Cookie Consent byPrivacyPolicies.comVive le composite  - Eugenol
Utilisateur banni

31/08/2017 à 20h58

T'es vraiment de mauvaise foi.  C'est une COCHRANE ....
y a même pas à discuter.
Toutes les études montrent les mêmes résultats.


Capture d  cran 2015 03 12 12.28 - Eugenol
chicot29

31/08/2017 à 21h34

Un compo est avant tout praticien dépendant. Ca n'est pas le cas de l'amalgame. En France tous les dentistes conventionnés se sont engagés à les réaliser selon les données acquises de la science pour un tarif qui est le plus bas d'Europe. Il n'y a donc pas à s'inquiéter sur leur longévité. et profiter de cette bonne affaire. -))))



En cas d'échec des négociations conventionnelles, seriez-vous prêt à suivre la promotion d'un déconventionnement massif de la profession par les syndicats représentatifs ? OUI - NON
Participez, anonymement, sur https://goo.gl/forms/nAO0htnsVmxotjYm1


Hok 1b hgd3rj - Eugenol
Hokusai

31/08/2017 à 21h59

En fait en france l oc endo c est fait selon les donnees acquises mais y a beaucoup plus d aléas thérapeutiques.


Generique fraisage r2rxmm - Eugenol
lardonbis

01/09/2017 à 08h31

20€ -----> CVI
80€ ------> amlg
120€ -------> compo
350€ --------> or cohésif
700€ -------> onlay ceram

comme dans tout les pays civilisé ... :p


chez nous le tarif c'est 20€, pas le choix


Utilisateur banni

02/09/2017 à 10h53

Ah c'est vrai qu'ils sont beaux les composites !!! 😊

Img 0300 oxxxsy - Eugenol

endeauc

02/09/2017 à 10h56

Il faut mettre un amalgame ici c'est mieux :)


P2eqdh3csim6s7nb09ktdq3e7ev8 - Eugenol
barbabapat

02/09/2017 à 10h58

junior® écrivait:
-----------------
> Ah c'est vrai qu'ils sont beaux les composites !!! 
>

-----------------
Potentiellement, tu t’en tire souvent avec un polissage dans ces cas là. Après pour 20 euros, tu 'auras pas un protocole parfait avec parfois un adhésif 3 en 1, et peu de perte de temps à finir la polymérisation en surface sans oxygène.


Utilisateur banni

02/09/2017 à 11h35

Je ne sais pas si c'est un MR3 qui a été utilisé dans ce cas . Mais rassurez vous avec les MR3 il y a aussi ça. 
Très très joli
Ça vieillit très bien le composite .....


PopHip

02/09/2017 à 21h17

junior® écrivait:
-----------------


> 1. Prenez du monomère venant de votre résine , mettez En sur un sac plastique et voyez le magnifique trou que cela provoquera. Non la résine et Le composite ça n'est pas toxique bien entendu 😊😊😊. C'est moins toxique que l'amalgame à ce qu'il paraît .

Expérience un peu con (excuses-moi du terme). T'as essayé du bout de viande plongé 2h dans un verre de coca ? Bon, les conclusions que tu en tireras sont aussi peu pertinentes.


Utilisateur banni

03/09/2017 à 12h37

En attendant les études sont là : en postérieur quand la cavité le permet , l'amalgame présente moins de taux d'échec que les composites


Dolan donald duck weird wqjham bw43ju - Eugenol
GéPé

03/09/2017 à 13h58

Un cheval est bien plus fiable qu'une voiture électrique, ils sont vraiment cons chez Tesla.


Jack 2 wm3tqs - Eugenol
Treponem

03/09/2017 à 15h34

Pourquoi pas comparer le compo à la tesla, mais à ce moment je comparerais l'amalgame à un lada niva en terme de coût et à un defender en terme d'efficacité.
Tu passeras pas partout avec une tesla, de la même façon que tu ne poseras pas un compo dans une bouche degueue.
La france veut du pas cher.


3395 40 umvzjn - Eugenol
Aspius

03/09/2017 à 16h19

Qu'on arrete de tourner autour du pot et de chercher des explications alambiquées.

Invoquer une survie à X années supérieure, quand on sait le nombre de biais existants sur des temps aussi longs, n'a aucun sens.

Le seul réel intérêt de l'amalgame en 2017 par apport au compo c'est le cout pour l'opérateur, à la fois en terme de consommables et de temps de réalisation.
Ça implique d'assumer le fait de faire de la merde sciemment, avec pour seul argument le facteur économique.


RépondreCiter
Utilisateur banni

03/09/2017 à 18h20

Aspius écrivait:
----------------
> Qu'on arrete de tourner autour du pot et de chercher des explications alambiquées.
>
> Invoquer une survie à X années supérieure, quand on sait le nombre de biais existants sur des temps aussi longs, n'a aucun sens.

Oui bien entendu , faut le dire en quelle langue :))))) ? en Anglais ?

According to the risk of bias evaluation, all studies were classified as HIGH QUALITY.....

The results of this review suggest that composite resin restorations in posterior teeth still have less longevity and a higher number of secondary caries when compared to amalgam restorations. In relation to fractures, there was no statistically significant difference between the two restorative materials regarding the time of follow-up.

Etudes sur 3 265 obturations en composite et 1 935 obturations en amalgame...


Utilisateur banni

16/09/2017 à 11h16

Une petite dédicace pour Gépé
Ce matin j'ai une patiente qui m'a dit textuellement :
" Avant j'avais des restaurations blanches sur toutes mes dents et j'avais des caries dessous, votre prédécesseur m'a changé ces restaurations blanches par des plombages et depuis je n'ai plus de caries"
Comme quoi y a des patients qui ne sont pas si cons que ça et qui sont observateurs 


azerty

19/09/2017 à 15h45

moi je dit que le composite est topissime a tous points de vue (comme ca je n'ai pas d'emmerdes avec certains gugus de base....)


6szjws718sv1jksw54v4mpj3a6cu - Eugenol
vulpi

07/10/2017 à 16h29

Allez je vais réveiller la bête, et pis ça fera bosser les modos le WE, le nouveau Président est pour.

Dis moi Junior, à mon époque quand on avait une grande cavité ont la remplissait de verre ionomère (qui est moins cyto-toxique, on retaillait et on enrobait le tout de composite qui est plus "solide". Qu'est-ce t'en penses... c'est p-t'être la solution à ton problème?


Vw campersurfvan bmnk1q - Eugenol
enlaye

07/10/2017 à 21h55

A la mienne , on faisait l endo et on mettait le compo et les inquiets rajoutaient un srew-post .:-)


Utilisateur banni

07/10/2017 à 22h28

Perso je ne jure que par les onlays, par exemple ici sur 36 . C'est ça ma solution. J'en pose beaucoup. Le compo en méthode directe ca ne m'a jamais trop plu. Ou un amalgame c'est très bien aussi sur le long terme.
Regardez moi cette 12 , j'avais très peu de place à cause de l'incisive mandibulaire et de la position de la 12. Du coup moignon très court. C'est une petite chinoise déposée sur un lit de colle. Et le chinois qui m'a fait ça a eu la présence d'esprit de laisser un espace entre la 12 et la 13 de façon à ce que la 12 ne paraisse pas trop large .
Et regardez cette 36 sur implant ... toujours une petite chinoise. On remarquera une vieille française moche sur 35.

Img 0387 gsfpxy - Eugenol
Img 0422 jtcnf6 - Eugenol
Img 0424 fqdkr6 - Eugenol
Img 0383 yz8nnd - Eugenol

Carie Grant

07/10/2017 à 22h48

junior® écrivait:
-------

> C'est une jolie petite chinoise déposée sur un lit de colle.

Tu n'as pas honte de coucher avec l'ennemi ???



Vw campersurfvan bmnk1q - Eugenol
enlaye

07/10/2017 à 23h09

Aspius écrivait:
------

"Le seul réel intérêt de l'amalgame en 2017 par apport au compo c'est ....."

Non le seul interet c etait le point de contact . Comme je ne sais les faire aussi bien avec les compos , je prefere faire un inlay .


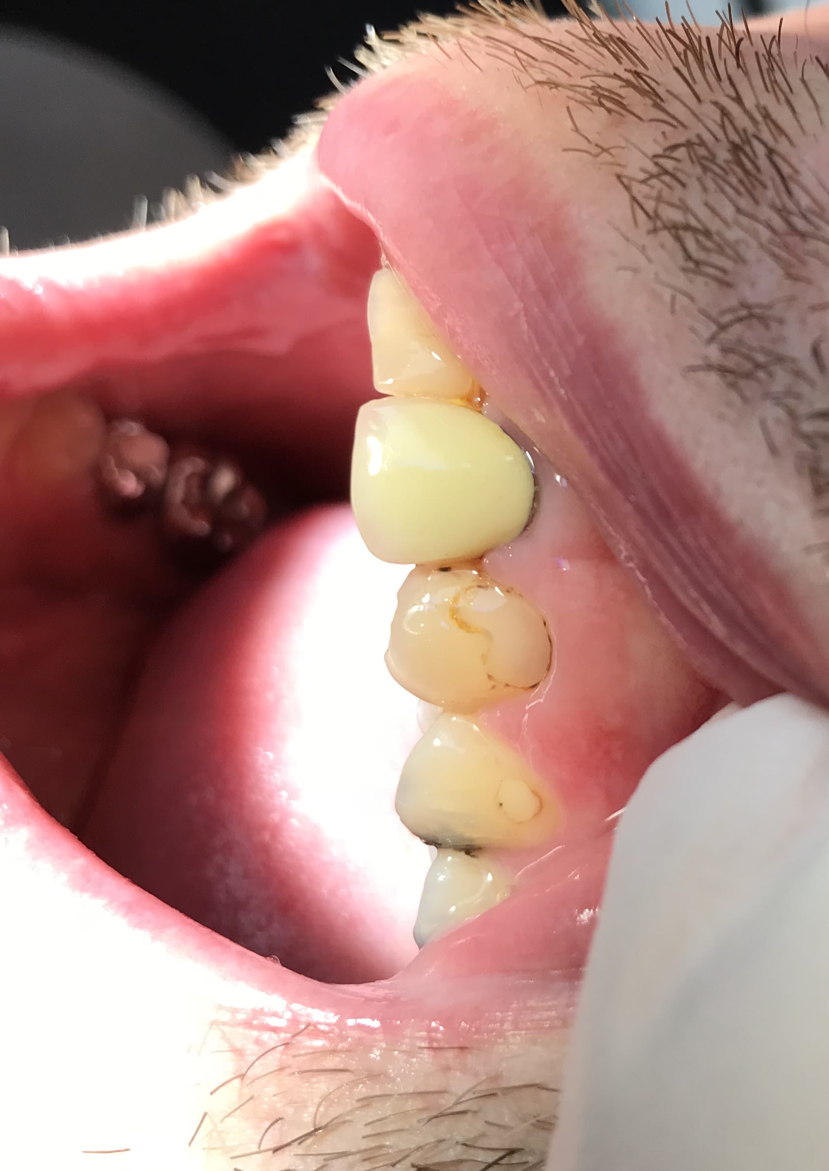
Utilisateur banni

08/10/2017 à 09h13

Tiens ici y a une petite chinoise qui a été posée. Bon courage pour savoir laquelle c'est ^^

Enlaye, j'ai mes 6 du maxillaire qui sont comme sur ce patient , la cuspide D est plus basse que la M , bref légèrement mesio -versée, c'est grave docteur ou faut tout arracher ?

Img 0433 ctzm8c - Eugenol

Vw campersurfvan bmnk1q - Eugenol
enlaye

08/10/2017 à 09h33

tant que tes pointes canines ne sont pas usees genre coup de lime horizontale , non .


tictac

08/10/2017 à 14h42

C'est qui ton labo d'import junior? Proti? En mp si tu preferes
Merci


Utilisateur banni

23/11/2017 à 09h16

Ça vieillit toujours aussi bien les composites.

131a1fd8 dccc 4057 a3f8 6e1ca79ff413 t1km2e - Eugenol

1...567...