Tous les forums
Histoire de l'implantologie en images 😊
11/07/2017 à 07h26
ce qu'il a apporté à l'implantologie moderne?
environ 35 Brevets!!!
mais un principalement: la connexion interne...
faut dire que le bonhomme est un génie de la mécanique...c'est pas pour rien qu'il a aussi des billes dans l'aéronautique et l'aérospatiale...
11/07/2017 à 08h10
Un génie de la mécanique et un génie des affaires 😊. Et inventeur de la connexion hexagonale interne , l'une des rares connexions où on est quasi sûr sans faire de radio que Le pilier est bien emboîté à fond dans l'implant. C'est pas pour rien que cette connexion est encore utilisée par Zimmer. Connexion hyper pratique. Et Le mec a été assez filou pour vendre sa société à Zimmer et pour recréer derrière une autre société qui fait des Implants identiques (voir mieux )
- Photo du premier implant inventé
- Photo de l'ensemble des inventions
11/07/2017 à 08h42
Années 80 Lederman financé par Strauman invente le plasma spray titanium
11/07/2017 à 08h55
74 : kirsch invente l'IMZ avec une surface d'hydroxyapatite balancée par plasma spray
-------> problème d'osteointegration (idem pour les steri oss)
11/07/2017 à 09h52
non, pas vraiment un problème d'ostéointégration...car l'hydroxyapatite était parfaitement ostéointégrée...;-)
en fait c'était un problème de liaison entre le titane et la couche d'HA...les implants ressortaient "nu"...
tu as oublié aussi que Niznick est à l'origine de l'octogone Straumann...connexion là aussi toujours utilisée...
11/07/2017 à 10h07
Est-ce que je me trompe en affirmant que la surface HA a encore son petit succès aux USA ?
11/07/2017 à 10h16
Olieve écrivait:
----------------
> Est-ce que je me trompe en affirmant que la surface HA a encore son petit succès
> aux USA ?
Il me semble que le procédé est toujours utilisé en orthopédie par des fabricants qui maîtrise le processus de liaison.
11/07/2017 à 10h50
Olieve écrivait:
----------------
> Est-ce que je me trompe en affirmant que la surface HA a encore son petit succès
> aux USA ?
non, tu ne te trompes pas...c'est pour çà que Niznick avait une version HA pour tous les implants...
avec l'état de surface HA, on est sensé avoir une ostéointégration plus rapide...maintenant, à part peut être pour une MCI ou une EII est-ce nécessaire de payer plus cher pour 3/4 semaines d'écart de temps d'ostéointégration?
11/07/2017 à 10h54
Mais pour un pays aussi procédurier que les USA sur le plan médico-légal, c'est qu'il ne doit pas y avoir tant de problèmes avec l'HA, non?
11/07/2017 à 12h05
Vu en 1997, ça avait environ 15 ans...
Le problème ne venait pas de "l'implant" :-)
11/07/2017 à 13h00
Olieve écrivait:
----------------
> Mais pour un pays aussi procédurier que les USA sur le plan médico-légal, c'est
> qu'il ne doit pas y avoir tant de problèmes avec l'HA, non?
il n'y en a plus de problèmes avec l'HA...maintenant que les process de coating sont maîtrisés...mais çà n'était pas le cas au début...
11/07/2017 à 15h25
junior® écrivait:
-----------------
> 74 : kirsch invente l'IMZ avec une surface d'hydroxyapatite balancée par plasma
> spray
> -------> problème d'osteointegration (idem pour les steri oss)
c'est pas karl misch plutôt ?
mais c'est pas tres important
11/07/2017 à 16h06
lachmar écrivait:
-----------------
> junior® écrivait:
> -----------------
> > 74 : kirsch invente l'IMZ avec une surface d'hydroxyapatite balancée par
> plasma
> > spray
> > -------> problème d'osteointegration (idem pour les steri oss)
>
> c'est pas karl misch plutôt ?
>
> mais c'est pas tres important
Carl Misch est Le fondateur de biohorizon . Ça serait Le créateur des IMZ aussi? ?
C'est à dire qu'il y en a qui pensent plutôt En Été à se servir du Kirsch et y en a qui pensent plutôt aux miches à ce que je vois 😊 À vrai dire t'as peut être raison? Je ne sais pas
11/07/2017 à 16h27
C'est vrai qu'après Branemark les Implants ont tous plus ou moins un profil de grosse vis ....
À part quelques exceptions comme par exemple l'endopore Sybron des années 90 ou bien avant les Implants impactés : cylinder line Camlog, frialit dentsply, sustain Keystone, steri oss Nobel, 3M Espe, IMZ Implant direct, Hollow cylinder Straumann, Bio vent Zimmer ou calcitek de Zimmer
Par exemple :
Photos endopore Et radio d'un calcitek
13/07/2017 à 19h53
Et pour finir les Implants originaux :
- Le profile d'Astra : j'ai jamais compris l'intérêt puisque chaque crete est différente et donc sa courbure aussi donc on ne peut utiliser cet Implant que sur une crete qui correspond parfaitement à la courbure de l'implant
- les ID avec leur pilier définitif modifiable livré avec
- les Keystone et legacy P usinés en haut : là aussi si on regarde les études on note qu'au bout d'un certain temps Le depot sera le même usiné ou rugueux. Il suffit de regarder les vis de cicatrisation usinée : on note qu'il y a quand même un dépôt. L'intérêt peut être est de faciliter le nettoyage.
- l'endopore : je vois pas l'intérêt de cet Implant surtout si on veut faire de l'extraction implantation immédiate c'est pas possible
- Le Leone avec sa connexion bien spécifique
- l'anyridge : avec ses spires adaptatives. Faut être sûr de son coup et estimer la densité et choisir l'implant qui y correspond. Mais y a de l'idée 😊
14/07/2017 à 16h17
junior® écrivait:
-----------------
> Et pour finir les Implants originaux :
> - Le profile d'Astra : j'ai jamais compris l'intérêt puisque chaque crete est
> différente et donc sa courbure aussi donc on ne peut utiliser cet Implant que
> sur une crete qui correspond parfaitement à la courbure de l'implant.
Sans oublier le Nobel Perfect qui partageait le même concept mais qui n'a pas fait long feu au catalogue...
14/07/2017 à 19h16
hey ben celui-ci je ne l'avais jamais vu. Merci Du partage.
Tu m'étonnes qu'il n'ait pas fait long feu ^^. Très marrant
J'ai oublié Le système HRS Saddle Implant : vraiment pas idiot comme système, non ?
15/07/2017 à 02h33
junior® écrivait:
-----------------
> Et pour finir les Implants originaux :
> - les ID avec leur pilier définitif modifiable livré avec
Ça marche super bien. avec une zircone collée dessus par le labo
> - l'endopore : je vois pas l'intérêt de cet Implant surtout si on veut faire de
> l'extraction implantation immédiate c'est pas possible
Le vrai problème était les péri-implantite, retirer du marché
> - Le Leone avec sa connexion bien spécifique
Comme plusieurs implants (Ankylos, Anthogyr. etc)
> - l'anyridge : avec ses spires adaptatives. Faut être sûr de son coup et estimer
> la densité et choisir l'implant qui y correspond. Mais y a de l'idée 😊
Marche bien cet implant, non ?
Tu connais le Co-axis ? Sympa aussi
http://southernimplants.com/solutions/innovative-products/co-axis-implants/
--
Céramik
15/07/2017 à 06h57
oui je connaissais j'ai oublié de Le mettre aussi dans les Implants insolites 😊
Sinon non pour le Leone y a une histoire de cône morse que t'as pas sur de l'ankylos ni sur l'anthogyr (à part leur 2,8 mm)
17/07/2017 à 13h17
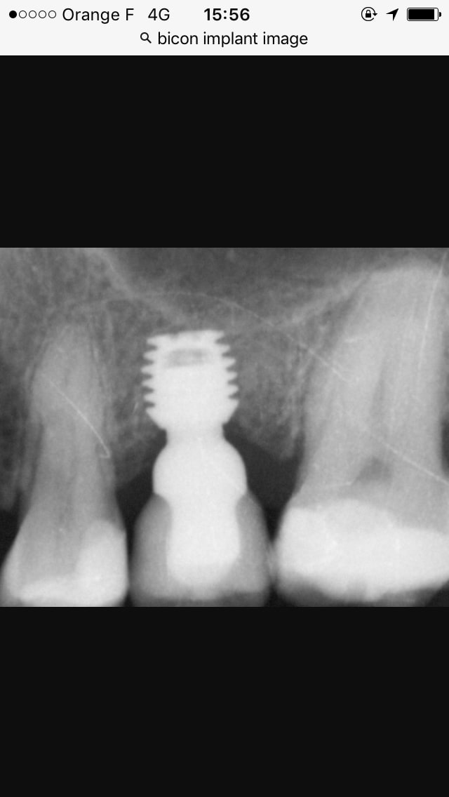
Junior, tu as oublié le Bicon il me semble?
Il est assez original et rencontre son petit succés aux USA
http://www.bicon.com/product_info/pi_new.html
17/07/2017 à 16h01
le bicon il n'a pas de vis sur les radios on dirait. C'est un cône morse semble t il.
C'est mieux que Le Leone ?
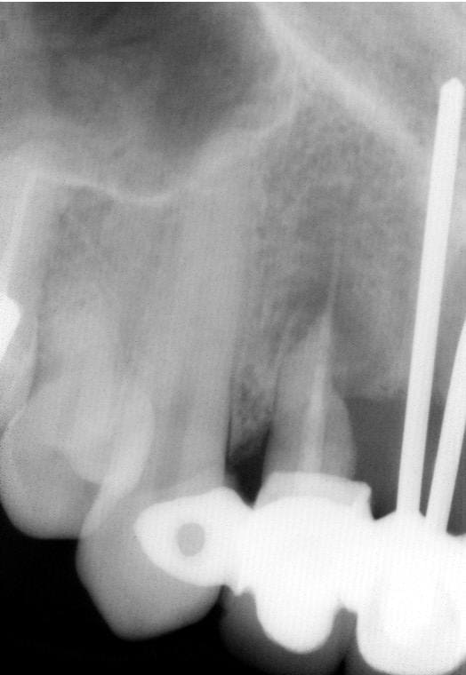
Y a les ricains qui foutent du 5 mm au maxillaire... peur de rien les ricains :
17/07/2017 à 16h28
Bicon n'a pas un profil au niveau des spires qui soit comarables aux implants classiques.
Ses spires sont larges et assez espacees pour constituer des plateaux qui s'opposent aux forces verticales
17/07/2017 à 16h28
Bicon n'a pas un profil au niveau des spires qui soit comparable aux implants classiques.
Ses spires sont larges et assez espacees pour constituer des plateaux qui s'opposent aux forces verticales
17/07/2017 à 16h38
junior® écrivait:
-----------------
> le bicon il n'a pas de vis sur les radios on dirait. C'est un cône morse semble
> t il.
> C'est mieux que Le Leone ?
>
> Y a les ricains qui foutent du 5 mm au maxillaire... peur de rien les ricains :
Sur les forums US le bicon a une grosse côte. Je me demande si il n'est pas impacté