Cookie Consent byPrivacyPolicies.comsystème endo - Eugenol
Avatar transparent iqadnc - Eugenol
adhoc

19/07/2017 à 09h47

>>et puis on a arreté l'H2O2 ... je n'ai toujours pas compris pourquoi et on a préconisé l'EDTA avec lequel on obtient un bouillonement minable<<


A "notre" époque d'enseignement, lachmar, l'edta etait préconise au début de la mise en forme canalaire, puis naocl la majorité du temps, puis a l'extreme fin l'h2o2 pour le bouillonnement et la neutralisation du ph.
C'etait comme un "coup" d'ionophorese avec migration des ions oh- et cl- vers le bas de la dent et remontée des débris par l'ouverture du canal.
L'h2o2 ne se substituait donc pas a l'edta, mais était le complément final
En effet, bizarrement, on a arrête de préconiser h2o2. L'histoire des tenons, pourquoi? reaction éléctrolytique?


Sinon, bill, "profile" de dentsply.


6szjws718sv1jksw54v4mpj3a6cu - Eugenol
vulpi

19/07/2017 à 09h59

adhoc écrivait:
---------------
> >>et puis on a arreté l'H2O2 ... je n'ai toujours pas compris pourquoi et on a
L'histoire des tenons,
> pourquoi? reaction éléctrolytique?
>
Colle à base de composites et action inhibitrice de O2

Pour l'hypochlorite on obtient une dissolution des débris organiques il faut donc maintenir une concentration élevé de l'hypo et pour cela la renouveler fréquemment en plus des 20min préconisées.

On en aura mis des produits dans les racines :-))


Avatar transparent iqadnc - Eugenol
adhoc

19/07/2017 à 10h06

Milieu tres aérobie pas bon pour le collage, argument valable, vulpi.

La destruction en continu de la smart layer par le javel n'exclut pas par contre l'h2o2 en extreme fin de traitement. Sauf peut etre si tu veux un effet retard du bombardement des ions cl- vers l'apex, dans ce cas, oui, on peut exclure l'h2o2

Mais bof, hein, bof, pas convaincu , pas d'etude, la recherche actuelle par les "savants" qui ont concu la ccam et qu'on retrouve a la has, qui attendent le signe d'appel pour une panoramique, ca me fait un peu peur, je doute:-))




6szjws718sv1jksw54v4mpj3a6cu - Eugenol
vulpi

19/07/2017 à 10h08

adhoc écrivait:
---------------

> "savants" qui ont concu la ccam et qu'on retrouve a la has, qui attendent le
> suigne d'appel pour une panormaique, ca me fait un peu peur, je doute:-))
>
>
>

Tu doutes? Ils ont validé le complet à 1200€ (je suis en région parisienne)... :-)))


Bebert.

19/07/2017 à 10h13

Je pense que l'irrigation est l'étape clé: perso, j'alterne Salvizol (à base d'EDTA) / Hypo avec un coup d'ultrason entre chaque instrument et je finis par un rinçage prolongé hypo avec des limes à ultrason Satelec ou EMS.
C'est le seul moyen qui permette d'obtenir des pufs comme les pros ;))
L'H2O2, en plus d'être mutagène, cristallise l'hypo dans les canaux et empêche une bonne obturation.

Sinon, j'en suis resté au protaper par flemme et coût de revient même si le reciproc me tente aux vues de ce que Chicot poste...
Pour éviter la casse: 10-12 canaux maxi et à jeter systématiquement si canal difficile: bilan = 3 casses en plus de 20 ans et toujours pour avoir forcé dans un canal difficile.
Et obturation Mc Spadden ou System B si j'ai un gros canal droit et que je suis sûr de la constriction apicale.

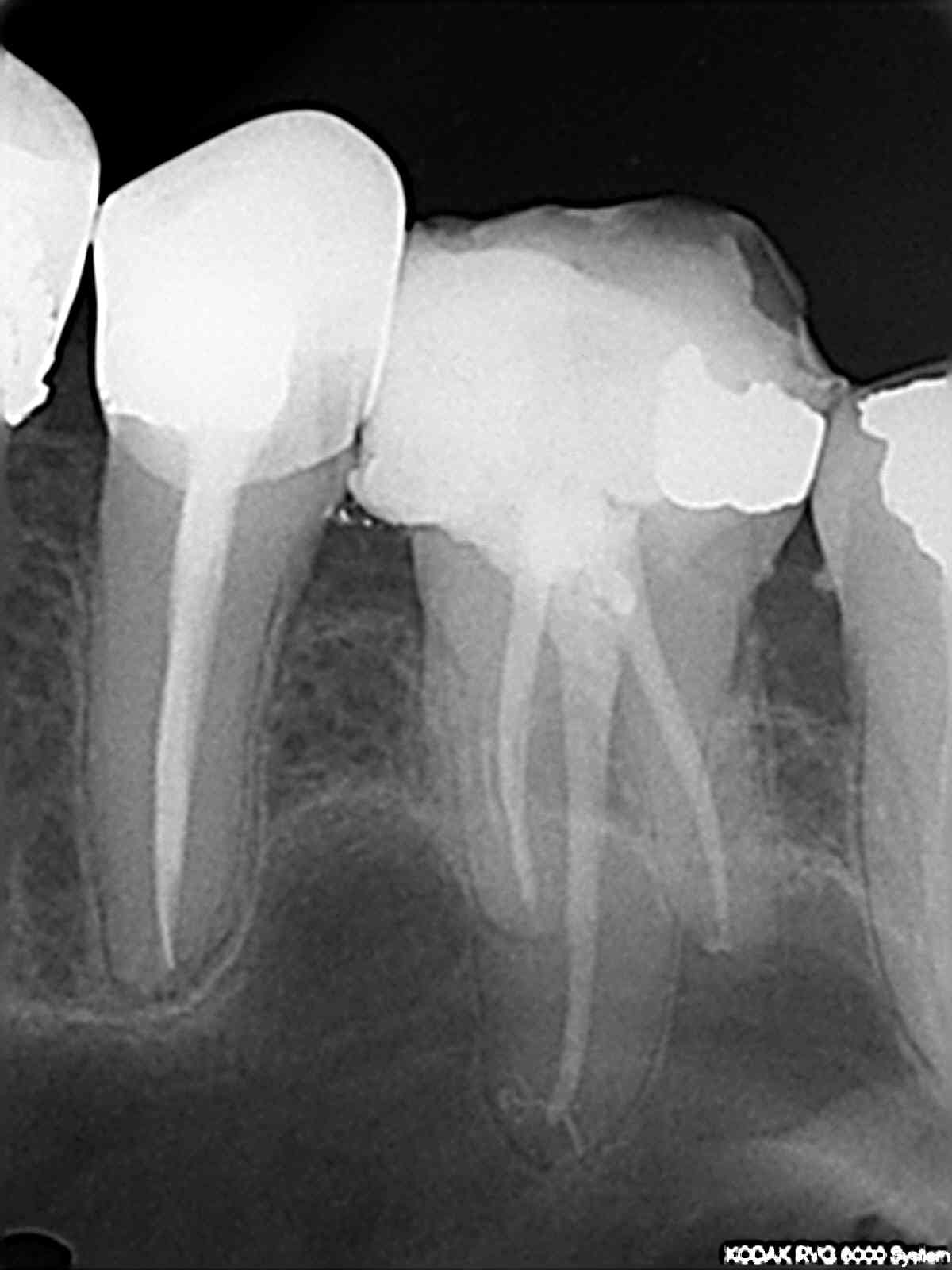
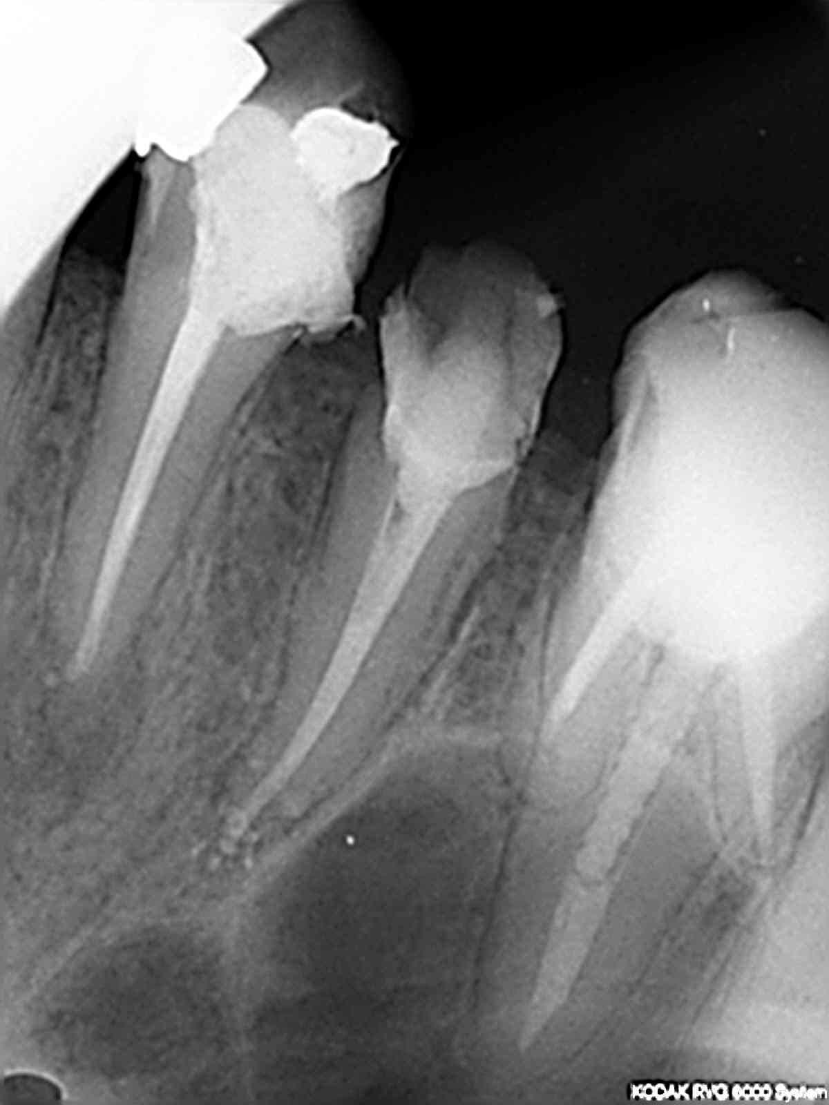
Sur la 14, c'est un Mc Spadden cassé dans la gutta: ça c'est assez fréquent mais pas très génant: instrument stérile noyé dans la gutta.


Allory r13 ackdxs - Eugenol
Berthon r8 trv2at - Eugenol

lachmar

19/07/2017 à 10h18

vulpi écrivait:
---------------
> adhoc écrivait:
> ---------------> Colle à base de composites et action inhibitrice de O2


en fait on a arrete l'H2O2 bien avant l'apparition des colles composites

et le premier système de reconstitution résine "coposipost" faisait un "etching" à l'eau oxygénée .... 30 ans après ils tiennent encore en bouche )))


Avatar transparent iqadnc - Eugenol
adhoc

19/07/2017 à 10h30

>L'H2O2, en plus d'être mutagène, cristallise dans les canaux et empêche une bonne obturation.<


bebert!!!! Tu ne crois pas que les organo chlorés sont AUSSI mutagenes, si ce n'est plus? !!!!

Les organo chlorés sont AUSSI rencontrés sous forme cristalline!

Argument contre une lichette (juste une fois) de h2o2 en fin de traitement, a la suite évidemment d'une bonne mise en forme comme dit plus haut , non recevable pour cette raison, votre honneur :-)))


J'ai retenu l'argument du collage, qui, lui, est valable!!!



Bebert.

19/07/2017 à 10h31

C'est pas moi qui le dit mais c'est (je crois) la raison de l'arrêt de l'utilisation de l'H2O2.
Je suis d'accord avec toi ... principe de précaution de mes deux ;)

Sinon l'H2O2 fait cristalliser le sodium de l'hypo, créant des obstacles mécaniques, et c'est pour cela que la SFE, SOP et d'autres en déconseillent l'utilisation en endo.


Avatar transparent iqadnc - Eugenol
adhoc

19/07/2017 à 10h35

Lol, ceux qui nous lisent vont avoir peur, et on va direct vers l'horreur de l'holistique.
Donc, on n'en dira pas plus!!!!


Bebert.

19/07/2017 à 10h38

Ah, mais moyennant un supplément NPC je travaille aussi par imposition des mains (là où il faut) et drainage de l'énergie cosmique.


Vw campersurfvan bmnk1q - Eugenol
enlaye

19/07/2017 à 10h47

vous allez encore me prendre pour un jobard :-))))):
je n'ai jamais mis de javel ou de produits à la con dans mes endos pendant 30 ans :-)
juste un peu de dakin melangé à l'eau oxgenée pour faire joli quand ça saignait et encore , que dans la chambre .
par contre avec le spray d'eau à fond .
pour que la lime s'auto nettoie ,il faut un max d'eau renouvelée .
ç est le principe du ponçage à l'eau .
en fait ,vous mettez tous ces produits pcq vous n'avez pas de spray sur vos moteurs, ç est tout . la mode des équarisseurs chimiques est partie de là .
je suis passé à la javel depuis que je vous lis , mais ans réelle conviction .juste pour faire un peu comme les autres , ça me change un peu .


Generique fraisage r2rxmm - Eugenol
lardonbis

19/07/2017 à 11h28

enlaye écrivait:
----------------

> ç est le principe du ponçage à l'eau .


attends 20 ans tu seras à la mode ;).

Productcolor 1499328092 lxexdu - Eugenol

Bebert.

19/07/2017 à 11h44

enlaye écrivait:
----------------
> vous allez encore me prendre pour un jobard :-))))):

nooon, t'inquiète ;))


Ylfwcw979cz1jnx9gfqeaxndiuzk - Eugenol
Algi

19/07/2017 à 13h26

Reciproc, limes manuelles de temps en temps en alternance (les bonnes vieilles limes h qui raclent bien pour ramener les vieux bouts de gutta et autres cochoncetés, des limes k pour verifier ue j'ai pas fait de bouchon).

Pi mon bon vieux lokki entre deux passages de limes, le laser fibré ca fait bien ressortir les merdouilles et ça mobilise mieux que les ultra sons à mon avis.

j'irrigue larga manu avec un mélange eau oxygénée 10vol/huiles essentielles (tea tree, girofle, menthe piovrée selon les jours + solubol).

Obturation: pate oxyde de zinc/he girofle + une goute de tea tree ou de laurier ou autre selon l'humeur du jour et la tronche de ce que j'ai trouvé dans les racines. Au lentulo puis "poussée" d'un coup de laser

Obturation monocone et condensation manuelle.

pas trop de soucis depuis 23 ans.


--
L’extrémisme est le culte sans la culture ;
le fondamentalisme est la croyance sans la connaissance ;
l’intégrisme est la religiosité sans la spiritualité.

On a toujours le choix mais entre quoi et quoi?
Vas-y boulégue et l'avenir te le dira!


Vw campersurfvan bmnk1q - Eugenol
enlaye

19/07/2017 à 13h42

Huiles essentielles ?
Voila autre chose
T es agree endo MGEN ? :-))))


Generique fraisage r2rxmm - Eugenol
lardonbis

19/07/2017 à 13h50

enlaye écrivait:
----------------
> Huiles essentielles ?
> Voila autre chose
> T es agree endo MGEN ? :-))))

eugénol eucalyptol cinéole ok
parler d'huile essentielle c'est potentiellement un aimant à patients problématique :)


Vw campersurfvan bmnk1q - Eugenol
enlaye

19/07/2017 à 13h53

Ben tiens ,Algi ,tu me donnes des idees .
Je vais essayer a l huile d olive .
Oui oui suis cap :-))))


Blue eye thumb medium dx1i0w - Eugenol
bill

19/07/2017 à 14h06

Merci à tous, très intéressant tout ça... même les trucs farfelus... ;-)


Hok 1b hgd3rj - Eugenol
Hokusai

19/07/2017 à 14h13

enlaye écrivait:
----------------
> Ben tiens ,Algi ,tu me donnes des idees .
> Je vais essayer a l huile d olive .
> Oui oui suis cap :-))))

un peu de jaune d'œuf, un lentulo et t'obtures a la mayo...


Vw campersurfvan bmnk1q - Eugenol
enlaye

19/07/2017 à 14h32

Tu veux que je transforme mon cab en kebab ?
Pas bete .


lachmar

19/07/2017 à 14h33

enlaye écrivait:
----------------
> Huiles essentielles ?
> Voila autre chose
> T es agree endo MGEN ? :-))))



pffff .... le produit les plus utilisé en dentisterie , cad l'eugenol , n'est qu'une He de girogle diluée avec de l'alcool ...


Generique fraisage r2rxmm - Eugenol
lardonbis

19/07/2017 à 14h45

lachmar écrivait:
-----------------
> enlaye écrivait:
> ----------------
> > Huiles essentielles ?
> > Voila autre chose
> > T es agree endo MGEN ? :-))))
>
>
>
> pffff .... le produit les plus utilisé en dentisterie , cad l'eugenol , n'est
> qu'une He de girogle diluée avec de l'alcool ...


vaut mieux dire eugénol crois moi.

Ça t'évitera les histoires de la toux du petit qu'elle est partie en 2 semaines alors que sans l'huile de pepin de truc il faut 15 jours.
ou les patientes brulées parce quelle ont trouver de l'huile essentielle de clou de girofle et que c'est bien ce que tu utilise non?


Ylfwcw979cz1jnx9gfqeaxndiuzk - Eugenol
Algi

19/07/2017 à 15h09

Les patients demandeurs d'huiles essentielles sont pas les pires, faut juste être cohérent avec ce qu'on leur propose et pas entrer dans certains de leurs délires.

Fin de la perenthese "dentisterie holistique" en ce qui me concerne, pas envie de polémiquer stérilement, il fait trop chaud ;0)


--
L’extrémisme est le culte sans la culture ;
le fondamentalisme est la croyance sans la connaissance ;
l’intégrisme est la religiosité sans la spiritualité.

On a toujours le choix mais entre quoi et quoi?
Vas-y boulégue et l'avenir te le dira!


lachmar

19/07/2017 à 15h15

lardonbis écrivait:
-------------------
> lachmar écrivait:
> -----------------
> > enlaye écrivait:
> > ----------------
> > > Huiles essentielles ?
> > > Voila autre chose
> > > T es agree endo MGEN ? :-))))
> >
> >
> >
> > pffff .... le produit les plus utilisé en dentisterie , cad l'eugenol , n'est
> > qu'une He de girogle diluée avec de l'alcool ...
>
>
> vaut mieux dire eugénol crois moi.
>
> Ça t'évitera les histoires de la toux du petit qu'elle est partie en 2 semaines
> alors que sans l'huile de pepin de truc il faut 15 jours.
> ou les patientes brulées parce quelle ont trouver de l'huile essentielle de clou
> de girofle et que c'est bien ce que tu utilise non?

tu rigoles ?
j'utilise de l'eugenol comme les copains, mais je reconnais l'efficacité des He
et je ne dis pas que depuis la disparition de la cresatine, je ne mets pas un petit coton de He girofle, bien exprimé en cas de pulpite que je n'ai pas le temps de traiter par une pulpo ou une endo
et, par exemple le laurier en cas d'infection c'est un char d'assaut par exemple
la pharmacopée moderne doit enormément aux He et à la Phyto ne l'oubliez pas


Generique fraisage r2rxmm - Eugenol
lardonbis

19/07/2017 à 17h09

lachmar écrivait:
-----------------

> la pharmacopée moderne doit enormément aux He et à la Phyto ne l'oubliez pas

je l'oublie pas mais je préfere une molécule pure et de concentration connue quand elle est disponible.
Je sais aussi que si on appliquait à ces huiles la même réglementation qu'a certain autre produit ça serait assez marrant ( genre le logo orange avec le poisson mort :D)
Les HE et la phyto ont été captés en partie par de joyeux illuminés.
Du coup en disant eugénol au lieu de He de girofle je m'évite la grosse déception d'entendre des patients intelligents me parler du rebouteux qui les "prépare" aux HE avant le terrible vaccin de la méchante médecine du travail...

après c'est sur que ça tue bien les bestioles :)
T'a lu les compo ? certaine on dirais des solvant industriel :D