Cookie Consent byPrivacyPolicies.comcanine incluse - Eugenol

canine incluse

Icon poker h4nm2d - Eugenol
jeff

15/02/2017 à 10h27

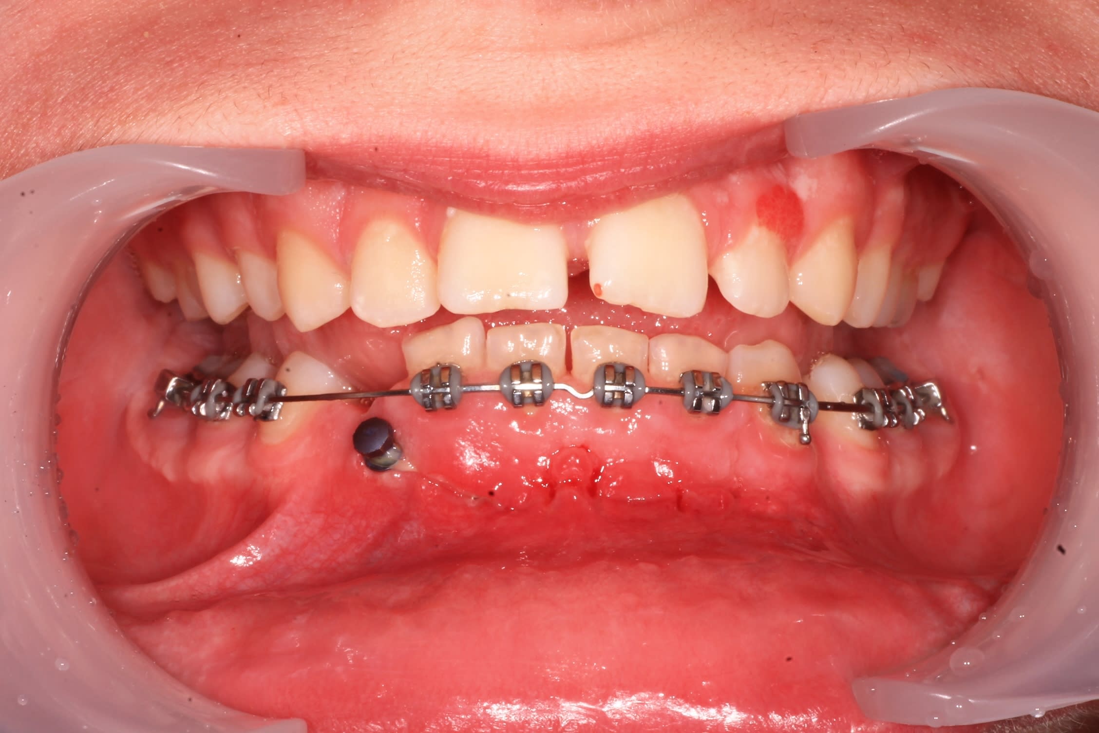
Possible, pas possible ?

Tylncq2fa2wezguht2tl - Eugenol
Pf1hvz2dbjucfjgrcjev - Eugenol

Dolan donald duck weird wqjham bw43ju - Eugenol
GéPé

15/02/2017 à 10h36

Bah ça dépend ce que tu veux faire ?


Generique fraisage r2rxmm - Eugenol
lardonbis

15/02/2017 à 11h08

c'est qui le pro de canne à pêche déjà ? :)


--
la réponse à vos questions est sans doute sur www.arcad-dentaire.fr !


Photo pluton1b h9n4ea - Eugenol
pluton

15/02/2017 à 11h08

çà va être coton...mais pourquoi pas tenter, histoire de ne pas regretter...
ce que je ferais, perso dans un cas comme çà: une minivis sous la canine temporaire et je colle une chainette sur la canine que je relie à la minivis...et là tu regardes ce qui se passe dans les prochains mois, soit tu arrives à la tracter et tu peux envisager la suite en ortho, soit nada et là exo et implant...


Photo pluton1b h9n4ea - Eugenol
pluton

15/02/2017 à 11h09

lardonbis écrivait:
-------------------
> c'est qui le pro de canne à pêche déjà ? :)

c'est Dancha...;-)


1309531 ours brun n5iukf - Eugenol
seespan

15/02/2017 à 13h26

L'apex de la 43 est en bonne position, ce qui veut dire que tu n'a qu'a faire un mouvement de tipping pour redresser la dent.

J'ai quasi le même cas en cour :-) .

La patiente avait besoins d'un traitement ortho ( une canine impacté en haut aussi ) donc j'ai intégré la traction avec l'appareillage et pas besoin d'utiliser de minivisse.

Par contre c'est long prévoir minimum un ans pour redresser la canine.


--
หมอจัดฟัน


1309531 ours brun n5iukf - Eugenol
seespan

15/02/2017 à 13h32

Plus d'un ans pour en arriver là.




--
หมอจัดฟัน

Impacted lbrnqb - Eugenol

Icon poker h4nm2d - Eugenol
jeff

15/02/2017 à 16h12

j'ai posé les brackets ce matin. Bonne idée , la minivis, cela évitera de mésialer 46.

Je ne vois pas trop la mécanique automatique avec TMA a la Dancha dans ce cas.


1309531 ours brun n5iukf - Eugenol
seespan

15/02/2017 à 16h20

jeff écrivait:
--------------
> j'ai posé les brackets ce matin. Bonne idée , la minivis, cela évitera de
> mésialer 46.
>
> Je ne vois pas trop la mécanique automatique avec TMA a la Dancha dans ce cas.

Un miniviss au niveau de la canine de lait vas avoir une composante trop lingual, et comment vas tu controlé la direction de traction ? Elle sera imposé par la position de la visse.

Une simple boucle en TMA au niveau de la molaire te permet de contrôler completment la direction de la traction.
L'activation de la force est aussi constante ce qui est un autre plus.

Un simple TPA de 6 a 6 suffit largement comme unité d'ancrage dans ce cas
--
หมอจัดฟัน


1309531 ours brun n5iukf - Eugenol
seespan

15/02/2017 à 16h22

Pour ton cas comme pour le mien il faut une composante occlusal et légèrement vestibulaire et pas occlusal lingual.


--
หมอจัดฟัน


1 eugenol dmj5np - Eugenol
Dancha

15/05/2017 à 10h12

jeff écrivait:
--------------
> j'ai posé les brackets ce matin. Bonne idée , la minivis, cela évitera de
> mésialer 46.
>
> Je ne vois pas trop la mécanique automatique avec TMA a la Dancha dans ce cas.

Mille excuses, je ne m'étais pas connecté sur eugenol depuis longtemps et viens de découvrir ton problème seulement aujourd'hui.

Voici un exemple de traction de canine incluse inférieure. Il faut absolument laisser les incisives inférieures totalement libres pour qu'elles puissent un peu se déplacer spontanément si nécessaire.

La supériorité du CT8 sur n'importe quel autre ancrage pour tracter les canines incluses tient en particulier à sa longueur qui permet des forces légères (25g), avec une grande amplitude de mouvement en direction contrôlée. Prévois bien un retour du fil suffisamment long après sa pliure au niveau de la ligature pour avoir de la marge. Tu pourras alors le déplier et le replier différemment en cours de traitement si tu veux, un moment donné, modifier la direction de la force. On a en effet toujours tendance à le couper trop court.

Amuse-toi bien et tiens nous au courant.

Daniel

Ct8 1 43 incluse rlrvlu - Eugenol

Icon poker h4nm2d - Eugenol
jeff

15/05/2017 à 15h56

tu es excusé, Daniel. Pas de problème.

Bon, par contre, il va falloir que reintervenne un peu.

l'arcade est baguée, et j'ai mis une minivis, qui , comme je le pensais, provoque l'enfouissement de la chaînette dans la gencive :(

L jean baptiste 1 t0jpf6 - Eugenol
L jean baptiste 2 y6j8ah - Eugenol
L jean baptiste p8wszt - Eugenol

Generique fraisage r2rxmm - Eugenol
lardonbis

15/05/2017 à 16h48


le chemin le plus court :)


Icon poker h4nm2d - Eugenol
jeff

10/07/2017 à 18h49

Mon patient sort du cab a l'instant, avec un CT8 tout neuf.
La traction avec la chainette sur minivis avait deja initié le travail.
je mettrais les pano a mesure de l'avancement du traitement.

Canine incluse3 crququ - Eugenol
Img 8978 2 vjmg9j - Eugenol

Avatar transparent iqadnc - Eugenol
adhoc

10/07/2017 à 19h08

En attendant, jeff, quelque soit la technique utilisée, mets vite un ressort comprimé entre 42 et 44. La traction va entrainer par le jeu d'action et reaction dans sa composante horizontale une fermeture de cet espace .


Icon poker h4nm2d - Eugenol
jeff

11/07/2017 à 09h54

tu as raison. et , pris par la chir hier soir, j'ai meme pas faire gaffe qu'il a decollée le bk 44 !
il faut que je revois la photo pour m'en rendre compte :)


Dancha2

17/07/2017 à 18h20

jeff écrivait:
--------------
> Mon patient sort du cab a l'instant, avec un CT8 tout neuf.
> La traction avec la chainette sur minivis avait deja initié le travail.
> je mettrais les pano a mesure de l'avancement du traitement.

C'est assurément un beau fil et une belle boucle, mais es-tu sûr que tes vis vont tenir ? Elles me paraissent bien hautes par rapport à la ligne oblique externe où on les place habituellement.

Daniel


1309531 ours brun n5iukf - Eugenol
seespan

07/10/2017 à 15h32

Ca y est 8 mois plus tard j'ai put poser un bracket dessus :-) .

Pour ton cas ça devrait aller plus vite. Quand j'ai commencé ce cas je n'avais pas le bon matériel disponible ( aujourd'hui ça serait la technique à Dancha direct ) , j'ai bricolé différent stytem mais il y a eux de la casse et plusieurs réparation on était nécessaire.
Enfin gros plaisir quand j'ai collé le bracket sur cette dent.



--
หมอจัดฟัน

Impacted xlch99 - Eugenol

ken

07/10/2017 à 19h34

Bravo seespan


ken

09/10/2017 à 14h33

http://kevinobrienorthoblog.com/substituting-premolars-canines/


1309531 ours brun n5iukf - Eugenol
seespan

09/10/2017 à 15h49

Oui enfin cette étude enfonce un peut une porte grande ouverte donnant sur un balcon.
L'on sais qu'il n'y a aucun soucie esthétique à remplacer un latéral absente par agénésie par une canine et donc du même cout remplacer la canine par un prémolaire.

Sur ce cas très honnêtement je n'avais pas imaginer que redresser cette canine prendrait si longtemps. Mécaniquement très simple du à la bonne position de l'apex, simple mouvement de tipping mais putain 2 ans ...



--
หมอจัดฟัน


1309531 ours brun n5iukf - Eugenol
seespan

09/10/2017 à 15h51

Et là la substitution elle est ou ?


--
หมอจัดฟัน

Sub cso8hj - Eugenol

Icon poker h4nm2d - Eugenol
jeff

09/10/2017 à 16h32

Daniel , pour l’instant , les vis sont toujours en place , mais je vois ce que tu veux dire .
C’est pour la traction , que j’ai un peu de mal . Pour savoir comment activer ce fil .


1309531 ours brun n5iukf - Eugenol
seespan

09/10/2017 à 17h04

Personne ne trouve la substitution ?



--
หมอจัดฟัน


ken

09/10/2017 à 17h18

13 à la place de la 12


12