Tous les forums
Composite-adhésif-colle-résine
25/01/2017 à 10h54
un beau silicate :)
J'ai toujours rêvé d'essayer. pas facile à ce qu'on m'a dit.
--
la réponse à vos questions est sans doute sur www.arcad-dentaire.fr !
25/01/2017 à 14h00
non pas En antérieur 😊... mais en postérieur je n'hésite pas à mettre des amalgames.
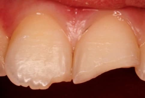
Regarde Lardonsbis je sais pas ce que c'est que ces sortes d'invaginations. C'est bizarre
25/01/2017 à 14h04
un mille-feuille cicatriciel ?
miam !
--
la réponse à vos questions est sans doute sur www.arcad-dentaire.fr !
25/01/2017 à 21h32
junior® écrivait:
-----------------
> ---------
> > Et comment dire, je me suis beaucoup
> > appliqué, la patiente venait hors des horaires d'ouverture, le samedi AM et
> > ainsi j'avais tout le temps nécessaire pour faire de la qualité.
>
> Tiens tiens bizarre bizarre en dehors des heures d'ouverture. Y a anguille sous
> roche
1) cela m'arrive, quand je veux faire un truc chronophage.
2) cela m'arrive quand je veux me faire plaisir, techniquement s'entend, ou essayer une nouveauté.
3) tu ne sais pas ce qui est bon;
25/01/2017 à 23h16
junior® écrivait:
-----------------
> Chipoudine nous parle d'hydrolyse : regardez voir la gueule de l'hydrolyse 😊😊😊
> plutôt une carie non ?
C'est bien tu progresses ! tu commence à savoir faire la différence entre une hydrolyse qui est un phénomène chimique et une reprise de carie qui est un phénomène bactérien.
A moins que cela soit une combinaison de 3 facteurs en même temps :
- Hydrolyse au niveau de l'émail
- Attaque du joint collé dentinaire par les MMP's
- Infiltration bactérienne
Bref du classique quoi , utilisation d'un système all in one sans mordançage. Quand on colle avec de la merde , on fait de la merde ! J'imagine que tu sais ce qu'il faut faire pour limiter l'action des MMP's dans le temps, donc tu devais t'en douter.
Tu vois le type qui scelle ses couronnes au CAVIT , s'il raisonne comme toi il va dire que les ciments de scellement c'est de la merde...
Au fait, la prochaine fois quand tu vois une péri-implantite , il faut ouvrir ouvrir un fil " les implants ça marche jamais" avec une photo ou une radio histoire d'avoir une argumentation scientifique irréfutable.
25/01/2017 à 23h54
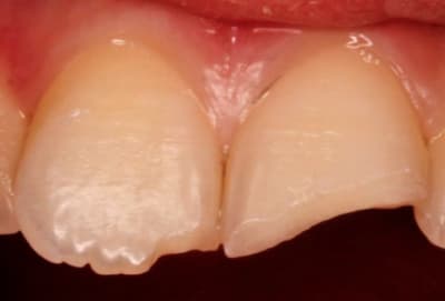
Tiens junior tu vois cette gamine (la fille d'un ami) , qui s'est pété les 2 centrales lorsqu'elle avait 9 ans , ben j'ai pas hésité à lui faire un compo. Tu lui aurait sûrement proposé un amalgame ou une CCC .....à 9 ans , bien sur en ayant bien pris soin de faire une belle endo et un IC parceque la meilleure obturation c'est pas la pulpe. Bien sur tu lui expliquera rapidement qu'il lui faudra un implant à 30 ou 40 ans en passant pour un cador de l'EIMCI !
Tout cet émail résiduel et en quantité c'est une mine d'or pour les adeptes du collage. Cela fait 3 ans maintenant , je n'ai toujours pas mis un coup de fraise...pas une retouche , pas de joint orange...c'est bizarre on ne publie pas les mêmes photos toi et moi .....comme quoi les photos ....
Dans 10 ans elle aura le choix entre reprendre le compo qui aura vielli (mon dieu quelle horrrreuuur un truc qui ne reste pas à vie !!!!) ou faire une facette dont je te rappelle que le taux de succès à 20 ans est de 94% .
Si la facette pose souci tu sais quoi ? elle pourra en faire une autre !!!! c'est fou ça quand même !
A 60 ans après une autre fracture peut être que l'IC-CCC sera la seule solution , et bien on couronnera....pas moi je serai à la retraite ou déjà parti ....
Avec un peu de chance Elle mourra avec sa dent .
Chacun sa philosophie , la mienne s'appelle le gradient thérapeutique .
26/01/2017 à 06h41
Non mais t'es pas bien toi -> j'aurais mis un composite comme toi
Ouai Bin continue à mettre des compos partout et même sur les dents postérieures si ça te fait plaisir comme ça t'auras des reprises de carie plus rapidement .
-> dis moi chipoudine, quelle est la longévité moyenne des amalgames ? Quelle est celle des composites ? Dis moi voir un peu
26/01/2017 à 17h04
moi je n'y comprends plus rien en colle et compos .
avant tu avais un machin bleu , un liquide qui peguait ( en 1 ou 2 parties )et le compo .
de nos jours ,si tu ouvres le tiroir adhoc sans avoir les modes d'emplois , tu peux aller te recoucher .
on dit protocole ,on devrait dire mode d'emploi de la colle.
notre niveau de fortiche en dentisterie ,est evalué ,en fonction de la connaissance du dernier flacon à la mode .
du coup notre reputation ne depend que des labos qui nous promènent de rinçages en photopolymèrisations .
et heureusement qu'on a la glycerine pour faire passer tout ça :-))))
26/01/2017 à 18h26
ha ha ha , moi non plus j'y comprends plus rien , ça colle sur quoi , et puis t'as des composites de scellement ..heu oui mais faut aussi mettre de l'adhesif ..heu oui mais alors ça colle ou pas et ça colle à quoi ? Bref faudrait une application qui te donne le mode d'emploi ! Et puis tous ces petits pistolets qui se ressemblent ! Bref un bon amalgame au moins c'est clair !