Cookie Consent byPrivacyPolicies.comet merde ! - Eugenol

et merde !

Capture d  cran 2015 03 12 12.28 - Eugenol
chicot29

12/01/2017 à 09h41

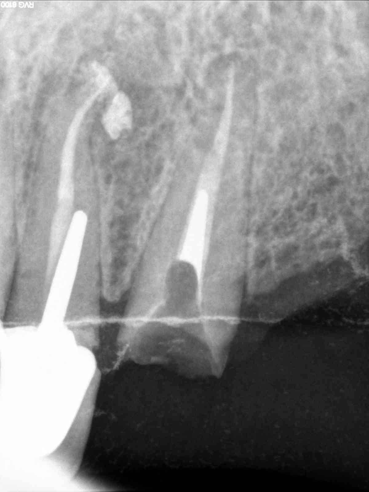
Bridge 41 31 32 33.....

Gouré de ciment de scellement. Utilisé du luxacore à la place. Impossible de sceller inlay core de 33 c'était pris. -)
Bon on ne va pas essayer de faire un tenon plus long et virer le reste de luxa core. . -)
Et à votre avis c'est un patient anonyme ?
Ben non c'est un copain. -)

--
En cas d'échec des négociations conventionnelles, seriez-vous prêt à suivre la promotion d'un déconventionnement massif de la profession par les syndicats représentatifs ? OUI - NON
Participez, anonymement, sur https://goo.gl/forms/nAO0htnsVmxotjYm1

R4ibqsiolwlx0z7gc8qi - Eugenol

Ylfwcw979cz1jnx9gfqeaxndiuzk - Eugenol
Algi

12/01/2017 à 09h58

La radio c'est à quel moment? Après ou avant d'avoir essayé de virer le luxacore?

A priori t'es pas dans l'axe..... parti de travers en essayant d'éliminer le mauvais ciment?

J'essaierai fraise boule acier col long petit diametre sur contre angle bleu ou vert pour creuser dans le residu au fond, retrouver la lumiere canalaire et essayer de recuperer l'axe pour refaire i core.

Et sinon, pas possible de coller un tenon titane et faire une reconstitution collée SC33? (je sais t'aimes pas mais des fois ça peut rendre service).

Sachant que tu as d'autres piliers voisins solidarisables....


--
L’extrémisme est le culte sans la culture ;
le fondamentalisme est la croyance sans la connaissance ;
l’intégrisme est la religiosité sans la spiritualité.

On a toujours le choix mais entre quoi et quoi?
Vas-y boulégue et l'avenir te le dira!


dent2669

12/01/2017 à 09h59

Pour moi, il vaudrait mieux prendre 5/10 minutes avec un insert US d'endo pour virer le luxacore et retrouver un bon axe de forage, faire un tenon plus long que de rester dans cette configuration.

Mais je sais ce que tu vas répondre... ce n'est pas remboursé et tout et tout et que si tu fais ça tu n'es plus rentable et que du coup plus assez d'argent pour payer le loyer de ton locataire qui ne paye pas ect...

On n'est pas obligé de faire de la merde à un tarif de merde comme tu le dis si bien ! Surtout quand ce sont des potes


Ylfwcw979cz1jnx9gfqeaxndiuzk - Eugenol
Algi

12/01/2017 à 10h03

Viens de retourner voir image jointe.... le moignon est me semble-t-il félé, on voit une ligne sombre quart inferieur gauche de l'image qui semble démarrer à peripherie de la preparation et descendre jusque dans la lumière canalaire...


--
L’extrémisme est le culte sans la culture ;
le fondamentalisme est la croyance sans la connaissance ;
l’intégrisme est la religiosité sans la spiritualité.

On a toujours le choix mais entre quoi et quoi?
Vas-y boulégue et l'avenir te le dira!


Jack 2 wm3tqs - Eugenol
Treponem

12/01/2017 à 10h06

Perso je tenterais quand même de virer le reste de luxacore US, voir fraise fine et aides optiques ...
Pas plus tard qu'avant hier, j'ai dégommé quasi 5 mm de métal dans une racine de 23 bien profond à la trans métal et Touati et US (tenon d'un IC pété dans la racine plus bas que ras) alors si j'y arrive ... :)

Edit : me suis appliqué, pas envie de faire un faux canal comme la voisine ;)

Erf1 s86nak - Eugenol
Erf2 kpgdwq - Eugenol

Capture d  cran 2015 03 12 12.28 - Eugenol
chicot29

12/01/2017 à 10h21

Algi écrivait:
--------------
> La radio c'est à quel moment? Après ou avant d'avoir essayé de virer le
> luxacore?

Après évidemment. Mais je ne suis pas joueur au point de continuer à essayer de virer le reste. .

> A priori t'es pas dans l'axe..... parti de travers en essayant d'éliminer le
> mauvais ciment?

C'est ca sauf que ca ne semble pas etre de travers. J'ai bien essayé de rectifier le tir mais quand ca veut pas ca veut pas. J'ai pas envie de foirer dans le sens vestibulo lingual en plus si ca n'est déjà fait. Il y a assez de dégâts comme ca. -)


--
En cas d'échec des négociations conventionnelles, seriez-vous prêt à suivre la promotion d'un déconventionnement massif de la profession par les syndicats représentatifs ? OUI - NON
Participez, anonymement, sur https://goo.gl/forms/nAO0htnsVmxotjYm1

Capture d écran 2017 01 12 10.17 - Eugenol

Capture d  cran 2015 03 12 12.28 - Eugenol
chicot29

12/01/2017 à 10h26

Treponem écrivait:
------------------
> Perso je tenterais quand même de virer le reste de luxacore US, voir fraise fine
> et aides optiques ...
> Pas plus tard qu'avant hier, j'ai dégommé quasi 5 mm de métal dans une racine de
> 23 bien profond à la trans métal et Touati et US (tenon d'un IC pété dans la
> racine plus bas que ras) alors si j'y arrive ... :)
>
> Edit : me suis appliqué, pas envie de faire un faux canal comme la voisine ;)

Bien sur mais le métal c'est pas pareil. Tu le sens au bout de ta fraise c'est plus dur et en plus tu le vois. Tu peux de plus le mobiliser aux US avec le luxacore c'est pas possible.


--
En cas d'échec des négociations conventionnelles, seriez-vous prêt à suivre la promotion d'un déconventionnement massif de la profession par les syndicats représentatifs ? OUI - NON
Participez, anonymement, sur https://goo.gl/forms/nAO0htnsVmxotjYm1


Capture d  cran 2015 03 12 12.28 - Eugenol
chicot29

12/01/2017 à 10h32

Algi écrivait:
--------------
> Viens de retourner voir image jointe.... le moignon est me semble-t-il félé, on
> voit une ligne sombre quart inferieur gauche de l'image qui semble démarrer à
> peripherie de la preparation et descendre jusque dans la lumière canalaire...
>

Non.


--
En cas d'échec des négociations conventionnelles, seriez-vous prêt à suivre la promotion d'un déconventionnement massif de la profession par les syndicats représentatifs ? OUI - NON
Participez, anonymement, sur https://goo.gl/forms/nAO0htnsVmxotjYm1

Capture d écran 2017 01 12 10.31 - Eugenol

Jack 2 wm3tqs - Eugenol
Treponem

12/01/2017 à 10h33

C'est pas faux. Mais avec moult Rx dans différentes incidences tu devrais pouvoir retrouver l'axe à mon avis (avec quelques gouttes de sueur, j'en conviens).
Enfin, merde comme tu dis, courage !

D'après ce qu'on voit sur les Rx j'irais quand même bien enfouir les limites, histoire de cercler au max, il y a de la rétention sur ton IC ? Et les forces vont se répartir d'une drôle de façon sur ton IC et dans le canal :(


Avatar transparent iqadnc - Eugenol
adhoc

12/01/2017 à 10h35

Je voyais comme algi une solution de continuité entre racine et le coronaire, sans doute ta reconstitution pré endo, qui peut un peu te gener peut etre pour trouver ton bon axe.


Loukoumparisien

12/01/2017 à 11h38

ça arrive toujours avec les bonnes personnes ces choses-là!


Ylfwcw979cz1jnx9gfqeaxndiuzk - Eugenol
Algi

12/01/2017 à 18h51

Putain chicot tu dois le savoir non depuis le temps: ne jamais soigner la famille, les amis....

En même temps vu la confiance qu'on a en nos confrères chez qui les adresser?

Je sors.


--
L’extrémisme est le culte sans la culture ;
le fondamentalisme est la croyance sans la connaissance ;
l’intégrisme est la religiosité sans la spiritualité.

On a toujours le choix mais entre quoi et quoi?
Vas-y boulégue et l'avenir te le dira!


Tozzi

13/01/2017 à 07h25

Quel ciment qui a le même conditionnement que le luxacore voulais-tu utiliser pour sceller ?


Capture d  cran 2015 03 12 12.28 - Eugenol
chicot29

13/01/2017 à 09h38

Total cem itena.


--
En cas d'échec des négociations conventionnelles, seriez-vous prêt à suivre la promotion d'un déconventionnement massif de la profession par les syndicats représentatifs ? OUI - NON
Participez, anonymement, sur https://goo.gl/forms/nAO0htnsVmxotjYm1

Capture d écran 2017 01 13 09.37 - Eugenol

Capture d  cran 2015 03 12 12.28 - Eugenol
chicot29

13/01/2017 à 09h41

Confondre Le clip flow de voco et l'Xtra base c'est bien casses burnes aussi. -)


--
En cas d'échec des négociations conventionnelles, seriez-vous prêt à suivre la promotion d'un déconventionnement massif de la profession par les syndicats représentatifs ? OUI - NON
Participez, anonymement, sur https://goo.gl/forms/nAO0htnsVmxotjYm1

Capture d écran 2017 01 13 09.40 - Eugenol

6szjws718sv1jksw54v4mpj3a6cu - Eugenol
vulpi

13/01/2017 à 10h05

chicot29 écrivait:
------------------
> Total cem itena.
>
>
> --
> En cas d'échec des négociations conventionnelles, seriez-vous prêt à suivre la
> promotion d'un déconventionnement massif de la profession par les syndicats
> représentatifs ? OUI - NON
> Participez, anonymement, sur https://goo.gl/forms/nAO0htnsVmxotjYm1

J'ai eu le même problème, rely x et paracore, depuis je les range dans deux cassettes différentes, moignon et scellement.


Capture d  cran 2015 03 12 12.28 - Eugenol
chicot29

26/01/2017 à 12h11

Suite et presque fin. -)


--
En cas d'échec des négociations conventionnelles, seriez-vous prêt à suivre la promotion d'un déconventionnement massif de la profession par les syndicats représentatifs ? OUI - NON
Participez, anonymement, sur https://goo.gl/forms/nAO0htnsVmxotjYm1

Capture d écran 2017 01 26 12.10 - Eugenol

Avatar transparent iqadnc - Eugenol
adhoc

26/01/2017 à 12h17

>Suite et presque fin. -)<

Chronique d'une fracture annoncée :-))

http://www.allocine.fr/film/fichefilm_gen_cfilm=27570.html


moritooth

26/01/2017 à 12h31

adhoc écrivait:
---------------
> >Suite et presque fin. -)<
>
> Chronique d'une fracture annoncée :-))
>

Y'a des chances que ça finisse comme ça...


Orezza gazeuse verre litre ocoxey - Eugenol
casa

26/01/2017 à 13h09

Oups , voilà un type d'urgence que j'aimerais pas récolter , surtout si le gars est du genre : docteur , je ne peux pas rester sans dent . Retour à l'envoyeur ....Comme quoi un petit coup de déconcentration . Mais je m'étonne toujours comment peut-on perdre une incisive inf (sauf gros pb paro ) ? C'est quand même signe que c'est pas brillant . Pour ma part , en 25 ans , le nombre de crne faites sur des Inc Inf ça doit se compter sur les doigts d'une main ...


Capture d  cran 2015 03 12 12.28 - Eugenol
chicot29

26/01/2017 à 13h53

moritooth écrivait:
-------------------
> adhoc écrivait:
> ---------------
> > >Suite et presque fin. -)<
> >
> > Chronique d'une fracture annoncée :-))
> >
>
> Y'a des chances que ça finisse comme ça...

Ca va mal finir c'est sur. Il est au courant. Ceci dit je doute que ca soit à cause de la canine. -)




--
En cas d'échec des négociations conventionnelles, seriez-vous prêt à suivre la promotion d'un déconventionnement massif de la profession par les syndicats représentatifs ? OUI - NON
Participez, anonymement, sur https://goo.gl/forms/nAO0htnsVmxotjYm1

Capture d écran 2017 01 26 13.51 - Eugenol

moritooth

26/01/2017 à 13h55

chicot29 écrivait:
------------------
> Et à votre avis c'est un patient anonyme ?
> Ben non c'est un copain. -)
>

Drôle de fréquentation...


Orezza gazeuse verre litre ocoxey - Eugenol
casa

26/01/2017 à 14h14

Moi pas comprendre : la couronne sur la 2 a un an ? et la dent est extraite ? et maintenant tu fais un bridge là dessus ? Décidément chicot , nous n'avons vraiment pas les mêmes valeurs ...PB paro +++ , caries +++ , c'est de l'acharnement thérapeutique . C'est normal , tu me diras , c'est un ami ! .


Jack 2 wm3tqs - Eugenol
Treponem

26/01/2017 à 14h58

ok casa, tu ferais quoi toi? sans animosité :)
Ami ou pas, direct claquos ? C'est un peu chaud quand même, non ?
Elle a eu quoi la 32 ? Fracture, ou Pb endo (j'en doute hein Chicot) ? ou endo/paro ?
En tous cas, ça fait du bien de voir les merdes des autres, je vois les miennes toute la journée, je sature :D


Capture d  cran 2015 03 12 12.28 - Eugenol
chicot29

26/01/2017 à 15h46

Problème paro.

--
En cas d'échec des négociations conventionnelles, seriez-vous prêt à suivre la promotion d'un déconventionnement massif de la profession par les syndicats représentatifs ? OUI - NON
Participez, anonymement, sur https://goo.gl/forms/nAO0htnsVmxotjYm1


12