Cookie Consent byPrivacyPolicies.comVive le composite  - Eugenol
Nouveau image bitmap fz77zh - Eugenol
Sethef

30/10/2019 à 09h38

Ben voilà, du coup danteyeah il les fait en 3 patients. Ca se tient.


6szjws718sv1jksw54v4mpj3a6cu - Eugenol
vulpi

30/10/2019 à 10h03

C'est joli Danteyeah.
Mais j'en veux plus!-) ça reste des photos.
Digue?
MR2? MR3?
Stratification?
à main levée?
glycérine?
Photoshop?-)


Bebe 038 nf8eum - Eugenol
danteyeah

30/10/2019 à 17h30

vulpi écrivait:
-----
> C'est joli Danteyeah.
> Mais j'en veux plus!-) ça reste des photos.
Désolé, j'ai que ça.....les dents j'les ai laissé chez les patients ;-)

> Digue?

Y'en a....notament chez ma patiente de 74ans, et la réparation de la 11 chez une gamine de 13 ans (dent plus claire)

> MR2? MR3?

All bond en MR2

> Stratification?

Partout mais pas toujours comme tu l'entends...eh eh : les 2 gamins c'est de la strat. bi teinte au GC Essentia, les autres c'est de l'injectable (ou plutôt compressible) opaque/teinte dentine/teinte émail.

> à main levée?

En tout cas fait avec les mains.....je sais me tenir!

> glycérine?

A moi! on m'avait dit Vaseline pour dans 2 mois....j'ai faut
Sérieusement pas besoin dans le compressible, puisque pas de couche inhibée de surface (pas d'air), et oui chez les gamins car microgéométrie complexe liée à l'âge.

> Photoshop?-)

Oh Je ne t'ai jamais insulté moi !!!!!!


6szjws718sv1jksw54v4mpj3a6cu - Eugenol
vulpi

30/10/2019 à 17h38

Merci.
Je fais souvent une stratification du pauvre. Un compo classique + une dernière couche de A1 email qui est translucide finalement.
J'ai renoncé au MR3 optibond FL depuis 6 mois, le contre coup du rac0.
Plus ça va et moins je mets la digue et plus je mets du téflon😉


6szjws718sv1jksw54v4mpj3a6cu - Eugenol
vulpi

31/10/2019 à 12h51

danteyeah écrivait:
---------
> Boeurk, caca le composite, puis ça coute un bras c'te merde. Mais heureusement
> dans 2 mois on en aura fini avec ces horreurs, j'vais de CCMiser tout ça moi
Qu'est-ce qui t'a orienté vers le compo, plutôt que des facettes ?


Avatar transparent iqadnc - Eugenol
adhoc

31/10/2019 à 13h08

Lis plus haut, mon grand!!!

"Secundo pour le tarif, mamie y laisse sa paillote en viager, et j’ai Pas abuser des faibles"


6szjws718sv1jksw54v4mpj3a6cu - Eugenol
vulpi

31/10/2019 à 13h14

Mamie? Et ça la dérangeait pas avant?... c'est souvent un tt vers les 18 ans. Et bien souvent la prise de décision nous incombe.


Bebe 038 nf8eum - Eugenol
danteyeah

31/10/2019 à 19h40

Mamie??? non dans le cas dont tu parles on a une jeune adulte, pas fortunée, avec une image d'un idéal esthétique (le sien), c'était chaud de passer directe à la facette. L'image "préop" c'est après blanchiment, elle n'a pas voulu que je dépose les compos sur 12 et 22 fait (très bien d'ailleurs) durant son adolescence, elle n'acceptait pas qu'on puisse la voir comme ça. Donc déjà je partais sur des bases de teinte différente entre les incisives et c'est casse-couilles pour trouver les bons lingotins d'Emax a presser en fonction de chaque teinte de substrat. J'ai préféré faire simple: wax-up/mock-up/validation des formes/moule silicone transparent/composite chauffé, stratifié dans le moule et pressé sur l'email traité et quelques retouches directe pour être en phase avec la patiente....à peu près 3 heures de taf.
Maintenant, elle a les moyens des facettes, mais franchement, moi, j'suis pas pressé.


Nouveau image bitmap fz77zh - Eugenol
Sethef

13/11/2019 à 08h27

Petit conseil dante, j'ai un patient, classe II serrée, à qui j'ai refait les 2 centrales récemment, en en profitant pour les vestibuler légèrement pour l'esthétique.
On a convenu le mois prochain de lui mettre un peu de compo en apposition sur les latérales pour les aligner joli: comment tu teintes ça? Si je rajoutes une teinte émail, très translucide, sur une dent qui conserve son émail sous jacent, ça risque de donner un aspect un peu gris non?


Bebe 038 nf8eum - Eugenol
danteyeah

13/11/2019 à 19h48

Quelle teinte les centrales ? Quels matériaux (marques/modèles) t’as dans tes tiroirs


Nouveau image bitmap fz77zh - Eugenol
Sethef

13/11/2019 à 21h12

Je bosse avec le Filtek;
Pour les centrales, imagine du 3L1,5/3L2,5 de teintier, c'est pas tout à fait ça mais les tofs sont au cab.
(Le proto a fait une très jolie caractérisation sur la 11, du coup j'ai un peu honte du compo de la 21 qui n'est pas au niveau.)


Bebe 038 nf8eum - Eugenol
danteyeah

13/11/2019 à 21h20

Filtek.....lequel: XTE, universelle, z250?????
Si XTE t’as quel email???


Bebe 038 nf8eum - Eugenol
danteyeah

13/11/2019 à 21h23

3L/2,5!!!!! L’email des latérales est gris/bleu? Les couleurs plutôt saturées ???


Nouveau image bitmap fz77zh - Eugenol
Sethef

13/11/2019 à 21h29

Filtek XTE, en terme d'émail je bosse principalement avec A2 A3 et WW.

Email des latérales un peu translucide, saturation comme un mec de 50 balais non fumeur.
Attends, je vais retrouver la photo que j'ai envoyé au protho.


Nouveau image bitmap fz77zh - Eugenol
Sethef

13/11/2019 à 21h32

Tiens, la photo au prot. Au passage, je pensais rajouter un peu de A3 émail en incisal de 21.

(quand je pense qu'au début je voulais faire 2 coiffes et 2 facettes, et qu'on a réduit pour suivre le budget... Éclaircissement sur la 21 d'ailleurs, pour rester dans le thème du jour)

3M1 3M2 du coup la teinte.

Img 5598 udkzpu - Eugenol

Bebe 038 nf8eum - Eugenol
danteyeah

13/11/2019 à 22h10

Juste compo sur lat ça va pas suffire:
D’abord mise en forme: p’tit coup de laser (bistouri) au collet de 22. Prévoir compo sur 13 aussi. Conseils puisque t’as demandé, c’est wax-up 22,12,13 (voir même en mesial de23).
Niveau teinte t’as bien un email bleu/gris mais aussi un paquet de fissures alors qu’au collet c’est lumineux et opaque-brillant, vaut mieux cacher les 2/3 incisale avec dû dentine A2 (teinte au pif, mais j’dois pas être loin, puis fine couche email (de toute façon le XTE demande des émaux en fine couche, sinon boeurk)
Faudrait éclaircir la 13 aussi. T’as fait la 11 après que le protho finisse la 21? T’aura Du faire l’inverse: il est meilleur que nous en strat mais il saura aussi mieux gérer la micro-géométrie que nous (enfin si c’est pas un branque)
Gaffes quand même: beaucoup de fissures=beaucoup de sollicitations, le compo risque de rendre l’âme prématurément


Nouveau image bitmap fz77zh - Eugenol
Sethef

13/11/2019 à 22h20

ok j'enverrais la photo finale une fois fini, je finis le boulot le 30 décembre. Va pas pas falloir que je foire haha.


Nouveau image bitmap fz77zh - Eugenol
Sethef

13/11/2019 à 22h20

ok j'enverrais la photo finale une fois fini, je finis le boulot le 30 décembre. Va pas pas falloir que je foire haha.


Vw campersurfvan bmnk1q - Eugenol
enlaye

14/11/2019 à 00h23

danteyeah écrivait:
---------
" Gaffes quand même: beaucoup de fissures=beaucoup de sollicitations, le compo risque de rendre l’âme prématurément "

eh oui .
il a une fermeture tres ant .
l usure typique de 13 et presque meme 23 n est pas confortable pour toi , Sethef .
vois un peu si tu pourrais pas lui adoucir ses trajets d entrée post .
regardes s il n aurait pas une crete marginale trop saillante interferente dans le fond .
secteur 30 , par exemple :-)


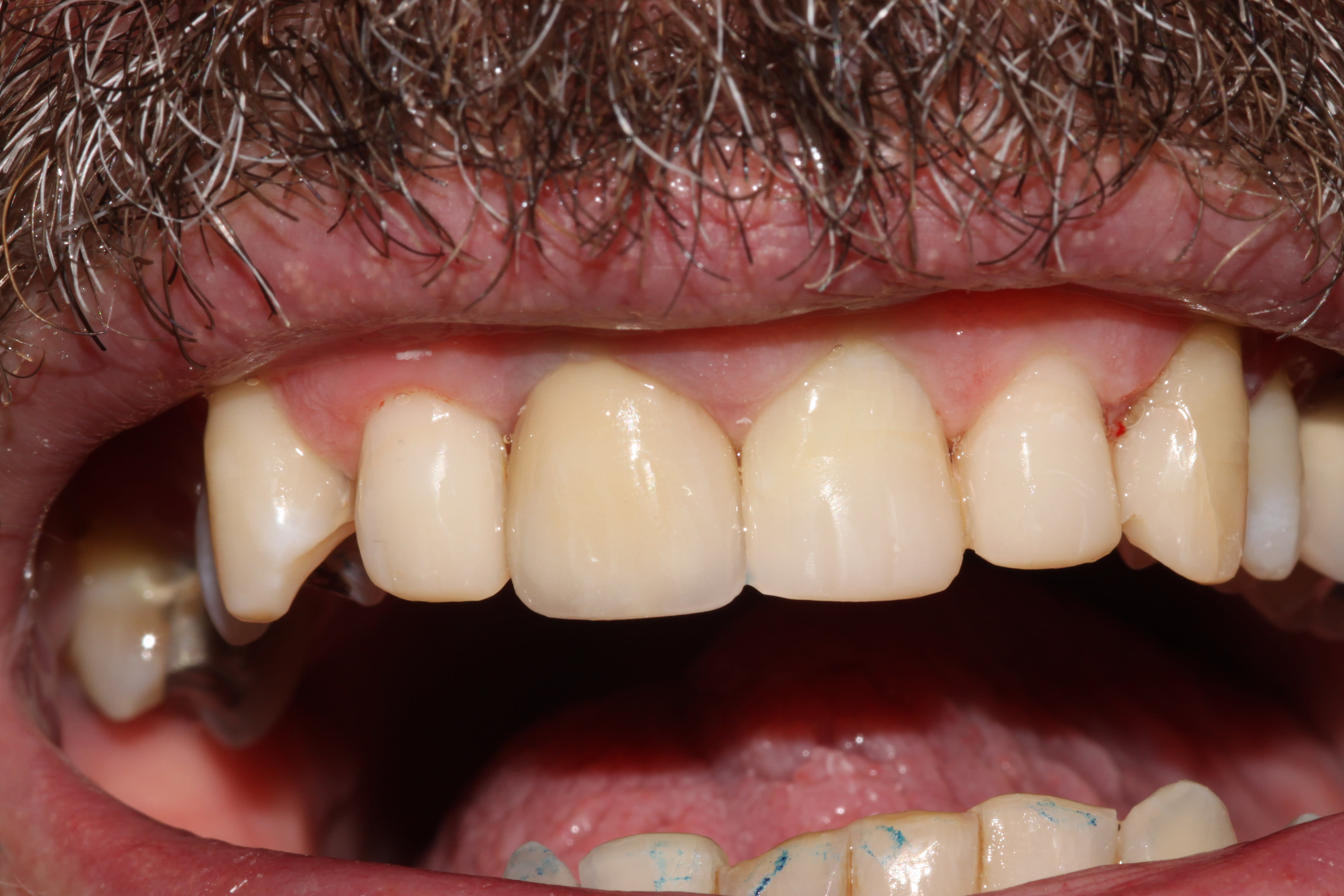
Nouveau image bitmap fz77zh - Eugenol
Sethef

30/12/2019 à 16h44

Résultat correct, sans arriver à ton niveau.
Réglage occlusal dans le même temps pour ouvrir l'angle I/i.

danteyeah écrivait:
---------
> Juste compo sur lat ça va pas suffire:
> D’abord mise en forme: p’tit coup de laser (bistouri) au collet de 22. Prévoir
> compo sur 13 aussi. Conseils puisque t’as demandé, c’est wax-up 22,12,13 (voir
> même en mesial de23).
> Niveau teinte t’as bien un email bleu/gris mais aussi un paquet de fissures
> alors qu’au collet c’est lumineux et opaque-brillant, vaut mieux cacher les 2/3
> incisale avec dû dentine A2 (teinte au pif, mais j’dois pas être loin, puis fine
> couche email (de toute façon le XTE demande des émaux en fine couche, sinon
> boeurk)
> Faudrait éclaircir la 13 aussi. T’as fait la 11 après que le protho finisse la
> 21? T’aura Du faire l’inverse: il est meilleur que nous en strat mais il saura
> aussi mieux gérer la micro-géométrie que nous (enfin si c’est pas un branque)
> Gaffes quand même: beaucoup de fissures=beaucoup de sollicitations, le compo
> risque de rendre l’âme prématurément

Img 5618 r2uwfb - Eugenol

Bebe 038 nf8eum - Eugenol
danteyeah

08/01/2020 à 03h16

Du coup la CCC sur 11 fait un peu massive...., c’est un classique quand on reprend les compos après la fixe (me suis delà fait avoir).
La 23 mérite une deuxième couche en vestibulaire pour cacher le joint et ce sera nickel 👌


1...910