Cookie Consent byPrivacyPolicies.comLa meilleure obturation c'est la pulpe.... Ah bon ?😊 - Eugenol

La meilleure obturation c'est la pulpe.... Ah bon ?😊

Utilisateur banni

11/02/2017 à 18h03

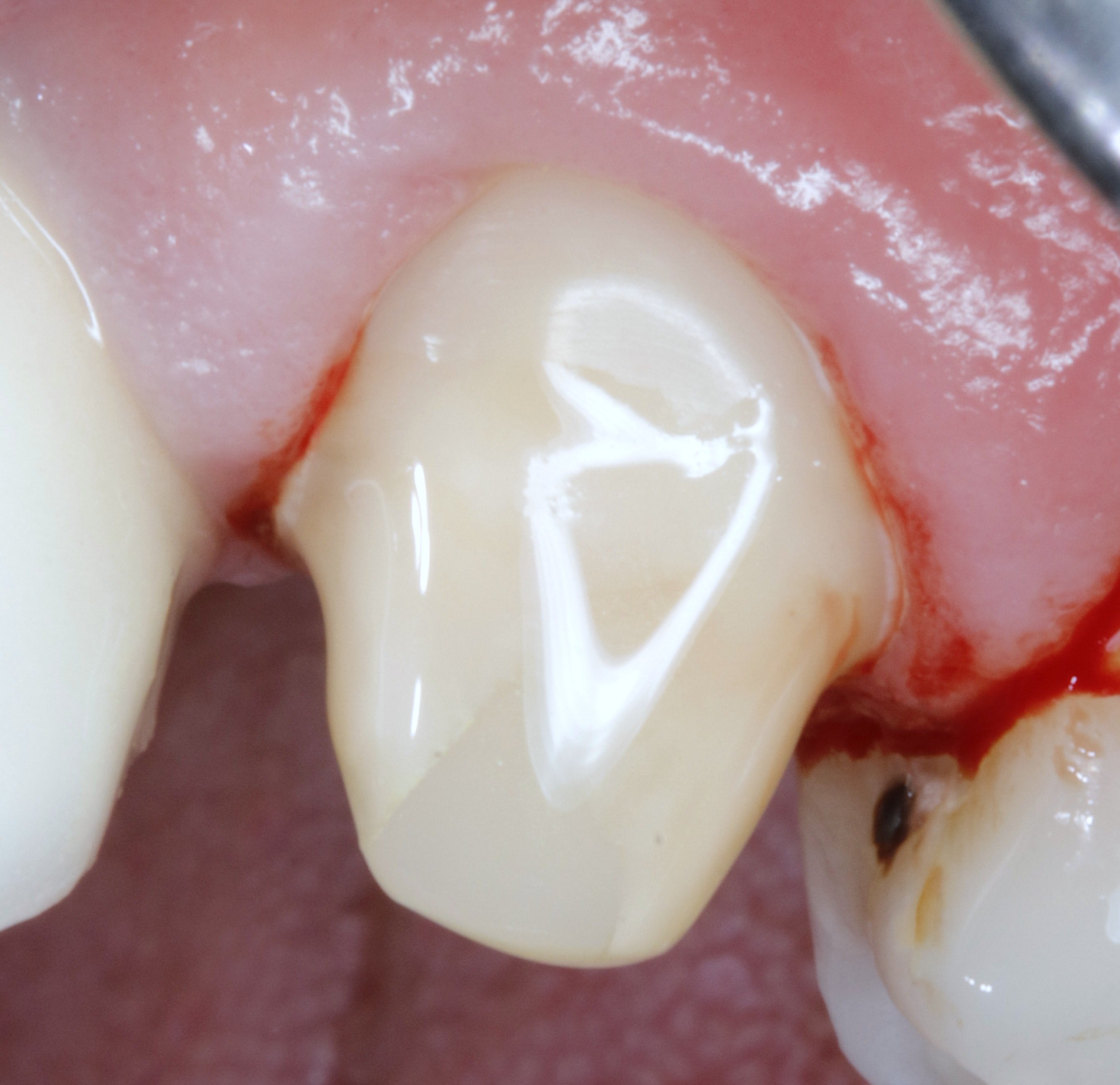
Il est où Enlaye ? Regarde moi celle ci , j'ai astiqué cette dent pour qu'elle brille de mille feux :)))) On fait beaucoup moins le malin tout d'un coup ! On l'entend plus !
J'ai mis du produit à laver les vitres pour que la lumière se reflète comme dans un miroir.

Img 0752 ztyoqo - Eugenol

Vw campersurfvan bmnk1q - Eugenol
enlaye

13/02/2017 à 00h25

Oui elle brille ,elle n est pas lisse mais elle brille ,donc tu lui a mis un produit ,non ?
Ce qui n empêche que la taille est propre .ptete pas assez décortiquée mais propre .


6szjws718sv1jksw54v4mpj3a6cu - Eugenol
vulpi

13/02/2017 à 12h05

dent vivante, auto-moulage, ce sont les prov que je fais briller.

Dscf2288 rvln7k - Eugenol
Dscf2296 sbbyq5 - Eugenol

Utilisateur banni

13/02/2017 à 13h56

- empreinte Double Inlay core à clavette
- provisoires coques polycaarbonates avec extension . Alors les coques c'est pas bien?
On fait moins les marioles tout d'un coup les deux ?:))

Img 0753 bpdz8o - Eugenol
Img 0756 mj6zrq - Eugenol
Img 0758 ceaefb - Eugenol

6szjws718sv1jksw54v4mpj3a6cu - Eugenol
vulpi

13/02/2017 à 16h14

quel est ton critère pour la longueur des tenons? Ils sont coniques?


Blue eye thumb medium dx1i0w - Eugenol
bill

13/02/2017 à 16h20

Les empreintes avec les calcinables... Tsss... :-)


Vw campersurfvan bmnk1q - Eugenol
enlaye

13/02/2017 à 16h27

junior® écrivait:
-----------------> " Il est où Enlaye ? Regarde moi celle ci , j'ai astiqué cette dent pour qu'elle brille de mille feux :)))) On fait beaucoup moins le malin tout d'un coup ! "

tu crois :-) ?

 mg 1116 i2ouqx - Eugenol

Generique fraisage r2rxmm - Eugenol
lardonbis

13/02/2017 à 16h29

bill écrivait:
--------------
> Les empreintes avec les calcinables... Tsss... :-)
>
La honte ! On dirais moi ! :)

--
la réponse à vos questions est sans doute sur www.arcad-dentaire.fr !


Utilisateur banni

13/02/2017 à 16h37

C'est pas du tout des tenons calcinables bande de vieilles branches, c'est des tenons à empreinte... 😊
Oui des cylindro-coniques

Enlaye on voit la petite couche de produit que t'utilises pour faire briller ton moignon... t'en as pas foutu à la base . T'es grillé :)))


Generique fraisage r2rxmm - Eugenol
lardonbis

13/02/2017 à 16h40

Ils disent tous ça. :)
On demande à un prothésiste ce qu'il reçoit pour voir ?


--
la réponse à vos questions est sans doute sur www.arcad-dentaire.fr !


6szjws718sv1jksw54v4mpj3a6cu - Eugenol
vulpi

13/02/2017 à 16h41

Cela ne répond pas à ma question!


Utilisateur banni

13/02/2017 à 16h46

Pour la longueur je fais souvent minimum la moitié de la longueur
Et quand il ne reste plus que la racine (sans parois coronaires)je vais au 2/3
Sinon je t'ai répondu c'est du cylindro-conique


Blue eye thumb medium dx1i0w - Eugenol
bill

13/02/2017 à 16h47

junior® écrivait:
-----------------

> Sinon je t'ai répondu c'est du cylindro-conique

Quelle marque, jeune branche ? :-)


Vw campersurfvan bmnk1q - Eugenol
enlaye

13/02/2017 à 16h51

junior® écrivait:
-----------------
" C'est pas du tout des tenons calcinables bande de vieilles branches, c'est des tenons à empreinte... 😊 "

il utilise des tenons en plastoc qu'il coupe .
j'trouve ça con , pcq tu perds le coté transfert que tu as avec les pivomatics .
la boulasse qui fait clip ,si par hasard le tenon sortait un peu sans que tu le saches . ce qui en etait la pub avec le chien à lunette ...:-)


Vw campersurfvan bmnk1q - Eugenol
enlaye

13/02/2017 à 17h04

junior® écrivait:
-----------------
" Pour la longueur je fais souvent minimum la moitié de la longueur "

je trouve que tu mets profond .tu utilises des rocomatics ?


6szjws718sv1jksw54v4mpj3a6cu - Eugenol
vulpi

13/02/2017 à 17h51

enlaye écrivait:
----------------
> junior® écrivait:
> -----------------
> " Pour la longueur je fais souvent minimum la moitié de la longueur "
>
> je trouve que tu mets profond .tu utilises des rocomatics ?

Voilà, surtout que la chambre pulpaire semble déjà bien rétentive, je peux pas te dire sur la photo mais souvent dans ces cas je ne fais pas de clavette... je suis flemmard c'est entendu.


Utilisateur banni

13/02/2017 à 18h50

L'intérêt c'est que ce sont des tenons en plastoc à la base non calcinables. MAIS je me suis déjà amusé à couler moi même avec ces tenons en plastoc et il se trouve que l'adaptation est très bonne.
Pourquoi desclavettes ici ? Car je suis au ras de la gencive pour les 2 molaires

Et d'ailleurs si je prenais des tenons calcinables pour les empreintes -> ils seraient cassants et supporteraient moins les forces de flexion que des tenons en plastoc


Generique fraisage r2rxmm - Eugenol
lardonbis

14/02/2017 à 08h51

je me souviens pas de la dernière foi que j'ai fais une clavette...
C'est tellement chiant à démonter que ça me ferait un peu la même chose que de boucher un canal à la résine :)



--
la réponse à vos questions est sans doute sur www.arcad-dentaire.fr !


Capture d  cran 2015 03 12 12.28 - Eugenol
chicot29

14/02/2017 à 15h33

C'est la pulpe c'est la pulpe !


--
En cas d'échec des négociations conventionnelles, seriez-vous prêt à suivre la promotion d'un déconventionnement massif de la profession par les syndicats représentatifs ? OUI - NON
Participez, anonymement, sur https://goo.gl/forms/nAO0htnsVmxotjYm1

Capture d écran 2017 02 14 15.32 - Eugenol

Bebert.

14/02/2017 à 17h47

chicot29 écrivait:
------------------
> C'est la pulpe c'est la pulpe !
>


... Vivante, ajoutait Marmasse. ;)


Vw campersurfvan bmnk1q - Eugenol
enlaye

14/02/2017 à 19h54

Vulpi ç est le schmilblick ;-)
il change chaque fois son avatar ,et on sait pas ce que ç est ;-))


Vw campersurfvan bmnk1q - Eugenol
enlaye

14/02/2017 à 19h56

Junior ,ç est moi ,ou il n'y a pas une goutte de sang ,pour l'empreinte ?

 mg 1119 bdm2yu - Eugenol

4a338550 6a5b 47ea b2a7 d3cb675c5076 oni5gh - Eugenol
fistule 69

14/02/2017 à 20h01

Y'a un truc bizarre dans le sulcus ?
😷😜


Utilisateur banni

14/02/2017 à 20h15

enlaye écrivait:
----------------
> Junior ,ç est moi ,ou il n'y a pas une goutte de sang ,pour l'empreinte ?

C'est vrai y a pas de sang par contre la gencive est blanche après avoir mis tes cordonnets. T'as jamais de récession suite à l'utilisation des cordonnets quand même ?

Tiens pour en revenir aux empreintes , avec cette histoire de suçage de moignon, je me suis amusé à faire des empreintes sur des moignons lustrés , et c'est vrai comme le disait très justement Vulpi je trouve qu'on fait de meilleures empreintes sur moignons non polis finalement.
-> c'est comme le ventriglisse je vous dis, le matériau fuse et se barre .


6szjws718sv1jksw54v4mpj3a6cu - Eugenol
vulpi

14/02/2017 à 20h23

enlaye écrivait:
----------------
> Vulpi ç est le schmilblick ;-)
> il change chaque fois son avatar ,et on sait pas ce que ç est ;-))

avatar événementiel, ce coup si St Valentin, à vous d'imaginer

Demain il ne sera plus là.


1...242526...