Cookie Consent byPrivacyPolicies.comBridge Richmond - Eugenol

Bridge Richmond

Jack 2 wm3tqs - Eugenol
Treponem

05/02/2017 à 16h25

Celle avec l'IC ?
Pfff ça commence à me faire chier ces conneries.

Ils peuvent t'emmerder parce que tu as repris une endo qui ne semblait pas le nécessiter ?
Je reprends quasi systematiquement. Encore cette semaine, un début de pêche sur une couronne posée il y a 2 ans sur une endo qui semblait nickel,ça vaccine, je vais devoir dėmonter, et reprendre, conclusion : j'aurais dû reprendre en première intention.


Capture d  cran 2015 03 12 12.28 - Eugenol
chicot29

05/02/2017 à 16h44

Je ne pense pas. Toutefois une radio per op sans digue.....

Ne serait ce que pour faire l'économie d'un Z3 des radios per op. Quand tu as été chopé une fois tu ne les cotes plus si il n'y a pas la digue !

Simplement pour dire qu'en cas de controle d'activité il vaut mieux se faire assister. Et dès la demande d'information. Ta bonne fois ne t'es d'aucune utilité. Si tu es de mauvaise fois et que tu réponds dans les cases c'est mieux.

Exemple : pour un status complet non justifié à priori par la présence de soins multiples importants en bouche tu peux faire valoir un tt ortho comme antécédent de soins intensifs.
Ca ne veut pas dire pour autant qu'il faille mitrailler dans tous les sens.

Et ca ca ne marche pas avec un pano. Il faut un signe d'appel.


--
En cas d'échec des négociations conventionnelles, seriez-vous prêt à suivre la promotion d'un déconventionnement massif de la profession par les syndicats représentatifs ? OUI - NON
Participez, anonymement, sur https://goo.gl/forms/nAO0htnsVmxotjYm1


220px don camillo4 qrcfhs - Eugenol
camillo

05/02/2017 à 18h48

Ou alors on met juste un crampon sur la dent pour faire joli a la radio....


Hok 1b hgd3rj - Eugenol
Hokusai

05/02/2017 à 18h58

Tu rajoutes le crampon en calque photoshop...


carident

05/02/2017 à 19h31

chicot29 écrivait:
------------------
> Une ou plusieurs photos ? Ca devrait les calmer non ?
>
> Bien sur ne pas leur resservir les memes à chaque cas à justifier ! -)))
>
> Et ca justifie tout de A à Z.


Si on est vraiment filou (pas fillon), on peut aussi demander un ic en plus à son labo low cost préféré (ça coute moins de 30€), pour faire une petite photo finish avec l'ic mis en place, avant de sceller la couronne ou le bridge Richmond... :-)

Faudrait plutôt faire la photo de l'intrados prothétique pour prouver que la prothèse n'est pas Richmond, ou encore mieux changer la cotation CCAM des couronnes Richmond (pour la bridge ça va être plus compliqué avec la CCAM) avec une juste revalorisation par rapport à une couronne classique...


Vw campersurfvan bmnk1q - Eugenol
enlaye

05/02/2017 à 19h40

Parce que vous vous avez des factures labo avec les noms ?
Eh ,ho ,et le secret professionnel ,alors ?
Je ne mets jamais le nom sur la fiche labo . Surtout que je ne me souviens plus des noms au moment de remplir la fiche ,d ou les sur noms :-):-):-)


carident

05/02/2017 à 19h47

enlaye écrivait:
----------------
> Parce que vous vous avez des factures labo avec les noms ?
> Eh ,ho ,et le secret professionnel ,alors ?
> Je ne mets jamais le nom sur la fiche labo . Surtout que je ne me souviens plus
> des noms au moment de remplir la fiche ,d ou les sur noms :-):-):-)

Le miens me fait une facture avec les noms et une autre sans...


Capture d  cran 2015 03 12 12.28 - Eugenol
chicot29

05/02/2017 à 20h33

carident écrivait:
------------------
> chicot29 écrivait:
> ------------------
> > Une ou plusieurs photos ? Ca devrait les calmer non ?
> >
> > Bien sur ne pas leur resservir les memes à chaque cas à justifier ! -)))
> >
> > Et ca justifie tout de A à Z.
>
>
> Si on est vraiment filou (pas fillon), on peut aussi demander un ic en plus à
> son labo low cost préféré (ça coute moins de 30€), pour faire une petite photo
> finish avec l'ic mis en place, avant de sceller la couronne ou le bridge
> Richmond... :-)

Tu demandes les 2 ca te coutera le meme prix que ton labo francais. Après j'ai du mal à saisir l'opportunité de la chose. -)))

--
En cas d'échec des négociations conventionnelles, seriez-vous prêt à suivre la promotion d'un déconventionnement massif de la profession par les syndicats représentatifs ? OUI - NON
Participez, anonymement, sur https://goo.gl/forms/nAO0htnsVmxotjYm1


carident

16/02/2017 à 12h09

GéPé écrivait:
--------------
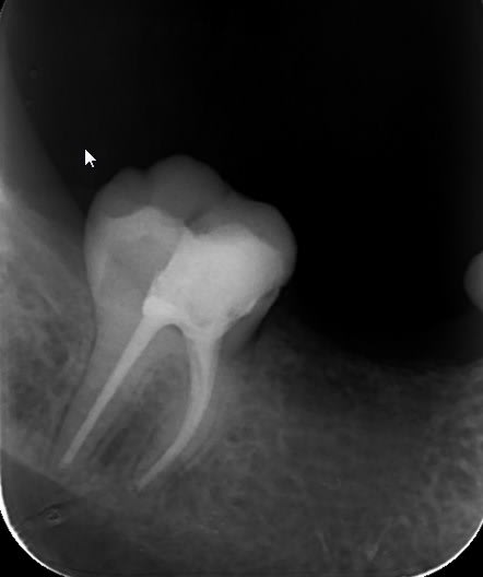
> On va encore me traiter de chieur mais t'es a 2 mm de l'apex de la 47 en distal,
> bonne chance pour démonter un truc comme ça pour faire le RTE si problème...

Bon j'ai repris une radio de la 47,une fois le bridge posé, pour contrôler l'adaptation et en même temps vérifier que je ne suis pas à 2 mm du dôme apicale radiologique.

D'après la mesure effectuée sur le logiciel cliniview, je suis à seulement à 0.6 mm de l'apex radiologique.

Screenshot338 q5nofm - Eugenol
Screenshot340 rsyivt - Eugenol
Screenshot342 x1ju6s - Eugenol
Screenshot343 dqeorc - Eugenol