Cookie Consent byPrivacyPolicies.comMECI Anthogyr - Eugenol

MECI Anthogyr

Rebellious135

18/02/2017 à 13h26

Bonjour,

C'est mon premier cas de mise en charge immédiate.
Patient de 82 ans, sous préviscan, INR autour de 2,5 toute l'année.

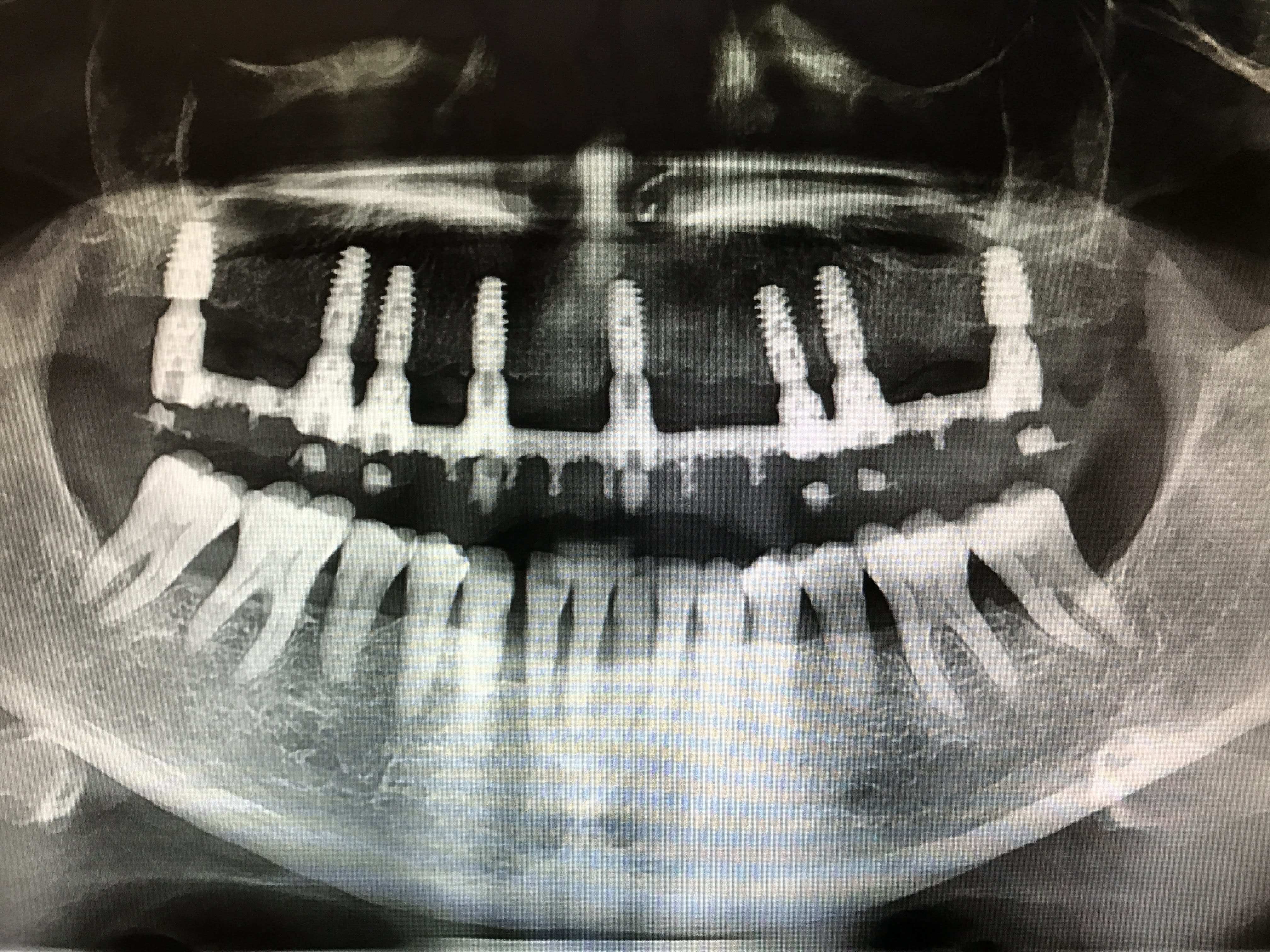
Nous avons décidé avec le patient de faire une arcade courte (16-26) sur 6 implants. Une fois le haut validé, nous ferons le bridge 32-42 sur 2 implants + le remplacement de la 36.La 48 est à extraire et la 38 à voir.

J'ai demandé un guide radio simulant le future bridge avec des trous dans lequel j'ai mis du cavit (radioopaque). Ce guide est utilisé par la suite pour me repérer la position des premiers forages.

J'ai fait une simulation des implants avec CBCT. J'ai prévu utiliser Anthogyr axiom PX: 10mm de long, 4,6mm en postérieur et les 4 autres en 4mm.

J'ai fait un lambeau avec une incision crestale sans décoller trop loin.

Après le 1e forage, j'ai gardé une tige pour me donner référence de l'axe des autres forages.

Lors de la pose, l'assistante s'est trompé d'implant (et avec le stress je ne l'ai pas vérifié) pour le 24 (4,6 au lieu de 4mm). Je m'en suis rendu compte au moment de la 16 (plus de 4,6 en PX..) j'ai mis un 4,6 mais en REG, avec un blocage à 25N.

Ensuite la pose des piliers MU, droit standards sauf pour la 13 où j'ai du en poser à 20 degrés angulé pour suivre la crête antérieure bien résorbée.

La prise d'empreinte après les sutures avec impregum soft avec seringues dans porte empreinte à ciel ouvert (transferts sur les MU)

Le mordu avec les capuchons sur les MU.

Prescription ATB, antalgiques nvI, celestene 6mg/3j, exacyl/compresses.

Envoi au labo. L'assistante s'est encore trompée (envoi par colissimo au lieu de chronopost...) Donc on a perdu 1 jour de plus. Pose du bridge avec armature métallique le 4e jour après la chirurgie (au lieu de 48-72h...) et les dents sur résine.

Essayage aujourd'hui, le bridge ne s'adapte pas parfaitement. Je n'ai pas voulu forcer avec les vis MU car elles sont fragiles. Reprise d'empreinte et renvoi au labo... Pas de complication post op (pas de douleur etc. sauf saignement continue le 1e jour)

RDV de pose prévu mercredi prochain, soit 7 jours après la chirurgie.

J'espère que ça ira!

Hayfn2ksowqsdsknsfzg - Eugenol
Oocepa0ymlanqrmxansh - Eugenol
Lbfpk3ks3kv5lapgfk4t - Eugenol

Photo pluton1b h9n4ea - Eugenol
pluton

18/02/2017 à 13h44

çà n'est plus une MCI...mais une mise en charge précoce...

bon boulot...sauf que pour ton patient çà va être long 7 jours à la purée/bouillie...

si le bridge ne rentre pas => totalement à refaire par le labo (deuxième facture?)

bein sincèrement même si çà a un coût...qu'est-ce que c'est plus tranquille avec Posit!!!
je ne reviendrais pour rien au monde en arrière pour ce genre d'intervention


Rebellious135

18/02/2017 à 16h33

Posit? C'est de l'usiné?
Anthogyr propose simeda mais c'est minimum 7-10 jours.
Avec ce labo on pourrait l'avoir dans la journée s'il n'y avait pas de distance (sinon 48-72h avec le transport)

Je pense que le prothésiste va couper l'armature pour la resouder au laser s'il y a erreur.

Qu'est-ce que vous pensez du silicone par addition monophase (aquasil) pour ce genre d'empreintes au lieu du polyether (impregum soft)?


S2y2o1v7q53ws4r5wy6ou8czrpom - Eugenol
pxav

19/02/2017 à 08h36

Si çà ne s'ajuste pas parfaitement, je refais le bridge, pas de compromis pour un bridge sur implant, tu aurais du essayer l'armature.
Imagine une fracture du bridge tu risques de perdre 6 implants....expérience vécue en 1990....


--
xbk
"Si tous ceux qui croient avoir raison n'avaient pas tort, la vérité ne serait pas loin" Dac Pierre


Photo pluton1b h9n4ea - Eugenol
pluton

19/02/2017 à 08h48

Rebellious135 écrivait:
-----------------------
> Posit? C'est de l'usiné?

Posit, c'est de la vraie MCI...
c'est un bridge armature métal avec des logements prévus pour sceller/solidariser les piliers provisoires en place lors de la chirurgie et donc la garantie d'avoir un bridge 100% passif et un patient qui sort de sa chir avec ses dents...
c'est aussi la liberté de faire une MCI avec un bridge "scellé sans ciment de scellement" à l'esthétique incomparable...
mais c'est aussi l'expertise de toute une chaine technique qui va de l'étude et la planification des sites de pose les plus judicieux, avec recherche des ancrages osseux et des positionnements les plus en accord avec une esthétique optimums...
et en plus, il est là avec toi dans le bloc, fait s'il le faut l'aide opératoire non stérile et les finitions de la prothèse...

> Je pense que le prothésiste va couper l'armature pour la resouder au laser s'il
> y a erreur.

démonter/couper puis re-souder...s'il y a un pb sur un implant pourquoi pas...mais si c'est sur l'ensemble...il aura plus vite fait de refaire totalement l'armature...

>
> Qu'est-ce que vous pensez du silicone par addition monophase (aquasil) pour ce
> genre d'empreintes au lieu du polyether (impregum soft)?

jamais essayé l'aquasil...
je reste depuis toujours sur LA référence en terme d'empreinte pour les implants: l'impregum....(soft pour moi aussi)


Images 1 vwmtnm - Eugenol
Castor

21/02/2017 à 20h57

Pourquoi ne pas avoir mis des implants plus longs?
Je pense qu'un all on 6 classique aurait été plus indiqué non?


Rebellious135

22/02/2017 à 07h09

Pas d'implants plus long car ça ne sert à rien.
L'intérêt des implants plus longs est de chercher un ancrage de tu ne retrouves pas (notamment en cas de ext-implant immédiate par ex.)


Photo pluton1b h9n4ea - Eugenol
pluton

22/02/2017 à 12h33

L'intérêt des implants longs c'est d'avoir un ancrage bi-cortical... Très intéressant quand tu fais une MCI
Donc désolé mais dans ce cas, je ne peux pas être d'accord avec toi


Generique fraisage r2rxmm - Eugenol
lardonbis

22/02/2017 à 12h39

pas top niveau vascularisation le bi-cortical non ?

hophophop... je te vois venir avec tes grosses spires :)

--
ici bientôt de la pub pour hodina .


Protée

22/02/2017 à 13h55

lardonbis écrivait:
-------------------
> pas top niveau vascularisation le bi-cortical non ?
>
> hophophop... je te vois venir avec tes grosses spires :)


Non je ne crois pas ! Là les spires c'est pour un os mou si j'ai bien compris. Le bi cortical c'est apical et au col; stabilisé en balance au col et à l'enfoncement en posant l'apex sur la corticale si possible.
Ai je bien appris Pluton?
Pour la vascularisation il suffit de prendre un corps d'implant le plus petit possible. Ce n'est pas la longueur qui influe mais le diamètre de l'implant.

Et hophophop ;-)))


Generique fraisage r2rxmm - Eugenol
lardonbis

22/02/2017 à 14h07

je crois que pluton aime un type d'implant qui offre la possibilité d'avoir un corps très fin tout en allant chercher des appuis à distance ;)

je pense même qu'avec de l’expérience on peut coller des filets contre les deux murs tout en laissant du mou subsister.

--
ici bientôt de la pub pour hodina .


Photo pluton1b h9n4ea - Eugenol
pluton

22/02/2017 à 21h28

oui Prothée, tu as bien compris...;-)

le fait d'avoir un calage apical sur la corticale est une sécurité +++ lors des MCI car il ne faut pas oublier que dans un premier temps, la stabilité des implants va diminuer...alors autant être calé sur quelque chose de dur et stable...

maintenant, certains implants (et oui, un en particulier) permettent d'optimiser tout çà tout en conservant suffisamment de spongieux...;-)


3f3boxni50k58rq7e9ce9ddqrxgk - Eugenol
dentiste57

23/02/2017 à 03h12

Rebellious135 écrivait:

> Envoi au labo. L'assistante s'est encore trompée (envoi par colissimo au lieu de
> chronopost...) Donc on a perdu 1 jour de plus. Pose du bridge avec armature
> métallique le 4e jour après la chirurgie (au lieu de 48-72h...) et les dents sur
> résine.

j'ai peur de comprendre... tu vis sur une île ou tu travailles avec un labo parisien ?
bosses avec quelqu'un qui te fasse ça dans la journée, tu pourra surveiller et ne passer pour un con avec le patient.


Logo m4n3gc - Eugenol
drmarcus

23/02/2017 à 08h52

Voilà une Mise en charge IMMEDIATE ;-)))
Pas en 4 ou 5 jours mais en 4 heures environ. En prime je vous met le résultat esthétique à 14 mois. Je précise que ce protocole est valable avec TOUS les systèmes implantaires.
Quant au fait de ne pas sceller ni visser le bridge, c'est très facile MDR. Vous pouvez rester conventionnel rassurez vous.
Ps: Sur ce cas moi aussi je me suis gouré de coté pour un implant ....ça arrive à tout le monde! Ma chance est que la connectique de ce système est identique à toute la gamme donc no stress quant à la prothèse.


--
"La seule chose promise d'avance à l'échec, c'est celle que l'on ne tente pas" Paul Emile VICTOR

Diapositive1 d8xiyi - Eugenol
Diapositive2 ar6xhi - Eugenol
Diapositive3 oxx2qp - Eugenol
Diapositive4 fwlkx6 - Eugenol
Diapositive5 bfh7pa - Eugenol
Diapositive6 mnk3ud - Eugenol
Diapositive7 ffdbfc - Eugenol
Diapositive8 ifgebv - Eugenol
Diapositive9 ype1zz - Eugenol

Aiguille cyboyt - Eugenol
fatboy

23/02/2017 à 10h31

drmarcus écrivait:
------------------
Moi je préférais avant! ;-)

J'ai quelques petites questions:
C'est quoi la tribologie, de la friction?
C'est un bridge provisoire que tu changes au bout de 6 mois? que tu rebases? definitif direct?
En quoi, ceramique , resine?

Une MCI avec un guide implique de poser des implants la ou il y a de l'os, pas d'expansion possible par exemple, ca ne limite pas les cas?

Le bridge est-il passif sur les implants, aucune tension?

La patiente a l'air contente en tout cas.


Logo m4n3gc - Eugenol
drmarcus

23/02/2017 à 11h34

fatboy écrivait:
----------------

>
> J'ai quelques petites questions:
> C'est quoi la tribologie, de la friction?

Oui c'est le principe de la friction de par la conicité.

> C'est un bridge provisoire que tu changes au bout de 6 mois? que tu rebases?
> definitif direct?
> En quoi, ceramique , resine?

Alors c'est un bidge définitif avec des dents résines (chargées) comme sur un complet. (Principe des pistes masticatoires en occluso cf Le Gall)

>
> Une MCI avec un guide implique de poser des implants la ou il y a de l'os, pas
> d'expansion possible par exemple, ca ne limite pas les cas?

Et non on pose normalement en fonction de la prothèse. Pour l'os évidemment il faut savoir s'adapter (Pas de pub)(Si tu suis les fils tu verras que j'essaye TLJ d'améliorer).
Et oui il est possible de tout faire en expansion (Voir la photo avec tous les expanseurs en place)

>
> Le bridge est-il passif sur les implants, aucune tension?
Ah c'est le dilemme de la sémantique! Le passif n'existe pas en vérité. Passif, dans le jargon dentiste, veut dire non ajusté (Ne vous en déplaise). Quand l'ajustage est parfait il n'y a pas de stress osseux mais un strain osseux qui favorise l'ostéointégration.
Je l'ai prouvé sur ce cas avec expansion en transvissant les 2 implants ptérygoïdiens. Si mon principe n'était pas valable j'aurais à coup sûr perdu ces 2 implants!
Trouves le résultat différentiel en imagerie.


Réponses courtes trop succinctes car c'est mini 45 min de bla bla....voir une journée pour tout comprendre....ça donne les grandes lignes.

Instant pub: Pour ceux que ça intéresse je parle de ça à Marseille le 16 Mars prochain.

--
"La seule chose promise d'avance à l'échec, c'est celle que l'on ne tente pas" Paul Emile VICTOR

Expanseurs dsmgm8 - Eugenol
Ra t2qqda - Eugenol
Mci ulfk3e - Eugenol

Photo pluton1b h9n4ea - Eugenol
pluton

23/02/2017 à 18h50

instant pub bis:
si vous voulez nous rencontrer Drmarcus et moi, découvrir les solutions implantaires Megagen, notre prochaine conférence sera à Lyon le 06/04....;-)


Rebellious135

24/02/2017 à 15h18

J'ai reçu mercredi matin le bridge réparé.
Le prothèsiste m'a dit de l'avoir coupé et resoudé à 2 endroits, qu'il s'en excusait de l'erreur que c'était rare. Il m'a proposé de refaire un nouveau bridge neuf gratuitement dans 4 mois après la cicatrisation de la gencive avec une meilleur définition.

Pour info, je n'ai pas posté ce sujet pour de la pub, mais seulement pour partager mon expérience et surtout mes angoisses avec les confrères. C'est mon premier cas et ça me stresse qu'il y ait un échec. Je vais croiser les doigts pendant 3 mois je pense.

Le patient lui est très content, il m'a demandé quand on peut continuer la suite pour les implants mandibulaire. Je préfère attendre un bon mois pour me rassurer qu'il n'y a pas de perte d'implants au maxillaire. (de toute façon je n'ai pas de place avant dans l'agenda)

Je n'ai pas retiré les fils (4.0 résorbable) à j.7 de la pose du bridge, car dès que j'ai tiré un peu j'ai eu un saignement (préviscan). Le patient m'a dit de ne pas avoir eu de douleur ni de saignement sauf les 2 premiers jours + 6e jour momentanément. D'ailleur le jour de l'intervention, il était revenu à cause des saignements continue malgré l'exacyl et j'avais du faire d'avantage de suture pour l'hemostase.

Concernant les délais, le prothèsiste est capable de faire le bridge en quelques heures à la reception des empreintes. Je l'ai choisi pour ce cas car c'est celui du D.U. d'implanto (donc il a beaucoup d'expérience) le mien à 30 minutes de mon cabinet n'en a pas du tout avec les MEI.

Je suis dans un désert médical, pas de ville à 45 minutes les plus proches. Mais j'ai vécu 6 mois sur une ile aussi, je peux vous dire que vous êtes coupé du monde comparé à la campagne.

Pour mes dires, je n'ai pas de science infuse, je répète et j'essaie d'appliquer ce qu'on m'a enseigné.

Bien qu'on soit tenté par les guides (fixes, concus par ordi etc) surtout en tant que débutant, on m'a dit que c'était déconseillé sauf pour les chirurgiens expérimentés. Car en cas de merde (décalage légère etc) tout part en vrille et il faut savoir se rattraper dans ces cas là.

Moi j'utilise les repères anatomiques (crêtes, dents antagonistes..) et un guide simulant le future bridge pour les points d'impacts.


Pour la pose du bridge, chez anthogyr, c'est serrage à 25N les piliers et à 15N les vis sur les MU. Je les ai serré à la main sans clef (<15N) Vérification de l'occlusion avec papier à 40microns, coton+cavit dans les puits. (provisoire)

Sans titre pxcvlq - Eugenol

Protée

24/02/2017 à 15h27

C'est quoi ton D.U. ? enfin je veux dire où et qui le dirige?


Logo m4n3gc - Eugenol
drmarcus

24/02/2017 à 19h14

Rebellious135 écrivait:
-----------------------

>
> Pour info, je n'ai pas posté ce sujet pour de la pub, mais seulement pour
> partager mon expérience et surtout mes angoisses avec les confrères. C'est mon
> premier cas et ça me stresse qu'il y ait un échec. Je vais croiser les doigts
> pendant 3 mois je pense.

Félicitation pour ce premier cas! Je te souhaite bonne réussite pour la suite.

--
"La seule chose promise d'avance à l'échec, c'est celle que l'on ne tente pas" Paul Emile VICTOR


Rebellious135

25/02/2017 à 07h37

Protée écrivait:
----------------
> C'est quoi ton D.U. ? enfin je veux dire où et qui le dirige?

Merci.

A priori il faut quand même faire de la pub! 😊
C'est le D.U. à Clermont Fd. Pr. Veyrune est responsable mais il ne va pas tarder à prendre sa retraite je pense. Il y a les chir (Dr Huard et Dr Deschaumes) et les prothèses (Pr Auroy et Veyrune) surtout. Enfin il y en a d'autres mais j'ai surtout travaillé avec eux. C'est très clinique, le matin il y a le bloc et le service de prothèse toute la journée. On tournait pour le bloc pour ne pas être trop nombreux inutilement (les DU étaient prioritaires aux internes). La présence obligatoire un jour/semaine pendant 2 ans sauf au mois d'août. Mémoire sur un cas fait par le DU de A à Z de préférence pour le diplôme.

Ce que j'ai aimé c'est l'état d'esprit amical et bon père de famille des profs qui sont compétents mais humbles pour la plupart. Il y avait des staff tous les midi: presentation des cas cliniques et plan de traitement entre prothèse - chir - odf. + participation aux formations continue de la fac. Le point faible était la formation théorique, c'est au DU de faire l'effort de trouver les bouquins pour s'instruire. Mais comme je souhaitais pratiquer un maximum ça ne me dérangeait pas.


S2y2o1v7q53ws4r5wy6ou8czrpom - Eugenol
pxav

25/02/2017 à 08h32

Rebellious135 écrivait:
-----------------------
> J'ai reçu mercredi matin le bridge réparé.
> Le prothésiste m'a dit de l'avoir coupé et ressoudé à 2 endroits, qu'il s' excusait de l'erreur que c'était rare. Il m'a proposé de refaire un nouveau bridge neuf gratuitement dans 4 mois après la cicatrisation de la gencive avec une meilleur définition.



contrairement à ce que j'ai posté sur les soudures de bridges, dans un cas comme ça, très bonne réaction de ton prothésiste, et très bon choix, c'est clair qu'il faut le garder celui là, car il réagit de façon très positive.


> Pour info, je n'ai pas posté ce sujet pour de la pub, mais seulement pour partager mon expérience et surtout mes angoisses avec les confrères. C'est mon premier cas et ça me stresse qu'il y ait un échec. Je vais croiser les doigts pendant 3 mois je pense.

Là c'est toi qui a le bon comportement,reste dans ce chemin.


> j'utilise les repères anatomiques (crêtes, dents antagonistes..) et un guide simulant le future bridge pour les points d'impacts.

Ici aussi tu as a le bon comportement,reste dans ce chemin, avec le temps tu pourras changer, mais avec le même esprit.

>
> Pour la pose du bridge, chez anthogyr, c'est serrage à 25N les piliers et à 15N les vis sur les MU. Je les ai serré à la main sans clef (<15N) Vérification de l'occlusion avec papier à 40microns, coton+ cavit dans les puits. (provisoire)

de mémoire, c'est 10 à 15N, mais avec les Axioms, contrairement aux Anthofit, il n'y a à ma connaissance jamais de problème de dévissage.

seul remarque, sur la conception, j'aurais mis 8 implants (les 6 sont très bien posés, à main levée...


--
xbk
"Si tous ceux qui croient avoir raison n'avaient pas tort, la vérité ne serait pas loin" Dac Pierre


Utilisateur banni

01/03/2017 à 13h39

Rebellious135 écrivait:
-----------------------
> J'ai reçu mercredi matin le bridge réparé.

Aurais tu des photos du bridge en place?


Rebellious135

18/03/2017 à 13h46

posit écrivait:
---------------
> Rebellious135 écrivait:
> -----------------------
> > J'ai reçu mercredi matin le bridge réparé.
>
> Aurais tu des photos du bridge en place?

Bonjour,

Désolé pour le retard, et aussi pour les photos de piètre qualité. J'ai les miroirs mais mon assistante n'a pas l'habitude de prendre des photos. C'était à j7 la gencive bien dégonflé. Heureusement on va refaire le bridge dans 4 mois.

Sinon j'ai eu mon deuxième cas de mise en charge cette semaine. Beaucoup moins de stress cette fois. Pose en 72h avec les délais de transports.

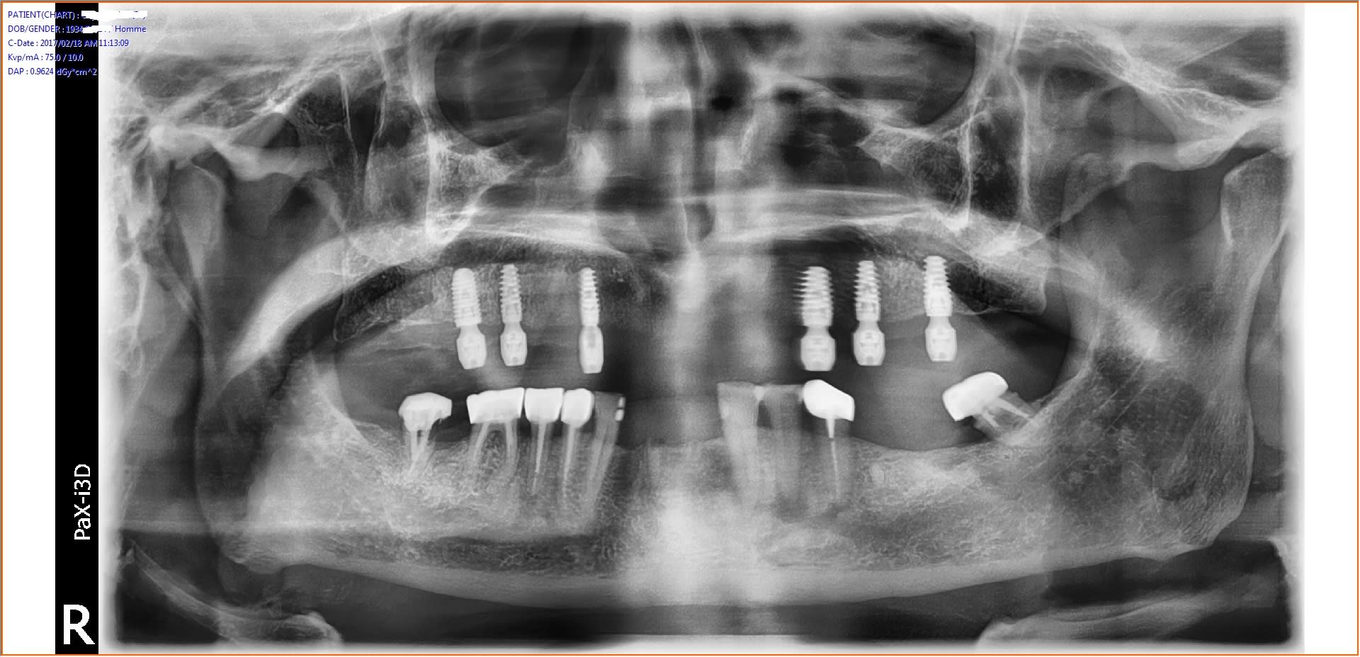
C'était un cas à risque: patiente 49 ans fumeuse depuis x années près d' 1 paquet/jour + prodontite generalisée avec tartre etc. un dentiste lui avait proposé 2 PAC et elle en était malade à l'idée d'avoir des prothèses amovibles et perdre ses dents... Elle aurait du bruxisme la nuit selon ses dires sans pour autant avoir de l'usure importante des faces occlusales. Pour me simplifier la tâche après le det approfondi+ conseils j'ai fait ext des dents max et PAC immédiate en attendant une cicatrisation complète. Entre temps la patiente a fini par arrêter complètement le tabac. J'ai fait un guide avec une DV plus importante que la PAC, qui lui permettrait de serrer moins fort les machoirs par la suite. CBCT avec guide, choix des implants (anthogyr axiom px 4 de diamètre et 10mm de long sauf en postérieur à 8mm et 5,2mm de diamètre.)

Sous forage d'un foret pour tous sauf pour les 2 posterieur j'ai sous foré de 2 diamètre (4mm). Je n'ai pas utilisé d'osteotomes pour compacter ou faire du summers pour le 1mm final dans le sinus (à peine 8mm de hauteur d'un côté) malgré tout je n'ai eu un blocage que à 15N pour les 2 deniers implants larges. Les autres bloqués à 35N. Les 2 implants du secteur antérieur sont angulés d'environ 20 degrés en vestibulaire pour suivre l'axe de la crête. J'ai aussi légèrement vestibulé l'axe des prémolaires en m'appuyant sur la tolérance d'axe de rattrappage avec les multiunits.
J'ai perdu trop de temps à faire un lambeau d'épaisseur total car je n'ai pas l'habitude mais ca devrait s'accélérer avec le temps j'espère. Pose des piliers MU, sutures simples avec fil 4.0 resorbable, empreinte à l'impregum soft et PEI à ciel ouvert. Pose des capuchons et mordu au silicone à la dv du guide mesuré avec un compas. Antalgiques nvI + celestene 6mg/j pour 3 jours + ATB. A 72h pose du bridge et reglage de l'occlusion. Les sutures sont laissées pour l'instant.

Img 2510 wxxitg - Eugenol
Img 2509 qakyrw - Eugenol
Img 0005 pwbmhm - Eugenol
Img 0001 gqezay - Eugenol
Img 0006 wotb3e - Eugenol
Img 0007 pjtthz - Eugenol
Img 2521 ga1n5f - Eugenol
Img 2524 b4su03 - Eugenol
Img 2523 myipum - Eugenol

Utilisateur banni

19/03/2017 à 08h17

Bonjour,

Pour ton premier cas, tu as pris les photos justes après la pose du bridge ? J’ai impression que tu lui as fait une anesthésie, la lèvre du supérieure a du mal à trouver se place et il me semble qu’il propulse pour trouver sa centrée.

Le principe avec un PEI à ciel ouvert et la méthode que m’avait demandé de faire un praticien pour ma première fabrication de bridge en mise en charge différée. Il a failli m’arriver la même déconvenue qu’a ton prothésiste. J’ai cru que le bridge ne rentrerait pas et l’occlusion n’était pas correcte. Pour cette raison j’ai développé un protocole de mise en charge immédiate qui a l’avantage de fonctionner en extraction et mise en charge.

Pour des patients encore actif passer par une PCA ne me semble pas une solution attractive et je pense que si le patient a le choix, une seule intervention et sortir du cabinet avec une prothèse esthétique et fonctionnelle correspond à son attente.

Tu remarqueras, dans le premier cas présenté par drmarcus la problématique de la patiente (photo de profil) et le résultat obtenue en fin d’intervention. Je pense que la phase de cicatrisation débutant au premier coup de scalpel la pose du bridge dans la continuité de l’intervention donne des résultats esthétique plus favorable que dans le cas d’une mise en charge différée.