Cookie Consent byPrivacyPolicies.comBridge Richmond - Eugenol

Bridge Richmond

carident

04/02/2017 à 17h41

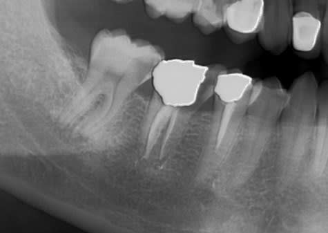
Pour réaliser un bridge qui tient la route et ne se descelle pas tous les 4 matin, il est parfois nécessaire de créer des artifices de rétention sur les moignons ou les IC, lorsque la hauteur coronaire est faible...

Lorsque la hauteur coronaire trop faible ne permet pas d'obtenir à la fois, un espace prothétique suffisant pour réaliser une prothèse esthétique, et une rétention convenable, je réalise un bridge Richmond.

Comment coter cela avec la CCAM?

Q8fbpj058xv8smrhjdpu - Eugenol
Elcctmsnbkse9umfdvvk - Eugenol
Y6kzvoaxlth3po63phks - Eugenol
Fjk493qcngbwv6tcd3wt - Eugenol
Traodgcptlpmmkjsjl7m - Eugenol

4a338550 6a5b 47ea b2a7 d3cb675c5076 oni5gh - Eugenol
fistule 69

04/02/2017 à 18h47

Bridge classique et 2 inlay-core, pourquoi t'embêter !
Indétectable à la RX et personne ne démontera pour vérifier.
D'ailleurs toi non plus tu ne démonteras pas le bousin!!!!
😷😜😱


220px don camillo4 qrcfhs - Eugenol
camillo

04/02/2017 à 18h51

Démonter, bien sûr que non.
Mais demander la facture du prothésiste en revanche...


Dolan donald duck weird wqjham bw43ju - Eugenol
GéPé

04/02/2017 à 19h18

On va encore me traiter de chieur mais t'es a 2 mm de l'apex de la 47 en distal, bonne chance pour démonter un truc comme ça pour faire le RTE si problème...
Sinon + 2 IC + bridge, et demande une facture "détaillée" au prothésiste.

Si tu veux être dans les clous, c'est NPC, c'est en dehors des données acquises.


Vw campersurfvan bmnk1q - Eugenol
enlaye

04/02/2017 à 19h26

camillo écrivait:
-----------------
" Mais demander la facture du prothésiste en revanche..."
vla autre chose ,il faut garder les radio ,et la facture labo détaillée maintenant ?
commence à me gonfler ,ce métier :-))


Vw campersurfvan bmnk1q - Eugenol
enlaye

04/02/2017 à 19h30

Carident ,ne l'ecoutes pas le G-P , tu le sais qu'il est méchant :-)))). il est bien ton boulot ,ne pleures pas :-)


Utilisateur banni

04/02/2017 à 19h36

enlaye écrivait:
----------------
> camillo écrivait:
> -----------------
> " Mais demander la facture du prothésiste en revanche..."
> vla autre chose ,il faut garder les radio ,et la facture labo détaillée
> maintenant ?
> commence à me gonfler ,ce métier :-))

Ce n'est plus d'une assistante que vous allez avoir besoin mais de 2 secrétaires.


4a338550 6a5b 47ea b2a7 d3cb675c5076 oni5gh - Eugenol
fistule 69

04/02/2017 à 19h43

@camillo
Tu psychoses un peu avec ta facture du protho, 20 ans de boutique et aucun contrôle, alors le NPC sur un truc comme ça, c'est vraiment pour enculer les mouches !
😷💩🐝
J'ai pas trouvé de mouche...


colza2

04/02/2017 à 19h43

bridge


Vw campersurfvan bmnk1q - Eugenol
enlaye

04/02/2017 à 19h56

Ceci dit , ce n est pas la peine de vouloir chercher la retention a ce point ,si?surtout Le truc sur la molaire .
Tu dors bien la nuit ? :-)))


carident

04/02/2017 à 20h21

GéPé écrivait:
--------------
> On va encore me traiter de chieur mais t'es a 2 mm de l'apex de la 47 en distal,

Je ne pense pas être à 2 mm de l'apex radiologique. Par contre je suis à l'apex détecté par le localisateur. Je reprendrais d'autres rétro sous différents angle pour voir...

> bonne chance pour démonter un truc comme ça pour faire le RTE si problème...

Tu coupes le bridge au niveau de l'inter, et tu te retrouves avec :
- une endocouronne sur 47 avec à peine 1 mm de hauteur coronaire en distal ;
- une couronne Richmond sur 45

> Sinon + 2 IC + bridge, et demande une facture "détaillée" au prothésiste.
>
> Si tu veux être dans les clous, c'est NPC, c'est en dehors des données acquises.

Ok


carident

04/02/2017 à 20h22

enlaye écrivait:
----------------
> Carident ,ne l'ecoutes pas le G-P , tu le sais qu'il est méchant :-)))). il est
> bien ton boulot ,ne pleures pas :-)

Je pensais que c'était Donald le gentil, mais non, c'est Picsou le méchant! ;-)


carident

04/02/2017 à 20h27

enlaye écrivait:
----------------
> Ceci dit , ce n est pas la peine de vouloir chercher la retention a ce point
> ,si?surtout Le truc sur la molaire .
> Tu dors bien la nuit ? :-)))

J'ai jamais eu de couronne ni de bridge qui ce soit descellé, c'est pour ça que je dors bien la nuit :-)
Et c'est pour ça que je ne veut pas que ça commence...

La couronne provisoire sur la 47 n'aurait pas tenu 1 semaine avec du ciment provisoire classique, malgré la cavité interne. J'ai dû la scellé avec du provitemp (ciment provisoire renforcé à la résine) pour être sûr ;-)

Le truc, c'est qu'avec un bridge comme ça, si ça se descelle au niveau du pilier postérieur au bout de 2 ou 3 ans, tu es quand même bien embêté... D'où le recherche d'une meilleur rétention.


carident

04/02/2017 à 20h29

colza2 écrivait:
----------------
> bridge

C'est encore une belle arnaque de la sécu... Pareil que la couronne Richmond. C'est en quelque sorte unIC grauit pour la sécu! Quand c'est une endo-couronne ok, mais quand tu passes du temps pour faire le logement de tenon, l'essayage de l'armature, etc...


Vw campersurfvan bmnk1q - Eugenol
enlaye

04/02/2017 à 20h39

Je pense que ta cavite sur la molaire fait le contraire de ce que tu esperes. Tu perds un peu d opposition entre les faces mesiale et distale .ce qui n empeche que tu puisses continuer à faire de beaux reves .:-)


carident

04/02/2017 à 20h46

enlaye écrivait:
----------------
> Je pense que ta cavite sur la molaire fait le contraire de ce que tu esperes. Tu
> perds un peu d opposition entre les faces mesiale et distale .ce qui n empeche
> que tu puisses continuer à faire de beaux reves .:-)

Certes, je perds de "l'opposition entre face D et M, mais je crée deux oppositions (V et face interne de la cavité, et L et face interne de la cavité), et j'augmente la surface développé et notamment la surface verticale.


Vw campersurfvan bmnk1q - Eugenol
enlaye

04/02/2017 à 20h48

Non.


carident

04/02/2017 à 20h49

Si

:-)


Vw campersurfvan bmnk1q - Eugenol
enlaye

04/02/2017 à 20h50

Non non :-)


carident

04/02/2017 à 20h50

J'abdique, l'argument du double non... C'est trop fort! Même pour Carident :-))))


Vw campersurfvan bmnk1q - Eugenol
enlaye

04/02/2017 à 20h52

:-)))


Vw campersurfvan bmnk1q - Eugenol
enlaye

05/02/2017 à 10h34

Tu vois que c est bien la richmond finalement .
Quelque part c est l ancêtre de l' endo couronne .
En plus sur ta préparation canalaire ,les pans sont bien parallèles avec les faces coronaires opposées .
Si tu avais fait un IC ,tu n aurais pas pris autant de précautions .


Utilisateur banni

05/02/2017 à 10h48

carident écrivait:
------------------
> Pour réaliser un bridge qui tient la route et ne se descelle pas tous les 4
> matin, il est parfois nécessaire de créer des artifices de rétention sur les
> moignons ou les IC, lorsque la hauteur coronaire est faible...
>
> Lorsque la hauteur coronaire trop faible ne permet pas d'obtenir à la fois, un
> espace prothétique suffisant pour réaliser une prothèse esthétique, et une
> rétention convenable, je réalise un bridge Richmond.
>
> Comment coter cela avec la CCAM?


non sens mécanique .... déséquilibre mécanique assuré car distribution des forces inégales sur les piliers ...

NB si IC faire radios pour prouver si contrôle après pose


Vw campersurfvan bmnk1q - Eugenol
enlaye

05/02/2017 à 11h05

protese écrivait:
-----------------
" non sens mécanique .... déséquilibre mécanique assuré car distribution des forces inégales sur les piliers ..."

????les forces sont déjà naturellement inégales en intensité et en direction entre une molaire et une premo .
sinon on aurait des canines de partout et on ferait Hhi Hhi Couic ,comme flipper le dolphin .


Hok 1b hgd3rj - Eugenol
Hokusai

05/02/2017 à 11h16

protese écrivait:
-----------------

> NB si IC faire radios pour prouver si contrôle après pose

Pourquoi ? faut irradier le patient pour pouvoir faire preuve de sa bonne foi ? En contrôle secu, on est coupable a priori ??