Cookie Consent byPrivacyPolicies.comVive le composite  - Eugenol
6szjws718sv1jksw54v4mpj3a6cu - Eugenol
vulpi

04/12/2017 à 20h15

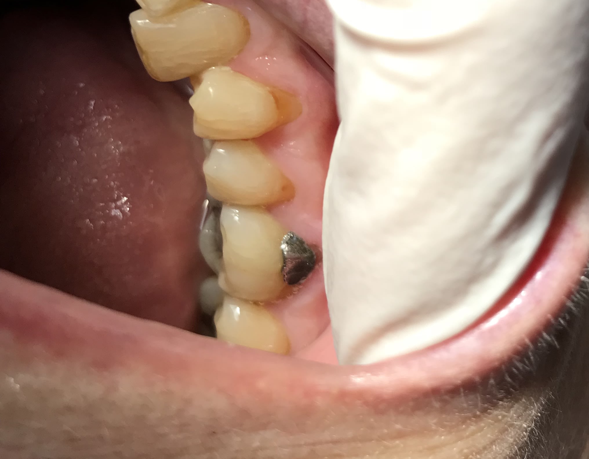
Le truc qui te met bien à l'heure. Et encore! j'ai pensé à faire la photo après avoir recollé le fragment de la 11. Pour la 21, fragment perdu, compo à main levée. Récréation... 8 ans, des apex ouverts et des cornes pulpaires pas loin des fractures... à suivre.

Dscf3055 2 udfeod - Eugenol

PtnbZ

04/12/2017 à 23h09

Je peux te dire Junior, que le composite pour certain dentiste c’est Une mine d’or : compo, fait plus rapidement qu’un amalgame, et endo-IC-CCm dans les 3 ans à prévoir :))
Pour moi aussi c’est une mine d’or, je me conserve des dents vivantes avec Ca, je colle partout : un vrai plaisir :))


6szjws718sv1jksw54v4mpj3a6cu - Eugenol
vulpi

12/12/2017 à 19h37

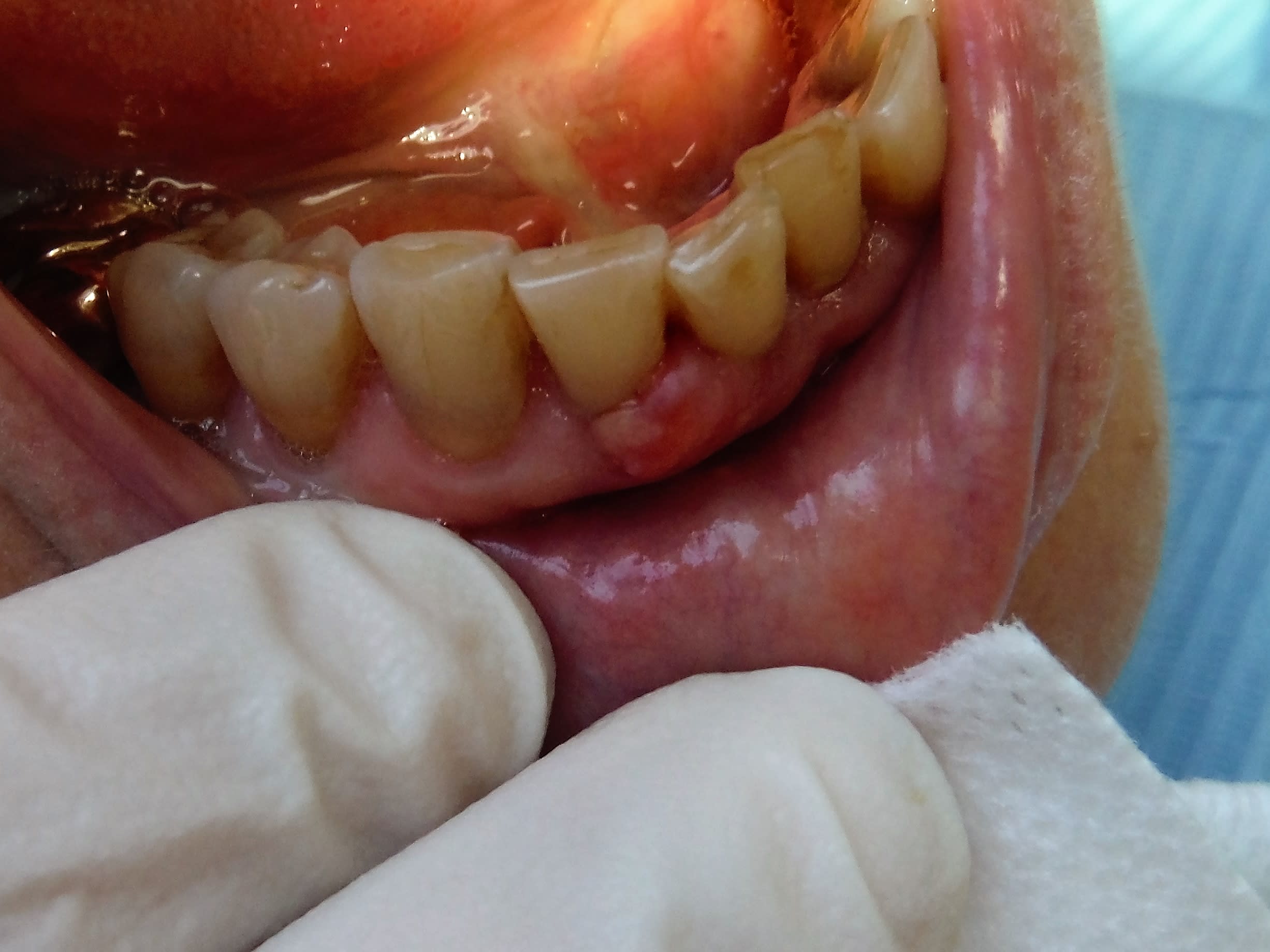
Loi des séries, je propose la fermeture de l'école d'à coté.
Là pas de compo envisageable.

Dure semaine pour le Junior, la mort de Johnny et il découvre que je ne suis pas chauve!-))) La déception!...




Dscf3064 ctkotu - Eugenol
Dscf3068 g1jgh7 - Eugenol

Nouveau image bitmap fz77zh - Eugenol
Sethef

12/12/2017 à 22h29

vulpi écrivait:
-----
> Loi des séries, je propose la fermeture de l'école d'à coté.
> Là pas de compo envisageable.

T'as côté DC8?


Orezza gazeuse verre litre ocoxey - Eugenol
casa

12/12/2017 à 22h38

En l’occurrence c'est plutôt DC D ; ci gît la 11 .


6szjws718sv1jksw54v4mpj3a6cu - Eugenol
vulpi

13/12/2017 à 09h32

J'ai rien coté pour l'instant, oui exo 51, j'ai fait gel, une goutte d'al et tiré sur la quenotte... c'est une exo (c'est une lactéale, ouf...) , 52 très tangente et peut-être un volet osseux alvéolaire, je le reverrai mardi pour voir l'évolution, où avant si...
La nature est bonne fille.


6szjws718sv1jksw54v4mpj3a6cu - Eugenol
vulpi

13/12/2017 à 09h34

junior® écrivait:
-------
> Je suis déçu il me parlait tellement de son livre favori que j’en mettais ma
> main à couper ....
> Ça plus Johnny. Tout ça dans la même semaine. Y a jamais des profs ici qui
> interviennent en fait . C’est pas marrant j’étais tout content d’avoir critiqué
> le polyether et d’avoir balancé des horreurs. Quelle déception ! Dire que la RC
> c’était de la merde ça m’avait tellement fait plaisir en plus :))

Tu confonds PU et MC.


Orezza gazeuse verre litre ocoxey - Eugenol
casa

13/12/2017 à 09h42

ahhh 51 , j'ai vite regardé .... tant mieux , sans 51 on peut vivre !


Vw campersurfvan bmnk1q - Eugenol
enlaye

13/12/2017 à 09h45

Ben oui il reste le Ricard .


6szjws718sv1jksw54v4mpj3a6cu - Eugenol
vulpi

13/12/2017 à 09h46

5 ans, première rencontre avec un dentiste....


Generique fraisage r2rxmm - Eugenol
lardonbis

13/12/2017 à 11h40

vulpi écrivait:
-----
> 5 ans, première rencontre avec un dentiste....

T 'as du la faire marrer un peu, je suis sur quelle va revenir avec plaisir pour la 61 dans 2 mois


6szjws718sv1jksw54v4mpj3a6cu - Eugenol
vulpi

16/12/2017 à 12h57

Là c'est autre chose... carcinome épidermoïde. Il n'y a pas que les dents en bouche.

Dscf3047 2 svm4lk - Eugenol
Dscf3048 2 xv1sed - Eugenol

6szjws718sv1jksw54v4mpj3a6cu - Eugenol
vulpi

18/12/2017 à 15h36

Suis pas certain et échaudé, biopsie.
Paro ras, os ras dents ras. Douloureux, "dur" et peu hémorragique, non sessile, pas trop mobile.

Dscf3073 2 iixu45 - Eugenol
Dscf3075 blndsy - Eugenol

Utilisateur banni

13/01/2018 à 08h43

Tiens j’ai un patient qui a été soigné à l’institut Eastman à Paris quand il était jeune (bâtiment en briques rouges) , je connais pas je ne suis pas parisien. Il a ses amalgames qui datent de cette époque : ça fait 54 ans que c’est en bouche. Et Pas de reprises de carie .
Vous m’appellerez quand vous trouverez des composites qui sont toujours en place 54 ans après la pose et sans reprises de carie


Dolan donald duck weird wqjham bw43ju - Eugenol
GéPé

13/01/2018 à 11h10

La lourdeur du type


Utilisateur banni

13/01/2018 à 12h17

Détends toi prends une petite tisane je te sens sous tension ;)
Après Faut assumer de mettre du compo à chaque fois . Chacun fait comme il veut


Avatar transparent iqadnc - Eugenol
adhoc

13/01/2018 à 12h35

Il est vrai que l'amalgame tient tres longtemps, junior, j'en ai qui ont 50 ans en effet!!!
Mais l'époque fait que ce n'est plus possible: lobbies, reseaux sociaux. Si un praticien en met actuellement et qu'un syndrome neuro se declare dans 20 ans, meme sans aucun rapport, ca sera proces...
Donc avec tact et mesure.
Par contre entre le mercure ou le métacrylate de méthyle, chicot29, hein, dis, hein. Mais pas encore de lobbies, on peut y aller!!!!


Orezza gazeuse verre litre ocoxey - Eugenol
casa

13/01/2018 à 13h59

Ah ben je vais pouvoir faire des procès donc parce j'en ai plein moi qui ont minimum 25 ans .... ! C'est pour ça que je déc... à plein tube ! ils sont où les coupables ? Y'a écrit quelque part que c'est interdit ?


Orezza gazeuse verre litre ocoxey - Eugenol
casa

13/01/2018 à 18h48

j'en sais plus rien ... y'a tellement longtemps ! j'ai des amalgames , même des mod sur les 6 du bas .... mais rien ne bouge ! et depuis même 30 ou 40 ans . ça c'est du costaud ! et personne n'y touche hein !


Orezza gazeuse verre litre ocoxey - Eugenol
casa

13/01/2018 à 18h50

Je ne sais pas si elles sont christiques mais elles ont été soignées par un dieu .. enfin je pense !


Utilisateur banni

30/01/2018 à 09h19

Jaune foncé avec un petit liseré ou gris ?
L’amalgame ici a plus 30 ans. En V comme ça, on en voit rarement.
Le composite ici a 8 ans
Heureusement que les composites nous ont permis de ne plus avoir ce gris en bouche, un jaune foncé c’est bien plus joli :) . Sur une dent A2 -A1 ça rend bien. Ça a l’air de vraiment bien vieillir le composite. Remarquez quand on le retire on ne tape pas dans la dentine puisque la teinte est bien différente de celle de la dentine ... comme un amalgame finalement.

3dcb291d a140 482d 9509 4b44aeff7d81 lsxs5d - Eugenol
90b72b90 481e 44e7 8da8 e1b0734539ca oemsq6 - Eugenol

Generique fraisage r2rxmm - Eugenol
lardonbis

30/01/2018 à 09h30

à propos de compo encore merci a seepan pour son astuce luxmetre+lampe discount "jetable". Incroyable la chute de luminosité, même des marques prémium.


Nouveau image bitmap fz77zh - Eugenol
Sethef

30/01/2018 à 09h32

Bon, à décharge, les machins que tu nous postes ont été collés à la zob.

Je revois de temps en temps des patients de ma première collab, 2009, une époque où ça m'éclatait encore de sculpter des cuspides entières en compo, il n'y a toujours pas de colorations du joint. Et encore, j'étais moins pointu en collage à l'époque, l'économie tissulaire je ne connaissais pas, etc...

Même si j'en fais de moins en moins, principalement pour des raisons économiques, le compo bien fait ça fonctionne très bien.


Utilisateur banni

25/06/2018 à 05h27

Sinon est-ce que tout le monde est au courant que le plastique contribue à la « féminisation du monde » ?
-> baisse de 50% du nombre de spermatozoides en 50 ans
-> malformation de l’appareil génital
-> touche toutes les espèces et en particulier l’homme
-> ils ont même découvert des ovocytes dans les testicules des poissons mâles de la Seine

Il serait bien surprenant que les morceaux en plastoc jaunes qu’on met en bouche n’aient aucune conséquence sur ce phénomène de « « féminisation ». Vous pensez bien que jour après jour la mastication use les composites et libère en quantité infime année après année les substances chimiques présentes.

« Oh bah vouiii alors le compo c’est achement mieux que les plombages! » . Je vous mets l’exemple Du bisphenol mais vous pensez bien que ça n’est pas le seul ....

http://news.bbc.co.uk/2/hi/health/8361863.stm

22592d99 9247 4ad7 8ae5 d1b2c1ddbdf2 uondd4 - Eugenol

Avatar transparent iqadnc - Eugenol
adhoc

25/06/2018 à 09h26

-> baisse de 50% du nombre de spermatozoides en 50 ans
-> malformation de l’appareil génital
-> touche toutes les espèces et en particulier l’homme

7MM d'etres humains, vive le compo!!!!!


1...78910