Cookie Consent byPrivacyPolicies.comCMU et Couronnes Jumelées - Eugenol

CMU et Couronnes Jumelées

Avatar transparent iqadnc - Eugenol
adhoc

12/04/2017 à 12h12

>en fait ,ils traquent le cas suivant ,je pense :
certains ne cotent pas un bridge ( avec de vrais inters) ,mais cotent seulement les 2 dents pilier implantaire comme des couronnes .
je crois qu'il est là ,le pb .<

Pas pour un panier cmu bridge 3 éléments. La cotation de deux couronnes jumelées n'a alors aucun intéret.


Rape p0as4f - Eugenol
rapelapente

12/04/2017 à 13h01

IL faut vérifier si un DC est bien à l'origine de la procédure induite par la Sécu .
C'est la grande mode, des administratifs anonymes entamment des procédures. Ne me demandez pas pourquoi je le sais ! ;-)
Et c'est illégal.


burnax

12/04/2017 à 13h57

Mon cdc m'a dit , qu'il ne voyait pas de problème.


Generique fraisage r2rxmm - Eugenol
lardonbis

12/04/2017 à 14h01

et pour les couronne solidarisée sur implant non plus ?
Je me casse le bol avec du "une vis par dent", j’espère que c'est pas pour des prunes :)


Untitledgailuron ite8js - Eugenol
zavepavumirza

12/04/2017 à 18h36

masterbibop écrivait:
---------------------
> Bonjour,
>
> mon associé viens d'être controlé par la sécu et il a comme grief qu'il a jumelé
> des couronnes sur des patients cmu.
>
>
> Hors il semble que ce ne soit pas autorisé dans la CCAM. J'ai relu la ccam et
> franchement je ne trouve rien la dessus ... Vous étiez au courant de cette
> histoire ?
>
> Ah oui au passage, une radio couronne en place est elle obligatoire ?
>
> Merci pour vos infos !

Bonjour
Je pense qu il s agit de la facturation dont on parle...
Pilier supplémentaire d un bridge et non couronne céramique.


Capture d  cran 2015 03 12 12.28 - Eugenol
chicot29

13/04/2017 à 09h51

Et ca change quoi dans la facturation si le pilier supplémentaire n'est pas reconstituable durablement ?

Non ils font chier parce que les 2 couronnes sont soudées. Le but récupérer un indu.

Vu que c'est soudé ce sont des piliers de bridges ( meme sans bridge lol !) et pas des couronnes ?

C'est méprisable.


--
En cas d'échec des négociations conventionnelles, seriez-vous prêt à suivre la promotion d'un déconventionnement massif de la profession par les syndicats représentatifs ? OUI - NON
Participez, anonymement, sur https://goo.gl/forms/nAO0htnsVmxotjYm1


Hok 1b hgd3rj - Eugenol
Hokusai

13/04/2017 à 10h04

protese écrivait:
-----------------
> CMU ou pas, jumeler des couronnes est une aberration clinique ...

J’espère que tu ne fais jamais de bridge alors ! :)


Dolan donald duck weird wqjham bw43ju - Eugenol
GéPé

13/04/2017 à 10h11

Aspius écrivait:
----------------
> GéPé écrivait:
> --------------
> > Quelle idée de soigner des CMU aussi...
>
> Merci mille fois pour la générosité dont tu fais si souvent preuve dans le
> partage de tes sophismes.

Ton détecteur de second degré est en panne ?


burnax

13/04/2017 à 15h16

Tout frais , tout chaud...

Pour 3400 euros made in Hongrie...
Mon correspondant français malgré l'arbitrage est trop cher.

Demande de pano de la Cpam pour demande de remboursement.

Tout est jumelé, ccm et stellite, avec un patient ravi...aujourd'hui.

P1 ltquvt - Eugenol
P2 tg0eei - Eugenol

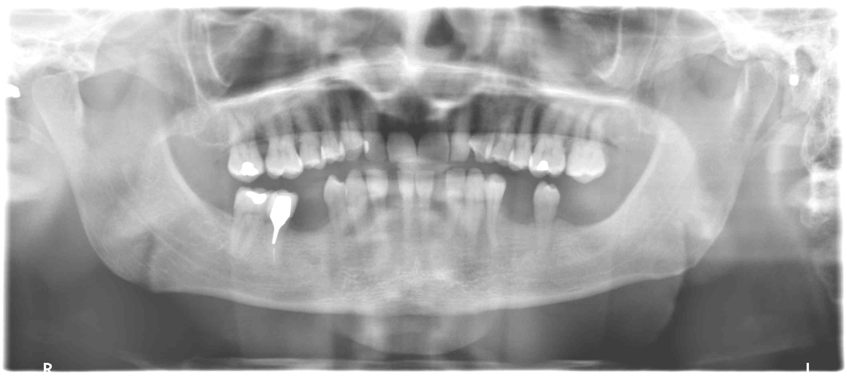
burnax

13/04/2017 à 15h18

J'ai un doute pour la racine de 35..


Rape p0as4f - Eugenol
rapelapente

13/04/2017 à 22h58

Couronnes sur dents non délabrées, indu, et mutilation volontaire !
No smiley 😊


Capture d  cran 2015 03 12 12.28 - Eugenol
chicot29

14/04/2017 à 08h20

burnax écrivait:
----------------
> Tout frais , tout chaud...
>
> Pour 3400 euros made in Hongrie...
> Mon correspondant français malgré l'arbitrage est trop cher.
>
> Demande de pano de la Cpam pour demande de remboursement.
>
> Tout est jumelé, ccm et stellite, avec un patient ravi...aujourd'hui.

Ah ? c'est donc un soin programmé qui satisfait bien sur aux règles établies par la sécu :

On est sur la liste des soins ambulatoires ?


http://www.ameli.fr/assures/droits-et-demarches/a-l-etranger/vous-partez-vous-faire-soigner-a-l-etranger/vous-partez-vous-soigner-dans-l-ue-eee-suisse.php

"Les modalités de prise en charge des soins reçus dans un autre État de l'UE/EEE ou en Suisse varient selon qu'il s'agit de soins dits « programmés » ou pas :

Vous vous rendez sur le territoire d'un État de l'UE/EEE ou en Suisse pour recevoir des soins dits « programmés »
Définition des soins dits « programmés »
Les soins programmés sont les soins ou traitements planifiés à l'avance qui constituent la raison principale de votre déplacement dans un autre État membre de l'UE/EEE ou en Suisse et qui répondent au(x) critère(s) suivant(s) :

Ils nécessitent au moins une nuit d'hospitalisation dans un établissement de soins (soins hospitaliers, soins de suite et cures thermales avec hospitalisation).
Et/ou ils nécessitent le recours à des infrastructures ou à des équipements médicaux hautement spécialisés et coûteux et qui figurent sur une liste établie par arrêté ministériel (IRM, scanner, certaines interventions en ambulatoire, traitement du cancer, soins cliniques et biologiques d'assistance médicale à la procréation, etc.). Votre médecin pourra vous apporter toutes les explications utiles sur les soins relevant de cette liste.
Pour ces soins, une autorisation préalable de votre caisse d'Assurance Maladie est nécessaire pour permettre leur prise en charge. Sinon, il n'y a pas de prise en charge possible.

L'autorisation de prise en charge de ces soins programmés est liée au respect des conditions suivantes :

la prise en charge des soins est prévue par la réglementation française ;
un traitement identique ou présentant le même degré d'efficacité ne peut pas être obtenu en France dans un délai acceptable sur le plan médical ;
les soins envisagés sont appropriés à l'état du patient. "


--
En cas d'échec des négociations conventionnelles, seriez-vous prêt à suivre la promotion d'un déconventionnement massif de la profession par les syndicats représentatifs ? OUI - NON
Participez, anonymement, sur https://goo.gl/forms/nAO0htnsVmxotjYm1


mr smith

18/04/2017 à 09h51

rapelapente écrivait:
---------------------
> Couronnes sur dents non délabrées, indu, et mutilation volontaire !
> No smiley 😊

il peut invoquer la nécessité d'une mise en contention , pour dents mobiles ;o))))
--
De l'influence de Marizol sur mon comportement .


zolimome

18/04/2017 à 14h34

protese écrivait:
-----------------

CMU ou pas, jumeler des couronnes est une aberration clinique ...


la vache, ça vole haut !
d'autres c...... du genre ?


Image001 e0kg9q - Eugenol
clemsdent

18/03/2019 à 14h41

voir page 2 le paragraph concernant les couronnes jumelées


12