Cookie Consent byPrivacyPolicies.comVive le composite  - Eugenol
Dprtmuluo7sk4wxn8aabgsxy7sde - Eugenol
Pervers Pépère

03/08/2018 à 16h03

junior® écrivait:
-------
> D’ailleurs je me demande si un certain pépère ne m’aurait pas envoyé un message
> en anglais en mp ... à moins que ça soit Daryl (c’est Tout à fait possible)

Moi j'envoie que des trucs de Q, et uniquement en mauvais français.


lampadaire skurup

10/10/2019 à 13h33

https://www.senat.fr/rap/l00-261/l00-26129.html


--
Fabriqué en métal. Avec un design intemporel, le lampadaire skurup vous ravira. Hauteur réglable en fonction de l'éclairage souhaité.


Bebe 038 nf8eum - Eugenol
danteyeah

10/10/2019 à 18h42

Marrant la date du tableau comparatif composite/amalgame.......1996, les composites ont évolués qui disent...ça sent le bourrage de mou pour justifier leur daube de convention et remettre toutes les brebis égarées empapaoutées par le no post-no crown à ce bon viel amalgame.


lampadaire skurup

24/10/2019 à 15h52

Vous avez une 6 en CC , il y a un traitement endo à faire , vous faites le trou l’endo .... par quoi rebouchez vous le trou ensuite ? Quel matériau ?


--
Fabriqué en métal. Avec un design intemporel, le lampadaire skurup vous ravira. Hauteur réglable en fonction de l'éclairage souhaité.

Ad881a1f d08b 42b0 b468 3a4d48c5cfe3 i55vqj - Eugenol

Pubg2 rjl8jc - Eugenol
lemondestvaste

24/10/2019 à 17h16

J achète une boîte d amg juste pour ça 😂😂😂


Carie Grant

24/10/2019 à 23h02

Une boite d'AMG en urgence ? voila voila ….

Amg fby6ec - Eugenol

lampadaire skurup

25/10/2019 à 08h33

lemondestvaste écrivait:
--------------
> J achète une boîte d amg juste pour ça 

Justement les composites ne collent pas au métal d’une CC ou au CCM .... par conséquent l’obturation ne doit pas être réalisée en composite mais en amalgame :))))) allez bim remballez vos composites de merde :) un bon amalgame fourré au doigt , y a que ça de vrai :) Et en plus c’est de la même teinte que le métal de la couronne coulée .
--
Fabriqué en métal. Avec un design intemporel, le lampadaire skurup vous ravira. Hauteur réglable en fonction de l'éclairage souhaité.

374ff3f9 1f1b 419e afbb c1fbfe1042e1 e1ujar - Eugenol
9d8cfed9 e624 4e81 8d08 b22ecff4e4f9 hducnd - Eugenol
80c5fc94 48cb 4aba 9228 526377eea942 dmtkir - Eugenol
43cb20ac 23e2 4528 814f 98dddfb9436d yukfre - Eugenol

6szjws718sv1jksw54v4mpj3a6cu - Eugenol
vulpi

25/10/2019 à 08h37

T'aimes pas les apex toi 😝


lampadaire skurup

25/10/2019 à 08h41

J’aime bien laisser une trace de pâte, un petit puff. C’est une manière de signer son travail . « Tiens y a un petit dépassement de pâte, ce patient est passé chez l’autre empafé  » :)))


--
Fabriqué en métal. Avec un design intemporel, le lampadaire skurup vous ravira. Hauteur réglable en fonction de l'éclairage souhaité.


Vw campersurfvan bmnk1q - Eugenol
enlaye

25/10/2019 à 08h42

et si tu passes un ptit coup de fraise en canal palatin , hop , 92 euro .:-)


6szjws718sv1jksw54v4mpj3a6cu - Eugenol
vulpi

25/10/2019 à 08h46

T'aurais pu en faire autant en dv...


Rape p0as4f - Eugenol
rapelapente

25/10/2019 à 08h47

N'oublie pas de connecter deux fils, un dans l'amg, l'autre à la couronne. Ton patient pourra allumer une led avec. Idéal pour Halloween la bouche lumineuse.
Le Lampadaire crée la tendance !


--
Schooner For Ever


lampadaire skurup

25/10/2019 à 08h49

L’apex est là Vulpi . Je sais qu’on n’a plus une très bonne vision avec l’âge mais ensuite faut pas confondre c’est de l’os dense :)


--
Fabriqué en métal. Avec un design intemporel, le lampadaire skurup vous ravira. Hauteur réglable en fonction de l'éclairage souhaité.

F1876120 2b17 49fe bfb5 8e38c0f69bfe taiidq - Eugenol

6szjws718sv1jksw54v4mpj3a6cu - Eugenol
vulpi

25/10/2019 à 09h46

lampadaire skurup écrivait:
-----------------
> L’apex est là Vulpi . Je sais qu’on n’a plus une très bonne vision avec l’âge
> mais ensuite faut pas confondre c’est de l’os dense :)
Mouais... qui vivra verra...
Avec l'age les bras prennent de la force. A 20 ans impossible de tordre son sexe en érection, à 75 si. Les bras ont pris de la force!


lampadaire skurup

26/10/2019 à 14h40

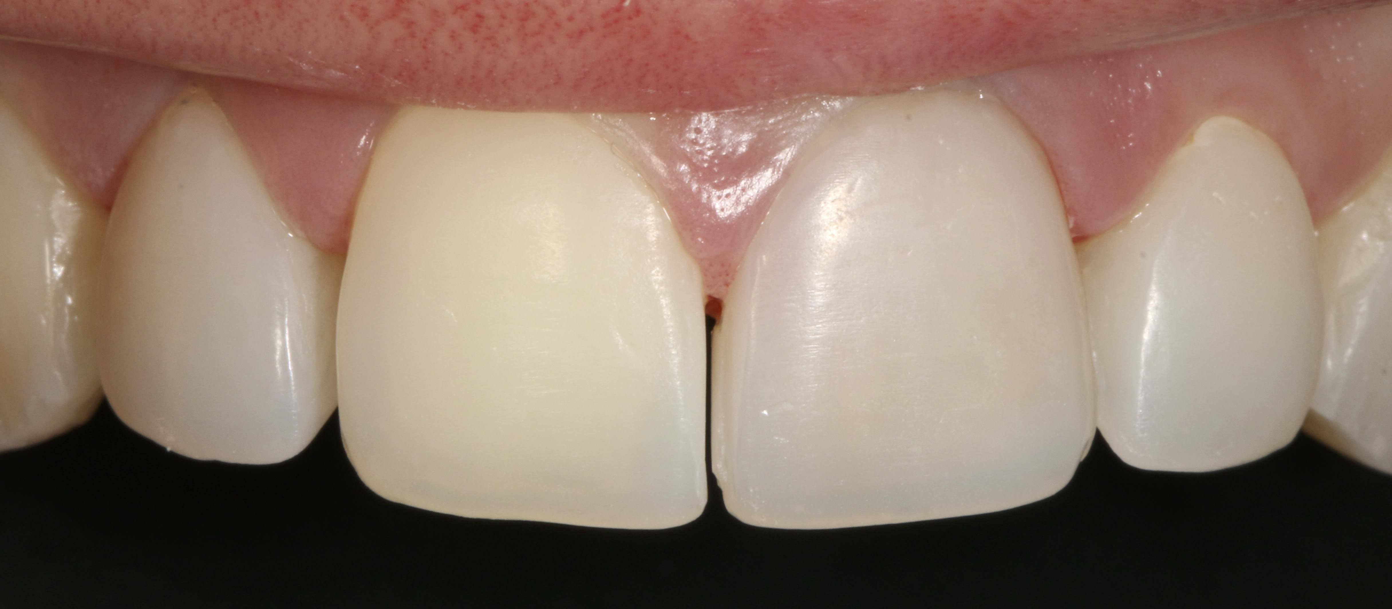
Parce que le composite tient bien dans le temps , une facette en composite avec retour palatin a été faite sur 21. Je récupère la patiente et je note la Durabilité ainsi que l’esthétisme du composite +++. Ça tient bien dans le temps.


--
Fabriqué en métal. Avec un design intemporel, le lampadaire skurup vous ravira. Hauteur réglable en fonction de l'éclairage souhaité.

3c274d2a 641a 44e0 bee0 cadc8bf4dd40 qxtaye - Eugenol
D7e3bc0b 00f2 419b af4e 68fb6809eb32 a13yjm - Eugenol

Bebe 038 nf8eum - Eugenol
danteyeah

29/10/2019 à 23h04

Ouais, il a raison Junior, le composite c'est rien que de la merde, ça rend aucun service, ça vieillit super mal...de la daube quoi!
En plus sur le cas avec les diadèmes, y'a pas eu de digue....un travail de gros porc quoi!

 mg 8323 gmn8od - Eugenol
 mg 8338 d0nkfe - Eugenol
Img 3462 c4hwwq - Eugenol
Img 3463 j9cplt - Eugenol

Bebe 038 nf8eum - Eugenol
danteyeah

29/10/2019 à 23h10

Boeurk, caca le composite, puis ça coute un bras c'te merde. Mais heureusement dans 2 mois on en aura fini avec ces horreurs, j'vais de CCMiser tout ça moi

Img 1674 iqccoh - Eugenol
Img 2571 crrtbn - Eugenol

Bebe 038 nf8eum - Eugenol
danteyeah

29/10/2019 à 23h14

Et en plus même les mecs n'ont plus une thune de nos jours, font chier avec leur composite. Tiens Junior, celui-là à un p'tit défaut...bah j'te le laisse quand même.

Img 2844 ubebs3 - Eugenol
Img 2631 afoi1p - Eugenol

Bebe 038 nf8eum - Eugenol
danteyeah

29/10/2019 à 23h38

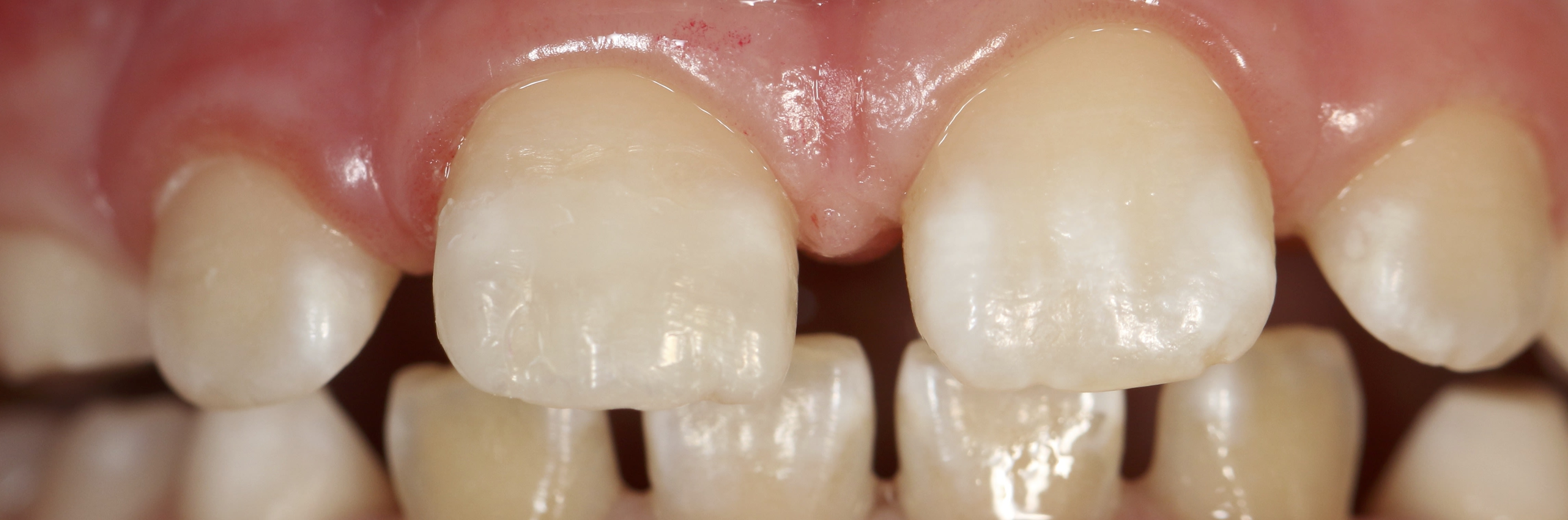
Un p'tit dernier pour la route, avec un visuel à 6 mois
C'est vrai que ça se salit à donf c'te saloperie, bon c'est vrai aussi qu'un p'tit polissage de 15 minutes suffit à leur redonner de l'éclat.....mais chut faut pas le dire, faudrait pas frustrer le gamin.

Img 3325 whxdz9 - Eugenol
Img 3465 oajrbu - Eugenol

Nouveau image bitmap fz77zh - Eugenol
Sethef

29/10/2019 à 23h44

Tout cela est parfaitement splendide.

Comme j'aime ergoter, je te dirais que des cerams auraient eu une meilleure influence sur la paro du dernier, et auraient peut-être mis moins de temps à réaliser finalement, mais cela n'enlève rien à la maîtrise technique.


Ylfwcw979cz1jnx9gfqeaxndiuzk - Eugenol
Algi

29/10/2019 à 23h57

J'en parle ailleurs....

Au tarif secu ça donne quoi ?

Si tu fais ça opposable chapeau bas mais tu dois pas te remplir les poches....

Sinon pense aux copains de yobi qui ne font rien de tel car au tarif secu c'est évidemment impossible sauf à le faire de temps en temps...

Car ils ne savent et n'ont jamais su demander de dépassements d'honoraires...

Et parceque de toutes façons à force de faire des merdes genre celles montrées par junior ils sont incapables de faire autre chose si jamais ils l'ont su un jour.

Et parceque entre gagner 80 balles et coiffe made in China en 2 séances à presque 500 y'a pas photo.

La faute à qui ?

Prochain topic je peux proposer vive la mobile, vive la fixe, vive l'ortho....

Bref c'est pas le matériau qui est à critiquer car ne t'en déplaise jeune lampadaire si c'est réalisé comme il faut et avec des matériaux choisis et selon les bonnes procédures c'est infiniment mieux que l'amalgame.

Et bravo dentayeah mais j'ai bien peur que ces images ne fassent bientôt partie de l'histoire, chez nous en tout cas....

--

https://open.spotify.com/user/8iz7teu84dfphmgspeh2979o8/playlist/59Tfpt7zoHfkI27430lfNg?si=MAiYEkb2S6mMV6qNX2aFwg


On a toujours le choix mais entre quoi et quoi?
Vas-y boulégue et l'avenir te le dira!


Bebe 038 nf8eum - Eugenol
danteyeah

30/10/2019 à 00h55

Sethef écrivait:
------
> Tout cela est parfaitement splendide.
>
> Comme j'aime ergoter, je te dirais que des cerams auraient eu une meilleure
> influence sur la paro du dernier, et auraient peut-être mis moins de temps à
> réaliser finalement, mais cela n'enlève rien à la maîtrise technique.
74 ans, une abrasion à plus de 50% sur les inf. et une putain de classe 2 compensée par une sale tendance à la propulsion pour bien niquer les faces palatines des sups et exploser les infs.
Primo en Céram j’y vais pas, comme dit Enlaye: je me cague de le faire.....,et c’est vraiment
Secundo pour le tarif, mamie y laisse sa paillote en viager, et j’ai Pas abuser des faibles
Et Tertio fallait que j’écoule Mon stock de compo avant le RAC0, j’ai remisé le réchauffeur et sorti l’amalgaMateur de la naphtaline.


Bebe 038 nf8eum - Eugenol
danteyeah

30/10/2019 à 01h07

Algi écrivait:
----
> J'en parle ailleurs....
>
> Au tarif secu ça donne quoi ?
>
> Si tu fais ça opposable chapeau bas mais tu dois pas te remplir les poches....

> Et bravo dentayeah mais j'ai bien peur que ces images ne fassent bientôt partie
> de l'histoire, chez nous en tout cas....
>
Ces images font partie de mon histoire, celle de patients généralement pas fortunés, pas toujours éduqués mais toujours humains, tu vois le genre de gens avec qui t’as tout simplement plaisir à passer un moment, qui te laissent carte blanche en toute confiance....bin c’est con tu te sens alors important, ce que tu fais a un sens, même si d’autres Font mieux, et même si tu n’arrives pas toujours à tes fins. C’est un peu de sel dans une vie pro parfois bien casse-couille.
Et puis accessoirement ça paye les pneus et les plaquettes de freins trop vite bouffés par la caillasse du Sud 😆


Ylfwcw979cz1jnx9gfqeaxndiuzk - Eugenol
Algi

30/10/2019 à 07h12

O'purge tous les dentistes sont pas des salopards alors ?

Du coup je me sens moins seul.....


--

https://open.spotify.com/user/8iz7teu84dfphmgspeh2979o8/playlist/59Tfpt7zoHfkI27430lfNg?si=MAiYEkb2S6mMV6qNX2aFwg


On a toujours le choix mais entre quoi et quoi?
Vas-y boulégue et l'avenir te le dira!


Capture d  cran 2015 03 12 12.28 - Eugenol
chicot29

30/10/2019 à 09h36

danteyeah écrivait:
---------
> Sethef écrivait:
> ------
> > Tout cela est parfaitement splendide.
> >
> > Comme j'aime ergoter, je te dirais que des cerams auraient eu une meilleure
> > influence sur la paro du dernier, et auraient peut-être mis moins de temps à
> > réaliser finalement, mais cela n'enlève rien à la maîtrise technique.
> 74 ans, une abrasion à plus de 50% sur les inf. et une putain de classe 2
> compensée par une sale tendance à la propulsion pour bien niquer les faces
> palatines des sups et exploser les infs.
> Primo en Céram j’y vais pas, comme dit Enlaye: je me cague de le faire.....,et
> c’est vraiment
> Secundo pour le tarif, mamie y laisse sa paillote en viager, et j’ai Pas abuser
> des faibles
> Et Tertio fallait que j’écoule Mon stock de compo avant le RAC0, j’ai remisé le
> réchauffeur et sorti l’amalgaMateur de la naphtaline.

Ah ? Pourtant les soins on augmenté. Il parait meme qu'il faut faire 300 compo 3 faces pour équilibrer le RAC 0.
--
En cas d'échec des négociations conventionnelles, seriez-vous prêt à suivre la promotion d'un déconventionnement massif de la profession par les syndicats représentatifs ? OUI - NON
Participez, anonymement, sur https://goo.gl/forms/nAO0htnsVmxotjYm1


1...8910