Cookie Consent byPrivacyPolicies.comLa meilleure obturation c'est la pulpe.... Ah bon ?😊 - Eugenol

La meilleure obturation c'est la pulpe.... Ah bon ?😊

Vw campersurfvan bmnk1q - Eugenol
enlaye

14/02/2017 à 21h05

junior® écrivait:
-----------------
" Tiens pour en revenir aux empreintes , .... -> c'est comme le ventriglisse je vous dis, le matériau fuse et se barre ."

Oui c est vrai .mais c est surtout du à la salive qui est gluante et que tu as du mal à secher quelque soit l aspect de surface ,finalement .
Alors pour ca il y a 2 astuces :
1 - Un petit coup de detartrine qui deglace et surtout degraisse.
2 - quand tu mets le light ,avant le mettre le PE ,tu balances un coup d air sur le light en direction des limites .
Essayes tu va pas le croire de la différence .


Utilisateur banni

14/02/2017 à 22h06

Vulpi et toi vous me prenez vraiment pour un neuneuille ou quoi ?^^
Bien entendu que je sèche
Mais je trouve que quand même quand c'est hyper lisse, les empreintes sont légèrement moins bonnes


Capture d  cran 2015 03 12 12.28 - Eugenol
chicot29

14/02/2017 à 22h08

Merde meme patient que précédemment ( 13 ans) J'aurais du la garder vivante la pulpe. ..... un boulevard. -)))

Des fois on se laisse emporter.....-)))

--
En cas d'échec des négociations conventionnelles, seriez-vous prêt à suivre la promotion d'un déconventionnement massif de la profession par les syndicats représentatifs ? OUI - NON
Participez, anonymement, sur https://goo.gl/forms/nAO0htnsVmxotjYm1

Capture d écran 2017 02 14 22.05 - Eugenol

6szjws718sv1jksw54v4mpj3a6cu - Eugenol
vulpi

14/02/2017 à 22h34


Utilisateur banni

14/02/2017 à 23h46

Tiens c'est bizarre dans cette vidéo y a 6 moignons ... et ils nous montrent le résultat uniquement pour 3 moignons . À croire qu'ils ne veulent pas montrer pour les 3 autres moignons des problèmes d'enregistrement...
Et dire qu'on a le même résultat avec une wash (voir un meilleur résultat) et sans mettre de cordonnets et sans besoin d'utiliser un PEI 😊

Par contre j'avais pas compris l'histoire de la soufflette ... Là j'ai compris


6szjws718sv1jksw54v4mpj3a6cu - Eugenol
vulpi

15/02/2017 à 14h28

junior® écrivait:
-----------------
> ca va pas du tout Vulpi. Faut tout refaire . Y a rien qui va. Qu'est ce que
> c'est bon de lui dire ça 😊
> À mon avis vu le bridge en métal ça ne doit pas être une danseuse de l'Est.
> En voyant le nom de la patiente sur son planning le Vulpi s'est dit "ouuu !
> attention c'est mon jour : une danseuse de l'Est"

Ah! Toi aussi tu as des visions... :-)))

En tout cas, la danse c'est très chouette à regarder, et c'est un sport très exigeant qui mérite le détour.



Définitivement, il n'y a pas que les dents dans la vie;


Utilisateur banni

16/02/2017 à 14h39

Regardez moi ça
- 62 très douloureuse
- pas assez de place pour mettre un Implant
- on a juste 3,4 mm d'espace entre 21 et 23
- j'ai extrait
- et du coup je suis comme un con je peux pas faire d'extraction implantation immédiate

À part lui redresser les chicots et lui mettre un Implant ensuite , je vois pas ce que je peux faire d'autre. Sauf si y en a un qui a une idée de génie ? Comme on dit c'est dans les vieux pots qu'on fait la meilleure confiture. Peut être qu'un vieux pot a une idée judicieuse ?😊

Img 0766 w6iqvt - Eugenol
Img 0769 oca3jf - Eugenol

6szjws718sv1jksw54v4mpj3a6cu - Eugenol
vulpi

16/02/2017 à 14h55

aucune idée soft :-)
Si tu veux implanter après ortho le piège est d'avoir la place au niveau des couronnes et pas un niveau des apex.


lachmar

16/02/2017 à 15h57



eh bien c'est l'occasion de verifier si ton super bond n'est pas périmé et de faire un bridge collé


6szjws718sv1jksw54v4mpj3a6cu - Eugenol
vulpi

16/02/2017 à 17h16

Alors mon Junior, vas tu coller sur 23 et 21 ou seulement sur 23?


Jack 2 wm3tqs - Eugenol
Treponem

16/02/2017 à 17h51

LA meilleure obturation ... c'est le laiton !

R5 kk8jtw - Eugenol

Capture d  cran 2015 03 12 12.28 - Eugenol
chicot29

16/02/2017 à 19h00

Alors les tarlouses d'encoleurs , c'est autre chose que de faire mumuse au multilink hein !

Est ce que la meilleure obturation c'était la pulpe ? -))))

Lt 25 mm les 4. Resté bloqué à 18 mm un moment dans le mv2 et ca a été débloqué par un coup de.....SX gold ! Aucun cathétérisme manuel.
--
En cas d'échec des négociations conventionnelles, seriez-vous prêt à suivre la promotion d'un déconventionnement massif de la profession par les syndicats représentatifs ? OUI - NON
Participez, anonymement, sur https://goo.gl/forms/nAO0htnsVmxotjYm1

Capture d écran 2017 02 16 18.58 - Eugenol

Utilisateur banni

16/02/2017 à 20h03

lachmar écrivait:
-----------------
>
>
> eh bien c'est l'occasion de verifier si ton super bond n'est pas périmé et de
> faire un bridge collé

Le problème c'est que je n'aime pas du tout ce type de bridge


6szjws718sv1jksw54v4mpj3a6cu - Eugenol
vulpi

16/02/2017 à 23h06

chicot29 écrivait:
------------------
> Alors les tarlouses d'encoleurs , c'est autre chose que de faire mumuse au
> multilink hein !
>
> Est ce que la meilleure obturation c'était la pulpe ? -))))
>
> Lt 25 mm les 4. Resté bloqué à 18 mm un moment dans le mv2 et ca a été débloqué
> par un coup de.....SX gold ! Aucun cathétérisme manuel.
> --
> En cas d'échec des négociations conventionnelles, seriez-vous prêt à suivre la
> promotion d'un déconventionnement massif de la profession par les syndicats
> représentatifs ? OUI - NON
> Participez, anonymement, sur https://goo.gl/forms/nAO0htnsVmxotjYm1

Dis moi Chicot, kèst'as changé dans ta technique, avant c'était puff à gogo, en étant gentil... gutta???!!, et maintenant obturation apex +/- 0.5 kèstafait?-))


Vw campersurfvan bmnk1q - Eugenol
enlaye

17/02/2017 à 00h09

Il a arreté le lentulo ? Mouhahaha.
Pas bo , vilain enlaye :-)))


Capture d  cran 2015 03 12 12.28 - Eugenol
chicot29

17/02/2017 à 00h17

Radios broches en place. -)))


--
En cas d'échec des négociations conventionnelles, seriez-vous prêt à suivre la promotion d'un déconventionnement massif de la profession par les syndicats représentatifs ? OUI - NON
Participez, anonymement, sur https://goo.gl/forms/nAO0htnsVmxotjYm1


Vw campersurfvan bmnk1q - Eugenol
enlaye

17/02/2017 à 00h18

mieux que le bip-bip ?
bientôt tu passeras au toc-toc :-))


lachmar

17/02/2017 à 08h39

junior® écrivait:
-----------------
> lachmar écrivait:
> -----------------
> >
> >
> > eh bien c'est l'occasion de verifier si ton super bond n'est pas périmé et de
> > faire un bridge collé
>
> Le problème c'est que je n'aime pas du tout ce type de bridge


je comprend bien ton problème ; mais as-tu une autre solution fixée ?


Generique fraisage r2rxmm - Eugenol
lardonbis

17/02/2017 à 08h47

junior® écrivait:

Le problème c'est que je n'aime pas du tout ce type de bridge

-----------------
Si l'occlusion est favorable, le patient pas trop bourrin et que tu as une bonne surface dispo sur la 23 pour te coller je suis persuadé que la survie à 10 ans est meilleur que n’importe quel autre bridge classique.
Mais ces cas favorable c'est une fois sur 10.

--
la réponse à vos questions est sans doute sur www.arcad-dentaire.fr !


Utilisateur banni

17/02/2017 à 10h49

L'occlusion n'est pas top quand même. Les incisives centrales supérieures sont linguo-versées. Et on a un bon petit recouvrement

Img 0772 g3lzys - Eugenol

lachmar

17/02/2017 à 11h44



pas le cas idéal pour faire un bridge collé

sauf à faire des préparations pelliculaires pour les ailettes de collage et de tenons dentinaires

mais amuse toi bien pour parraléliser


6szjws718sv1jksw54v4mpj3a6cu - Eugenol
vulpi

17/02/2017 à 14h06

personne n'a testé, c'est tentant!

Une goutte et hop, 28X le volume!



:-)))


Utilisateur banni

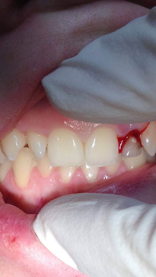
18/02/2017 à 15h46

Regarde moi ça Enlaye ...
c'est pas du congé de petit joueur ça , hein ? On dit plus rien tout d'un coup ... :)))

Img 0779 auq01q - Eugenol

6szjws718sv1jksw54v4mpj3a6cu - Eugenol
vulpi

18/02/2017 à 16h17

Oh my god !!! :-((


Utilisateur banni

18/02/2017 à 16h27

J'ai changé la photo floue
C'est pas du slice de petit joueur qui se la joue petit bras :)))
Regardez moi ce profil : droit sur toute la largeur puis arrondi au niveau de l'angle reliant le moignon.

Img 0781 pfrxp3 - Eugenol

1...252627...