,elles , ne favorisent pas la rétention .
perso je n'aime pas du tout ce type de limite même si cela ne pose pas forcement de gros pb .
l'avantage serait pour un collage ,et encore .


Utilisateur banni

19/02/2017 à 10h56

Fais pas ton jaloux :))) t'as pas d'aussi belles limites:) . Allez dis le :)
Comme pour toute construction, on bâtit sur un sol plat . Et là le congé est plat laissant la place pour la chape qui soutiendra la céramique cosmétique .


Vw campersurfvan bmnk1q - Eugenol
enlaye

19/02/2017 à 13h25

Tu ne veux pas comparer quand même ,si ? :-):-):-)


Capture d  cran 2015 03 12 12.28 - Eugenol
chicot29

19/02/2017 à 15h41

Pour bien tenir ca va tenir. Comme celle là ? Magnifique congé.
J'ai rectifié un peu le tir. -)


--
En cas d'échec des négociations conventionnelles, seriez-vous prêt à suivre la promotion d'un déconventionnement massif de la profession par les syndicats représentatifs ? OUI - NON
Participez, anonymement, sur https://goo.gl/forms/nAO0htnsVmxotjYm1

Capture d écran 2017 02 19 15.43 - Eugenol

6szjws718sv1jksw54v4mpj3a6cu - Eugenol
vulpi

19/02/2017 à 21h13

Art contemporain: "ça fait un peu plus, je vous le mets quand même"
une ancienne création:-) il n’empêche, il y avait un canal latéral!

Dscf0595 3 l3dusk - Eugenol

6szjws718sv1jksw54v4mpj3a6cu - Eugenol
vulpi

20/02/2017 à 13h13

Dépouille

Dscf2312 fldnob - Eugenol

Vw campersurfvan bmnk1q - Eugenol
enlaye

20/02/2017 à 14h18

Alien

. ybj2wn - Eugenol

Generique fraisage r2rxmm - Eugenol
lardonbis

20/02/2017 à 14h21

dépouille d'alien :


--
la réponse à vos questions est sans doute sur www.arcad-dentaire.fr !

Alien jh0kvd - Eugenol

Vw campersurfvan bmnk1q - Eugenol
enlaye

20/02/2017 à 15h46

il lui manque quelque chose :-)


6szjws718sv1jksw54v4mpj3a6cu - Eugenol
vulpi

20/02/2017 à 15h50

enlaye écrivait:
----------------
> il lui manque quelque chose :-)

les américains sont très prudes.


Vw campersurfvan bmnk1q - Eugenol
enlaye

20/02/2017 à 16h39

et puis au moins ,il n'y en aura pas d'autre :-))


Capture d  cran 2015 03 12 12.28 - Eugenol
chicot29

20/02/2017 à 16h52

C'est la pulpe c'est la pulpe.

Putain j'ai eu chaud. -) vestibulaire ? Lingual ? vestibulaire lingual ?........Lingual !


--
En cas d'échec des négociations conventionnelles, seriez-vous prêt à suivre la promotion d'un déconventionnement massif de la profession par les syndicats représentatifs ? OUI - NON
Participez, anonymement, sur https://goo.gl/forms/nAO0htnsVmxotjYm1

Capture d écran 2017 02 20 16.51 - Eugenol
Capture d écran 2017 02 20 17.06 - Eugenol

Vw campersurfvan bmnk1q - Eugenol
enlaye

20/02/2017 à 17h05

:-)) bien vu .
sinon ,Chicot , tu n'arriverais pas a sentir l'apex à la main sans radio ?


Capture d  cran 2015 03 12 12.28 - Eugenol
chicot29

20/02/2017 à 17h07

Pas de cathéthérisme manuel. -)


--
En cas d'échec des négociations conventionnelles, seriez-vous prêt à suivre la promotion d'un déconventionnement massif de la profession par les syndicats représentatifs ? OUI - NON
Participez, anonymement, sur https://goo.gl/forms/nAO0htnsVmxotjYm1


6szjws718sv1jksw54v4mpj3a6cu - Eugenol
vulpi

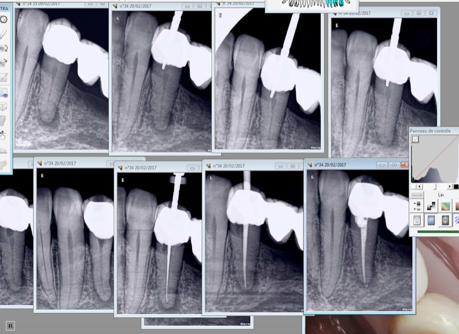
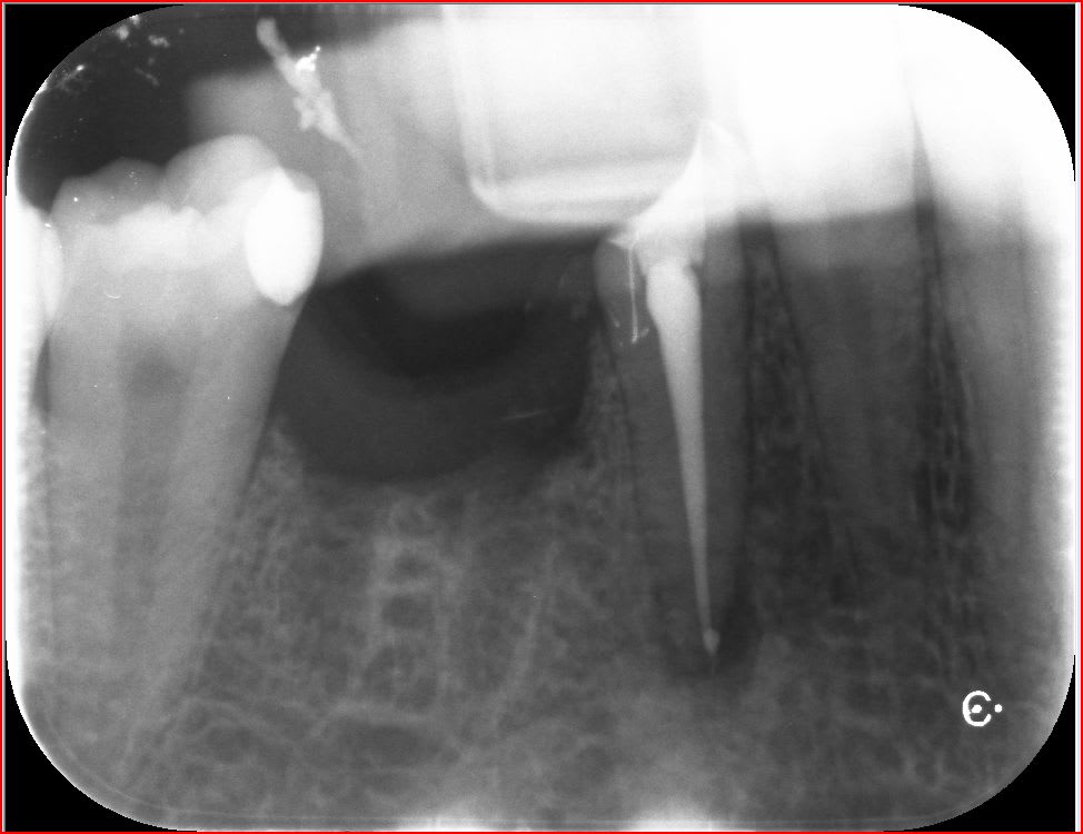
20/02/2017 à 17h10

Il y a un truc bizarre, sur tes RX on a l'impression que l'orifice du canal est distalisé,un peu comme la lésion apicale et ton obturation et plus dans l'axe, un artefact probablement.

A+ j'ai une 17 sur le grill, digue ou pas digue?-)


Vw campersurfvan bmnk1q - Eugenol
enlaye

20/02/2017 à 17h18

chicot29 écrivait:
------------------
" Pas de cathéthérisme manuel. -)"

pourtant à la main on peut faire du bon boulot :-))


Vw campersurfvan bmnk1q - Eugenol
enlaye

20/02/2017 à 17h29

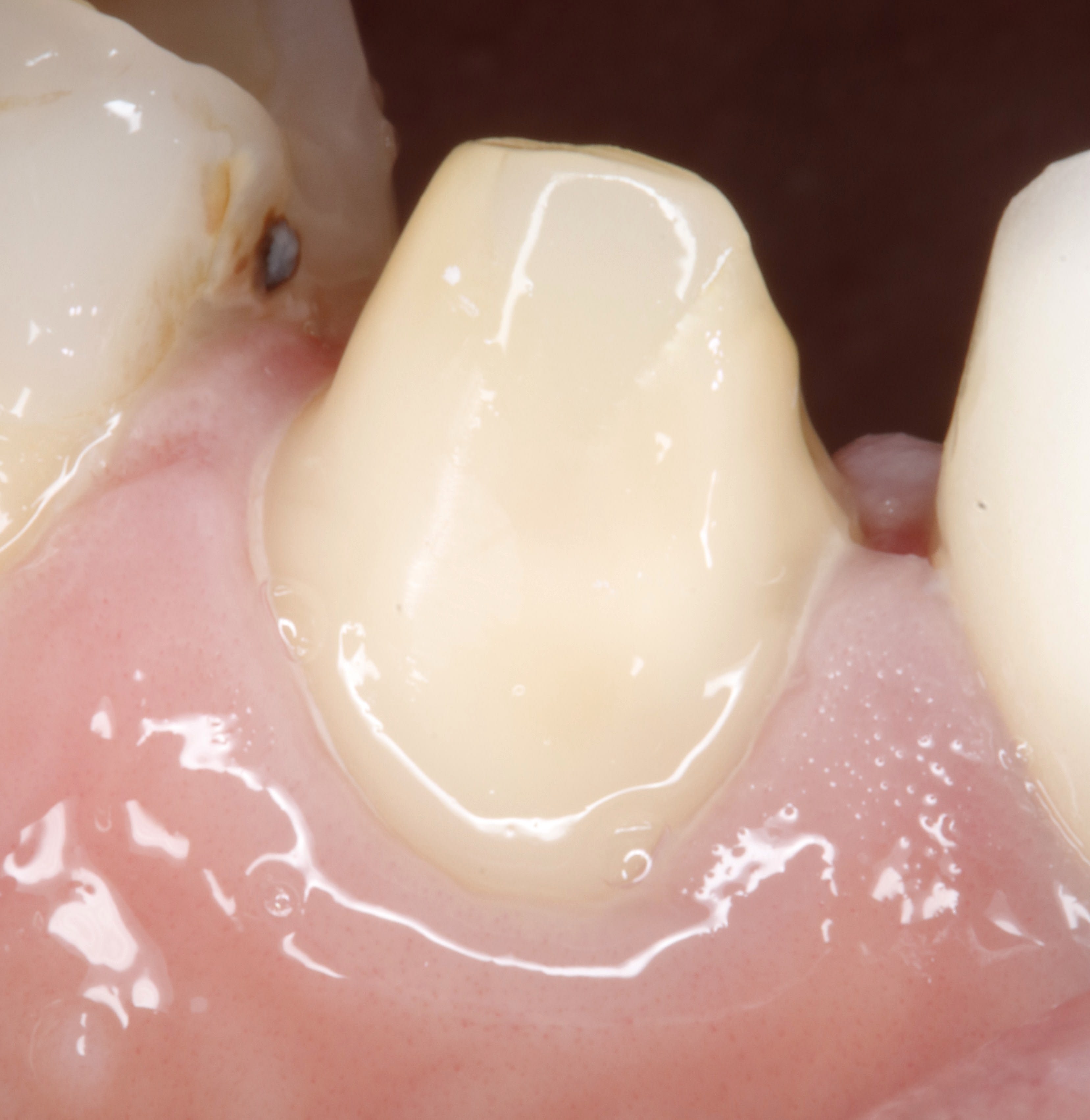
Lardonbis , tjs suite a ta question sur les limites mais en photo ,
voilà la taille de la page 25 , 1 semaine apres .
pourtant ,lors de la taille il n'y avait pas de fil , et la gencive pas trop touchée .
eh bien ,les limites apparaissent naturellement .

1 - Eugenol

Vw campersurfvan bmnk1q - Eugenol
enlaye

20/02/2017 à 17h42

et donc avant de prendre l'empreinte , autant reprendre les limites ,et ç est là qu'intervient le fil .
et la taille du fil depend de la profondeur où tu veux placer ta limite . voilà pourquoi il y a plusieurs tailles :-).
et quand tu le mets il n'y a pas une goute de sang .
( là ça saigne pcq j'ai fait le compo mesial de 24 )

2 - Eugenol

Vw campersurfvan bmnk1q - Eugenol
enlaye

20/02/2017 à 17h45

et donc apres finition des limites ça donne ça , et comme ça ne saigne pas ,on peut prendre l'empreinte .
et là la gencive sera stable ,comme sur la 22 ou j'ai posé une àmax il y a quelques années .

3 - Eugenol

Capture d  cran 2015 03 12 12.28 - Eugenol
chicot29

20/02/2017 à 18h02

enlaye écrivait:
----------------
> et donc avant de prendre l'empreinte , autant reprendre les limites ,et ç est là
> qu'intervient le fil .
> et la taille du fil depend de la profondeur où tu veux placer ta limite . voilà
> pourquoi il y a plusieurs tailles :-).
> et quand tu le mets il n'y a pas une goute de sang .
> ( là ça saigne pcq j'ai fait le compo mesial de 24 )

Moi non plus ca saigne pas. -)

je vais passer au laser pour éviter de faire barbecue. C'est sympa l'été mais l'hiver.... -)

Tu crois que je devrais me limiter à l'endo et adresser la prothèse ? -))))

--
En cas d'échec des négociations conventionnelles, seriez-vous prêt à suivre la promotion d'un déconventionnement massif de la profession par les syndicats représentatifs ? OUI - NON
Participez, anonymement, sur https://goo.gl/forms/nAO0htnsVmxotjYm1

Capture d écran 2017 02 20 18.00 - Eugenol

Vw campersurfvan bmnk1q - Eugenol
enlaye

20/02/2017 à 18h06

chicot29 écrivait:
------------------
" Moi non plus ca saigne pas. -)"

et ç est pour ça que tu peux prendre l'empreinte CQFD :-)))


Vw campersurfvan bmnk1q - Eugenol
enlaye

20/02/2017 à 18h12

sans radio ni avant ni pendant ni de suite apres .
tout au toc-toc et lentulo + cone +spaden , aille pas taper :-)))

Aaa tlqhae - Eugenol

1...262728...