Cookie Consent byPrivacyPolicies.comLe bilan TRÈS médiocre de Macron en chiffres - Eugenol

Le bilan TRÈS médiocre de Macron en chiffres

Orezza gazeuse verre litre ocoxey - Eugenol
casa

30/04/2017 à 10h22

ok Hokusai , je croyais ..laisse tomber c'est dimanche ! dans un autre post tu aurais été traité de fasciste . je ne continue pas sur ce sujet , pas la peine .


Hok 1b hgd3rj - Eugenol
Hokusai

30/04/2017 à 11h06

casa écrivait:
--------------
> ok Hokusai , je croyais ..laisse tomber c'est dimanche ! dans un autre post tu
> aurais été traité de fasciste .

Oui l "autre" qui ne va pas dans ton sens est toujours traité de fasciste. Qui veut noyer son chien l accuse de la rage.

Les screw post compo au pouce sur peintures canalaires ont un avenir radieux.


Orezza gazeuse verre litre ocoxey - Eugenol
casa

30/04/2017 à 12h01

Non Hokusai , tu n'as pas compris .... relis une intervention de Bill dans un autre sujet ... tu as dit "je n'ai jamais lu qqchose d'aussi con " ... j'extrapole et je rebondis .

Si tu veux une explication brève : insulter NDA = fascisme .

Tu deviens excessif , je ne réponds plus .

Ou Alors , en relisant .... bref les screw post , tu peux ne pas le faire , tu as le choix ....


Capture d  cran 2015 03 12 12.28 - Eugenol
chicot29

30/04/2017 à 12h10

CRAIG écrivait:
---------------
> Hokusai écrivait:
> -----------------
> > Ca va mettre du baume au coeur des ouvriers de whirlpool et au 10M de chomeurs
> > francais !! Crevez mais dans la confiance !
> > T as raison c est plus optimiste.
>
>
> C'est vrai qu'avec tes 84ke de BNC t'es le champion des défenseurs de la cause
> ouvrière toi, tu partages leurs difficultés...

C'est lamentable de gagner autant en effet. Mais je me demande si avec un BNC de salaire d'ouvrier en prévisionnel il aurait pu obtenir la confiance du banquier pour ouvrir son cabinet. -)
Ah si ! avec un micro crédit il aurait pu au moins acheter le déguisement du dentiste dans un magasin de farces et attrapes. -)

Sinon ca se passe bien dans ta mutuelle ? Si tu es sage tu as le droit de t'acheter des crampons pour digue ?

--
En cas d'échec des négociations conventionnelles, seriez-vous prêt à suivre la promotion d'un déconventionnement massif de la profession par les syndicats représentatifs ? OUI - NON
Participez, anonymement, sur https://goo.gl/forms/nAO0htnsVmxotjYm1


Capture d  cran 2015 03 12 12.28 - Eugenol
chicot29

30/04/2017 à 12h28

casa écrivait:
--------------
> et voilà Hokusai , tu tombes dans le panneau qui nous a conduit là ! il exploite
> à fond le système . réfléchis bien à son exercice et à ses conséquences sur
> notre situation actuelle et sur le RA ....
>
> Endo rentabilisée par .....
>
> d'où .....
>
> Mais oui ses patients sont bien remboursés ! et avec de belles endo ; c'est sur
> .

Bon d'accord donc j'arrête de poster sur les endos et je poste que les cas de soins autres qu'endo.

Je commence nouveau patient angle composite cassé.

Mais il ne pense qu'au fric celui là il fait des rétro coronaires injustifiées. -)

--
En cas d'échec des négociations conventionnelles, seriez-vous prêt à suivre la promotion d'un déconventionnement massif de la profession par les syndicats représentatifs ? OUI - NON
Participez, anonymement, sur https://goo.gl/forms/nAO0htnsVmxotjYm1

Capture d écran 2017 04 30 12.26 - Eugenol

Capture d  cran 2015 03 12 12.28 - Eugenol
chicot29

30/04/2017 à 12h44

casa écrivait:
--------------
> Je te retourne le compliment Hokusai , tu ne penses qu'à toi ? et je te réponds
> seulement que je ne gagne pas 7000 par mois , loin de là mais je m'en satisfais
> .. comme quoi .... Et Chicot a gagne beaucoup plus que ça ... et que ses endo
> soient justifiées peut-être mais ses IC , ses coiffes ? Tu scies la branche
> Hokusai ... tu cautionnes ....

C'est vrai 10 % de plus qu'hokusai l'année dernière. C'est énorme . -)

Je précise que je n'ai plus aucun crédits ni leasings en cours. C'est ton cas hokusai ?

C'est pas parce qu'on aime bien l'endo et qu'on a tendance a etre fier de ses endos par rapport aux merdes qu'on voit passer et que donc on a tendance à les poster qu'on fait que ca toute la journée.
Postes les tiennes si tu n'as pas honte. Et pas que des mono radiculées. Trop facile.

--
En cas d'échec des négociations conventionnelles, seriez-vous prêt à suivre la promotion d'un déconventionnement massif de la profession par les syndicats représentatifs ? OUI - NON
Participez, anonymement, sur https://goo.gl/forms/nAO0htnsVmxotjYm1


Hok 1b hgd3rj - Eugenol
Hokusai

30/04/2017 à 12h50

chicot29 écrivait:
------------------
> Je précise que je n'ai plus aucun crédits ni leasings en cours. C'est ton cas
> hokusai ?

Non mais j ai une assistante gratos...

Et j ai 600e de credit.
Mais tu verras jamais une lampe a photopolymeriser a 1500e chez moi.


6szjws718sv1jksw54v4mpj3a6cu - Eugenol
vulpi

30/04/2017 à 12h54

chicot29 écrivait:
------------------

> C'est pas parce qu'on aime bien l'endo et qu'on a tendance a etre fier de ses
> endos par rapport aux merdes qu'on voit passer et que donc on a tendance à les
> poster qu'on fait que ca toute la journée.

J'aime bien voir les endos de Chicot, il y a des trucs à lui piquer, et puis saine émulation.


Capture d  cran 2015 03 12 12.28 - Eugenol
chicot29

30/04/2017 à 13h03

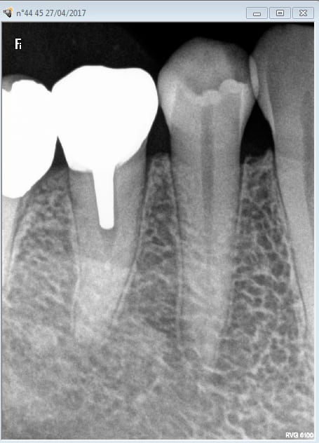
Alleeeez je peux pas résister. Nouveau patient bilan radio + endo 46 ( pas mal pour un premier RDV de 30 minutes). Bon j'avoue j'ai débordé de 10 mn.
Tiens casa a fait l'endo de 36 ? Pas de couronne dessus c'est tout à ton honneur. -)


--
En cas d'échec des négociations conventionnelles, seriez-vous prêt à suivre la promotion d'un déconventionnement massif de la profession par les syndicats représentatifs ? OUI - NON
Participez, anonymement, sur https://goo.gl/forms/nAO0htnsVmxotjYm1

Capture d écran 2017 04 30 12.59 - Eugenol

Capture d  cran 2015 03 12 12.28 - Eugenol
chicot29

30/04/2017 à 13h19

Tu vois par exemple casa n'aurait pas soigné cette 37 juste derrière le merveilleux traitement endo de 36. parce que casa n'aurait pas fait de rétro coronaire. Que va il se passer endo ou pas ? A vrai dire j'en sais rien tout dépend de si effraction pulpaire ou pas lors du nettoyage de la cavité ca a l'air limite. -)


--
En cas d'échec des négociations conventionnelles, seriez-vous prêt à suivre la promotion d'un déconventionnement massif de la profession par les syndicats représentatifs ? OUI - NON
Participez, anonymement, sur https://goo.gl/forms/nAO0htnsVmxotjYm1

Capture d écran 2017 04 30 13.18 - Eugenol

Orezza gazeuse verre litre ocoxey - Eugenol
casa

30/04/2017 à 13h22

ah merde ....


Capture d  cran 2015 03 12 12.28 - Eugenol
chicot29

30/04/2017 à 13h25

Tu vois je ne couronne pas toutes les dents dévitalisées. Seulement celles qui présentent des signes d'appel. J'ai beau aimer l'endo un RTE n'est jamais gagné d'avance. -)


--
En cas d'échec des négociations conventionnelles, seriez-vous prêt à suivre la promotion d'un déconventionnement massif de la profession par les syndicats représentatifs ? OUI - NON
Participez, anonymement, sur https://goo.gl/forms/nAO0htnsVmxotjYm1


Capture d  cran 2015 03 12 12.28 - Eugenol
chicot29

30/04/2017 à 13h27

Mais on peut etre rentable en endo sans couronner dessus. la preuve. -)
Et puis ca rend tellement service au patient. -)

--
En cas d'échec des négociations conventionnelles, seriez-vous prêt à suivre la promotion d'un déconventionnement massif de la profession par les syndicats représentatifs ? OUI - NON
Participez, anonymement, sur https://goo.gl/forms/nAO0htnsVmxotjYm1

Capture d écran 2017 04 30 13.27 - Eugenol

Capture d  cran 2015 03 12 12.28 - Eugenol
chicot29

30/04/2017 à 13h30

On peut etre rentable aussi en endo ET en prothèse. Ca c'est le top. -)

J'adore ces nouveaux patients. J'en ai eu 20 la semaine dernière. Curieux que des signes d'appels. Tu es débordée casa en ce moment ? -)

--
En cas d'échec des négociations conventionnelles, seriez-vous prêt à suivre la promotion d'un déconventionnement massif de la profession par les syndicats représentatifs ? OUI - NON
Participez, anonymement, sur https://goo.gl/forms/nAO0htnsVmxotjYm1

Capture d écran 2017 04 30 13.29 - Eugenol

Capture d  cran 2015 03 12 12.28 - Eugenol
chicot29

30/04/2017 à 13h40

Ca m'arrive aussi de foirer des endos. Mais moi aussi dans ce cas là je ne couronne pas. Un peu de respect pour le patient quand meme ! -)


--
En cas d'échec des négociations conventionnelles, seriez-vous prêt à suivre la promotion d'un déconventionnement massif de la profession par les syndicats représentatifs ? OUI - NON
Participez, anonymement, sur https://goo.gl/forms/nAO0htnsVmxotjYm1


sophies2015

30/04/2017 à 21h15

La culture française n existe pas ? A qui ferez-vous croire cela....ç est dommage de parler ainsi. ..


Hok 1b hgd3rj - Eugenol
Hokusai

30/04/2017 à 21h48

casa écrivait:
--------------
> Tu deviens excessif , je ne réponds plus .

Excuse moi.

> Ou Alors , en relisant .... bref les screw post , tu peux ne pas le faire , tu
> as le choix ....

Oui c'est un choix thérapeutique, il y a les indications et les contre indications...
Quand les patients attendent de bien souffrir pour venir au cab, y'a plus beaucoup de parois pour le SC33.


Utilisateur banni

01/05/2017 à 08h04

Pour En revenir à Macron , faut tout de même Le juger sur ce qu'il a fait.

Or allez regarder En détail la loi Macron
1. c'est un bordel sans nom cette loi . On y retrouve tout et n'importe quoi
2. Le travail Le dimanche n'augmente pas les bénéfices. Faut être sacrément débile pour penser que le français moyen avec son salaire limité et qui a ses 35 heures va tout d'un coup comme par miracle consommer plus.... Macron n'a pas saisi : les français ont peu d'argent Et En plus ils ont déjà beaucoup de temps libre.
3. Les cars Macron : c'est clairement un échec. Certes ça a baissé le prix du transport. Mais l'objectif c'était quoi ? De créer 22 000 emplois. Avec ses 1500 emplois c'est un échec cuisant. Faut savoir que Pas mal de lignes peinent à être rentables. Et donc c'est pas impossible qu'on va perdre des emplois dans ce secteur. Sans parler de la pollution des cars par rapport au train
4. La libéralisation des professions réglementées. Je rappelle qu'il a baissé les tarifs Et facilité la concurrence entre les notaires. -----> si vous n'êtes pas trop cons , il ira dans le même sens avec nous. D'ailleurs regardez ce qu'il a répondu à la question "que comptez vous faire face à la loi de MST?" Il a répondu EN BRASSANT DE L'AIR , il En a rien à secouer de nous. Si vous lisez l'interview de la CNSD , ses réponses sont approximatives et montrent qu'il ne fera rien
5. La réforme du permis de conduire -> alors là on voit que cette loi part dans tous les sens . C'est un mélange de tout Et n'importe quoi.

Regardez comment il a fait son programme pour les présidentiels ;
- Le mec s'est présenté sans avoir de programme au départ. Il a préféré faire des couvertures de Paris Match pour commencer.
- Je rappelle qu'il y a encore quelques mois il n'avait pas du tout de programme. Il avait pondu un livre dans lequel il a sorti quelques idées et c'est tout.
- Fort de son amateurisme, il nous a enfin sorti son programme, écrit au dernier moment sur un coin de table.
-
Si vous regardez et écoutez sérieusement ses propos , son discours est souvent flou, il brosse les chaussures de tout le monde. Le pen raconte Pas mal de conneries mais Et y a une chose qu'elle dit qui est vrai : Macron est l'élu du pouvoir En place -> il a Le soutient de toute l'élite En place . Regardez qui soutient Macron ? Le grand patronat avec Laurence Parisot et bien d'autres . Qui a préparé le terrain En sous marin pour que sa politique soit continuée ? Hollande. Sans parler des journalistes tous gauchos de service qui préparent son élection depuis des mois.

Vous verrez si il est élu :
- y aura de l'amateurisme (programme écrit au dernier moment je rappelle).
- Ça va partir dans tous les sens comme son ancienne loi En témoigne
- Et puis surtout il va endormir les gens comme sait Le faire Hollande ou comme savait Le faire Balladur etc etc etc .
- Et pour la profession , pour les dentistes . Allez voir son interview : c'est flagrant. Il ne fera RIEN

Au final je me dis que ce mec n'aurait jamais du finir en final. La droite a vraiment été trop con. Pour lui c'est le boulevard. Il a juste à brosser les chaussures, ce qu'il fait très bien d'ailleurs. Et je rappelle que pendant tout le quinquennat il était présent soit En étant conseiller économique soit En étant ministre. Il est complètement responsable de ce quinquennat désastreux en matière d'économie


Orezza gazeuse verre litre ocoxey - Eugenol
casa

01/05/2017 à 11h05

Bon ben je crois qu'on a fait le tour de Macron là , et maintenant ? en fait c'est pas Eugenol ici , c'est boule de cristal .. vous lisez dans quel tarot ?

Junior , va falloir choisir et essaye de t’élever au dessus de tes préoccupations matérielles qui , on l'avait remarqué, te sont essentielles .


Utilisateur banni

03/05/2017 à 07h29

Et terminons par ça :

-> QUI a mis en place Le plafonnement des prothèses ? Est ce Sarko? Le pen ? Mélanchon ?
Voter Macron c'est oublier le comportement de la gauche au pouvoir . C'est tout simplement tendre l'autre joue


Dsc05680 medium aphmfg - Eugenol
BasArtDentaire

03/05/2017 à 07h40

junior® écrivait:
-----------------
> . C'est tout
> simplement tendre l'autre joue

?t=3m10s


Utilisateur banni

03/05/2017 à 08h33

😊

Non mais sérieusement comment des chirurgiens dentistes qui se sont faits arnaquer par la gauche au pouvoir avec Le plafonnement des prothèses peuvent voter pour celui qui a été eux cotés d'Hollande pendant quasi tout le quinquennat en tant que conseiller ou ministre ?

Voter Macron c'est défendre les décisions prises en matière de plafonnement de prothèses


Hok 1b hgd3rj - Eugenol
Hokusai

03/05/2017 à 09h18

junior® écrivait:
-----------------
> Voter Macron c'est défendre les décisions prises en matière de plafonnement de
> prothèses

Tandis que voter LePen c'est soutenir la pire politique économique qu'il puisse exister, dentaire inclus.

Le seul vote légitime FN c'est celui du gars qui veut voir les rastaquouères dehors.


Generique fraisage r2rxmm - Eugenol
lardonbis

03/05/2017 à 09h24

ou celui qui veut voir des chèvres au pouvoir.


Capture d  cran 2015 03 12 12.28 - Eugenol
chicot29

03/05/2017 à 09h52

casa écrivait:
--------------
> ah merde ....

Oh merde 2 endos de plus. -)

--
En cas d'échec des négociations conventionnelles, seriez-vous prêt à suivre la promotion d'un déconventionnement massif de la profession par les syndicats représentatifs ? OUI - NON
Participez, anonymement, sur https://goo.gl/forms/nAO0htnsVmxotjYm1

Capture d écran 2017 05 03 09.48 - Eugenol

1...4567