Cookie Consent byPrivacyPolicies.comMerci à l'handicapé qui a fait ça (37) - Eugenol

Merci à l'handicapé qui a fait ça (37)

Capture d  cran 2015 03 12 12.28 - Eugenol
chicot29

22/03/2017 à 08h52

Par contre c'est vrai contrairement à Stéphane Simon je serais incapable de rattraper la plupart des bouses que lui envoient ses correspondants. Par contre il ferait faillite avec moi. -)


--
En cas d'échec des négociations conventionnelles, seriez-vous prêt à suivre la promotion d'un déconventionnement massif de la profession par les syndicats représentatifs ? OUI - NON
Participez, anonymement, sur https://goo.gl/forms/nAO0htnsVmxotjYm1


6szjws718sv1jksw54v4mpj3a6cu - Eugenol
vulpi

22/03/2017 à 08h53

lachmar écrivait:
-----------------

> j'aimerais que ceux qui le critiquent postent aussi tant de cas que lui

Euh!... Joker, et art contemporain, c'est beau avec les filtres et c'est préférable:-)))
J'suis le Warhol de l'endo!

Pour en revenir aux puffs de pate, j'en commets aussi et j'en suis plutôt satisfait, mais les miens sont à la sealite ultra, alors que les tiens sont à l'"epoxy" c'est surtout cela qui me gène.

Dscf2355 2 kqz7jd - Eugenol

lachmar

22/03/2017 à 09h01

vulpi écrivait:
---------------> Pour en revenir aux puffs de pate, j'en commets aussi et j'en suis plutôt
> satisfait, mais les miens sont à la sealite ultra, alors que les tiens sont à
> l'"epoxy" c'est surtout cela qui me gène.


deux observations

cone un peu court en mésial )))

et surtout pourquoi depulper cette dent si ce n'est pour en faire un pilier de bridge ?


6szjws718sv1jksw54v4mpj3a6cu - Eugenol
vulpi

22/03/2017 à 09h04

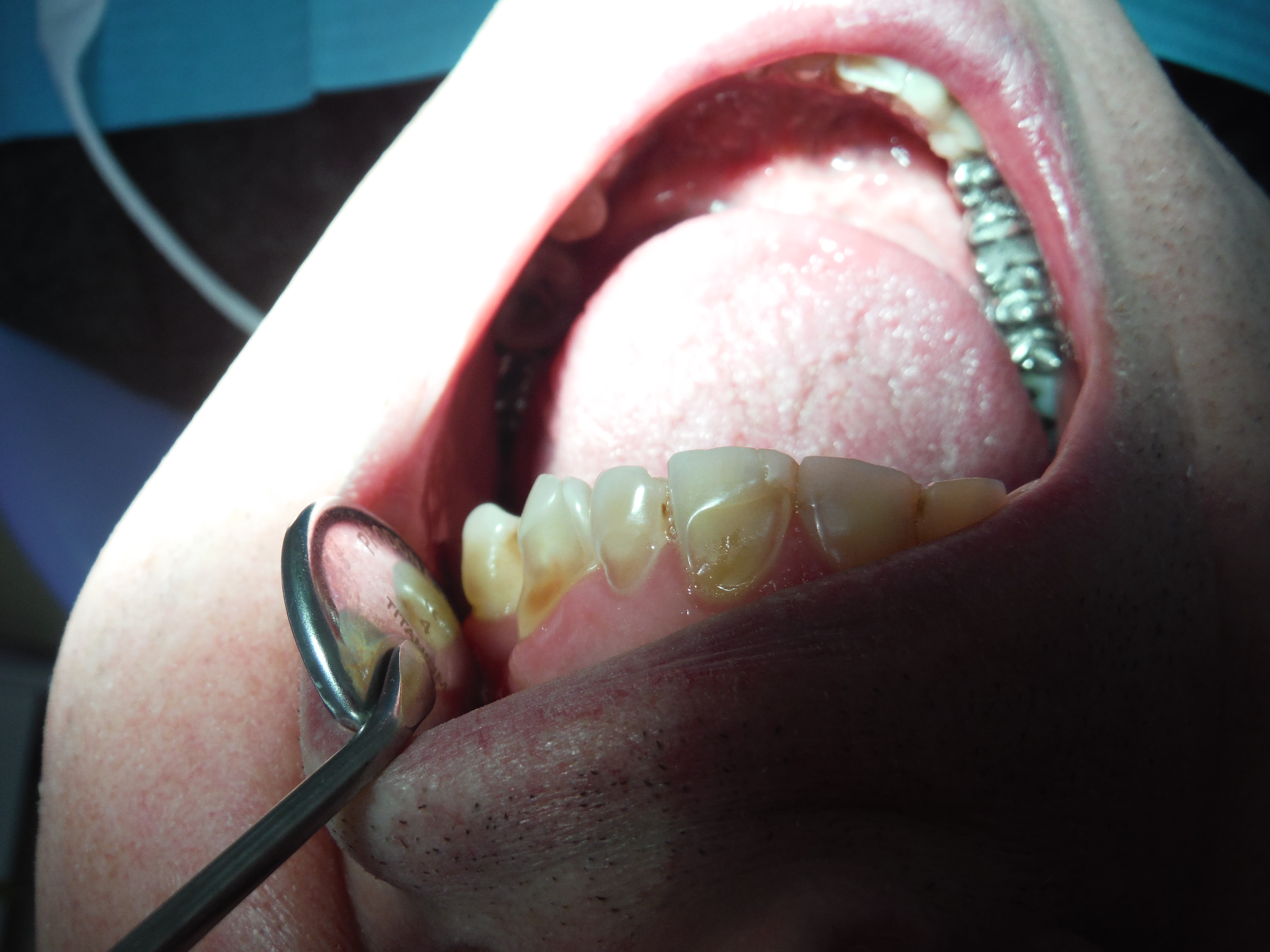
fêlure sous amalgame jusqu'à corne pulpaire...
Les bons bourgeois que je soignent sont tous fillonistes, alors avec le retour des chars russes ils serrent! Ils serrent! Que des fêlures depuis un mois 1/2, c'est chiant d'ailleurs pas assez avancées pour un implant et trop pour être zen. En plus ils supportent le PSG alors...

Suis un aficionado des CR sur dents vivantes,dans un cas semblable si bridge pas d'endo.

Là c'est un autre... fêlure... malédiction! Un syndicaliste du dentaire probablement;-))

Dscf2320 znqr82 - Eugenol

6szjws718sv1jksw54v4mpj3a6cu - Eugenol
vulpi

22/03/2017 à 09h47

lachmar écrivait:
-----------------

>
> cone un peu court en mésial )))
>
Oh! ça se mesure:-)))


lachmar

22/03/2017 à 10h14

vulpi écrivait:
---------------
> fêlure sous amalgame jusqu'à corne pulpaire...

j'ai un peu peur que la fêlure ne soit plus étendue que ca : l'épaississement mésial n'est pas de bonne augure


lachmar

22/03/2017 à 10h31



le titre de ce post est quand même insupportable

les modos ne pourraient-ils pas le changer ?


6szjws718sv1jksw54v4mpj3a6cu - Eugenol
vulpi

22/03/2017 à 10h31

lachmar écrivait:
-----------------
> vulpi écrivait:
> ---------------
> > fêlure sous amalgame jusqu'à corne pulpaire...
>
> j'ai un peu peur que la fêlure ne soit plus étendue que ca : l'épaississement
> mésial n'est pas de bonne augure

Ma vie est un enfer!!!!

Allez soyons positif, elle est versée, cela a fêlé... TO? épaississement.

Je te l'ai dit tant que ce n'est pas séparé ou douloureux à la pression je tente. Et puis à force d'essayer je vais bien trouver un truc, LE truc pour ce genre de cas. Hier c''était une 14, fêlure sous compo... comme quoi... Jolie fêlure en mésiale, en distal je ne sais pas il n'y a plus de parois, je vais mettre deux tenons bien hauts + compo, le tout en un bloc (collage compo tenon)+ CR qui vivra verra, le patient est informé, il va réfléchir.


Avatar transparent iqadnc - Eugenol
adhoc

22/03/2017 à 10h41

>les modos ne pourraient-ils pas le changer ?<

Chacun, s'il le désire, peut le changer. Je l'ai bien proposé (et changé pour mes posts) , mais ca n'a été que moyennement apprécié :-))
Change au moins le tien, lachmar!!!!


6szjws718sv1jksw54v4mpj3a6cu - Eugenol
vulpi

22/03/2017 à 10h48

vulpi écrivait:
---------------

> Suis un aficionado des CR sur dents vivantes,dans un cas semblable si bridge pas
> d'endo.
>
Tiens regarde, la photo est bof bof.
Il manque la 24, la 23 est très usée, pour moi non reconstituable durablement mais pas à dévit, donc indication de CR et voilà mon pilier antr, la 25 sera aussi pilier sur dent vivante.

Là j’appâte le "enlaye", ça devrait mordre ;-))

Dscf2114 me1kyy - Eugenol

Capture d  cran 2015 03 12 12.28 - Eugenol
chicot29

22/03/2017 à 11h27

Pour toi oui. -) pour moi c'est compo ou endo ( doute sur l'avenir de la vitalité pulpaire) puis pareil sur la 25 ( doute sur la vitalité après préparation périphérique) et 2 ic coiffes sous le bridge car une fois les endos faites elles ne sont plus reconstituables durablement et les ic sont indiqués comme piliers de bridges. . . -) ( pas de sc 33 sur 25 car contre indiqué comme pilier de bridge)
Il faut etre logique et coller aux textes. meme si c'est débile.

Mais je proposerais avant un compo ou une facette et un implant. -)

C'est marrant mais ta photo confirmerait l'impression de la radio à un CDC et tu te choperais un indu doublé d'une mutilation volontaire. -)

Ce qui ne serait pas le cas avec un doute sur la vitalité pulpaire. Vas t'en prouver le contraire. les cas sont légions de nécroses pulpaires suite à usure ou abrasion. -)



--
En cas d'échec des négociations conventionnelles, seriez-vous prêt à suivre la promotion d'un déconventionnement massif de la profession par les syndicats représentatifs ? OUI - NON
Participez, anonymement, sur https://goo.gl/forms/nAO0htnsVmxotjYm1


lachmar

22/03/2017 à 11h33

vulpi écrivait:
---------------

as-tu fait un sondage en mésial ?


6szjws718sv1jksw54v4mpj3a6cu - Eugenol
vulpi

22/03/2017 à 11h44

lachmar écrivait:
-----------------
> vulpi écrivait:
> ---------------
>
> as-tu fait un sondage en mésial ?

Oui, rien de notable, pas de zone d'enfoncement "étroite"


6szjws718sv1jksw54v4mpj3a6cu - Eugenol
vulpi

22/03/2017 à 11h51

chicot29 écrivait:
------------------

>
> Mais je proposerais avant un compo ou une facette et un implant. -)
>
Je pense que le contexte occlusal a aggravé les abrasions, abfractions, ce qui contre-indique les facettes et fera décoller les compos, non crois moi, une CR est souhaitable!-)
Et un implant, si il le pilonne pareil... la prothèse morte... il y aura de la casse, à mon avis sur les 23 et 25 (une petite pièce sur la 25 "ho! Vous n'avez pas de chance! A peine fini, celle d'à coté qui casse... vraiment c'est pas de chance! Bon, bah implant!-))

Si Enlaye était là, il te le dirait, la ferraille en bas à droite est pas équilibrée, sous-occ ou interférence, et le patient surcharge ses 21 22 23, si compos cela décollera, et si facettes, alors là c'est Noël, bonjour le SAV!

CR Bridge et équilibrer tout cela, forcement pour les pondeurs de recommandations c'est bien au dessus de leurs capacités intellectuelles, faut une vision globale et éclairée, avec un QI de poulpe mort c'est pas possible, ils ne peuvent y arriver. En plus il faut un vrai vécu de praticien, en bouche, avec des vrais patients! Si! Si! Pour des gars qui soignent dans les livres et dans les textes... pas imaginable... bien au dessus de leurs moyens intellectuels, y a pas.

Quelqu'un a des nouvelles d'Ameli?


Ylfwcw979cz1jnx9gfqeaxndiuzk - Eugenol
Algi

22/03/2017 à 12h11

Hier soir.... tentative de retraitement sur une 15.... initialement traitée en 2000.

CIC sur i core, fistule vestibulaire à mi hauteur de la racine, pas pu en suivre le cheminement.

Soit souci apical soit félure...

La patiente est pas filloniste mais serre un peu aussi (a reussi à fracturer un implant en 26 l'an dernier)

J'avais déposé la coiffe et l' i core vers le 8 mars, commencé la desobturation et laissé de la girofle en interseance sous l'ic rescellé provisoire.

Hier: fistule disparue, pas de sensibilité, plutot content mais supicieux car j'avais pas atteint les apex....
J'ai continué à nettoyer les racines et obturé comme j'ai pu sans arriver à passer l'apex, moins content.

On va sans doute refaire un i core si la dent reste asymptomatique histoire de bien sceller les racines et attendre quelques mois avec une provisoire par dessus parceque du coup vu que j'ai pas atteint l'apex mais fait disparaitre la fistule je subodore un loup genre félure....

Souci: autant cette dent va mieux autant c'est pas pareil de l'autre coté.... comme elle a eu peur de manger sur la 15 elle a tout balancé à gauche et me dit sentir une douleur vers l'implant de 36....

Je finis l'endo, rescelle mon ic et refais un provisoire et je vais voir la 36.... ras sur l'implant par contre voussure gencive vestibulaire de 35, sondage et ça descend le long de la racine..... sans doute félée ou fendue....

Fichues premolaires, fichus inlay core, fichus bruxomanes, fichu métier!


--
L’extrémisme est le culte sans la culture ;
le fondamentalisme est la croyance sans la connaissance ;
l’intégrisme est la religiosité sans la spiritualité.

On a toujours le choix mais entre quoi et quoi?
Vas-y boulégue et l'avenir te le dira!

Avant uetyb6 - Eugenol
Apres enq9bh - Eugenol

Generique fraisage r2rxmm - Eugenol
lardonbis

22/03/2017 à 12h12

vulpi écrivait:
---------------

> >
> Tiens regarde, la photo est bof bof.
> Il manque la 24, la 23 est très usée, pour moi non reconstituable durablement
> mais pas à dévit, donc indication de CR et voilà mon pilier antr, la 25 sera
> aussi pilier sur dent vivante.
>
> Là j’appâte le "enlaye", ça devrait mordre ;-))



demande déjà qu'il te porte sa brosse à dent.
J'ai une petite idée pour le modèle :)

Brosse metallique 2e827 nkpuq5 - Eugenol

Capture d  cran 2015 03 12 12.28 - Eugenol
chicot29

22/03/2017 à 12h39

vulpi écrivait:
---------------
'est Noël, bonjour le SAV!
>
> CR Bridge et équilibrer tout cela, forcement pour les pondeurs de
> recommandations c'est bien au dessus de leurs capacités intellectuelles, faut
> une vision globale et éclairée, avec un QI de poulpe mort c'est pas possible,
> ils ne peuvent y arriver. En plus il faut un vrai vécu de praticien, en bouche,
> avec des vrais patients! Si! Si! Pour des gars qui soignent dans les livres et
> dans les textes... pas imaginable... bien au dessus de leurs moyens
> intellectuels, y a pas.

Je te dis ca c'est un conseil d'ami. Ton bridge tu le fais en NPC. car ils sont collés aux textes.


--
En cas d'échec des négociations conventionnelles, seriez-vous prêt à suivre la promotion d'un déconventionnement massif de la profession par les syndicats représentatifs ? OUI - NON
Participez, anonymement, sur https://goo.gl/forms/nAO0htnsVmxotjYm1


lachmar

22/03/2017 à 12h52

Algi écrivait:
--------------> Hier: fistule disparue, pas de sensibilité, plutot content mais supicieux car
> j'avais pas atteint les apex....
> J'ai continué à nettoyer les racines et obturé comme j'ai pu sans arriver à
> passer l'apex, moins content.



et en plus en radio et en photo il est meilleur que nous le chicot

c'est vrai qu'il y a de quoi s'agacer )

manquerait plus qu'il en ait une grosse )


6szjws718sv1jksw54v4mpj3a6cu - Eugenol
vulpi

22/03/2017 à 13h09

chicot29 écrivait:
------------------
> vulpi écrivait:
> ---------------
> 'est Noël, bonjour le SAV!
> >
> > CR Bridge et équilibrer tout cela, forcement pour les pondeurs de
> > recommandations c'est bien au dessus de leurs capacités intellectuelles, faut
> > une vision globale et éclairée, avec un QI de poulpe mort c'est pas possible,
> > ils ne peuvent y arriver. En plus il faut un vrai vécu de praticien, en
> bouche,
> > avec des vrais patients! Si! Si! Pour des gars qui soignent dans les livres et
> > dans les textes... pas imaginable... bien au dessus de leurs moyens
> > intellectuels, y a pas.
>
> Je te dis ca c'est un conseil d'ami. Ton bridge tu le fais en NPC. car ils sont
> collés aux textes.

Ils sont collés au fond, oui!
>
J'en prends bonne note. Mais tu avoueras...


6szjws718sv1jksw54v4mpj3a6cu - Eugenol
vulpi

22/03/2017 à 13h21

Cette dent grosse obturation DO avec risque de fracture +++, futur support de crochet, vivante... forcement reconst compo+CR.
Tiens y a même une prov.

Dscf2288 p4vjio - Eugenol
Dscf2294 2 qjytgs - Eugenol

Capture d  cran 2015 03 12 12.28 - Eugenol
chicot29

22/03/2017 à 13h39

Tu vas rire mais c'est l'inlay core qui est recommandé dans ce cas. Indu.

Ayé j'ai trouvé ma reconversion : CDC. A moi seul je vais sauver la sécu. -)

Mouarf tous ceux qui on fait des SC33 pour " équilibrer " je vais me les faire. -)

--
En cas d'échec des négociations conventionnelles, seriez-vous prêt à suivre la promotion d'un déconventionnement massif de la profession par les syndicats représentatifs ? OUI - NON
Participez, anonymement, sur https://goo.gl/forms/nAO0htnsVmxotjYm1


6szjws718sv1jksw54v4mpj3a6cu - Eugenol
vulpi

22/03/2017 à 13h41

chicot29 écrivait:
------------------
> Tu vas rire mais c'est l'inlay core qui est recommandé dans ce cas. Indu.
>

Pour le coup oui :-)))) Parce-que l'IC, enfin son tenon, avec le débattement de la PAP, craque les racines!