Cookie Consent byPrivacyPolicies.comAvis Ortho - Eugenol

Avis Ortho

Decapfour

17/03/2017 à 11h11

Bonjour à tous,

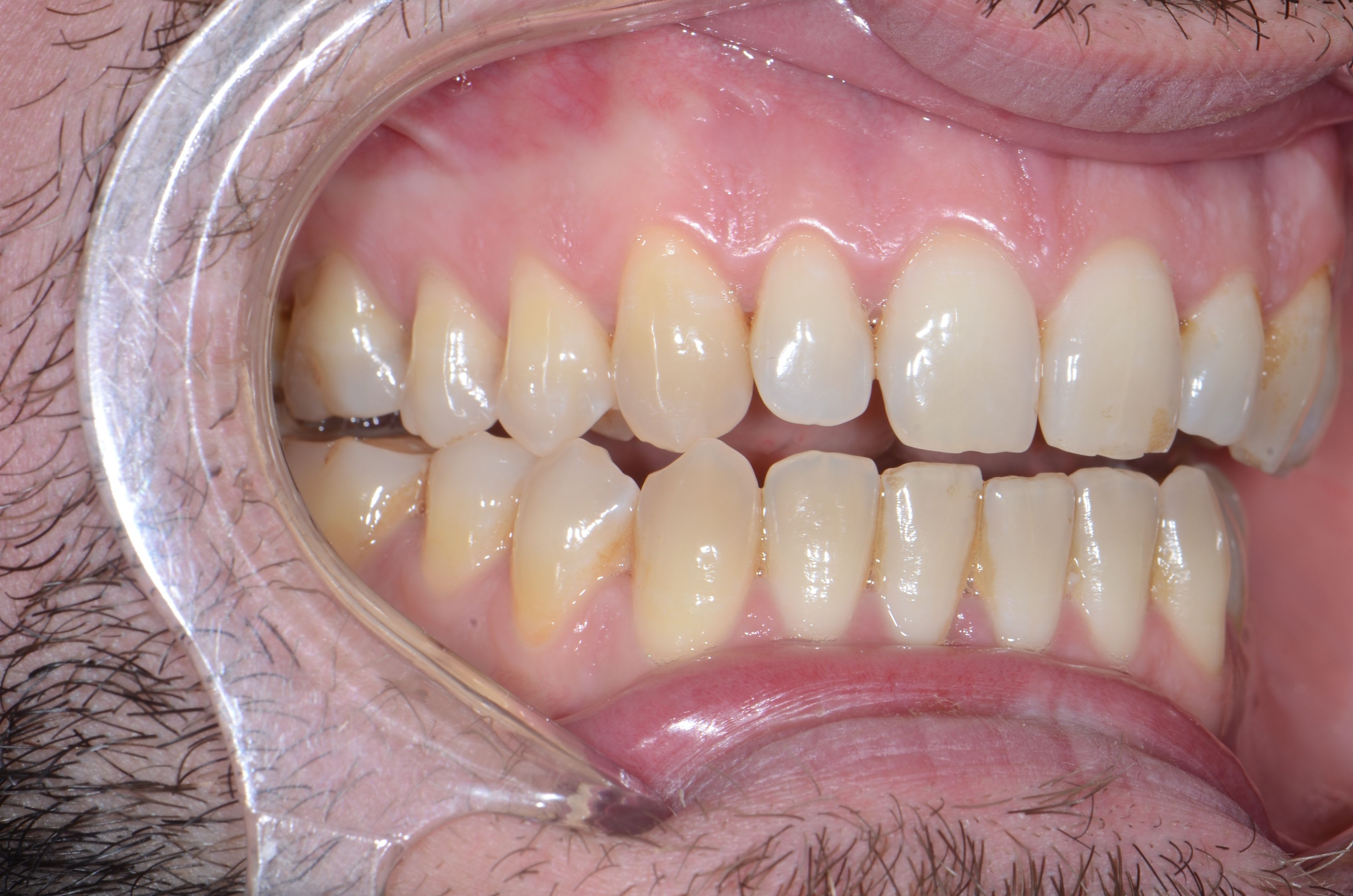
J'aurais aimé avoir l'avis d'un ortho pour un patient de 35 ans, sans souci de santé.
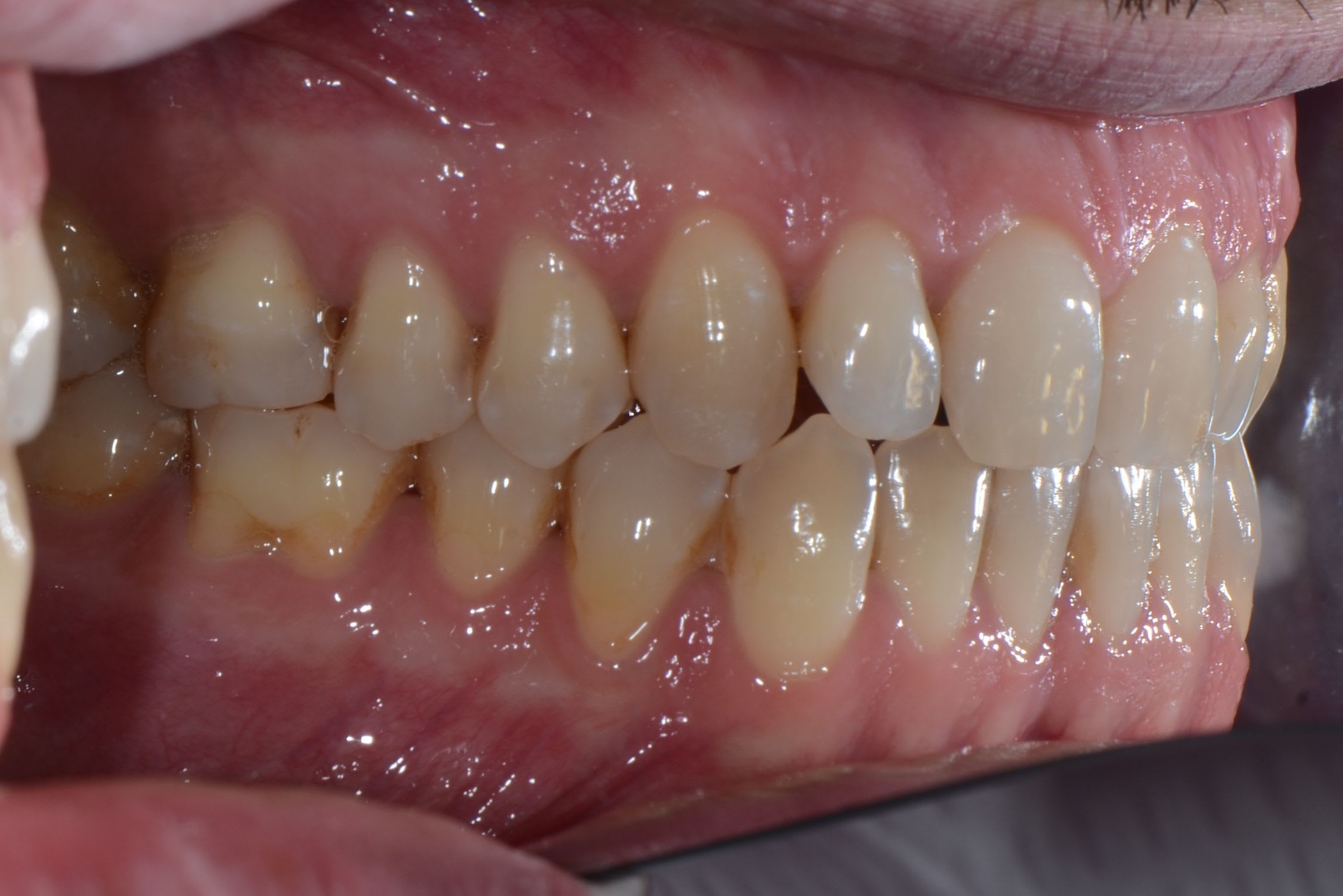
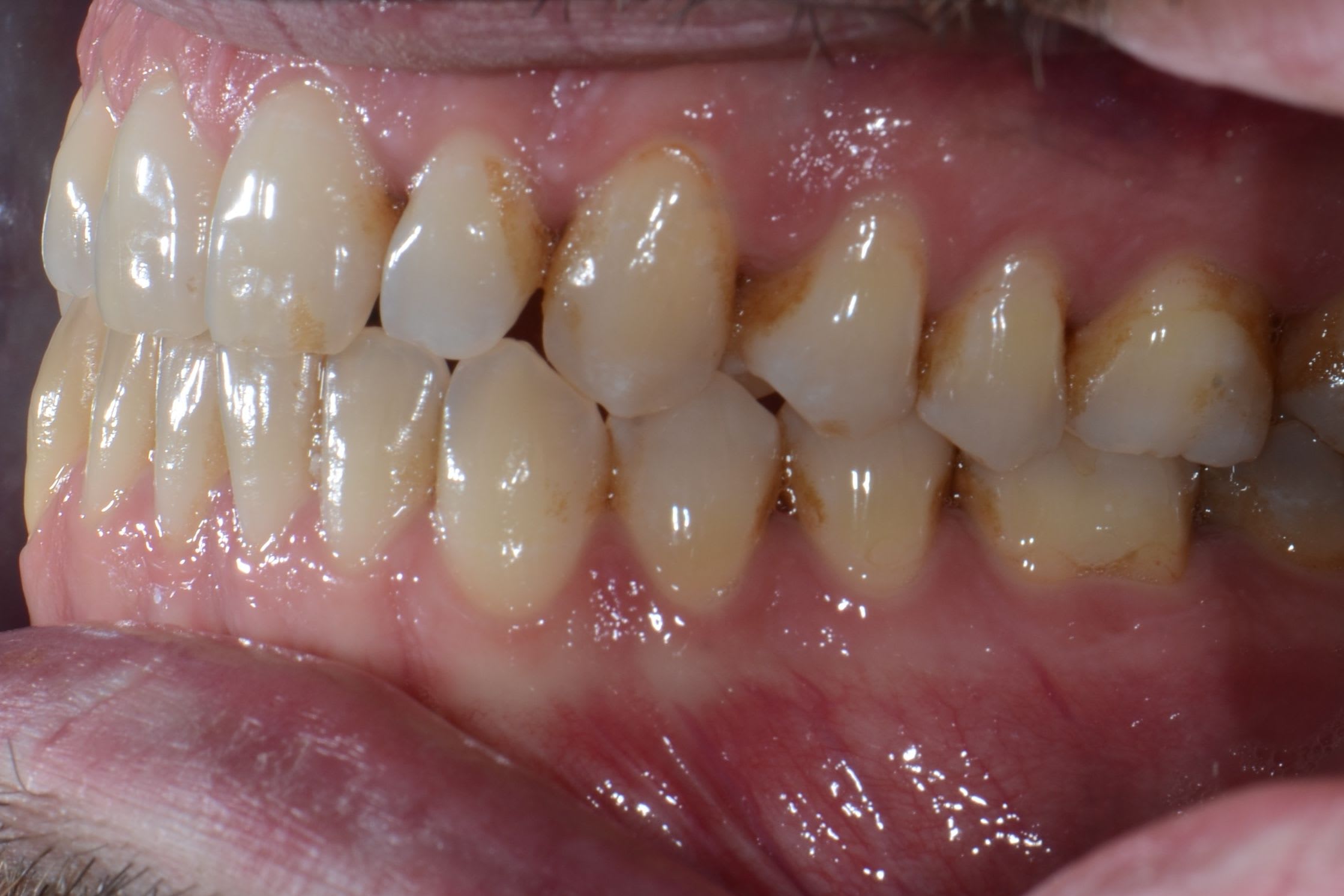
Il vient en bilan pour la 17 qui s'est nécrosée.
Ancien buveur de soda ++, maintenant diminué, bruxisme avec douleur a l'atm a l'ouverture, sensation d'instabilité occlusale. En RC premier contact sur 24, mastication unilatérale Gauche.
Il est en classe III, facette d'usure sur les canines qui fait qu'il est en fonction groupe avec interférences bilat en postérieurs.
Avant de réhabiliter j'aurais aimé retrouver de vrai fonctions pour protéger le tout (surtout la fonction canine).
Les orthos, qu'en pensez vous? Cas casse gueule? Durée de traitement a peu près?
Merci de vos avis et conseils!

Wc2dxhtegb4v7jmr2zfx - Eugenol
Znmxyp8nbfy84s1xcvyj - Eugenol
Mi56xckxeabxqlolakwj - Eugenol
Dkveflb9y1nnauidblkh - Eugenol
Dgclegg8fkej1iby6chk - Eugenol
Ujthata2t14csfweprog - Eugenol
Tq4niurx0qnvg27seqii - Eugenol
Sfqjtqxili5sem7rumlo - Eugenol
Jihjocc0gfteudztwdac - Eugenol
E1swpnieha22doqqpgzo - Eugenol
Gh6bawfw1eogomzy9tbc - Eugenol
Udqsw5fanj39yyqbjamb - Eugenol
A harout 15 mmylcy - Eugenol
A harout 14 jj8ira - Eugenol

Dsc05680 medium aphmfg - Eugenol
BasArtDentaire

17/03/2017 à 11h41

Aïe!
L’anonymat (en double épaisseur avec les motifs floraux).


Decapfour

17/03/2017 à 17h15

Tu as raison, j'ai modifié ca. Mea culpa


Image r6habu - Eugenol
Thomas Crown

17/03/2017 à 17h34

Ben tu le mets en articulateur en RC et pi on regarde.
J'ai pas compris ce que tu veux faire, de l ortho? pourquoi? Classe 3 de quoi? il est prognathe?
Pour moi faut l équilibrer et lui poser une gouttiére, mais je suis pas "spécialiste"..


Totoro ovtguw - Eugenol
T00TH

17/03/2017 à 17h42

Change le titre,
mets "Avis occluso" et Enlaye va rappliquer en deux sec!


Generique fraisage r2rxmm - Eugenol
lardonbis

17/03/2017 à 17h50

pas sur... en fin de semaine faut appâter avec du 200µm... il a trop sucé de moignon pour sauter sur le moindre cas :)


chicopathe57

17/03/2017 à 18h30

Thomas Crown écrivait:
----------------------
> Ben tu le mets en articulateur en RC et pi on regarde.

Non.
Y'a un trouble à l'ATM, donc perturbation musculaire, tu vas monter en RC avec une erreur.
Il faut faire un gouttière de Rammfjord porté 24/24 pendant au moins une semaine pour despasmer les muscles et là tu enregistre en RC.
Puis set up et traitement par coronoplastie ou ODF selon le diagnostique. Et vu le tork à mettre sur les PM et l'occlusion inversée canine à droite c'est ODF+++


> J'ai pas compris ce que tu veux faire, de l ortho? pourquoi? Classe 3 de quoi?

Oui, légère classe III molaire et canine mais tu penses peut être à la classe 3 squelettique?

Le traitement est ODF, il a raison.


Generique fraisage r2rxmm - Eugenol
lardonbis

17/03/2017 à 18h43

chicopathe57 écrivait:
----------------------

> Il faut faire un gouttière de Rammfjord porté 24/24 pendant au moins une semaine
> pour despasmer les muscles et là tu enregistre en RC.


popopopo!!!! tu demande au kiné d’à coté de te prêter son appareil d’électrostimulation. tu colle des électrode partout dedans/dehors et 2 minute à fond les ballons.
Hop une mandibule flasque!!

à ne pas faire hein :) mordre sur le 220 est suffisant


Avatar transparent iqadnc - Eugenol
adhoc

17/03/2017 à 18h52

Le probleme , c'est qu'une gouttiere , pour relaxer, eloigne un peu le condyle du mur postérieur du glene. Or on doit éviter une aggravation de la classe III squelettique légère.
Agir en ortho, il faut la jouer fine, des dispositifs comme des élastiques de cl3 , vont rapprocher condyle et glene , aggravant les douleurs temporo mandibulaires.
L'orthodontiste devrait solutionner ce probleme en traitement multiattaches et quadhelix et élstiques croisés sur certaines dents (premolaires), a voir, mais ca ne sera pas facile a mon avis. et ca sera long, tres long.
Un traitement type Invisalign est voué a l'échec, d'emblée.


Carls

17/03/2017 à 19h54

Salut!
Je te conseillerais de faire une plaque occlusale histoire de soulager son ATM, une fois le problème ATM soulagé commencer le traitement ortho.
C'est un cas plus compliqué qu'il n'y parait au niveau ortho et qui peut vite foirer si on ne fait pas attention. Il faudrait confirmer à l'aide d'un ceph mais les incisives supérieures et inférieures semblent retroclinées donc attention lorsque l'on va corriger les compensations à ne pas se retrouver en cross bite et open bite antérieur. Les incisives latérales semblent également petites et nécessiteront une reconstruction à confirmer avec une analyse de bolton.

Je ne suis pas d'accord avec l'avis précédent, l'avantage d'invisalign dans ce genre de cas est qu'il te permet un meilleur contrôle du sens vertical. toutes les techniques ici son possible afin d'effectuer un traitement ortho. Enfin ce n'est que mon humble avis.


Vw campersurfvan bmnk1q - Eugenol
enlaye

17/03/2017 à 21h29

lardonbis écrivait:
-------------------
" pas sur... en fin de semaine faut appâter avec du 200µm... il a trop sucé de moignon pour sauter sur le moindre cas :)"

ç est vrai .:-)))

bon ,ce gonz ,il n'a pas grand chose .
il est juste bloqué de l'avant et il est + verouillé à gauche .
il serre fort à gauche ,pas etonnant qu'il mange à gauche .
comme il est bloqué en avant ,pour eviter trop de retropulsion , il se decontracte à droite en latero propulsion ..et je dirais meme qu'il dort du coté droit .
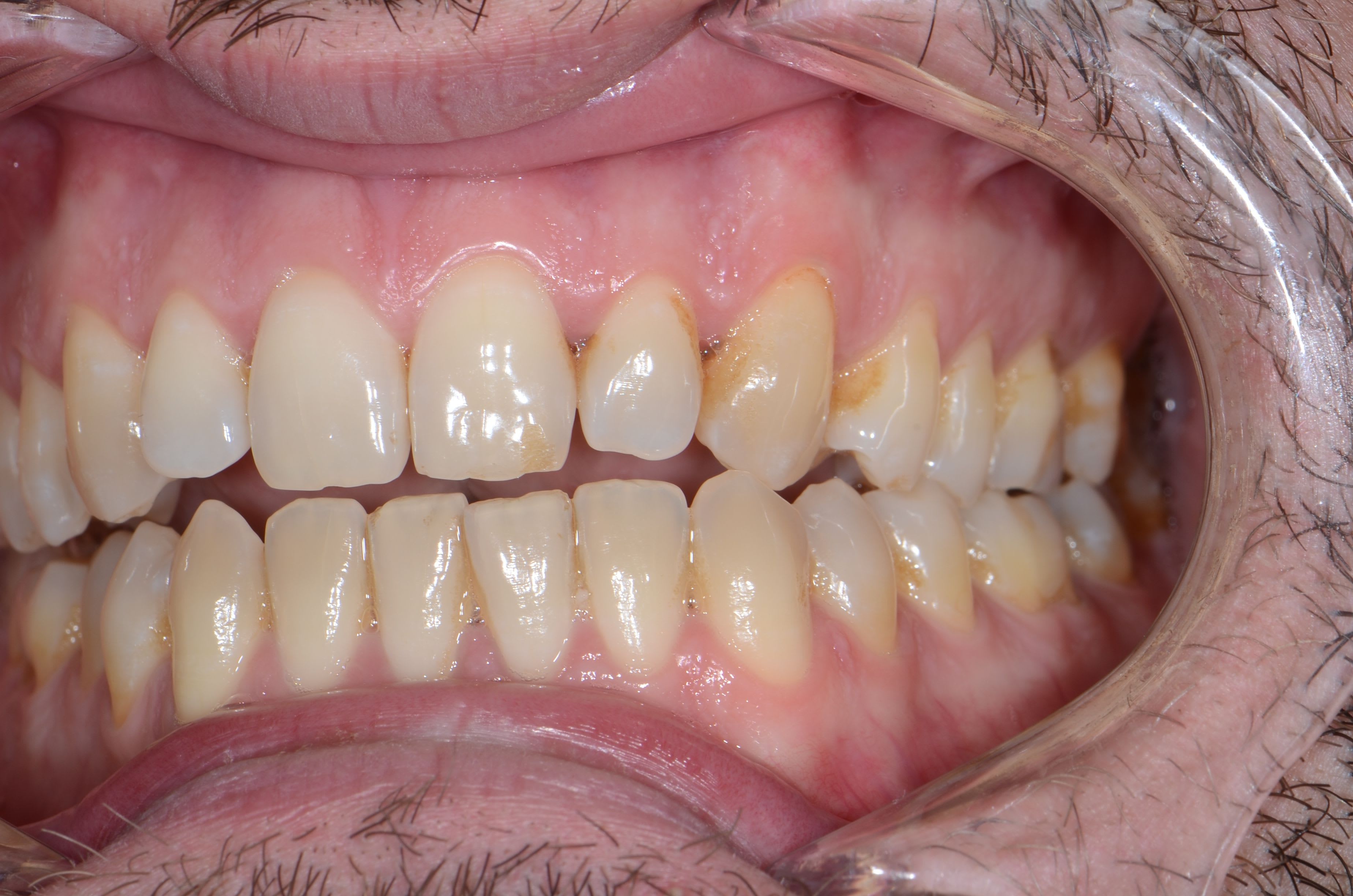
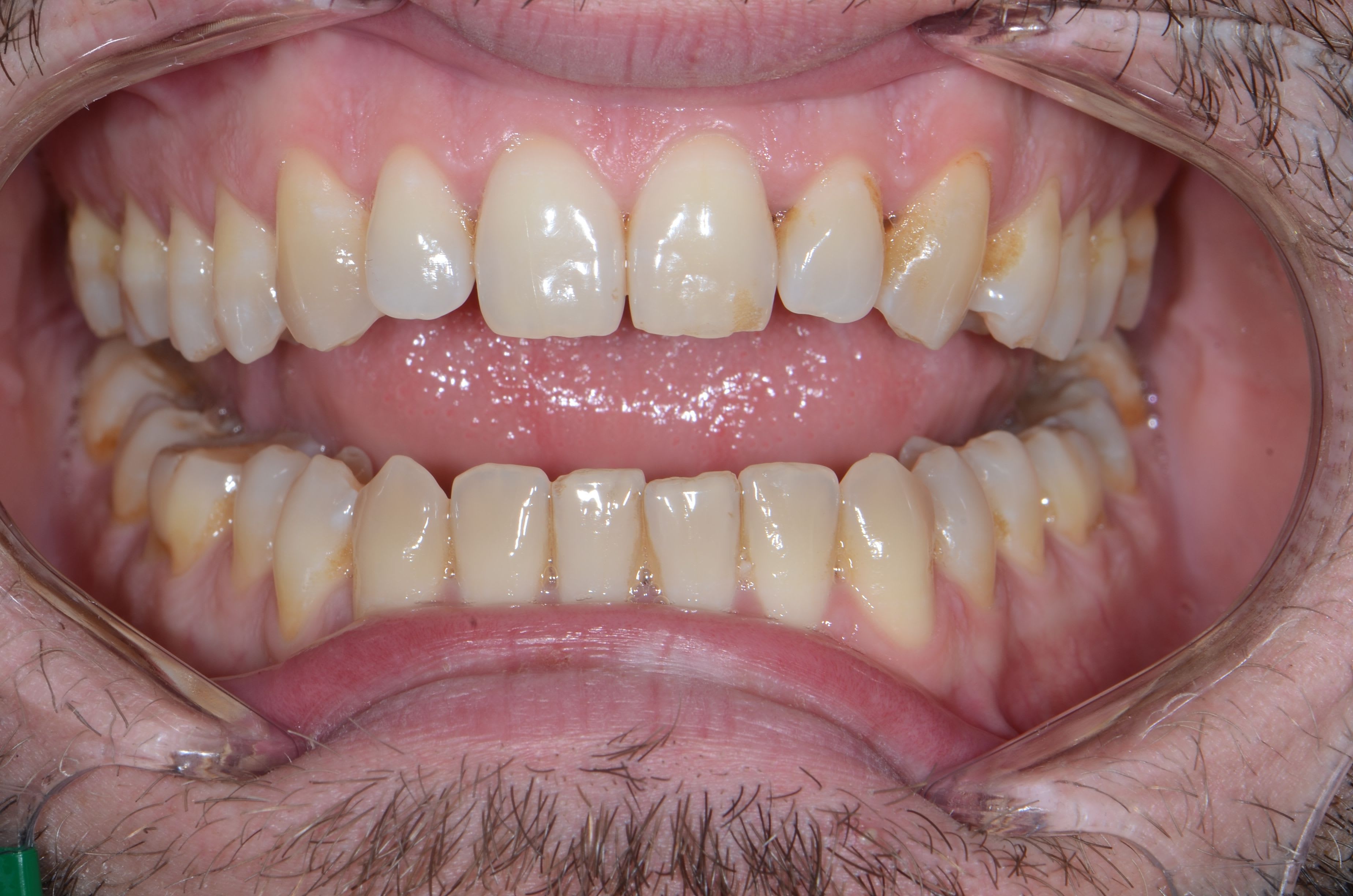
les usures des canines ne sont pas des usures de fonctions ,mais de positions nocturnes .

on remarquera que l'ATM est un peu rabotée a gauche .
ç est peut etre un pb radio ,faudrait verifier si à l'ouverture s'il n'y a pas un trajet tordu .
en tout cas cela confirme une usure dans un mvt antero excentré du coté droit associé à une petite perte de dvo posterieure du coté gauche.

on remarquera aussi une petite descente des secteurs post avec un manque de torque : au fait ,il n'aurait pas déjà eu un ttt ortho ??
quand il y a un manque de torque comme ça ,ç est en partie du au serrement des dents qui ont tendance ,par les appuis palatins ,à faire cintrer le haut .

faire de l'ortho ,pourquoi faire ? pour faire de l'expansion ? pour apres lui recontruire les secteurs post ? pourquoi ne pas lui faire d'entrée ?

quand à la centrée ,faut pas deconner ç est facile à prendre , là : il a mal à l'ouverture ( à gauche ,non?) et non pas à la fermeture . à mon avis la centré est presque en avant de son OIM ,en tout cas tres proche .

ouais , bof .
t'es sur qu'il ne prend pas trop de coco ? me mefie maintenant des djeuns .