Cookie Consent byPrivacyPolicies.comQuoi faire pour la 36? - Eugenol

Quoi faire pour la 36?

Android jyzura - Eugenol
Tavéca

18/05/2017 à 12h33

Le cas est déjà traité. Mais c'est intéressant de confronter nos avis.

Xefrlsn2i5wgpiwfoctg - Eugenol

4a338550 6a5b 47ea b2a7 d3cb675c5076 oni5gh - Eugenol
fistule 69

18/05/2017 à 13h28

Ben une couronne comme d'habitude !
😷🤑


moritooth

18/05/2017 à 13h32

fistule 69 écrivait:
--------------------
> Ben une couronne comme d'habitude !
> 😷🤑

pas mieux


Android jyzura - Eugenol
Tavéca

18/05/2017 à 14h06

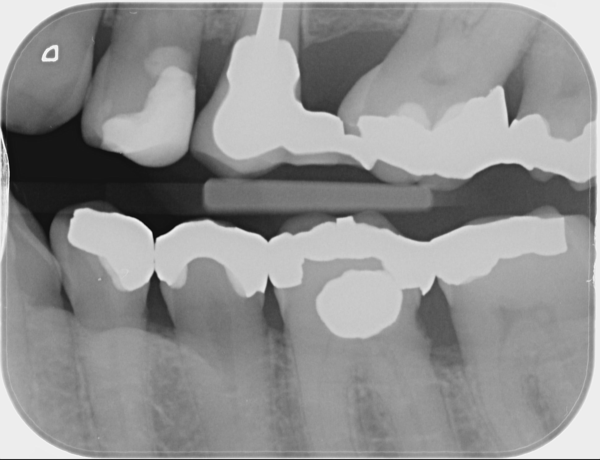
Un onlay?


Capture d  cran 2015 03 12 12.28 - Eugenol
chicot29

18/05/2017 à 14h09

Quelle idée de faire des radios aussi. Attends le signe d'appel ca t'aidera dans ton plan de TT. -)


--
En cas d'échec des négociations conventionnelles, seriez-vous prêt à suivre la promotion d'un déconventionnement massif de la profession par les syndicats représentatifs ? OUI - NON
Participez, anonymement, sur https://goo.gl/forms/nAO0htnsVmxotjYm1


Nouveau image bitmap fz77zh - Eugenol
Sethef

18/05/2017 à 14h56

couronne ou onlay effectivement, en fonction de la perte de substance.
Si pas possible de diguer, onlay metal.

What else?


Nouveau image bitmap fz77zh - Eugenol
Sethef

18/05/2017 à 14h57

Note qu'on pourrait se demander si un surfaçage ne serait pas suffisant. Y'a pas le bonhomme autour sur ta radio.


Android jyzura - Eugenol
Tavéca

18/05/2017 à 15h29

Sethef écrivait:
----------------
> couronne ou onlay effectivement, en fonction de la perte de substance.
> Si pas possible de diguer, onlay metal.

Bingo!

C drse7f - Eugenol

mr smith

18/05/2017 à 16h29



En vestibulaire , c 'est un amalgame ?
--
De l'influence de Marizol sur mon comportement .


Orezza gazeuse verre litre ocoxey - Eugenol
casa

18/05/2017 à 16h39

Tavéca est devenu tapluca ! bravo .


Android jyzura - Eugenol
Tavéca

18/05/2017 à 16h41

mr smith écrivait:
------------------
> > En vestibulaire , c 'est un amalgame ?

Oui transformé en composite le jour de l'empreinte.

B nhe7wc - Eugenol

Android jyzura - Eugenol
Tavéca

18/05/2017 à 16h45

casa écrivait:
--------------
> Tavéca et est devenu tapluca ! bravo .
C'est mieux que Yavéca?


mr smith

18/05/2017 à 17h14

Tavéca écrivait:
----------------
> mr smith écrivait:
> ------------------
> > > En vestibulaire , c 'est un amalgame ?
>
> Oui transformée en composite le jour de l'empreinte.
>

Heureusement que c'est le désert en antagoniste ,
Parce les cuspides d'appui sont fragilisées .
--
De l'influence de Marizol sur mon comportement .


Orezza gazeuse verre litre ocoxey - Eugenol
casa

18/05/2017 à 17h14

ça marche aussi yavéca ! et tu as scellé ça avec quoi ?


4a338550 6a5b 47ea b2a7 d3cb675c5076 oni5gh - Eugenol
fistule 69

18/05/2017 à 18h16

C'est beau, sa brille !
Des comme ça que l'on transforme en CCM quelques années plus tard, c'est courant ...
Je fait en fonction de l'âge.
Plus 50 ans, CCM, quand tu as une merde 10-20 ans plus tard, ils sont deja moins belliqueux !
😷😝


Nouveau image bitmap fz77zh - Eugenol
Sethef

18/05/2017 à 19h13

C'est beau ces engins.
J'en ai démonté un y'a 3 semaines sur ma dentiste conseil, il devait avoir une trentaine d'années, fracture d'une paroi non recouverte.
Les 3 autres en bouche, datant de la même époque, n'avaient pas bougé d'un poil.


Y'a plus que les dentistes qui soient assez snobs pour vouloir des machins comme ça.


moritooth

18/05/2017 à 19h32

Faire cohabiter l'or et le composite sur la même dent, tu est le Macron de la dentisterie !


moritooth

18/05/2017 à 19h37

Sethef écrivait:
----------------
> Y'a plus que les dentistes qui soient assez snobs pour vouloir des machins comme
> ça.

je confirme j'ai un onlay or sur ma 36 depuis 30 ans qui n'a pas bougé ( sans compo !). C'est vachement plus "confortable" que la ceramique.


4a338550 6a5b 47ea b2a7 d3cb675c5076 oni5gh - Eugenol
fistule 69

18/05/2017 à 20h45

Bande de bourgeois !
😷🙃


Android jyzura - Eugenol
Tavéca

18/05/2017 à 21h34

C'est vrai qu'en revoyant les photos j'aurais pu/dû faire un recouvrement cuspidien.


Android jyzura - Eugenol
Tavéca

18/05/2017 à 21h35

casa écrivait:
--------------
> ça marche aussi yavéca ! et tu as scellé ça avec quoi ?

Crown and Bridge (oxyphosphate de zinc). Classic quoi.


Orezza gazeuse verre litre ocoxey - Eugenol
casa

18/05/2017 à 21h47

c'et magnifique ! de vrais bijoux .... un véritable travail d'orfèvre ! mais bon c'est pas blanc ,et de nos jours ....


Totoro ovtguw - Eugenol
T00TH

18/05/2017 à 22h09

Question stupide mais :
Le point de contact or/amalgame, niveau électrolyse c'est pas génial non?
Tu as prévu de refaire les autres Hg?


endeauc

19/05/2017 à 09h04

Magnifique !
Pas facile d'aller chercher une aussi jolie limite en distal, bravo !


Bebert.

19/05/2017 à 09h53

fistule 69 écrivait:
--------------------
> C'est beau, sa brille !
> Des comme ça que l'on transforme en CCM quelques années plus tard, c'est courant
> ...
> Je fait en fonction de l'âge.
> Plus 50 ans, CCM, quand tu as une merde 10-20 ans plus tard, ils sont deja moins
> belliqueux !
> 😷😝

Détrompe-toi, les inlays / onlays en or durent très très longtemps et largement plus que les "machins" actuels.
Les cuspides recouvertes en or ne risquent pas de casser contrairement aux emax ou autres.

J'en ai fait des brouettées à mes débuts et pendant des années avant qu'ils ne soient détrônés par les obturations esthétiques.

Et effectivement, il n'y a plus que les dentistes à demander cela ... sur mes 5 dents soignées, j'ai 3 amalgames qui ont plus de 40 ans et un onlay 3 faces qui a 33 ans: ce qu'on fait aujourd'hui ne tiendra jamais autant.



12