Cookie Consent byPrivacyPolicies.comHistoire de l'implantologie en images 😊 - Eugenol

Histoire de l'implantologie en images 😊

Utilisateur banni

04/07/2017 Ă  09h53

Au programme :
- implant de juillet
- ou Implant disk
- Implant linkow
- implant aiguille
- Implant de Dahl ou équivalent
- implant impacté
- Implant tuberositaire
- Expulsion implantaire

De la pano la moins marrante Ă  la plus marrante :

Xprjywcen2z84ne98zyo - Eugenol
C3gyuuhthj3wxjix4ig7 - Eugenol
Ynafx5uyww7tpwtip2jo - Eugenol
W7qkcosacyuzuppk548d - Eugenol
Img 1214 sixdrs - Eugenol

Generique fraisage r2rxmm - Eugenol
lardonbis

04/07/2017 Ă  09h55

je vois pas les implants aiguilles...
Remboursez Mr junior !!!


Utilisateur banni

04/07/2017 Ă  10h00

je viens de les rajouter


Generique fraisage r2rxmm - Eugenol
lardonbis

04/07/2017 Ă  10h13

sympa !
les seuls que j'ai vu n'étaient pas aussi bien rangés.


lachmar

04/07/2017 Ă  10h18


merci junior pour ces belles images

saurais tu par hasard qui est l'auteur de ce comblement de sinus armé au titane ?

encore qu'un disk et un structure ... on se doute )

`pour info )


Utilisateur banni

04/07/2017 Ă  10h31

Sans doute un pionnier 😊. Au dĂ©but je pense qu'ils ont un peu prĂšs tout essayĂ©. La plus marrante a Ă©tĂ© publiĂ©e dans la revue Titane (celle dont tu parles)

- implants spirales ou Implant chercheve
- implant endodontique
- Implant vis creux avec events
- Et je suis tombé aussi sur un Frialit sans spires. Un frialit impacté donc ?!

Img 1216 ysdeow - Eugenol
Image v6janw - Eugenol
Image mccnfc - Eugenol
Image w6vfua - Eugenol

lachmar

04/07/2017 Ă  10h42



les mecs étaient couillus à l'époque

j'ai eu une patient de Juillet qui avait des implants lames à gauche et a droite à la mandiule qui ont tenu 25 ans et qui était ravie du resultat malgré la dépose, juillet lui avait bien expliqué les risques et elle avait donné un consentement eclairé en toute connaissance de cause

au final elle est contente d'avoir gagné 25 ans sur la PAP


marrant que tu parles de chercheve : j'ai adoré le bonhomme et ses petites phrases ; en particulier celle-là (on était au début de brannemark) ... " si ca doit marcher , ca marche l'implantologie ; si ca doit marcher on peut implanter un couvercle de boite de sardines et ca tiendra "


Utilisateur banni

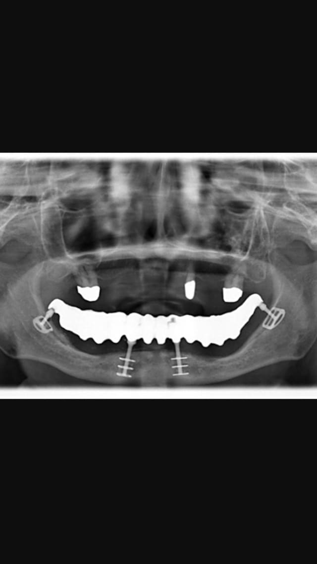
04/07/2017 Ă  10h56

Regarde moi ça 4 Implants et on va jusqu'aux 7 voir jusqu'aux 8 sans problùme 😊

Img 1219 gvmsjs - Eugenol

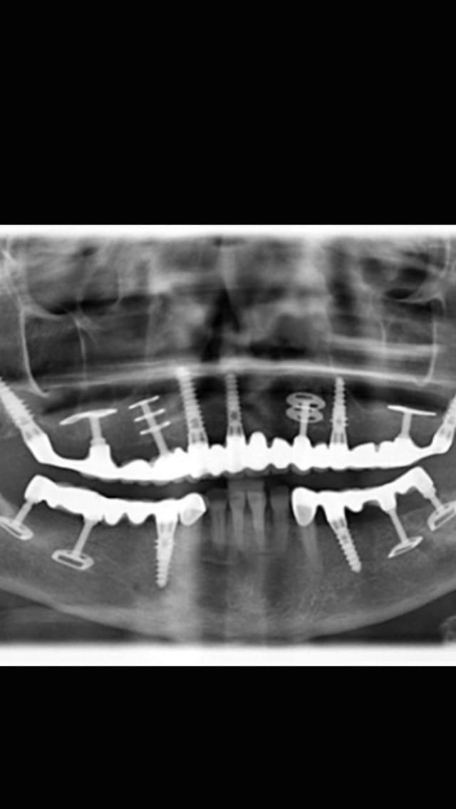
Utilisateur banni

04/07/2017 Ă  11h18

Fallait avoir un certain niveau pour placer ce genre d'implants et avoir peur de rien

Img 1223 cteepu - Eugenol

lachmar

04/07/2017 Ă  11h20



faut s'appeler scortecci ou shoffler ))))

je susi emeerveillé par ce qu'ils sont arrivés a faire sans l'aide des scan etc


Utilisateur banni

04/07/2017 Ă  11h42

c'est sĂ»r qu'avec mes petits summers Ă  deux balles je fais pĂąle figuration . Prochaine Ă©tape peut ĂȘtre l'annĂ©e prochaine sinus lift.
Rien Ă  voir avec le sujet , mais Tiens regarde voir ce que je me suis achetĂ© des buttĂ©es pour faire des Summers. Je me suis rendu compte que souvent on y voyait que dalle, on voit pas trĂšs bien les marques (comme les marques des forĂȘts on y voit que dalle). Si bien que quand on a pas beaucoup d'os en hauteur , c'est facile de faire des conneries. Avec les buttĂ©es C'est mieux

Img 1224 w58ekb - Eugenol

alex33

04/07/2017 Ă  12h00

juniorŸ écrivait:
-----------------
> c'est sûr qu'avec mes petits summers à deux balles je fais pùle figuration .
> Prochaine Ă©tape peut ĂȘtre l'annĂ©e prochaine sinus lift.
> Rien à voir avec le sujet , mais Tiens regarde voir ce que je me suis acheté des
> buttées pour faire des Summers. Je me suis rendu compte que souvent on y voyait
> que dalle, on voit pas trĂšs bien les marques (comme les marques des forĂȘts on y
> voit que dalle). Si bien que quand on a pas beaucoup d'os en hauteur , c'est
> facile de faire des conneries. Avec les buttées C'est mieux

Dans le meme genre je me suis commandé les versah burs. Le systÚme à l'air vraiment bien, pas donné par contre... cela permettrait à priori d'éviter les sinus lift meme avec des hauteurs tres réduites


tity

04/07/2017 Ă  12h09

lachmar écrivait:
-----------------
>
>
> les mecs étaient couillus à l'époque
>


Moi je trouve que les plus couillus dans l'histoire c'étaient les patients :)


Utilisateur banni

04/07/2017 Ă  12h17

on est plus à mille balles prÚs surtout si ça évite de faire des sinus lift ^^
Ça marche mĂȘme quand t'as 2 mm d'os ou une fine lamelle d'os?
Tu peux mettre Le lien Alex ? Car je ne trouve pas . Enfin si j'ai trouvĂ© ! C'est des forĂȘts .... mais quand t'as 2mm d'os !?! Comment tu fais ?


Photo pluton1b h9n4ea - Eugenol
pluton

04/07/2017 Ă  13h06

les implants vis et creux, c'est des core vent zimmer...;-)

http://osseosource.com/dental-implants/product_info.php?manufacturers_id=27&products_id=1365

et oui les frialit ont existé en version impactée

http://osseosource.com/dental-implants/product_info.php?products_id=1961


alex33

04/07/2017 Ă  13h20

https://versah.com/

Le principe, c'est d'utiliser leurs forets qui ont des lames inversées, et en sens reverse. CAD qu'elles poussent ton os de forage latéralement et apicalement. Avec ces fraises tu peux ainsi obtenir une osséodensification, une expansion, et également un sinus lift aussi.

https://versah.com/wp-content/uploads/2015/01/Maxillary_Sinus_Autograft.pdf
Ils parlent de 7 mm ici, mais en pratique ça marche à priori avec des 2 à 3 mm résiduels.

https://versah.com/clinical/


Utilisateur banni

04/07/2017 Ă  15h18

Si tu veux mon avis ça ne doit pas marcher quand on a juste 2 mm de hauteur d'os


Utilisateur banni

04/07/2017 Ă  17h41

et Le clou du spectacle :
- Implants coquillages tolérés par l'os sous l'Úre Maya
- bridge en or sous l'époque des pharaons
- bridge avec ligature en or sous l'époque romaine

Img 1225 i4acsx - Eugenol
Img 1226 mr46xr - Eugenol
Img 1227 hbzusd - Eugenol

Generique fraisage r2rxmm - Eugenol
lardonbis

04/07/2017 Ă  17h52

juniorŸ écrivait:
-----------------

> - Implants coquillages tolérés par l'os sous l'Úre Maya


pas mal celui lĂ !

remarque un mec de 20 ans en bonne santé je suis sur que tu peux lui implanter une capsule de biÚre sans soucis :)


S2y2o1v7q53ws4r5wy6ou8czrpom - Eugenol
pxav

04/07/2017 Ă  18h00




--
xbk
"Si tous ceux qui croient avoir raison n'avaient pas tort, la vérité ne serait pas loin" Dac Pierre

Vin134 tcsoew - Eugenol
Vin102 acm4wg - Eugenol

S2y2o1v7q53ws4r5wy6ou8czrpom - Eugenol
pxav

04/07/2017 Ă  18h02


tout ça posé avant 90....

--
xbk
"Si tous ceux qui croient avoir raison n'avaient pas tort, la vérité ne serait pas loin" Dac Pierre

Vin112 apt9je - Eugenol

S2y2o1v7q53ws4r5wy6ou8czrpom - Eugenol
pxav

04/07/2017 Ă  18h11


28 ans pus tard

--
xbk
"Si tous ceux qui croient avoir raison n'avaient pas tort, la vérité ne serait pas loin" Dac Pierre

Lagda 23.05 - Eugenol

Utilisateur banni

04/07/2017 Ă  18h15

les Tatum c'est toi qui les avais posés ? Je me suis toujours posé la question comment on peut planter un Tatum ? Autant les Implants disk c'était inséré en latéral mais les Tatum ?!????? Si c'est mis par abord latéral on dégomme trop d'os !? Non ?


Generique fraisage r2rxmm - Eugenol
lardonbis

04/07/2017 Ă  18h20

Tatum.... ce génie.
D’ailleurs on devrais dire un Tatum plutît qu'un Summer non ?


pxav écrivait:
--------------
>
> 28 ans pus tard
>

ça me fait penser à ça :)

Virevoltant tumbleweed 2 lwkvx7 - Eugenol

S2y2o1v7q53ws4r5wy6ou8czrpom - Eugenol
pxav

04/07/2017 Ă  21h14

lardonbis écrivait:
-------------------
> Tatum.... ce génie.
> D’ailleurs on devrais dire un Tatum plutît qu'un Summer non ?
>
>
Oui mais Tatum ne publiait pas....

Pour junior les Tatum se pose en expansion, voie crestale pas latĂ©rale....gĂ©nial, je n'en pose plus pour des raisons de piliers prothĂ©tiques, sinon 4 D4 et tu peux faire un bridge complet qui sera lĂ  dans 20 ou 25 ans😊


--
xbk
"Si tous ceux qui croient avoir raison n'avaient pas tort, la vérité ne serait pas loin" Dac Pierre


12...